아카이브 요약
이 페이지의 역할
서울바르디치과의원의 네이버 블로그 원문을 보존한 아카이브 페이지입니다. 3D 네비게이션 임플란트 카테고리의 오래된 어금니 롱브릿지, 교체 타이밍을 놓치면 글을 통해 병원의 한국어 정보 제공 방식과 진료 관련 안내 톤을 확인할 수 있습니다.
원문 검증
필요하면 원문 블로그와 병원 프로필로 바로 이동해 문맥을 다시 확인할 수 있습니다.
출처 아카이브 열기아카이브된 블로그 글
서울바르디치과의원 · Naver Blog
오래된 어금니 롱브릿지, 교체 타이밍을 놓치면 '와르르' 무너집니다. 안녕하세요. 서울바르디치과 원장입니다. "식사하다가 치아가 뭉텅이로 빠졌어요..." 5개가 연결된 거대한 보철물을 들고 당황해하시던 환자분이 생각납니다. 오랜 세월 함께한 치아가 한꺼번에 빠졌을 때의 그 막막함... 얼마나...
게시일
2026년 1월 4일
원문 기준으로 확인된 발행일입니다.
카테고리
3D 네비게이션 임플란트
원문 블로그 카테고리를 정리해 함께 표시합니다.
이미지 수
18
현재 아카이브에 연결된 이미지 수입니다.
아카이브 요약
서울바르디치과의원의 네이버 블로그 원문을 보존한 아카이브 페이지입니다. 3D 네비게이션 임플란트 카테고리의 오래된 어금니 롱브릿지, 교체 타이밍을 놓치면 글을 통해 병원의 한국어 정보 제공 방식과 진료 관련 안내 톤을 확인할 수 있습니다.
원문 검증
필요하면 원문 블로그와 병원 프로필로 바로 이동해 문맥을 다시 확인할 수 있습니다.
출처 아카이브 열기오래된 어금니 롱브릿지, 교체 타이밍을 놓치면 '와르르' 무너집니다.
안녕하세요.
서울바르디치과 원장입니다.
"식사하다가 치아가
뭉텅이로 빠졌어요..."

5개가 연결된 거대한 보철물을 들고
당황해하시던 환자분이 생각납니다.
오랜 세월 함께한 치아가
한꺼번에 빠졌을 때의 그 막막함...
얼마나 놀라셨을까요?
단순히 본드가 떨어진 것이라면
다행이겠지만,
사실 이렇게 긴 보철물이 빠졌다는 건
속에서 치아가 '우지끈' 부러진 경우가
대다수입니다.
오늘은 위태롭던
롱 브릿지(Long Bridge)를 보내주고,
임플란트로 씹는 맛을
되찾아드린 사례를 소개합니다.
치아를 길게 묶으면 일어나는 일
오래된 어금니 롱브릿지, 교체
환자분 이야기를 하기에 앞서
롱 브릿지(Long Bridge)에 대해
잠깐 짚고 넘어가야 할 것 같아요.
치아 여러 개를 한 덩어리로 묶어놓은 형태...
언뜻 보면 튼튼해 보이죠?

240906
하지만 치과의사 입장에서 보면
참 아슬아슬한 구조물입니다.
왜일까요?
첫째, 청소가 매우 힘든 구조입니다.
롱브릿지는 연결구조가
길기 때문에
구조상 관리하기가 힘듭니다.
그러다보니,
음식물 찌꺼기가 고스란히
남아 염증을 만들게 되죠.
둘째, 서로 다른 기능을
억지로 묶었기 때문입니다.
앞니는 '자르는' 역할을,
어금니는 맷돌처럼 '가는' 역할을 합니다.
하는 일이 다른 녀석들을 묶어놓으면?
서로 엇박자가 나면서
치아 뿌리에 무리가 갑니다.
그래서, 앞니와 어금니는 같이
묶지 않는게 좋습니다.
셋째, 가장 무서운 '연대 책임'입니다.
쉽게 비유하자면...
여러 명이 통나무를
같이 들고 있는 것과 같습니다.
한 명이 힘이 빠져
손을 놓으면 어떻게 될까요?
나머지 사람들에게 무게가 쏠리면서
결국 와르르...
다 같이 무너져 내리게 되죠.
특히나, 롱브릿지라면
그 하중을 견뎌야 하는 부담이 배가 됩니다.
다리가 길어질수록
중간이 휘어지려는 힘이 강해지는 것처럼,
양쪽 끝 치아 뿌리에 가해지는
'지렛대 힘'이 강력해지기 때문이죠.

결국 잇몸 뼈가 녹거나 뿌리가
부러지는 속도가 훨씬 빨라질 수밖에 없습니다.
오래된 롱 브릿지가 탈락하여
임플란트로 교체한 사례
오래된 어금니 롱브릿지, 교체

240906
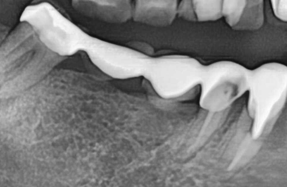
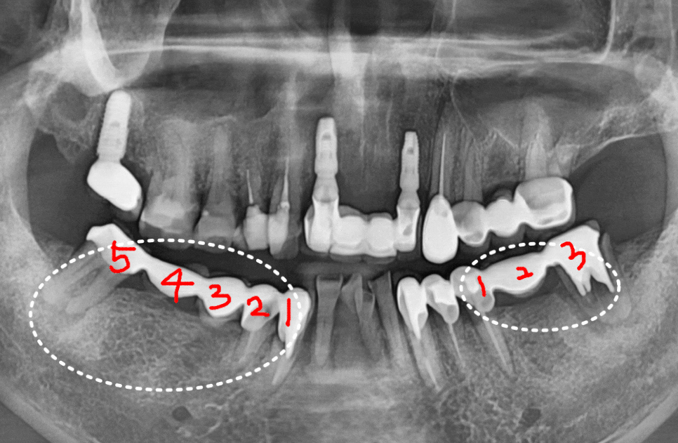
이 환자분은 오른쪽 아래,
무려 5개의 치아를 연결한
긴 브릿지가 통째로 빠져서 오셨는데요.

250507
"이게 벌써 세 번째 빠진 겁니다...
다시 붙일 수 있을까요?"
환자분의 간절한 눈빛을 보니
저도 어떻게든 살려드리고 싶었습니다.
하지만,
입안을 들여다보니...
오랜 기간 잇몸 관리가 안 되어
주변은 퉁퉁 부어 피가 나는 상태였고,

250507
무엇보다 브릿지를 지탱하던
앞 치아(#43)는
과도한 힘을 버티지 못하고
치아 반쪽이 깨져 있었습니다.


250507
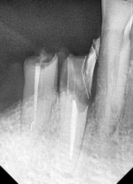
맨 끝 치아(#47) 역시 뿌리 끝에
고름주머니가 크게 잡혀 있었죠.

250507
속상해하시는 환자분의 마음을 생각하면
저 역시 안타까웠지만,
의학적인 판단으로는
더 이상의 재부착이 불가능한 상황이었습니다.
브릿지를 지탱하던 치아들이 이미 다 상해서
더 이상 무거운 보철물을
버틸 힘이 남아있지 않아보였거든요.

250507
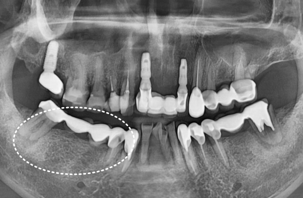
결국, 남아있는 뿌리 3개를 발치하고
튼튼한 임플란트 3개를 식립하는 것으로
치료 방향을 잡았습니다.
한 달 뒤, 이번에는 반대편이..?
오래된 어금니 롱브릿지, 교체
오른쪽 수술을 무사히 마치고
뼈가 잘 아물기를 기다리던 어느 날이었습니다.
약속된 날짜도 아닌데 환자분이
울상인 얼굴로 다시 찾아오셨어요.
"이번엔 반대쪽이 빠졌어요..."

250610
설상가상이라 했던가요.
반대편인 왼쪽 어금니 브릿지(#35~37)마저
탈락해버렸어요.

250610
오른쪽이 불편하니
왼쪽으로만 식사를 하셨고,
그 무게를 견디지 못한 왼쪽 치아들이
결국 탈이 난 것 인데요,
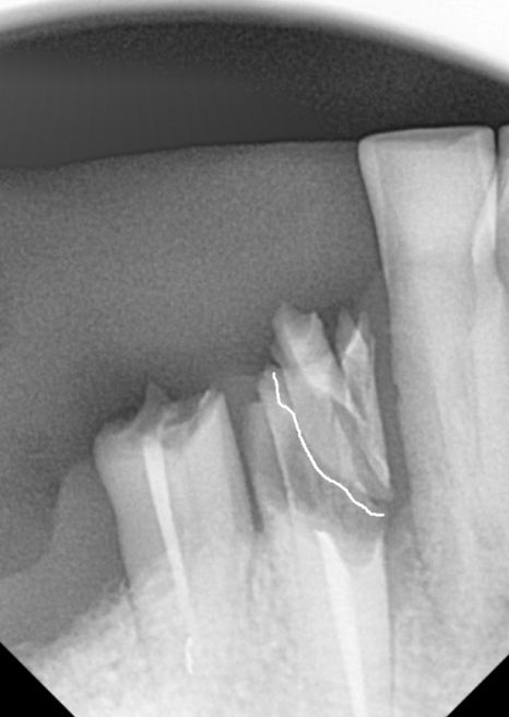
살펴보니 이곳 역시 잇몸 뼈가 녹아내려
치아가 심하게 흔들리고 있었습니다.

250610
왼쪽 역시 살릴 수 없는 치아를 정리하고,
임플란트로 진행했습니다.
오래된 어금니 롱브릿지, 교체

250704
임플란트 수술 후,
뼈와 치아 뿌리가 단단히 굳기까지
보통 3개월 정도를 기다립니다.
드디어 본을 떠야 하는 날.
환자분께서 걱정스러운 듯 물으셨어요.
"그... 입안 가득 물고 있는 거,
그거 해야 하죠?
제가 비위가 약해서..."
예전 치과 치료의 기억이
악몽처럼 남아있는 분들이 꽤 많으시죠?
차가운 찰흙 같은 재료를 입안 가득 넣고,
구역질을 참아가며 버터야 했던 그 시간...
하지만 서울바르디치과에서는 걱정 마세요.
저희는 '구강 스캐너'를 사용합니다.

작은 카메라가 달린 구강 스캐너 팁으로
치아 위를 스르륵~ 훑기만 하면 끝입니다.
입이 찢어질 듯 크게 벌릴 필요도,
숨 막히는 고무 냄새를 참을 필요도 없죠.
"어? 벌써 끝났나요? 세상 참 좋아졌네요~"
환자분의 편안한 미소를 볼 때마다
디지털 장비를 도입하길
참 잘했다는 생각이 듭니다.
치료는 속도가 아니라 '방향'입니다
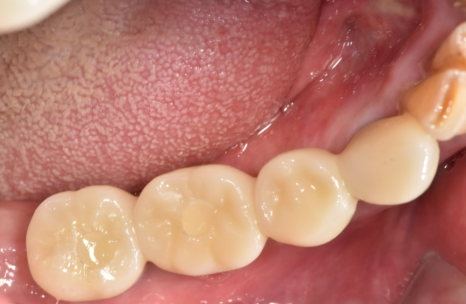
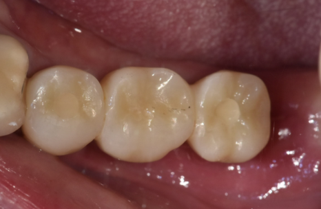
오래된 어금니 롱브릿지, 교체
3개월의 기다림 끝에,
양쪽 어금니 모두
임플란트 보철이 완성되었습니다.


250905
흔들리고 냄새나던 브릿지 대신,
단단하게 고정된 임플란트가 생기니
무엇보다 '씹는 맛'이 다르다고 하십니다.

250403 (전) 250905 (후)
물론, 자연 치아를 살리는 것이
저의 제1 원칙이자 신념입니다.
하지만...
이미 수명을 다해 주변 치아나 잇몸 뼈에
나쁜 영향을 주고 있다면,
이제는 놓아주어야 할 때 입니다.
억지로 붙들고 있는 것만이
능사는 아니니까요.
지금 흔들리는 브릿지 때문에
혼자 끙끙 앓고 계시지는 않나요?
"비용 때문에..."
"아플까 봐..."
그 마음, 충분히 이해합니다.
하지만 혼자 고민만 하다가
치료 시기를 놓치지
않으셨으면 합니다.
여러분의 소중한 치아,
가장 정직한 방법으로 지켜드리겠습니다.
감사합니다.^^
▼치과 위치 확인▼
오래된 어금니 롱브릿지, 교체 타이밍을 놓치면 '와르르' 무너집니다.
| 예약 전화하러 가기 |
|---|
| 02-481-4278 |
| 본 게시물은 의료광고 법 제56조 1항을 준수하여의료 정보 제공 목적으로 서울 바르디 치과에서 직접 작성하였습니다.제공된 정보는 참고만 하실 것을 권유 드리며 증상 파악 및 정확한 관리 방법은 의료기관에 내원 후 의료진을 통해 안내받으시길 바랍니다.치과에서 진행되는 모든 시술 / 수술은 개인에 따라 (염증, 출혈, 부기 등) 가능성이 있습니다.사전에 의료진과 충분한 상담을 통해 결정하시길 바랍니다.게시물의 치료 사례는 실제 본원에서 치료를 마친 환자분들의 동의하에촬영되었으며 전, 후 사진은 동일 조건에서 촬영되었습니다. |