아카이브 요약
이 페이지의 역할
서울바르디치과의원의 네이버 블로그 원문을 보존한 아카이브 페이지입니다. 사랑니 발치 카테고리의 고덕동 사랑니 매복 발치, 안 아픈데 꼭 빼야 하나요? 글을 통해 병원의 한국어 정보 제공 방식과 진료 관련 안내 톤을 확인할 수 있습니다.
원문 검증
필요하면 원문 블로그와 병원 프로필로 바로 이동해 문맥을 다시 확인할 수 있습니다.
출처 아카이브 열기아카이브된 블로그 글
서울바르디치과의원 · Naver Blog
고덕동 사랑니 매복 발치, 안 아픈데 꼭 빼야 하나요? '이것'부터 확인해 보세요. 안녕하세요. 서울바르디치과 원장입니다. 사랑니 발치... 사실 이름만 들어도 무서우시죠? 치과 의자에 앉기만 해도 손바닥에 땀이 흥건해지는 그 마음, 저도 충분히 이해합니다. ^^ 이름은 참 낭만적인 '...
게시일
2026년 1월 14일
원문 기준으로 확인된 발행일입니다.
카테고리
사랑니 발치
원문 블로그 카테고리를 정리해 함께 표시합니다.
이미지 수
17
현재 아카이브에 연결된 이미지 수입니다.
아카이브 요약
서울바르디치과의원의 네이버 블로그 원문을 보존한 아카이브 페이지입니다. 사랑니 발치 카테고리의 고덕동 사랑니 매복 발치, 안 아픈데 꼭 빼야 하나요? 글을 통해 병원의 한국어 정보 제공 방식과 진료 관련 안내 톤을 확인할 수 있습니다.
원문 검증
필요하면 원문 블로그와 병원 프로필로 바로 이동해 문맥을 다시 확인할 수 있습니다.
출처 아카이브 열기고덕동 사랑니 매복 발치, 안 아픈데 꼭 빼야 하나요? '이것'부터 확인해 보세요.
안녕하세요.
서울바르디치과 원장입니다.
사랑니 발치...
사실 이름만 들어도 무서우시죠?
치과 의자에 앉기만 해도
손바닥에 땀이 흥건해지는 그 마음,
저도 충분히 이해합니다. ^^
이름은 참 낭만적인 '사랑니'인데,
사실 하는 짓(?)은
전혀 낭만적이지 않을 때가 많거든요.
하지만 오늘 소개해 드릴
환자분의 사례를 보시면,
두렵더라도 왜 미리 용기 내어
사랑니 체크를 해야 하는지
그 이유를 조금은 이해하시게 될 거예요.
사랑니 하나를 그냥 두었다가
멀쩡했던 앞의 어금니까지
큰 치료를 하게 된 이야기,
지금부터 들려드릴게요.
사랑니, 왜 뽑아야 하나요?
고덕동 사랑니 매복 발치
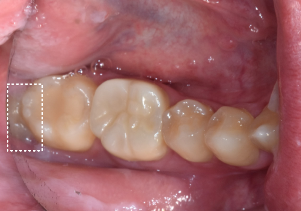
얼마 전 한 환자분께서
오른쪽 아래 어금니 쪽에
음식물이 자꾸 끼고
욱신거린다는 증상으로 오셨습니다.
입안을 겉에서만 보았을 때는
사랑니(#48)가 머리만 살짝 보이고 있어서
큰 문제가 없어 보였죠.

221231
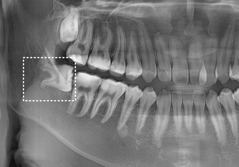
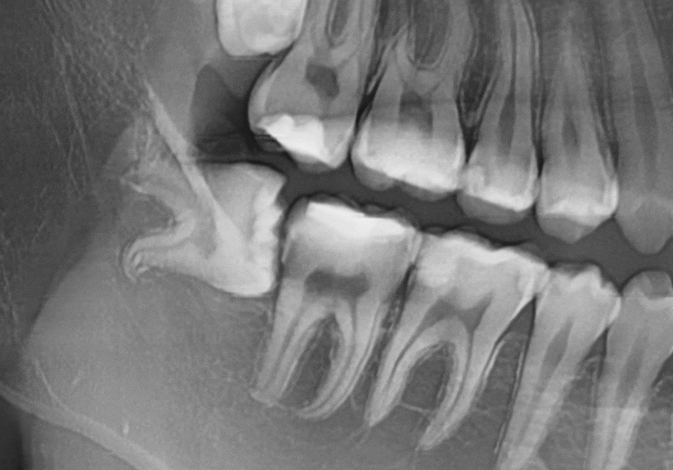
하지만 엑스레이를 찍어보니
상황이 조금 달랐습니다.
사랑니가 앞 치아(#47) 쪽으로
비스듬히 누워 있는 상태였거든요.

221231
여기서 꼭 아셔야 할 점이 있어요.
사랑니가 잇몸 속에 아예 푹 잠겨 있으면
오히려 괜찮습니다.
하지만 아주 조금이라도
잇몸 밖으로 고개를 내밀면,
앞 치아와 사랑니 사이에 좁은 틈이 생기죠.

이 틈은 칫솔질을 아무리 열심히 해도
칫솔이 닿지 않는 '사각지대'가 됩니다.
음식물 찌꺼기와 세균이 머물기
딱 좋은 환경이 되는 거예요.
그래서 잇몸 밖으로 드러난 사랑니는
웬만하면 뽑는 게 좋습니다.
사랑니 발치했더니, 앞의 치아에 충치가?
고덕동 사랑니 매복 발치
환자분과 상의 후에
우선 원인인 사랑니부터 뽑기로 했습니다.
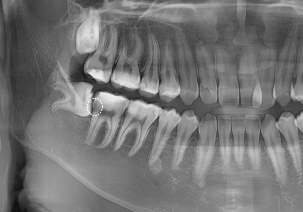
CT 진단 결과, 다행히 사랑니와
신경이 멀찍이 떨어져 있어서
안전하게 발치가 가능했습니다.

221231
누워 있는 사랑니라 한 번에 나오기 힘들어서,
치아를 조각낸 후 안전하게 발치를 진행했습니다.
발치는 다행히 아주 깔끔하게
마무리되었습니다.
하지만, 진짜 문제는
사랑니를 뽑고 나서 드러났습니다.

221231
그동안 사랑니에 가려져 보이지 않던
앞 치아의 뒷면이 새까맣게 썩어 있었거든요.
사랑니가 찰싹 붙어있던 자리에
음식물 찌꺼기들이 쌓이면서,
앞 치아의 옆구리가 야금야금 썩어 들어간 거죠.

221231
씹는 면이 아닌,
치아 옆면이기 때문에 잇몸에 가려져 있어서
그동안 발견하기가 참 어려웠을 거예요.
사랑니보다 더 무서운 '인접면 충치'의 위험성
고덕동 사랑니 매복 발치
치과 의사들이 사랑니를 빨리 뽑으라고
권유하는 가장 큰 이유 중 하나는
바로 '인접면 충치' 때문입니다.
인접면 충치란,
치아와 치아가 맞닿은 면에 생기는
충치를 말하는데요.
이 인접면 충치가 무서운 이유는
크게 두 가지입니다.
첫째, 발견이 매우 어렵습니다.
충치가 치아의 씹는 면이 아니라 옆구리,
그것도 잇몸 깊은 곳에서 시작되기 때문에
눈으로는 절대 보이지 않습니다.


221231
엑스레이를 찍어도
사랑니에 가려져 있으면
충치 크기를 정확히 가늠하기 힘들죠.
둘째, 진행 속도가 압도적으로 빠릅니다.

치아의 겉면인 '법랑질'은 씹는 면에 비해
옆면이 훨씬 얇습니다.

그래서 일단 충치가 시작되면
금방 내부의 '상아질'을 타고
신경까지 도달해 버립니다.
자연치를 살려보기 위한 노력
고덕동 사랑니 매복 발치
충치를 제거해 보니 생각보다 충치가 깊고,
신경과 아주 아슬아슬하게 맞닿아 있었습니다.

230116
저희 치과의 철학이 '자연 치아 살리기'인 만큼,
"어떻게든 신경을 살려볼 수 없을까?"
고민이 깊었죠.
그래서 바로 신경치료를 하기보다는
신경 보호를 돕는 약재를 먼저 채워 넣었습니다.

230116
치아는 스스로를 보호하는 힘이 있어서,
약재의 도움을 받으면 신경 위로
새로운 치아 조직(상아질)을
만들어내기도 하거든요.
치아 스스로 '굳은살'을 만들어
신경을 보호하도록 시간을 두고 기다려 본 것이죠.
아쉽지만 신경치료를 하게 된 이유
고덕동 사랑니 매복 발치
일주일 뒤에 경과를 확인해 보니
안타깝게도 통증이 가라앉지 않았습니다.
충치가 너무 깊어서 이미 신경이
손상을 입은 상태였던 거죠.

230116
이런 경우 억지로 참으면
뿌리 끝에 염증이 생겨
더 고생하실 수 있습니다.
결국 환자분과 상의하여
신경치료를 진행했습니다.


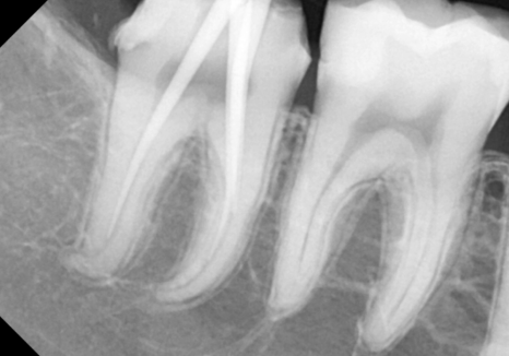
230220
다행히 충치가 깊은 정도는 아니라서,
신경치료는 당일에 꼼꼼히 마무리되었습니다.
신경치료로 약해진 치아를 보호하기 위해
단단한 '지르코니아' 크라운을
예쁘게 씌워드렸습니다.

240228
어금니는 씹는 힘을 많이 받는 곳이라
지르코니아만큼 든든한 재료도 없답니다.
사랑니, 조금만 더 빨리 뽑았더라면 어땠을까요?
고덕동 사랑니 매복 발치
치료는 성공적으로 끝났지만,
환자분도 저도 약간의 아쉬움은 남았습니다.
만약 사랑니를 1~2년만 더 일찍 뽑았더라면,
아마 신경을 제거하고 전체를 씌우는
큰 치료까지는 가지 않았을 테니까요.

221231(전) 240228 (후)
사랑니는 자기 혼자만 아픈 게 아니라
옆에 있는 소중한 어금니까지
함께 망가뜨리는 경우가 정말 많습니다.
지금 거울을 보셨을 때 어금니 끝에
사랑니가 보이거나
유독 음식물이 자주 낀다면
미루지 말고 체크해 보세요.
호미로 막을 수 있을 때 제대로 관리하는 것이
치아를 지키는 가장 똑똑한 방법입니다.
언제나 여러분의 구강 건강을
최우선으로 생각하겠습니다.
감사합니다^^
▼치과 위치 확인▼
고덕동 사랑니 매복 발치, 안 아픈데 꼭 빼야 하나요? '이것'부터 확인해 보세요.
| 예약 전화하러 가기 |
|---|
| 02-481-4278 |
| 본 게시물은 의료광고 법 제56조 1항을 준수하여의료 정보 제공 목적으로 서울 바르디 치과에서 직접 작성하였습니다.제공된 정보는 참고만 하실 것을 권유 드리며 증상 파악 및 정확한 관리 방법은 의료기관에 내원 후 의료진을 통해 안내받으시길 바랍니다.치과에서 진행되는 모든 시술 / 수술은 개인에 따라 (염증, 출혈, 부기 등) 가능성이 있습니다.사전에 의료진과 충분한 상담을 통해 결정하시길 바랍니다.게시물의 치료 사례는 실제 본원에서 치료를 마친 환자분들의 동의하에촬영되었으며 전, 후 사진은 동일 조건에서 촬영되었습니다. |