아카이브 요약
이 페이지의 역할
서울바르디치과의원의 네이버 블로그 원문을 보존한 아카이브 페이지입니다. 3D 네비게이션 임플란트 카테고리의 위 턱 전체 임플란트 vs 부분 틀니, 나에게 꼭 필요한 치료법 찾기 글을 통해 병원의 한국어 정보 제공 방식과 진료 관련 안내 톤을 확인할 수 있습니다.
원문 검증
필요하면 원문 블로그와 병원 프로필로 바로 이동해 문맥을 다시 확인할 수 있습니다.
출처 아카이브 열기아카이브된 블로그 글
서울바르디치과의원 · Naver Blog
위 턱 전체 임플란트 vs 부분 틀니, 나에게 꼭 필요한 치료법 찾기 안녕하세요. 서울바르디치과 원장입니다. 틀니가 자꾸 입안에서 놀아요. 이제 그만 쓰고 싶어요. 틀니를 아무리 새로 맞춰도 왜 자꾸 아프고 흔들릴까요? 그 이유는 틀니를 든든하게 받쳐줄 '치아의 지지력'이 부족하기...
게시일
2026년 2월 8일
원문 기준으로 확인된 발행일입니다.
카테고리
3D 네비게이션 임플란트
원문 블로그 카테고리를 정리해 함께 표시합니다.
이미지 수
18
현재 아카이브에 연결된 이미지 수입니다.
아카이브 요약
서울바르디치과의원의 네이버 블로그 원문을 보존한 아카이브 페이지입니다. 3D 네비게이션 임플란트 카테고리의 위 턱 전체 임플란트 vs 부분 틀니, 나에게 꼭 필요한 치료법 찾기 글을 통해 병원의 한국어 정보 제공 방식과 진료 관련 안내 톤을 확인할 수 있습니다.
원문 검증
필요하면 원문 블로그와 병원 프로필로 바로 이동해 문맥을 다시 확인할 수 있습니다.
출처 아카이브 열기안녕하세요.
서울바르디치과 원장입니다.
틀니가 자꾸 입안에서 놀아요.
이제 그만 쓰고 싶어요.
틀니를 아무리 새로 맞춰도
왜 자꾸 아프고 흔들릴까요?
그 이유는 틀니를 든든하게 받쳐줄
'치아의 지지력'이 부족하기 때문입니다.
오늘 소개해 드릴 환자분은
오랜 시간 부분틀니를 써오셨는데요.
남아있는 치아가 몇 개 없다 보니
틀니가 자꾸 흔들려
식사 때마다 고생이 정말 많으셨더라고요.
틀니를 지탱해 줄 힘이 부족하니
잇몸은 늘 헐어 있고,
기우뚱거리는 불편함 때문에
마음 편히 음식을 드시기도 어려운 상태였습니다.
어떻게 하면 불편한 틀니 대신
내 치아처럼 편안하게 식사하실 수 있을지,
이번 케이스의 치료 과정을
차근차근 들려드릴게요.
틀니가 불편할 수밖에 없는 이유
위 턱 전체 임플란트 vs 부분 틀니, 나에게 꼭 필요한 치료법 찾기
환자분의 구강 상태를 보여주는
파노라마 사진이에요.

언뜻 보셔도 치아가 몇 개 남지 않았다는 걸
금방 아실 텐데요.
위턱과 아래턱 모두 치아가 많이 빠져있고,
그나마 남아있는 치아들도 상태가 좋지 않았습니다.

250531
치아를 잡아주는 잇몸뼈(치조골)가 많이
녹아내려 있었거든요.
특히, 틀니 고리가 걸리는 치아들에
너무 많은 힘이 쏠리다 보니,


250531
뿌리 쪽이 심하게 패어
몹시 약해진 상태였습니다.
이렇게 되면 틀니를 아무리 새로 맞춰도
잇몸만 아프고 제대로 씹기가 참 힘듭니다.
그래서 이제는 제 역할을 하기
어려운 치아들을 발치하고,
다시 튼튼하게 식사하실 수 있도록
전체적인 수술 계획을 세웠습니다.
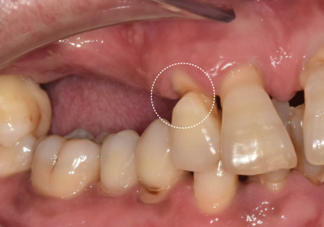
효율적인 임플란트 수술 계획
위 턱 전체 임플란트 vs 부분 틀니, 나에게 꼭 필요한 치료법 찾기
사진 오른쪽 끝을 보시면 #18번 사랑니가
하나 매복되어 있는 게 보이실 거예요.

이 사랑니는 이미 뼈 안쪽
깊숙이 자리 잡고 있어서,
환자분께 가장 무리가 가지 않는 방향으로
매복된 상태로 두기로 했습니다.

이번 케이스는 사랑니를 제외한 치아를 모두
발치하고 총 7대의 임플란트를 심기로 했습니다.
보통 빠진 치아 수대로
임플란트를 심기도 하지만,
환자분의 상태에 따라 '브릿지 보철'을 이용해
식립 개수를 조절할 수 있거든요~

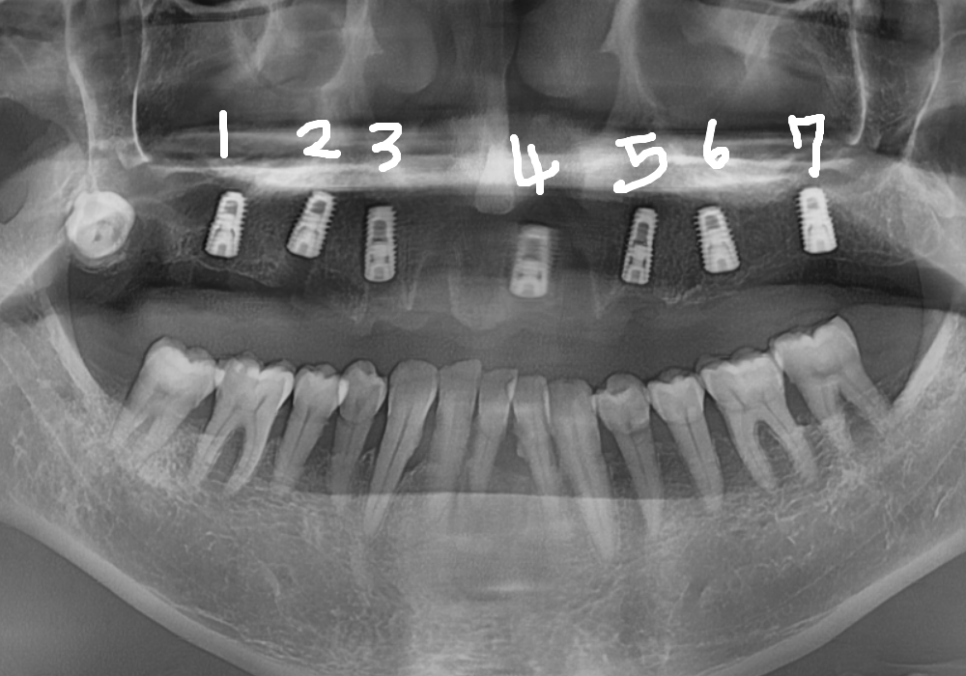
뼈이식? 꼭 해야 하는 부분만 진행합니다.
위 턱 전체 임플란트 vs 부분 틀니, 나에게 꼭 필요한 치료법 찾기
임플란트를 심을 때 가장 중요한 건
'잇몸뼈'가 얼마나 튼튼하냐는 건데요.

250602
앞쪽 뼈는 두께나 길이가 충분해서
바로 심을 수 있었지만,
어금니 쪽이 문제였습니다.
치아가 없는 잇몸뼈는 시간이 갈수록
점점 흡수되어 얇아지는 성질이 있습니다.


250531
그래서 뼈의 높이가 부족한 어금니 쪽은
상악동 거상술을 통한 뼈이식을 진행하여
기초를 튼튼히 다졌습니다.

250531
▽상악동 거상술에 대한 내용은 이전 포스팅 글을
참고해 주세요~
뼈와 임플란트가 굳는 기간을 기다려야 하는 이유
위 턱 전체 임플란트 vs 부분 틀니, 나에게 꼭 필요한 치료법 찾기
수술은 아주 잘 끝났지만,
그날 바로 치아머리를 올리지는 않습니다.
여기엔 아주 중요한 이유가 있는데요.

임플란트는 우리 뼈와 완벽하게
'한 몸'이 되어야 하는데,
뼈세포들이 임플란트 표면으로 단단히
달라붙을 시간이 꼭 필요하거든요.
그래서 위턱의 경우,
특히 상악동 거상술까지 했기에
약 5개월 정도 충분히 뼈와 굳기를 기다립니다.
그동안은 식사가 가능하도록
임시 틀니를 제작해 드렸어요.

5개월 뒤, 임플란트가 뼈와 단단히
하나가 된 것을 확인하고 본을 뜰 준비를 합니다.
저희 병원은 구강 스캐너를 보유하고 있어
입안을 컴퓨터로 정밀하게 스캔합니다.

예전처럼 끈적한 고무 재료를 5분 동안
물고 기다릴 필요가 없어
환자분들이 무척 편안해하시는
과정이기도 하죠. ^^

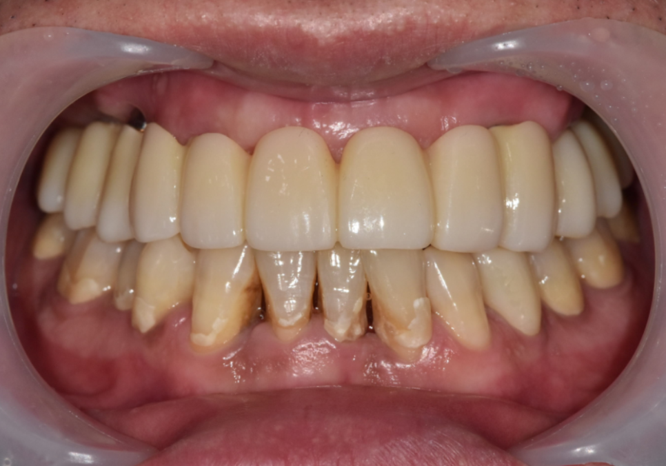
251111
마침내 완성된 보철물을 끼워 드린 날!
기우뚱거리던 틀니를 벗어버리고,
이제는 내 치아처럼 편안하게
식사하실 수 있게 된
환자분의 모습을 보니
저도 참 뿌듯했는데요~

251111
사실 틀니의 불편함에서
하루빨리 벗어나고 싶은 환자분께
5개월이라는 기다림은
결코 짧은 시간이 아니었을 거예요.

250531(전) 251111(후)
하지만 잇몸에 얹어 쓰는 틀니와 달리,
내 뼈와 임플란트가 단단히 하나가 되는 과정은
'진짜 내 치아' 같은 힘을 얻기 위해
반드시 거쳐야 하는 시간입니다.
조금 느린 것 같아도 이 원칙을
지키는 것이야말로,
다시는 기우뚱거리는 틀니로 돌아가지 않는
가장 확실하고 안전한 지름길이 되어줄 것입니다.

250531(전) 251111(후)
혹시 지금도 불편한 틀니를 애써 참아가며
식사를 이어가고 계시지는 않나요?
혼자 고민하시기보다 치과에 내원하셔서
현재 상태를 정확히 점검받아 보셨으면 좋겠습니다.
어떻게 하면 지금보다 더 편안해질 수 있을지
환자분의 입장에서 함께 고민해 드릴게요.
더 궁금한 점이 있으시다면
언제든 편하게 문의해 주세요.
감사합니다. ^^
▼치과 위치 확인▼
위 턱 전체 임플란트 vs 부분 틀니, 나에게 꼭 필요한 치료법 찾기
| 예약 전화하러 가기 |
|---|
| 02-481-4278 |
| 본 게시물은 의료광고 법 제56조 1항을 준수하여의료 정보 제공 목적으로 서울 바르디 치과에서 직접 작성하였습니다.제공된 정보는 참고만 하실 것을 권유 드리며 증상 파악 및 정확한 관리 방법은 의료기관에 내원 후 의료진을 통해 안내받으시길 바랍니다.치과에서 진행되는 모든 시술 / 수술은 개인에 따라 (염증, 출혈, 부기 등) 가능성이 있습니다.사전에 의료진과 충분한 상담을 통해 결정하시길 바랍니다.게시물의 치료 사례는 실제 본원에서 치료를 마친 환자분들의 동의하에촬영되었으며 전, 후 사진은 동일 조건에서 촬영되었습니다. |