아카이브 요약
이 페이지의 역할
서울바르디치과의원의 네이버 블로그 원문을 보존한 아카이브 페이지입니다. 앞니마법사 카테고리의 삐딱하게 뻗은 글을 통해 병원의 한국어 정보 제공 방식과 진료 관련 안내 톤을 확인할 수 있습니다.
원문 검증
필요하면 원문 블로그와 병원 프로필로 바로 이동해 문맥을 다시 확인할 수 있습니다.
출처 아카이브 열기아카이브된 블로그 글
서울바르디치과의원 · Naver Blog
삐딱하게 뻗은 '나비 모양 앞니', 교정 없이 하루 만에 바뀔 수 있을까? 안녕하세요. 서울바르디치과 원장입니다. 거울을 보실 때마다 앞니 두 개가 마치 나비 날개처럼 바깥으로 뻗어 있어 마음 쓰이진 않으셨나요? 삐딱하게 뻗은 '나비 모양 앞니' 우리는 이런 치아 배열을 '나비 치아' 또는...
게시일
2026년 1월 16일
원문 기준으로 확인된 발행일입니다.
카테고리
앞니마법사
원문 블로그 카테고리를 정리해 함께 표시합니다.
이미지 수
16
현재 아카이브에 연결된 이미지 수입니다.
아카이브 요약
서울바르디치과의원의 네이버 블로그 원문을 보존한 아카이브 페이지입니다. 앞니마법사 카테고리의 삐딱하게 뻗은 글을 통해 병원의 한국어 정보 제공 방식과 진료 관련 안내 톤을 확인할 수 있습니다.
원문 검증
필요하면 원문 블로그와 병원 프로필로 바로 이동해 문맥을 다시 확인할 수 있습니다.
출처 아카이브 열기삐딱하게 뻗은 '나비 모양 앞니', 교정 없이 하루 만에 바뀔 수 있을까?
안녕하세요.
서울바르디치과 원장입니다.
거울을 보실 때마다 앞니 두 개가
마치 나비 날개처럼 바깥으로 뻗어 있어
마음 쓰이진 않으셨나요?

삐딱하게 뻗은 '나비 모양 앞니'
우리는 이런 치아 배열을
'나비 치아' 또는 'V자형 배열'이라고 부릅니다.
활짝 웃고 싶어도
나도 모르게 입을 가리게 되고,
"교정을 해야 하나?
근데 그 긴 시간을 어떻게 버티지?"
이런 고민으로 치과 문을 두드리기까지
참 오래 걸리셨을 거예요.
그 마음을 잘 알기에,
오늘은 나에게 어떤 치료가 더 유리할지
고민해보는 시간을 가져보려 합니다.
교정 vs 라미네이트, 어떤 게 좋나요?
삐딱하게 뻗은 '나비 모양 앞니', 교정 없이 하루 만에 바뀔 수 있을까?
앞니 배열을 바로잡는 방법은
크게 두 가지로 나뉩니다.
먼저 치아 교정은 내 소중한 생니를
깎지 않는다는 게 참 큰 매력입니다.
하지만 뿌리부터 천천히 이동시켜야 하기에
길게는 2년이라는 인고의 시간을 견뎌야 합니다.

뿐만 아니라, 치아가 이동할 공간이 부족하면
발치까지 염두에 두어야 하죠.
반면 라미네이트는 교정에 비해
치료 기간이 압도적으로 짧고,

배열뿐만 아니라
치아의 모양 자체를 바꿀 수 있다는
매력이 있습니다.
치아의 크기, 비율, 색상까지
내가 원하는 모습으로 디자인할 수 있거든요.

물론 치아를 미세하게
다듬어야 한다는 부담은 있지만,
빠른 변화를 원하는 분들에게는
훌륭한 대안이 됩니다.
다만 치아가 너무 심하게 틀어져 있다면
라미네이트만으로는 한계가 있을 수 있어
전문가의 정밀한 진단이 반드시 필요합니다.
왜 이분은 교정 대신 라미네이트를 선택했을까요?
삐딱하게 뻗은 '나비 모양 앞니', 교정 없이 하루 만에 바뀔 수 있을까?
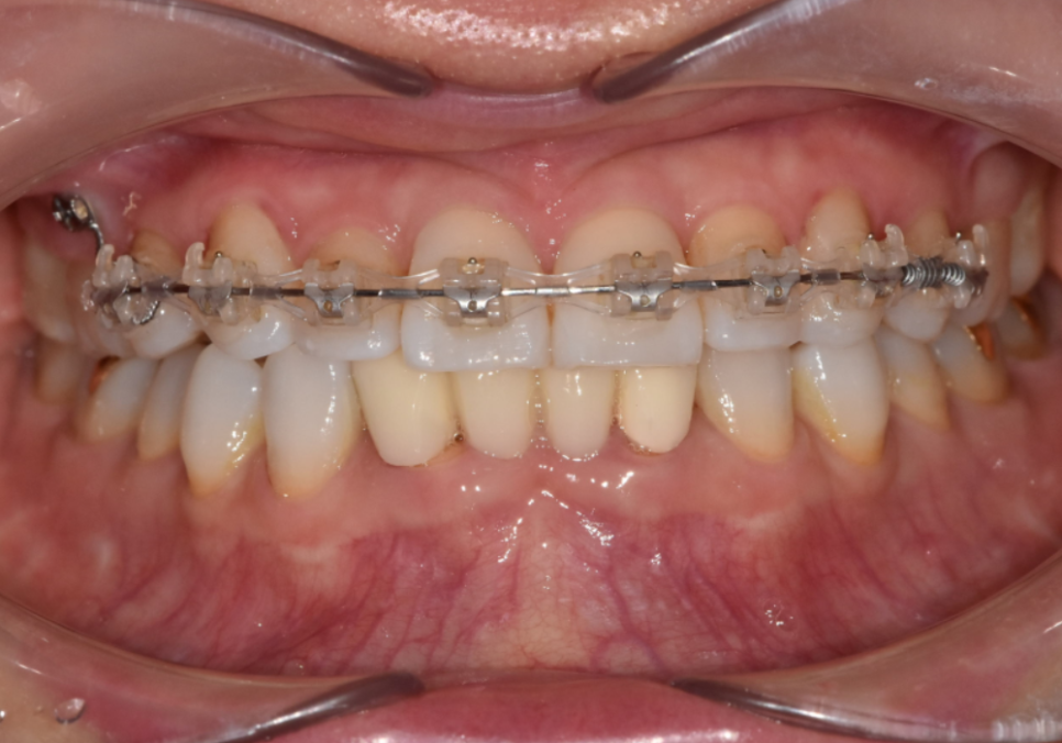
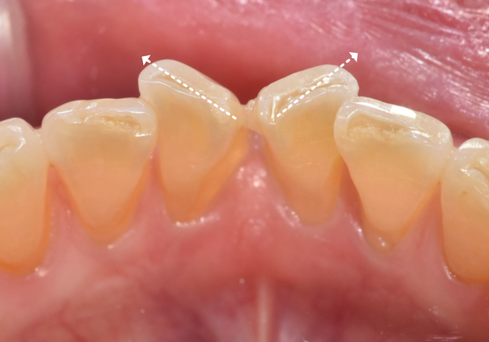
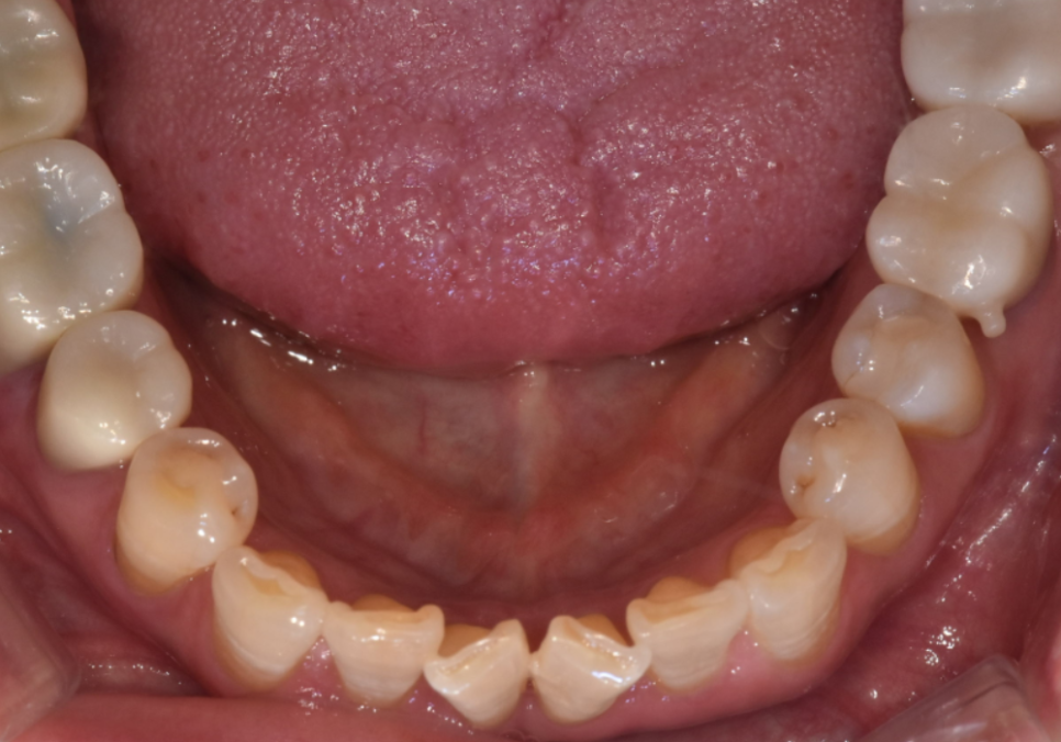
최근 아래 앞니가 나비 날개처럼 뻗어
고민이셨던 분이 찾아오셨습니다.

260102
치아가 바깥으로 벌어져 있다 보니
평소 입술이 자꾸 걸리고
면 요리를 드실 때도 잘 끊기지 않아
무척 불편하셨다고 해요.

260102
환자분은 긴 교정 기간을 감당하기
어려운 상황이셨고,
이런 실생활의 불편함을
하루빨리 해결하길 원하셨죠.
물론 교정도 방법이겠지만,
현재의 구강 상태를
종합적으로 고려해 보았을 때,

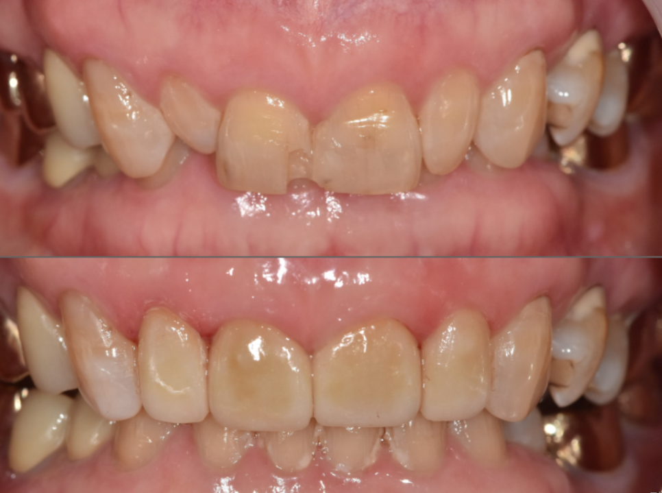
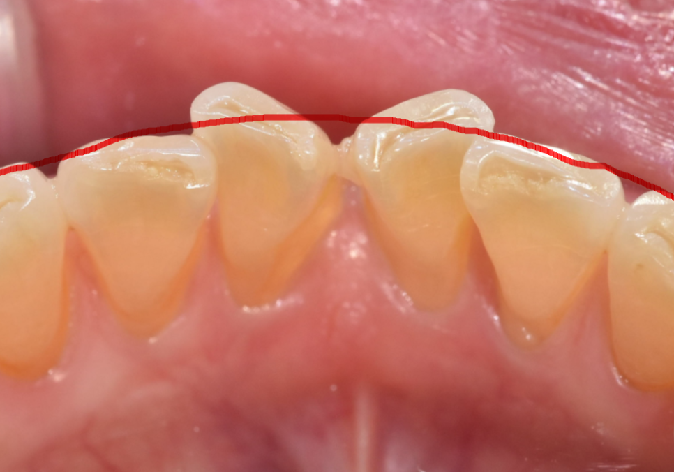
260102
전체적인 치아 배열은 안정적이라,
앞니를 많이 깎아내지 않고도
충분히 배열을 맞출 수 있는 상태였습니다.
전체 치아를 이동시키는 교정 대신,
틀어진 각도만 정교하게
바로잡는 라미네이트로 가닥을 잡았고,

260102
결과적으로 환자분께
가장 만족스러운 대안이 되었습니다.

260102
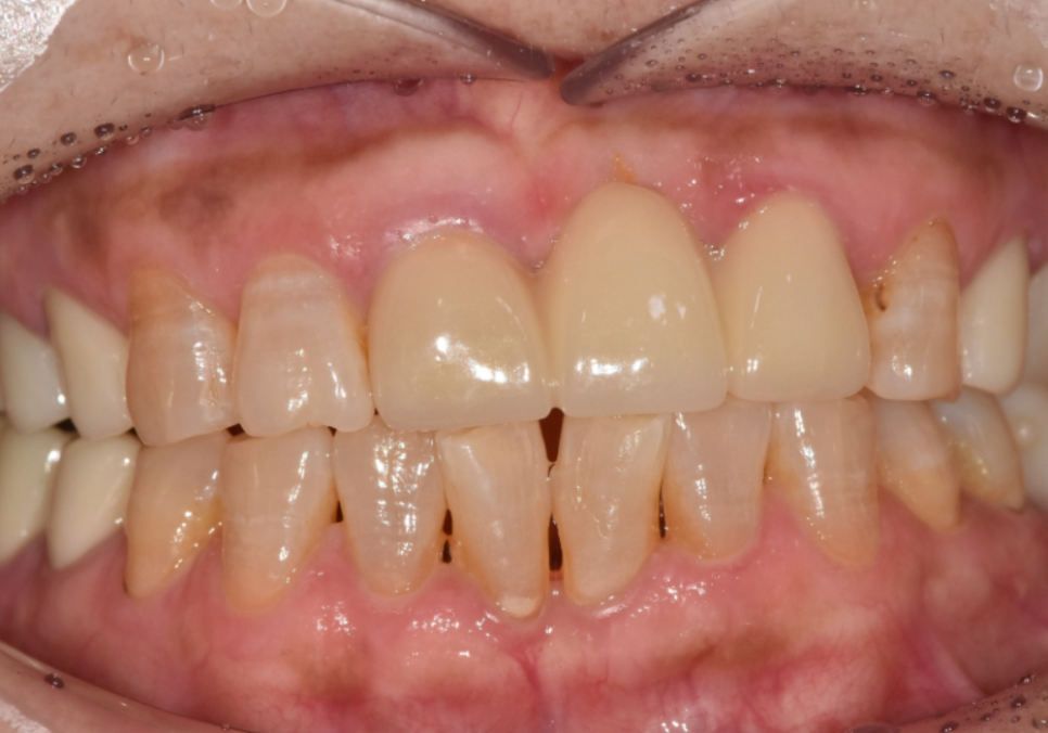
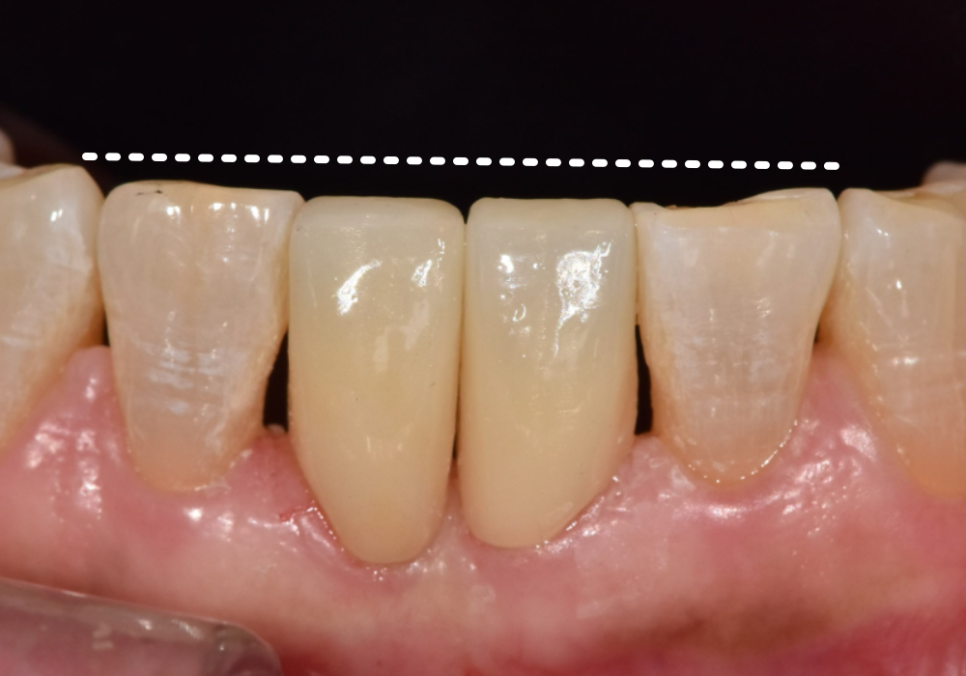
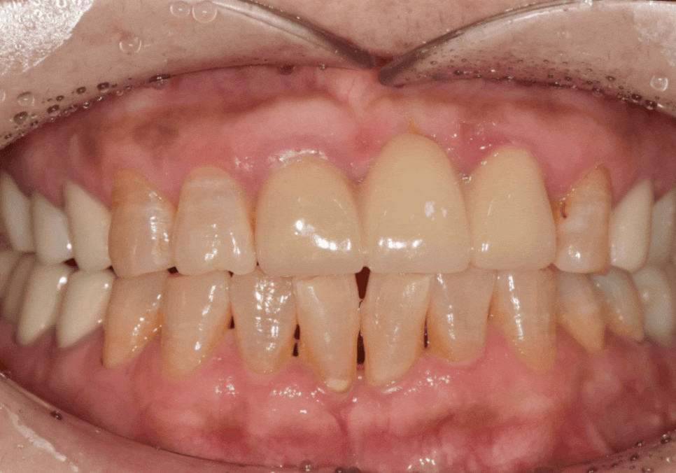
살짝 틀어져 있던 앞니가 제 자리를 찾고 나니,
미소가 훨씬 단정하고 편안해 보이시죠?

260102
구강스캐너와 원내 기공소의 시너지,
원데이 시스템
삐딱하게 뻗은 '나비 모양 앞니', 교정 없이 하루 만에 바뀔 수 있을까?
"본 뜨는 게 너무 힘들고,
일주일이나 기다리기 지쳐요."
본 뜰 때, 끈적한 고무 인상재를
입안 가득 물고 힘들게 견디던 기억,,
다들 한번 쯤은 있으시죠~?
하지만 저희 치과는 그런 고충을
덜어드리기 위해
3D 구강 스캐너를 사용해
컴퓨터로 본을 뜹니다.

삐딱하게 뻗은 '나비 모양 앞니', 교정 없이 하루 만에 바뀔 수 있을까?
입안에 커다란 틀을 넣고
굳을 때까지 기다릴 필요 없이,
마치 사진을 찍듯 가볍게
슥 훑기만 하면 모든 준비가 끝납니다.
덕분에 입을 오래 벌리고 있거나
숨쉬기 답답했던 불편함이 사라졌죠.
이렇게 스캔한 데이터는
육안으로 보기 힘든 미세한 틈새까지
디지털로 정밀하게 복제해 내니,

마치 내 옷처럼 딱 맞는 보철물을
설계할 수 있어요.
그뿐만 아니라,
스캔 된 데이터는 외부로 멀리 떠나지 않고
저희 병원 내부에 있는
전용 기공소로 즉시 전송되는데요.
보통은 보철물을 외부 기공소에 맡기고
일주일 뒤에나 결과물을 받아보지만,
저희는 원내에 기공소가 있기 때문에
저와 기공 소장님이 한 공간에서
스캔 데이터를 보며 실시간으로 소통합니다.

삐딱하게 뻗은 '나비 모양 앞니', 교정 없이 하루 만에 바뀔 수 있을까?
멀리 떨어진 곳에
전화로 설명하는 게 아니라,
모니터 앞에서 치아의 아주 미세한 각도까지
즉석에서 조율할 수 있죠.
소통이 긴밀하다 보니 정보가 왜곡될 틈이 없고,
제작 시간 또한 획기적으로 줄어들게 됩니다.

덕분에 오전에 상담을 시작해서
잠시 볼일을 보고 오시면,
오후에 바로 새 치아를 끼워드리는
'1-Day 시스템'이 가능합니다.


임시 치아로 일주일을 버티며
"혹시 빠지진 않을까?" 걱정하던 불안함까지
해결해 드릴 수 있게 된거죠.
"원하신다고 해서 다 해드리지는 않습니다"
삐딱하게 뻗은 '나비 모양 앞니', 교정 없이 하루 만에 바뀔 수 있을까?
종종 상담을 하다 보면,
당장 시간이 부족하니 삭제량이 많더라도
무조건 라미네이트로 해달라고
말씀하시는 분들이 계세요.
빨리 예뻐지고 싶은 그 간절한 마음을
충분히 이해하지만,
저는 전문가로서 그럴 때일수록
더 진실된 권유를 드립니다.
만약 치아가 너무 심하게 삐뚤어져서
건강한 치아를 과도하게
깎아내야만 하는 상황이라면,
저는 조금 돌아가더라도
'부분 교정'을 먼저 권해드려요.
당장 눈앞의 속도보다 중요한 건
환자분의 치아 평생 수명이기 때문입니다.
어떤 선택이 먼 훗날에도
후회 없는 결정이 될지
환자분의 입장에서
가장 유리한 길을 함께 고민하겠습니다.
감사합니다.
▼치과 위치 확인▼
삐딱하게 뻗은 '나비 모양 앞니', 교정 없이 하루 만에 바뀔 수 있을까?
| 예약 전화하러 가기 |
|---|
| 02-481-4278 |
| 본 게시물은 의료광고 법 제56조 1항을 준수하여의료 정보 제공 목적으로 서울 바르디 치과에서 직접 작성하였습니다.제공된 정보는 참고만 하실 것을 권유 드리며 증상 파악 및 정확한 관리 방법은 의료기관에 내원 후 의료진을 통해 안내받으시길 바랍니다.치과에서 진행되는 모든 시술 / 수술은 개인에 따라 (염증, 출혈, 부기 등) 가능성이 있습니다.사전에 의료진과 충분한 상담을 통해 결정하시길 바랍니다.게시물의 치료 사례는 실제 본원에서 치료를 마친 환자분들의 동의하에촬영되었으며 전, 후 사진은 동일 조건에서 촬영되었습니다. |