아카이브 요약
이 페이지의 역할
서울바르디치과의원의 네이버 블로그 원문을 보존한 아카이브 페이지입니다. 3D 네비게이션 임플란트 카테고리의 고덕 치과, 임플란트가 흔들려요. 뽑아야 할까 봐 고민이라면? 이렇게 해결합니다. 글을 통해 병원의 한국어 정보 제공 방식과 진료 관련 안내 톤을 확인할 수 있습니다.
원문 검증
필요하면 원문 블로그와 병원 프로필로 바로 이동해 문맥을 다시 확인할 수 있습니다.
출처 아카이브 열기아카이브된 블로그 글
서울바르디치과의원 · Naver Blog
고덕 치과, 임플란트가 흔들려요. 뽑아야 할까 봐 고민이라면? 이렇게 해결합니다. 안녕하세요. 서울바르디치과 원장입니다. "잘 쓰던 임플란트가 갑자기 흔들려요. 이거 다 뽑고 다시 해야 하나요?" 큰돈 들여서, 힘들게 심은 임플란트인데... 평생 쓸 줄 알았더니 덜컥거리기 시작하면 정말 가슴이 철...
게시일
2026년 1월 8일
원문 기준으로 확인된 발행일입니다.
카테고리
3D 네비게이션 임플란트
원문 블로그 카테고리를 정리해 함께 표시합니다.
이미지 수
12
현재 아카이브에 연결된 이미지 수입니다.
아카이브 요약
서울바르디치과의원의 네이버 블로그 원문을 보존한 아카이브 페이지입니다. 3D 네비게이션 임플란트 카테고리의 고덕 치과, 임플란트가 흔들려요. 뽑아야 할까 봐 고민이라면? 이렇게 해결합니다. 글을 통해 병원의 한국어 정보 제공 방식과 진료 관련 안내 톤을 확인할 수 있습니다.
원문 검증
필요하면 원문 블로그와 병원 프로필로 바로 이동해 문맥을 다시 확인할 수 있습니다.
출처 아카이브 열기안녕하세요.
서울바르디치과 원장입니다.
"잘 쓰던 임플란트가
갑자기 흔들려요.
이거 다 뽑고 다시 해야 하나요?"
큰돈 들여서,
힘들게 심은 임플란트인데...
평생 쓸 줄 알았더니
덜컥거리기 시작하면
정말 가슴이 철렁 내려앉으시죠.
'혹시 실패한 건 아닐까?'
'수술을 또 해야 하나?'
그 막막한 심정...
치과의사로서 백번 이해합니다.
하지만, 너무 미리 겁먹지는 마세요.
흔들린다고 해서
무조건 수명이 다한 건 아니니까요.
오늘 소개해 드릴 이야기는
임플란트 흔들림으로 내원하신
환자분의 사례입니다.
왜 이런 증상이 나타나는지,
그리고 제가 왜 그토록
'보철 방식'을 중요하게 여기는지...
천천히 말씀드려 볼까 합니다.
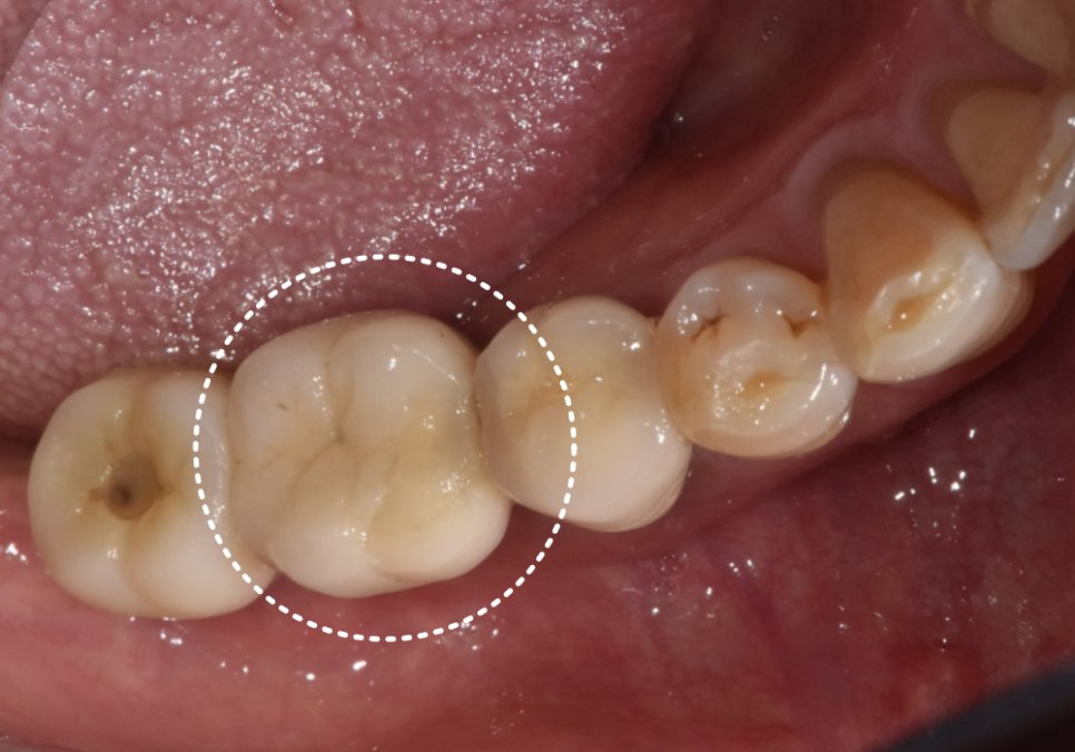
뼈는 튼튼한데, 왜 흔들릴까요?
고덕 치과, 임플란트가 흔들려요. 뽑아야 할까 봐 고민이라면?
이번에 오신 환자분은 꽤 오래전,
타 치과에서 임플란트를 하셨던 분입니다.

240129
그동안은 아주 편안하게 잘 사용하셨다고 해요.
그런데 어느 날부턴가 조금씩 흔들리더니,
급기야 손으로 건드리면
'끄덕'하고 움직이는 지경까지 오게 되셨죠.
정확한 원인을 찾기 위해
엑스레이부터 찍어보았습니다.

240305
천만다행으로 임플란트의 뿌리 역할을 하는
'픽스처'와 잇몸뼈는
아주 튼튼하게 잘 붙어있었어요.
보통 임플란트가 흔들리는 이유는
크게 두 가지입니다.
고덕 치과, 임플란트가 흔들려요. 뽑아야 할까 봐 고민이라면?
염증이 생겨서 임플란트를 지탱하던
뼈가 스르르 녹아버린 경우입니다.
사실 이게 제일 골치 아픈 문제입니다.
왜냐하면 임플란트엔 신경이 없거든요.
뼈가 녹고 있어도 환자분은
아픈 줄 모르는 경우가 태반입니다.
▽임플란트 주위염에 대한 환자 사례
뼈는 멀쩡한데,
머리 부분을 연결하는
나사가 풀린 경우에도
임플란트가 흔들릴 수 있습니다.
이 경우는 나사만 조이면 해결됩니다.
다행히 이 환자분은 뼈에는 문제가 없는
단순 '나사 풀림' 케이스였습니다.
문 경첩이 풀리듯,
임플란트도 풀릴 수 있습니다.
고덕 치과, 임플란트가 흔들려요. 뽑아야 할까 봐 고민이라면?
매일 여닫는 방문 경첩도
시간이 지나면 헐거워지죠?
우리 입안도 똑같습니다.
특히 어금니는 질긴 고기도 씹고
단단한 밥알도 으깨며
엄청난 힘을 견디는 곳이니까요.
오랜 시간 쿵쿵 충격을 받다 보니,
내부의 나사가 스르륵 풀려버린 겁니다.
이럴 땐 해결책이 아주 간단합니다.

풀린 나사를 드라이버로
다시 '꽉' 조여주기만 하면 됩니다.
굳이 멀쩡한 임플란트 뿌리까지
뽑을 필요가 전혀 없죠.
SCRP 타입이 아닌 CEMENT 타입?
고덕 치과, 임플란트가 흔들려요. 뽑아야 할까 봐 고민이라면?
그런데,
여기서 예상치 못한 난관에 부딪혔습니다.
환자분의 기존 보철물이
'시멘트(Cement) 타입'이었기 때문입니다.

임플란트 보철을 만드는 방식은
크게 두 가지가 있는데,
이 둘은 유지 보수 면에서 큰 차이가 있습니다.
조금 더 자세히 비교해 드릴게요.
① 시멘트 타입 (Cement Type)

마치 자연치아처럼 뚜껑을 덮고,
치과용 강력 접착제로 '딱' 붙여버리는 방식입니다.

장점 : 나사 구멍이 없어서 외관상 아주 깔끔하고 예쁩니다. 씹는 면이 매끈해서 음식물이 끼거나 걸리는 느낌도 덜하죠.
단점 : 수리가 매우 어렵습니다. 숨겨진 나사 구멍을 찾느라 멀쩡한 보철을 뚫어야 하거나, 최악의 경우 보철물을 통째로 뜯어내야 합니다.
② SCRP 타입
(Screw Cement Retained Prosthesis)

접착제로 붙이긴 하지만,
씹는 면에 '비상구(나사 구멍)'
를 만들어두는 방식입니다.
평소에는 레진이라는
재료로 구멍을 메워두죠.

장점 : 유지 보수가 정말 쉽습니다. 메워둔 레진만 살짝 떼면 즉시 나사를 조일 수 있고, 잇몸 관리에도 훨씬 유리하죠.
단점 : 씹는 면에 작은 구멍이 보일 수 있지만, 어금니는 눈에 잘 띄지 않아 크게 문제 되지 않습니다.
"왜 이번 치료가 힘들었을까요?"
안타깝게도 환자분은
'문'이 없는 1번(시멘트 타입)이었습니다.
단단한 도자기를 무리해서
뚫다간 보철만 망가지고
환자분 고생만 길어지기에,
결국 상의 끝에 기존 보철을 뜯어내기로
결정했습니다.

240614
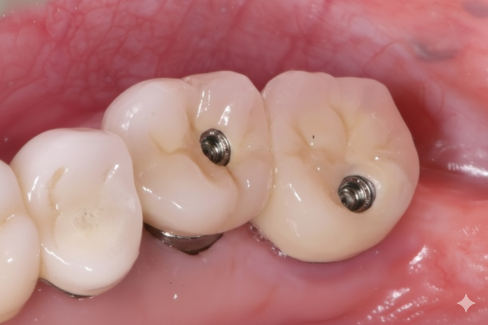
튼튼한 지르코니아 & SCRP로 교체
고덕 치과, 임플란트가 흔들려요. 뽑아야 할까 봐 고민이라면?
제거해 보니 다행히 내부 기둥은
멀쩡해 그대로 사용했습니다.

240614
덕분에 기둥을 새로 제작하지 않아,
환자분의 비용 부담은 줄일 수 있었어요.
도자기는 쓰다보면 겉의 도자기가 깨지는
경우가 종종 있어

더 튼튼하고 잘 깨지지 않는
'지르코니아'로 새로 제작해 드렸습니다.
이번에는 구멍이 없는 방식이 아니라,
씹는 면에 아주 작은 나사 구멍을 만들어는
'SCRP 방식'으로 변경했습니다.

240626
혹시라도 나중에 또 나사가 풀려도,
이제는 보철물을 뜯어내며
고생하실 필요가 없습니다.
구멍을 메워둔 재료만 살짝 걷어내고
드라이버로 1분 만에 조이면 끝나거든요.
꽤 간단하죠?
서울바르디치과가 'SCRP 방식'을 고집하는 이유
고덕 치과, 임플란트가 흔들려요. 뽑아야 할까 봐 고민이라면?
저희 치과가 어금니 임플란트에
이 방식을 고집하는 이유가 바로 이것입니다.
앞니야 심미성이 중요하니 구멍을 없애지만,
힘을 많이 받는 어금니는
언제든 나사가 풀릴 수 있습니다.
그렇기에 '문제가 생겼을 때
쉽게 수리할 수 있는 구조'가
환자분께 훨씬 유리합니다.
임플란트, 심는 것도 중요하지만,
문제가 생겼을 때 얼마나
쉽게 대처할 수 있느냐도 정말 중요합니다.
혹시 임플란트가 조금이라도
흔들리는 느낌이 든다면,
너무 겁먹지 마시고
치과에 내원해 상태를 확인해 보시길 바랍니다.
감사합니다.^^
▼치과 위치 확인▼
고덕 치과, 임플란트가 흔들려요. 뽑아야 할까 봐 고민이라면?
| 예약 전화하러 가기 |
|---|
| 02-481-4278 |
| 본 게시물은 의료광고 법 제56조 1항을 준수하여의료 정보 제공 목적으로 서울 바르디 치과에서 직접 작성하였습니다.제공된 정보는 참고만 하실 것을 권유 드리며 증상 파악 및 정확한 관리 방법은 의료기관에 내원 후 의료진을 통해 안내받으시길 바랍니다.치과에서 진행되는 모든 시술 / 수술은 개인에 따라 (염증, 출혈, 부기 등) 가능성이 있습니다.사전에 의료진과 충분한 상담을 통해 결정하시길 바랍니다.게시물의 치료 사례는 실제 본원에서 치료를 마친 환자분들의 동의하에촬영되었으며 전, 후 사진은 동일 조건에서 촬영되었습니다. |