아카이브 요약
이 페이지의 역할
서울바르디치과의원의 네이버 블로그 원문을 보존한 아카이브 페이지입니다. 앞니마법사 카테고리의 명일동 치과, 잇몸이 검게 변했다면? 앞니 변색 원인은 바로 글을 통해 병원의 한국어 정보 제공 방식과 진료 관련 안내 톤을 확인할 수 있습니다.
원문 검증
필요하면 원문 블로그와 병원 프로필로 바로 이동해 문맥을 다시 확인할 수 있습니다.
출처 아카이브 열기아카이브된 블로그 글
서울바르디치과의원 · Naver Blog
명일동 치과, 잇몸이 검게 변했다면? 앞니 변색 원인은 바로 '이것' 안녕하세요. 서울바르디치과 원장입니다. 예전에 치료했던 보철 주변이 유독 어둡게 느껴진 적... 있으신가요? 처음엔 분명 하얗고 예뻤는데, 시간이 지나면 지날수록, 잇몸 경계가 검게 변하거나 치아 자...
게시일
2026년 1월 13일
원문 기준으로 확인된 발행일입니다.
카테고리
앞니마법사
원문 블로그 카테고리를 정리해 함께 표시합니다.
이미지 수
17
현재 아카이브에 연결된 이미지 수입니다.
아카이브 요약
서울바르디치과의원의 네이버 블로그 원문을 보존한 아카이브 페이지입니다. 앞니마법사 카테고리의 명일동 치과, 잇몸이 검게 변했다면? 앞니 변색 원인은 바로 글을 통해 병원의 한국어 정보 제공 방식과 진료 관련 안내 톤을 확인할 수 있습니다.
원문 검증
필요하면 원문 블로그와 병원 프로필로 바로 이동해 문맥을 다시 확인할 수 있습니다.
출처 아카이브 열기명일동 치과, 잇몸이 검게 변했다면? 앞니 변색 원인은 바로 '이것'
안녕하세요.
서울바르디치과 원장입니다.
예전에 치료했던 보철 주변이
유독 어둡게 느껴진 적... 있으신가요?
처음엔 분명 하얗고 예뻤는데,
시간이 지나면 지날수록,
잇몸 경계가 검게 변하거나
치아 자체가 탁해 보여
신경 쓰인다고 많이들 말씀하세요.
도대체 왜 이런 현상이 생기는 걸까요?
오늘 그 이유를 아주 쉽게 설명해 드리려고 합니다.
과거, 앞니의 정석이었던 PFM,
왜 까맣게 변할까요?
명일동 치과, 잇몸이 검게 변했다면? 앞니 변색 원인
요즘은 환자분 10분 중 9분 이상이
'지르코니아'를 선택하시지만,
예전에는 PFM이라는 재료가
많이 사용되었습니다.
당시에는 지금처럼
재료가 다양하지 않기도 했고,
튼튼하면서도 겉은 치아 색을 낼 수 있는
가장 합리적인 선택이었기 때문인데요.

명일동 치과, 앞니 변색 원인
PFM = Porcelain Fused to Metal
금속(metal) 위에
포세린(Porcelain)을 입혀 만든 구조의 크라운
이 보철물은
금속 위에 도자기를 입힌 형태라는 게 핵심입니다.
그러다 보니,
시간이 오래 지나다 보면
겉에 있는 도자기 부분이
야금야금 깨지기도 하고,

잇몸이 내려가면서
속에 숨어있던 금속 테두리가
잇몸 주변에 검은 선처럼
보이게 되는 것이죠.

명일동 치과, 앞니 변색 원인
결국, 튼튼함이 장점이었던 금속이
시간이 지나며 심미성을 해치는
단점으로 돌아오게 된 셈입니다.

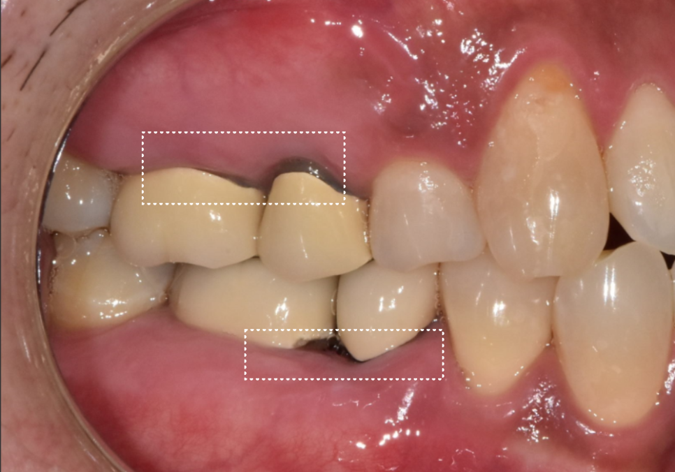
신경치료 한 치아는 왜 더 어두울까요?
명일동 치과, 잇몸이 검게 변했다면? 앞니 변색 원인
특히, 신경치료를 받은 치아는
다른 치아보다 변색이
더 심하게 느껴질 수 있습니다.
왜 그럴까요?
이해를 돕기 위해 치아를
'나무'에 비유해 볼게요.
생명력을 잃은 고목나무가
수분과 영양을 공급받지 못해
점점 시커멓게 말라가는 것과 같은 원리라고
생각하면 이해가 쉬우실 텐데요~

신경치료는 치아 내부의
신경과 혈관을 제거하는 과정입니다.
이로 인해 치아는 더 이상 영양분을
공급받지 못하고,
내부 조직이 서서히 건조해지면서
어두운 갈색이나 검은색으로 변하게 되는 거죠.

명일동 치과, 잇몸이 검게 변했다면? 앞니 변색 원인
그래서 이 어두운 치아 색상이
얇은 잇몸을 통해 비쳐 보이니,
잇몸이 검게 보이게 되는 거예요.

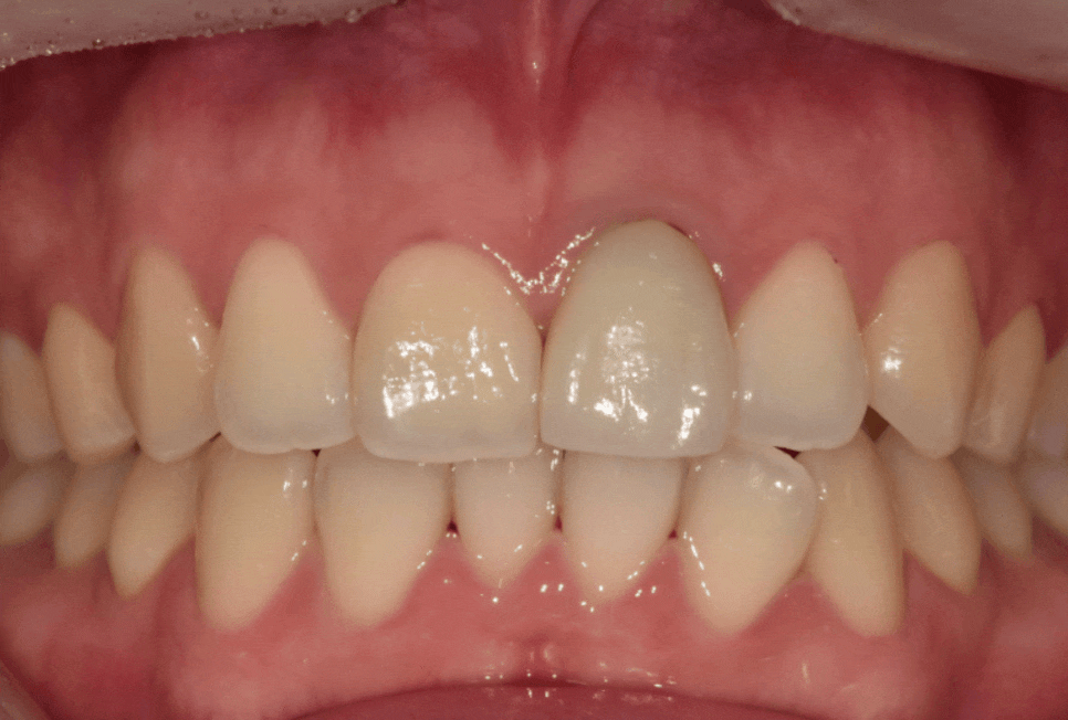
"앞니가 까맣게 변해서 웃을 때마다 신경 쓰여요"
명일동 치과, 잇몸이 검게 변했다면? 앞니 변색 원인

251202
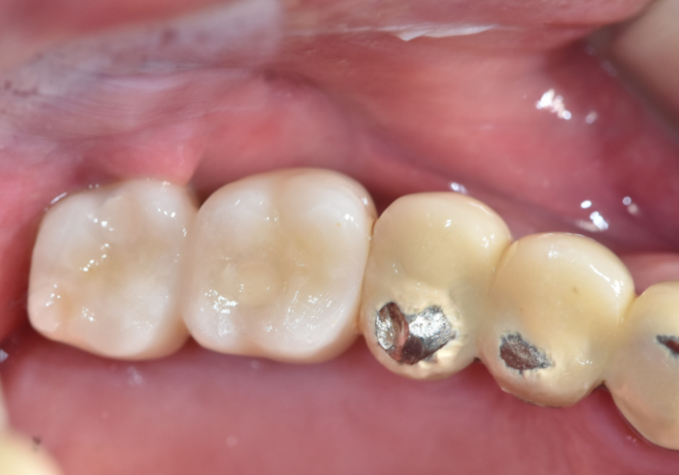
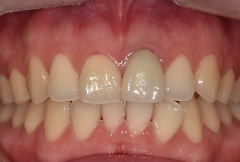
얼마 전 저희 치과를 찾으신 여성 환자분도
바로 이 문제로 내원하셨습니다.
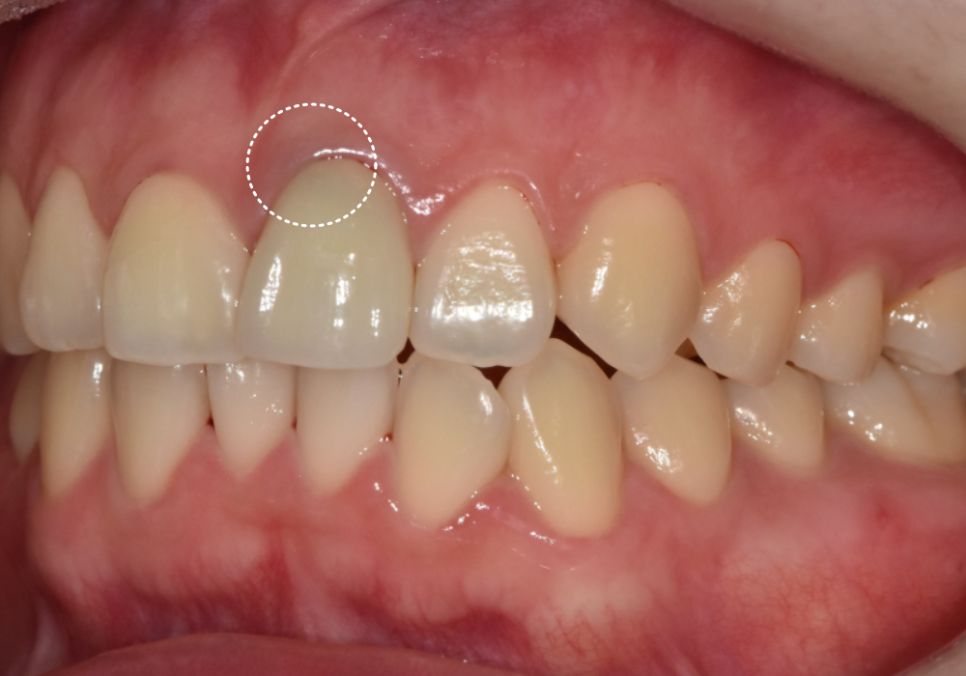
10여 년 전 치료했던 앞니(#21) 주변 잇몸이
검게 변한 것이 너무 스트레스라고 하셨어요.

251202
게다가 그 옆의 자연 치아(#11)는
보철을 한 치아보다
안으로 쏙 들어가 있어서
치아 배열까지 삐뚤어 보이는 상태였습니다.

251202
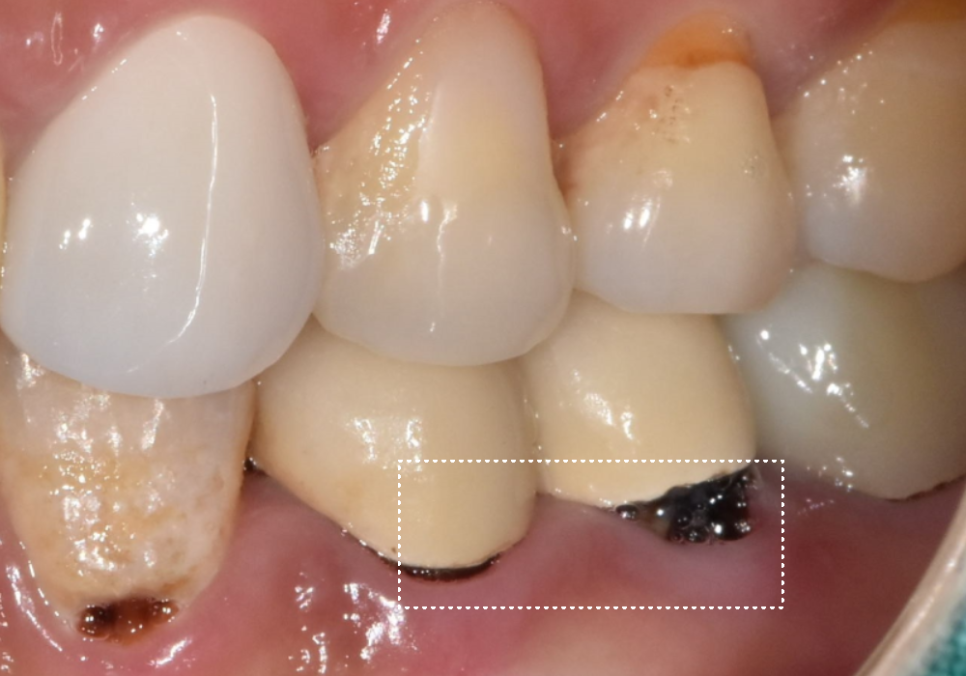
치료 계획

251202
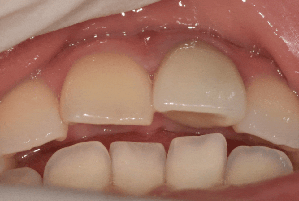
기존의 어두웠던 보철물(PFM)을
제거하고 나면,
그 안의 치아가 변색되어
검게 보이는 경우가 많습니다.

251230
"지르코니아 같은 치아색 보철을 씌우면
속이 비쳐 보이지 않을까?"
걱정하실 수 있는데요.
그래서 저희는 보철물 안쪽에
어두운색을 차단하는
특수 공정을 한 번 더 거칩니다.
변색이 비쳐 보이지 않도록,
보철물 내면에 보호막을 입히고
그 위에 지르코니아를 올리는 방식입니다.


251230
쉽게 말해, 짙은 잡티를 가리기 위해
컨실러를 꼼꼼히 바르는 것과
비슷하다고 생각하시면 돼요.
'라미네이트'

251223
옆으로 삐뚤게 자리 잡았던 치아(#11)는
이번 기회에 배열을 가지런히 맞추기로 했습니다.
하지만 고작 배열 하나 때문에
멀쩡한 생니를 360도 둘러 깎아내는 건
너무 아깝잖아요?
제 진료 철칙은
'쓸데없는 삭제는 하지 않는다'는 것입니다.
그래서 치아 전체를 덮어 씌우는 크라운 대신,
겉면만 아주 살짝 다듬어 부착하는
'최소삭제 라미네이트'를 선택했습니다.

251230
치아 손상은 거의 없으면서도
모양과 배열을 드라마틱 하게
개선할 수 있는 방식이죠.
라미네이트는 자연 치아를 최대한 살리면서
심미적인 완성도를 높일 수 있어,
치아 배열이 살짝 어긋났지만
교정 치료는 부담스러웠던 분들에게
매우 합리적이고 만족도 높은 선택지가 됩니다.
재료는 다르지만, 결과는 '한 세트'처럼
명일동 치과, 잇몸이 검게 변했다면? 앞니 변색 원인
지르코니아와 라미네이트는
엄연히 재질이 다르지만,
원내 기공소에서 기공사와
실시간으로 소통하며
치아 특유의 색상과 투명도를
세밀하게 조율했습니다.
그 결과,
서로 다른 재료를 사용했음에도 불구하고
이질감 없이 마치 원래 내 치아였던 것처럼
아주 자연스럽고 가지런한 앞니가 완성되었습니다.

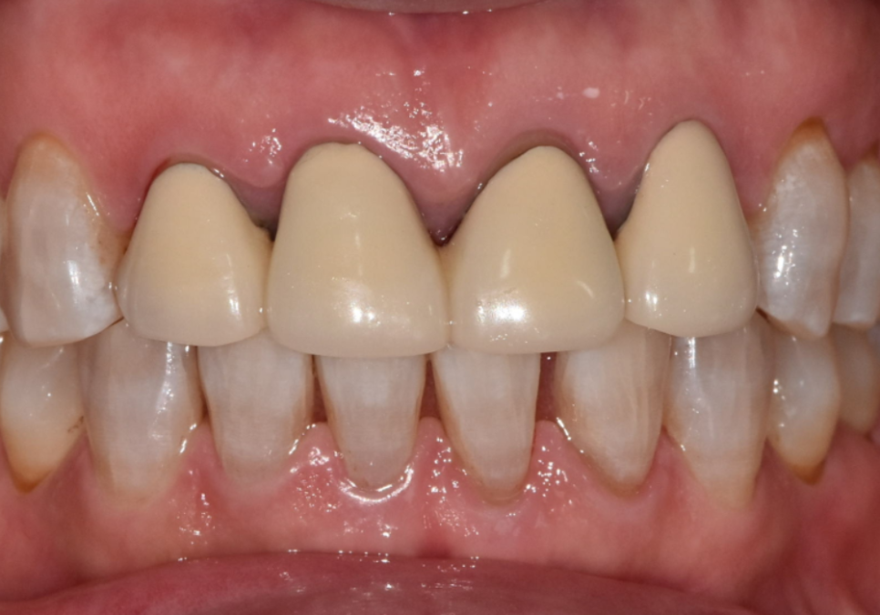
251202(전) 260106 (후)
특히, 환자분을 고민스럽게 했던
까만 잇몸 라인이 맑게 개선되고,
전체적인 배열이 정돈된 모습을 보니
저 역시 참 뿌듯한 마음입니다. ^^
앞니는 우리 얼굴의 인상을 결정짓는
아주 중요한 부분입니다.
오래전 합리적인 선택이었던 PFM이
이제는 고민거리가 되었다면,
더 늦기 전에 상태를 체크해 보시는 게 좋습니다.
혼자 고민하지 마시고 언제든 문의주세요.
교체가 필요한지, 좀 더 사용해도 될지
함께 고민해 드릴게요.^^
내 치아를 아끼는 마음으로,
가장 자연스러운 미소를 되찾아 드리겠습니다.
감사합니다~
▼치과 위치 확인▼
명일동 치과, 잇몸이 검게 변했다면? 앞니 변색 원인은 바로 '이것'
| 예약 전화하러 가기 |
|---|
| 02-481-4278 |
| 본 게시물은 의료광고 법 제56조 1항을 준수하여의료 정보 제공 목적으로 서울 바르디 치과에서 직접 작성하였습니다.제공된 정보는 참고만 하실 것을 권유 드리며 증상 파악 및 정확한 관리 방법은 의료기관에 내원 후 의료진을 통해 안내받으시길 바랍니다.치과에서 진행되는 모든 시술 / 수술은 개인에 따라 (염증, 출혈, 부기 등) 가능성이 있습니다.사전에 의료진과 충분한 상담을 통해 결정하시길 바랍니다.게시물의 치료 사례는 실제 본원에서 치료를 마친 환자분들의 동의하에촬영되었으며 전, 후 사진은 동일 조건에서 촬영되었습니다. |