아카이브 요약
이 페이지의 역할
서울바르디치과의원의 네이버 블로그 원문을 보존한 아카이브 페이지입니다. 충치/ 보철 치료 카테고리의 상일역 치과, 오래된 금니 빠짐, 같은 증상으로 내원했지만 전혀 다른 결과, 그 차이는? 글을 통해 병원의 한국어 정보 제공 방식과 진료 관련 안내 톤을 확인할 수 있습니다.
원문 검증
필요하면 원문 블로그와 병원 프로필로 바로 이동해 문맥을 다시 확인할 수 있습니다.
출처 아카이브 열기아카이브된 블로그 글
서울바르디치과의원 · Naver Blog
상일역 치과, 오래된 금니 빠짐, 같은 증상으로 내원했지만 전혀 다른 결과, 그 차이는? 안녕하세요. 서울바르디치과 원장입니다. 진료를 하다 보면 참 안타까운 순간이 있습니다. "밥 먹다가 금니가 쑥 빠졌어요!" 똑같이 놀란 가슴으로 오셨지만, "정말 다행입니다. 치아는 살려서 쓰실 수 있...
게시일
2026년 1월 11일
원문 기준으로 확인된 발행일입니다.
카테고리
충치/ 보철 치료
원문 블로그 카테고리를 정리해 함께 표시합니다.
이미지 수
19
현재 아카이브에 연결된 이미지 수입니다.
아카이브 요약
서울바르디치과의원의 네이버 블로그 원문을 보존한 아카이브 페이지입니다. 충치/ 보철 치료 카테고리의 상일역 치과, 오래된 금니 빠짐, 같은 증상으로 내원했지만 전혀 다른 결과, 그 차이는? 글을 통해 병원의 한국어 정보 제공 방식과 진료 관련 안내 톤을 확인할 수 있습니다.
원문 검증
필요하면 원문 블로그와 병원 프로필로 바로 이동해 문맥을 다시 확인할 수 있습니다.
출처 아카이브 열기안녕하세요.
서울바르디치과 원장입니다.
진료를 하다 보면
참 안타까운 순간이 있습니다.
"밥 먹다가 금니가 쑥 빠졌어요!"
똑같이 놀란 가슴으로 오셨지만,
"정말 다행입니다. 치아는 살려서 쓰실 수 있어요~"
"아... 너무 늦으셨습니다. 이건 뽑아야 해요."
같은 증상으로 오셨지만,
결과는 전혀 다른 상황..

240812
왜 이런 차이를 만드는 걸까요?
오늘은 오래된 금니가 빠져 오신
환자분의 실제 사례를 들어
그 결정적인 차이를 이야기해 보려 합니다.
첫 번째 사례, 구멍 난 금니를 가지고 오신 환자분
상일역 치과, 오래된 금니 빠짐
처음 환자분이 오셨을 때는
오른쪽 위 어금니 금니가
빠져서 내원하셨는데요,

240812
가져오신 금니를 받아들고 살펴보니
세월의 흔적이 역력하더군요.
오랜 시간 씹는 힘을 견디느라
금니 표면이 닳아서,
구멍이 '뻥' 뚫려 있는 상태였습니다.

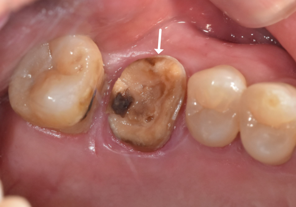
240812 상일역 치과, 오래된 금니 빠짐
입안을 들여다보니
상황은 생각보다 심각했습니다.
금니에 생긴 그 작은 구멍 틈새로
음식물 찌꺼기가 야금야금 들어가면서,
보철물 안쪽의 치아가
아주 심하게 삭아버린 상태였죠.

240812
환자분께서는 당연히
다시 붙이거나 살려 쓸 수 있기를
간절히 바라셨습니다.
저 또한 '자연치아 살리기'가
진료 1원칙이기에,
어떻게든 살려보려고
조심스럽게 충치를 긁어내 보았습니다.
우지끈...
하지만 안타깝게도
이미 치아가 너무 많이 삭아있었어요.

240812
충치를 제거하자마자
남은 치아 머리 부분이
마치 모래성처럼 힘없이
부서져 버리고 말았습니다.
설상가상으로 뿌리 끝에는
거뭇한 염증 주머니까지 잡혀 있었죠.

240812
이런 경우 억지로 살려 쓴다고 해도
얼마 못 가서 탈이 날 확률이 매우 높습니다.

240812 상일역 치과, 오래된 금니 빠짐
결국 환자분의 고생을 줄이고
확실한 예후를 위해,
아쉽지만
발치 후 임플란트를 진행하게 되었습니다.

240812
염증으로 녹아내린 잇몸뼈를
단단하게 보강하는
뼈이식을 하고,
임플란트를 식립했습니다.

240831
그리고 뼈와 임플란트가
한 몸처럼 단단히 굳을 때까지
5개월을 묵묵히 기다린 뒤에야,
튼튼한 새 치아를 만들어 드릴 수 있었습니다.


상일역 치과, 오래된 금니 빠짐 241207
두 번째 사례, 8개월 뒤 다른 금니가 또 빠진 환자분
상일역 치과, 오래된 금니 빠짐
임플란트 치료가 잘 끝나고 8개월 뒤...
환자분께서 또다시 저희 병원을
내원하셨습니다.

250822
이번엔 반대쪽인
왼쪽 아래 어금니인 금니가
'툭' 하고 빠지신 건데요.
지난번 발치의 아픈 기억 때문인지,
"이번에도 뽑아야 하나요...?"
하며 걱정이 태산 같으신 모습이었습니다.
조심스럽게 빠진 자리를 살펴보니,
역시나 치아 내부에
까맣게 충치가 진행되어 있었죠.

250822
하지만..
엑스레이와 구강 상태를 꼼꼼히 확인해 보니,
이번 치아는 다행히
발치 없이 충분히 살려서 쓸 수 있는 상태였습니다.
이번 케이스가 지난번과 달랐던 결정적인 차이,
바로 금니 표면의 '구멍' 유무였습니다.
여기서 잠깐,
"구멍도 안 뚫렸는데 안쪽은 왜 썩은 걸까?"
하고 의아해하실 수 있어요~
이는 보철물을 오래 사용하다 보면
자연스럽게 발생하는 현상 중 하나인데요.
시간이 흐르면서 치아와 금니를
단단하게 붙여두었던
접착제가 침 속에서
서서히 녹아 없어지기 때문입니다.
접착제가 사라진 미세한 틈으로
침과 충치균이 스며들면서
안쪽에서부터 야금야금 충치가 진행된 것이죠.

250905 상일역치과, 오래된 금니 빠짐
하지만 천만다행인 점은,
첫 번째 사례처럼 구멍을 통해
음식물 찌꺼기가 직접적으로
유입되는 최악의 상황은 아니었다는 사실!
덕분에 치아 내부가
힘없이 바스러질 정도로
심각하게 손상되지는 않았고,
뿌리 쪽 뼈 상태도 염증 없이
깨끗하게 유지될 수 있었습니다.

240812
충치가 있긴 했지만
치아 뿌리는 튼튼했기에,
치아 내부의 오염된 신경관을
청소하는 신경치료를 진행했습니다.

251010
오염된 신경을 4번에 걸쳐
꼼꼼히 제거하고 소독한 뒤,
이번에는 구멍이 잘 나지 않는
단단한 재료인 '지르코니아'로 씌워,
튼튼하게 마무리해 드렸습니다.

251103
같은 '빠짐', 다른 결말... 이유는?
상일역 치과, 오래된 금니 빠짐
두 환자분의 치료 결과가
이렇게 달랐던 이유는
바로 금니 표면에 생긴 구멍의 유무
때문이었습니다.


상일역 치과, 오래된 금니 빠짐
금은 치아와 성질이 비슷해
참 좋은 재료지만,
오랜 세월 씹는 힘을 견디다 보면
자연스럽게 닳아서 구멍이 생길 수 있습니다.
첫 번째 경우처럼 구멍이 뚫려있다면
그 틈으로 음식물과 세균이 끊임없이 침투해
속에서부터 치아를 심각하게 손상시키지만,
두 번째 경우처럼 구멍이 없다면
단순히 접착 수명이 다해 빠진 경우가 많아
내부 치아는 비교적 온전할 확률이 높습니다.
금니가 툭! 하고 빠졌다고 해서,
무조건 임플란트를 해야 하는 건 아닙니다.
오늘 소개해 드린 두 번째 사례처럼
적절한 시기에만 오신다면...
충분히 내 치아를 살려 쓸 수 있거든요~
저의 진료 1원칙,
그것은 언제나 '자연치아 살리기'입니다.
작은 가능성이라도 있다면
쉽게 포기하지 않겠습니다.
꼼꼼하게 살피고 또 살피는 것...
그게 제 역할이니까요.
오래된 금니가 보내는 신호,
절대 놓치지 마시고 언제든 내원해 주세요.
여러분의 평생 주치의가 되어
튼튼한 치아 건강을 지켜드리겠습니다!
감사합니다~
▼치과 위치 확인▼
상일역 치과, 오래된 금니 빠짐, 같은 증상으로 내원했지만 전혀 다른 결과, 그 차이는?
| 예약 전화하러 가기 |
|---|
| 02-481-4278 |
| 본 게시물은 의료광고 법 제56조 1항을 준수하여의료 정보 제공 목적으로 서울 바르디 치과에서 직접 작성하였습니다.제공된 정보는 참고만 하실 것을 권유 드리며 증상 파악 및 정확한 관리 방법은 의료기관에 내원 후 의료진을 통해 안내받으시길 바랍니다.치과에서 진행되는 모든 시술 / 수술은 개인에 따라 (염증, 출혈, 부기 등) 가능성이 있습니다.사전에 의료진과 충분한 상담을 통해 결정하시길 바랍니다.게시물의 치료 사례는 실제 본원에서 치료를 마친 환자분들의 동의하에촬영되었으며 전, 후 사진은 동일 조건에서 촬영되었습니다. |