아카이브 요약
이 페이지의 역할
서울바르디치과의원의 네이버 블로그 원문을 보존한 아카이브 페이지입니다. 앞니마법사 카테고리의 음식물 끼임, 거뭇한 무언가 보인다면? 이미 늦었을 수 있습니다. 글을 통해 병원의 한국어 정보 제공 방식과 진료 관련 안내 톤을 확인할 수 있습니다.
원문 검증
필요하면 원문 블로그와 병원 프로필로 바로 이동해 문맥을 다시 확인할 수 있습니다.
출처 아카이브 열기아카이브된 블로그 글
서울바르디치과의원 · Naver Blog
음식물 끼임, 거뭇한 무언가 보인다면? 이미 늦었을 수 있습니다. 안녕하세요. 서울바르디치과 원장입니다. 여러분은 치아 사이에 음식물이 끼면 어떻게 하시나요? 바로 치실이나 치간칫솔로 빼내시나요, 아니면... "귀찮은데 이따가 양치하면 빠지겠지~" 하고 넘기시나요? 오늘 소개해 드릴 환...
게시일
2026년 1월 11일
원문 기준으로 확인된 발행일입니다.
카테고리
앞니마법사
원문 블로그 카테고리를 정리해 함께 표시합니다.
이미지 수
19
현재 아카이브에 연결된 이미지 수입니다.
아카이브 요약
서울바르디치과의원의 네이버 블로그 원문을 보존한 아카이브 페이지입니다. 앞니마법사 카테고리의 음식물 끼임, 거뭇한 무언가 보인다면? 이미 늦었을 수 있습니다. 글을 통해 병원의 한국어 정보 제공 방식과 진료 관련 안내 톤을 확인할 수 있습니다.
원문 검증
필요하면 원문 블로그와 병원 프로필로 바로 이동해 문맥을 다시 확인할 수 있습니다.
출처 아카이브 열기안녕하세요.
서울바르디치과 원장입니다.
여러분은
치아 사이에 음식물이 끼면
어떻게 하시나요?
바로 치실이나 치간칫솔로 빼내시나요,
아니면...
"귀찮은데 이따가 양치하면 빠지겠지~"
하고 넘기시나요?
오늘 소개해 드릴 환자분은
안타깝게도 후자셨습니다.
"음식물이 껴도 별로
안 아프길래 그냥 뒀는데,
어느 날부터 너무 아파서
잠을 못 자겠어요..."
오늘은 음식물 끼임을 방치했던
환자분 사례를 통해,
방치된 음식물이 치아에 미치는 영향과
그 해결 방법을 소개하겠습니다.^^
음식물 끼임, 겉으로는 멀쩡해 보였으나, 그 안은?
음식물 끼임, 거뭇한 무언가 보인다면?
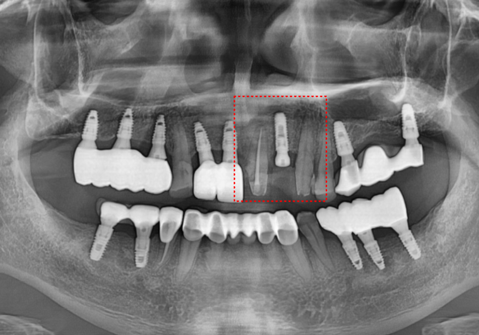
이 환자분은 오래전에
왼쪽 앞니부터 송곳니까지(#21~23)
치아 3개를 연결한
'브릿지' 치료를 받으셨다고 해요.

230315
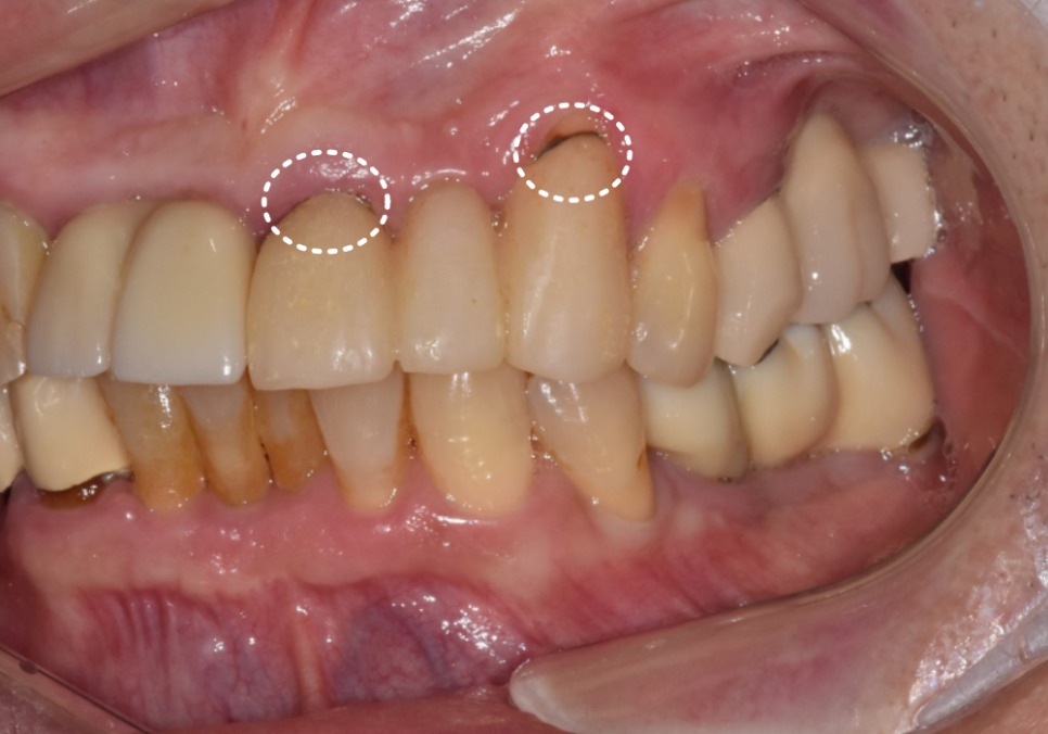
불편해하시는 부위를 자세히 살펴보니,
문제의 발단은
브릿지 끝 치아(#21)와
그 옆에 있는 임플란트(#11) 사이였습니다.
이 틈으로 계속 음식물이 꼈는데,
방치하다 보니 결국
심한 통증으로 이어진 것이죠.

230315
입안 상태를 조금 더 꼼꼼히 들여다보니,
송곳니(#23)는 잇몸이 내려가
뿌리 쪽에 충치가 보였고,
앞니(#21)는 보철물 안쪽이
거뭇거뭇하게 비쳐 보이는 게
직감적으로
'아, 속에서 꽤 큰 문제가 생겼구나' 싶었어요.


230315
정확한 확인을 위해 기구(탐침)로
조심스럽게 건드려 보았더니,
단단해야 할 치아가 삭아 '쑥!' 하고
기구가 들어가 버렸습니다.
충치가 아주 깊다는 증거였죠.
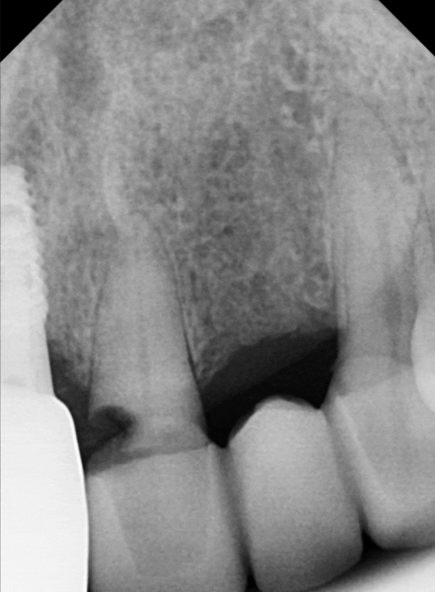
엑스레이로 확인해 보니
역시나 예상이 맞았습니다.

230516
앞니 옆면을 타고 뿌리 깊숙이
충치가 까맣게 진행 중이었습니다.
원인은 바로
'제거되지 않은 음식물'이었는데요.
브릿지 틈새에 낀 음식물이
빠지지 않고 안에서 부패하면서,
보철물 속의 치아를
야금야금 녹이고 있었던 겁니다.
브릿지 제거 후 그 안을 살펴보니...
음식물 끼임, 거뭇한 무언가 보인다면? 이미 늦었을 수 있습니다.
기존 브릿지를 제거하고
내부 상태를 확인했습니다.
예상대로 음식물 찌꺼기와 오염이 심각했지만,
여기서 불행 중 천만다행인 사실...


230516
남은 치아의 양이 적당하여
발치는 피할 수 있는 상황이었어요.
저는 환자분께 기존의 연결된 형태가 아닌,
각각의 치아를 독립적으로
치료하는 방식을 제안 드렸습니다.
만약 다시 브릿지로 제작한다면,
추후 한 치아에만 문제가 생겨도

연결된 모든 보철물을 제거해야 하는
위험 부담이 있기 때문이죠.
따라서 장기적인 유지 관리의 효율성을 위해
다음과 같이 계획을 세웠습니다.

음식물 끼임, 거뭇한 무언가 보인다면? 이미 늦었을 수 있습니다.
신경치료를 진행한 후
단단한 지르코니아 크라운을 씌우고,
잇몸 뼈가 튼튼하여 '뼈이식 없이'
임플란트를 식립하기로 했습니다.
우식 부위만 깨끗이 제거한 뒤
지르코니아 크라운으로
마무리하기로 결정했습니다.
음식물 끼임, 각각 독립적으로 치료한 과정
먼저 충치가 심했던 앞니(#21)부터
치료를 시작했습니다.
충치를 깨끗하게 걷어내고,
감염된 신경을 제거하는
신경치료를 꼼꼼하게 진행했죠.


#21 신경치료 과정
워낙 충치가 깊어서 걱정했지만,
다행히 신경치료가 잘 마무리되어
치아를 살려 쓸 수 있게 되었습니다.
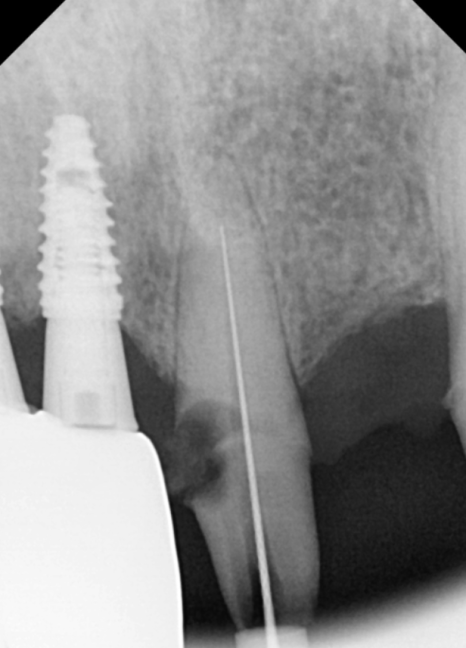
그리고 바로 이어서 수술을 진행했는데요.
브릿지 연결 부위였던 치아 없는 자리는
다행히 잇몸 뼈가 아주 튼튼했습니다.

230614
덕분에 환자분이 힘들어하시는
뼈이식 과정 없이,
아주 수월하게 임플란트를 식립할 수 있었죠.

230614
하지만 임플란트가 뼈와 붙기까진
시간이 필요하기에,
그동안 일상생활에 지장이 없도록
임시 치아를 예쁘게 만들어 드렸답니다. ^^
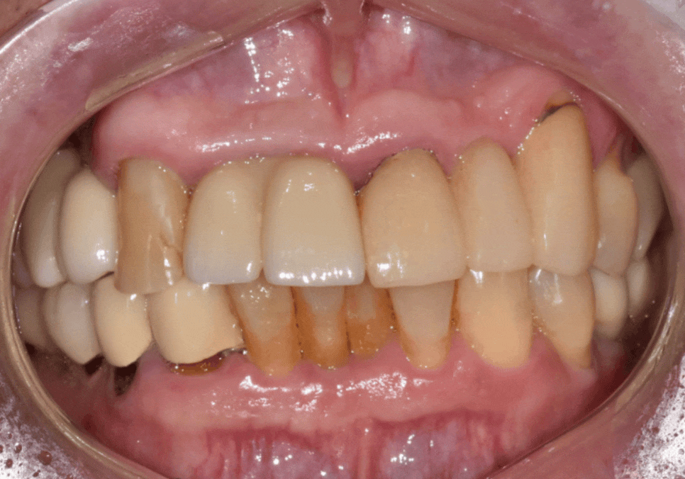
심미성을 위한 최종 보철물
음식물 끼임, 거뭇한 무언가 보인다면?
임플란트가 뼈와 단단히 붙기를
3개월간 기다린 후,
드디어 최종 보철물을 만드는 날이 왔습니다.
사실 앞니는 심미성이 생명이라
의사 입장에도 매 순간이 참 조심스러운데요.
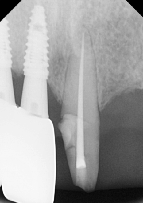
특히 잇몸이 많이 내려간 송곳니(#23)의 경우,

230315
무너진 라인을 무시하고 보철물만 씌우면
치아가 비정상적으로 길어 보여
자칫 인상이 부자연스러워 보일 수 있어요.
이런 형태적 한계를 보완하기 위해
저희는 '핑크 포세린' 기법을 적용했습니다.

231213
보철물 뿌리 쪽을 환자분의
실제 잇몸 색과 유사한 분홍색 도자기로
정교하게 제작하는 방식이죠.
덕분에 건강한 잇몸이 다시 차오른 듯한
자연스러운 라인을 완성해 드릴 수 있었습니다.

231213
이런 섬세한 디테일이 가능한 이유,
바로 원내 기공소를 운영하며
긴밀하게 협력하고 있기 때문입니다.
의료진과 기공사가 함께 고민하며
환자분의 미소 라인과
전체적인 조화를 고려해
보철물을 세밀하게 다듬어 나갑니다.

230315(전) 231213 (후)
과정이 조금 더 까다롭더라도
환자분 한 분만을 위한
맞춤 보철물을 위해
정성을 다하는 이유이기도 하죠.^^


230315 (전) 231213 (후)
혹시 지금 치아 사이에 낀 음식물이
유독 신경 쓰이거나 불편함이 느껴지시나요?
"귀찮은데 언젠간 빠지겠지~"
했던 작은 습관이
통증과 치아 상실로 이어질 수 있다는 점,
꼭 기억해 주셨으면 합니다.
정밀한 진단과 알맞은 치료가
여러분의 소중한 자연 치아를 살릴 수 있습니다.
언제든 편안하게 상담받으러 오세요.
오늘도 긴 글 읽어주셔서 감사합니다~^^
▼치과 위치 확인▼
음식물 끼임, 거뭇한 무언가 보인다면? 이미 늦었을 수 있습니다.
| 예약 전화하러 가기 |
|---|
| 02-481-4278 |
| 본 게시물은 의료광고 법 제56조 1항을 준수하여의료 정보 제공 목적으로 서울 바르디 치과에서 직접 작성하였습니다.제공된 정보는 참고만 하실 것을 권유 드리며 증상 파악 및 정확한 관리 방법은 의료기관에 내원 후 의료진을 통해 안내받으시길 바랍니다.치과에서 진행되는 모든 시술 / 수술은 개인에 따라 (염증, 출혈, 부기 등) 가능성이 있습니다.사전에 의료진과 충분한 상담을 통해 결정하시길 바랍니다.게시물의 치료 사례는 실제 본원에서 치료를 마친 환자분들의 동의하에촬영되었으며 전, 후 사진은 동일 조건에서 촬영되었습니다. |