아카이브 요약
이 페이지의 역할
서울바르디치과의원의 네이버 블로그 원문을 보존한 아카이브 페이지입니다. 앞니마법사 카테고리의 강동구 임플란트 가격 줄이는 방법 2개 발치했는데, 1개만 심어도 된다구요? 글을 통해 병원의 한국어 정보 제공 방식과 진료 관련 안내 톤을 확인할 수 있습니다.
원문 검증
필요하면 원문 블로그와 병원 프로필로 바로 이동해 문맥을 다시 확인할 수 있습니다.
출처 아카이브 열기아카이브된 블로그 글
서울바르디치과의원 · Naver Blog
강동구 임플란트 가격 줄이는 방법 2개 발치했는데, 1개만 심어도 된다구요? 안녕하세요. 서울바르디치과 원장입니다. 대부분은 뺀 치아 개수만큼 임플란트를 심는다고 생각하시는데요, 아래 앞니처럼 공간이 좁고, 힘이 비교적 덜 몰리는 부위에서는 조건에 따라 "2개"를 발치하더라도, 임플란트 "...
게시일
2025년 12월 25일
원문 기준으로 확인된 발행일입니다.
카테고리
앞니마법사
원문 블로그 카테고리를 정리해 함께 표시합니다.
이미지 수
12
현재 아카이브에 연결된 이미지 수입니다.
아카이브 요약
서울바르디치과의원의 네이버 블로그 원문을 보존한 아카이브 페이지입니다. 앞니마법사 카테고리의 강동구 임플란트 가격 줄이는 방법 2개 발치했는데, 1개만 심어도 된다구요? 글을 통해 병원의 한국어 정보 제공 방식과 진료 관련 안내 톤을 확인할 수 있습니다.
원문 검증
필요하면 원문 블로그와 병원 프로필로 바로 이동해 문맥을 다시 확인할 수 있습니다.
출처 아카이브 열기안녕하세요.
서울바르디치과 원장입니다.
대부분은 뺀 치아 개수만큼
임플란트를 심는다고 생각하시는데요,
아래 앞니처럼 공간이 좁고,
힘이 비교적 덜 몰리는 부위에서는
조건에 따라 "2개"를 발치하더라도,
임플란트 "1개" 식립으로도
치료가 가능한 경우가 있습니다.
오늘은 그 대표적인 사례를
케이스 중심으로 설명드리겠습니다. ^^
왜 아래 앞니는 '개수대로 심기'가 항상 정답이 아닐까요?
강동구 임플란트 가격 줄이는 방법
아래 앞니 부위는
어금니에 비해 폭이 좁고,
치아 뿌리 사이 간격도 촘촘해
임플란트를 여러 개 심을 공간이
부족한 경우가 있습니다.
이럴 때는
치아 2개를 발치했다고 해서
무조건 임플란트 2개를 심기보다,

공간과 교합 관계를 함께 고려해
임플란트 1개만 식립하고
좁은 공간을 자연스럽게
활용하는 방법도 가능합니다.
아래 앞니 2개 발치 후
임플란트 1개만 식립한 환자 사례
강동구 임플란트 가격 줄이는 방법
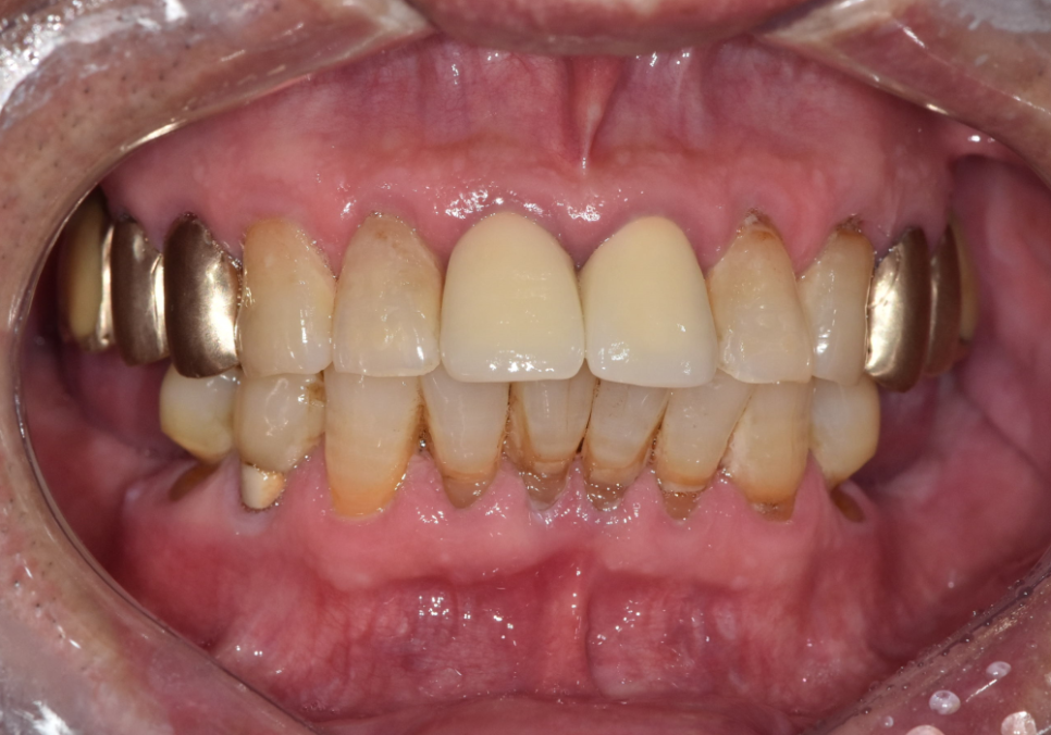
이 환자분은 아래 앞니가 흔들려
저희 병원에 내원하셨습니다.
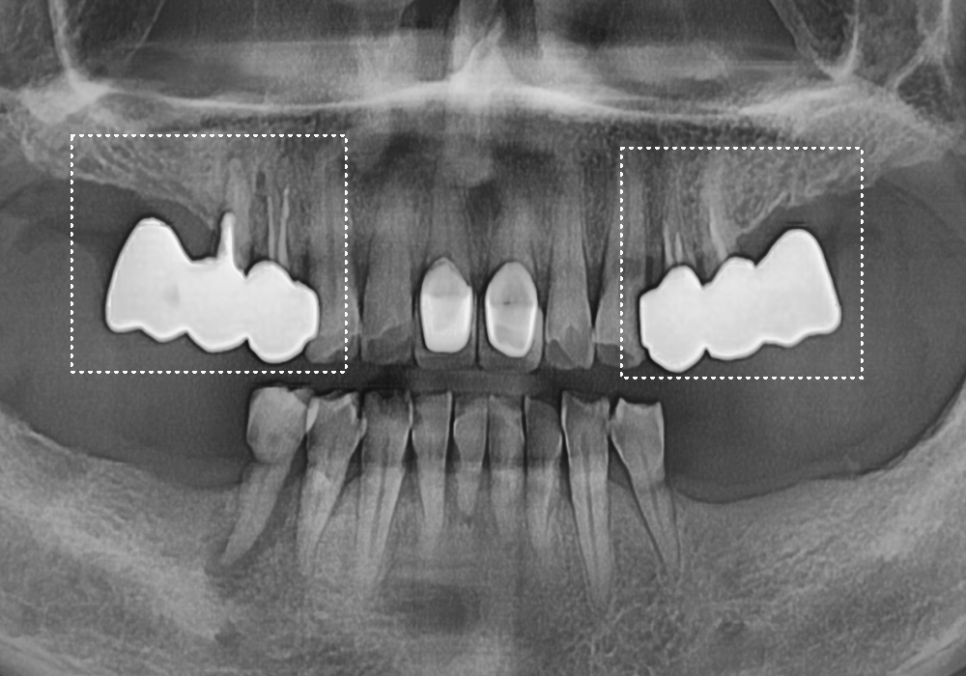
방사선 진단 결과,
치조골(뼈)이 전반적으로
많이 흡수되어 있었고,

241120
그로 인해 치아 뿌리를
지지하는 힘이 부족해
치아가 흔들리는 상태였습니다.

241120
또한 뼈가 지지해 주는
치근(뿌리) 길이도 매우 짧아
자연치로 유지하기에는
예후가 좋지 않은 상황으로
판단되었습니다.

241120
그래서 환자분과 충분히 상담 후
발치 후 임플란트 치료로 계획을 세웠습니다.
환자분도 처음에는
"두 개 빼면 두 개 심어야 하는 거죠?"
라고 말씀하셨습니다.
그런데 이번 케이스에는
두 가지 포인트가 있습니다.

241120
비용 부담을 크게 걱정하셨던 점
아래 앞니 부위의
잇몸뼈(치조골)가 비교적 얇았던 점

241120
뼈가 얇은 부위에 임플란트를
2개로 나눠 심는 것이
항상 불가능한 것은 아닙니다.
다만 수술 범위가 커질수록
뼈에 부담이 커지거나,
경우에 따라 추가 처치가
필요해질 수 있습니다.
그래서 이번 케이스는
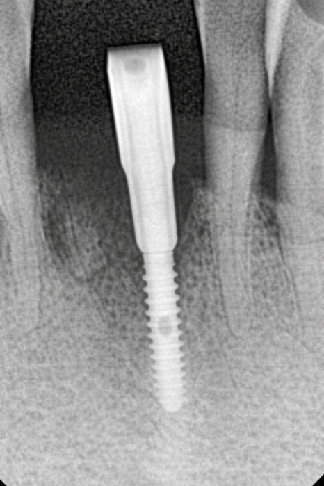
임플란트 1개 + 크라운 2개
연결 방식도
치료 옵션으로 설명드렸습니다.
이 방식이 바로
캔틸레버(Cantilever) 입니다.
캔틸레버(Cantilever)란 무엇인가요?
강동구 임플란트 가격 줄이는 방법
캔틸레버는 쉽게 말해
임플란트 1개를 지지대로 세우고,
그 위에 치아 2개 형태의
보철을 연결하는 방식입니다.
즉, 임플란트 뿌리는 1개이고
그 위에 올라가는 머리는 2개가
같이 올라가는 형태인데요,
예전에는 임플란트가
지금처럼 보편적이지 않을 때
더 자주 쓰던 방식이기도 합니다.

양옆에 걸어서 쓰는 브릿지 방식이 아닌, 2개의 치아를 묶고 맨 끝 쪽에 보철을 하나 더 매달아놓은 모양
요즘은 임플란트 기술이 발전하면서
캔틸레버를 일반적으로
선택하진 않지만,
아래 앞니처럼 공간이 좁고
교합력이 세지 않는 조건이라면
과잉 수술을 줄이면서도
기능적으로 안정적인
설계가 될 수 있습니다.
다만 모든 분께 가능한 건 아닙니다.
이갈이, 이악물기 습관이 있거나,
절단 교합처럼 앞니에 힘이 몰리는 분은
신중한 판단이 필요합니다.
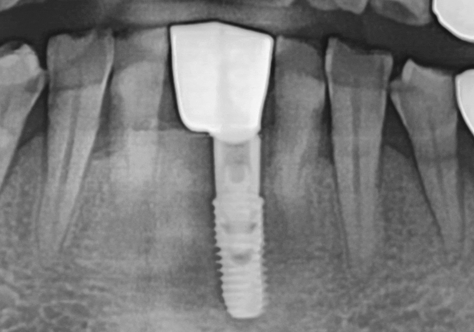
임플란트 1개로 2개를 버틴다면, 지지대는 더 든든해야 합니다.
강동구 임플란트 가격 줄이는 방법
다만 여기서 중요한
포인트가 있습니다.
임플란트를 1개만 심고
크라운을 2개로 연결하는 구조라면,
말 그대로 임플란트 뿌리(픽스처) 1개가
보철 2개를 지지해야 합니다.
그래서 이번 케이스는
일반적인 앞니용처럼
얇은 직경의 픽스처를 쓰기보다는,


직경이 더 큰 임플란트를 사용
가능한 범위 안에서
조금 더 직경이 넓은 픽스처로
계획해 안정성을 확보했습니다.
'개수는 줄이되, 지지대는 더 든든하게'
이런 방향으로 이해하시면 됩니다. ^^
보철 완성까지 걸린 시간
강동구 임플란트 가격 줄이는 방법
수술 후 치아를 올리기까지는
약 2개월 정도가 걸렸습니다.
임플란트가 뼈에 안정적으로
자리 잡는 과정이 필요해
상태를 보면서 진행하는 편입니다.
"그럼 2개월 동안
치아 없이 지내나요?"
보통 위 앞니는 웃을 때 잘 보여서
뺐다 꼈다 하는 임시틀니를
권하는 경우가 많습니다.
하지만 아래 앞니는
입술에 가려져
비교적 덜 보이는 부위라,
불편감이 크지 않다면
임시치아 없이 지내는 선택도 가능합니다.
이번 환자분도
"굳이 임시틀니까지는 필요 없을 것 같다"
고 하셔서
임시틀니는 제작하지 않고
진행했습니다.

241228
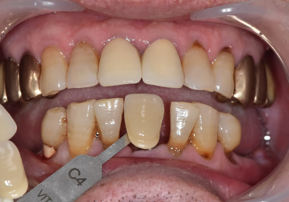
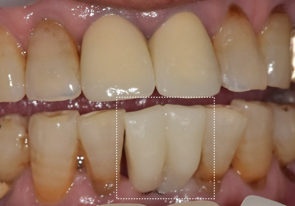
2개월 뒤 완성된 임플란트
2개 발치했는데, 1개만 심어도 된다구요? 강동구 임플란트 가격 줄이는 방법
약 2개월 뒤 보철이 완성됐고,
임플란트를 2개 심지 않더라도
아래 앞니 라인이
자연스럽게 정리되었습니다.

241228
이번 케이스의 핵심은,
환자분의 비용 부담과
구조적, 기능적 안정성을 함께 고려해
무리 없는 설계로
과잉 수술을 줄였다는 점입니다.

241228
두 개를 발치했다고 해서
항상 임플란트도
두 개가 정답은 아닐 수 있습니다.
특히 아래 앞니처럼
조건이 애매한 경우에는
"무조건 많이 심는 것"보다
현재 뼈 상태와 비용 부담,
그리고 구조적 안정성을 함께 보고
가장 합리적인 방법을
찾는 게 중요합니다.
혹시 앞니가 흔들리거나,
잇몸이 붓고 피가 난다면
우선 현재 상태를
점검해 보시기를 권해드립니다.
정밀 진단을 통해 꼭 필요한 치료만
선택하실 수 있도록
환자분께 가장 합리적인
계획을 도와드리겠습니다.
오늘도 긴 글 읽어주셔서
감사합니다. ^^
▼치과 위치 확인▼
강동구 임플란트 가격 줄이는 방법 2개 발치했는데, 1개만 심어도 된다구요?
| 예약 전화하러 가기 |
|---|
| 02-481-4278 |
| 본 게시물은 의료광고 법 제56조 1항을 준수하여의료 정보 제공 목적으로 서울 바르디 치과에서 직접 작성하였습니다.제공된 정보는 참고만 하실 것을 권유 드리며 증상 파악 및 정확한 관리 방법은 의료기관에 내원 후 의료진을 통해 안내받으시길 바랍니다.치과에서 진행되는 모든 시술 / 수술은 개인에 따라 (염증, 출혈, 부기 등) 가능성이 있습니다.사전에 의료진과 충분한 상담을 통해 결정하시길 바랍니다.게시물의 치료 사례는 실제 본원에서 치료를 마친 환자분들의 동의하에촬영되었으며 전, 후 사진은 동일 조건에서 촬영되었습니다. |