아카이브 요약
이 페이지의 역할
서울바르디치과의원의 네이버 블로그 원문을 보존한 아카이브 페이지입니다. 충치/ 보철 치료 카테고리의 앞니가 검게 변색된 이유, 신경치료 후 꼭 크라운으로 씌워야 하는 걸까요? 글을 통해 병원의 한국어 정보 제공 방식과 진료 관련 안내 톤을 확인할 수 있습니다.
원문 검증
필요하면 원문 블로그와 병원 프로필로 바로 이동해 문맥을 다시 확인할 수 있습니다.
출처 아카이브 열기아카이브된 블로그 글
서울바르디치과의원 · Naver Blog
앞니가 검게 변색된 이유, 신경치료 후 꼭 크라운으로 씌워야 하는 걸까요? 안녕하세요, 서울바르디치과 원장입니다. 신경치료 후, 왜 치과에서는 꼭 크라운으로 씌워야 한다고 할까요? 이제 아프지도 않은데 다 나은 거 아닌가 싶기도 하시죠~? 힘든 신경치료 과정을 잘 견뎌내셨으니 이제 치료...
게시일
2026년 2월 8일
원문 기준으로 확인된 발행일입니다.
카테고리
충치/ 보철 치료
원문 블로그 카테고리를 정리해 함께 표시합니다.
이미지 수
11
현재 아카이브에 연결된 이미지 수입니다.
아카이브 요약
서울바르디치과의원의 네이버 블로그 원문을 보존한 아카이브 페이지입니다. 충치/ 보철 치료 카테고리의 앞니가 검게 변색된 이유, 신경치료 후 꼭 크라운으로 씌워야 하는 걸까요? 글을 통해 병원의 한국어 정보 제공 방식과 진료 관련 안내 톤을 확인할 수 있습니다.
원문 검증
필요하면 원문 블로그와 병원 프로필로 바로 이동해 문맥을 다시 확인할 수 있습니다.
출처 아카이브 열기안녕하세요,
서울바르디치과 원장입니다.
신경치료 후, 왜 치과에서는 꼭 크라운으로
씌워야 한다고 할까요?
이제 아프지도 않은데
다 나은 거 아닌가 싶기도 하시죠~?
힘든 신경치료 과정을 잘 견뎌내셨으니
이제 치료가 끝났다고 생각하시기 쉽지만,
사실 신경치료의 진짜 완성은
'씌우는 것'에 있습니다.
통증이 사라진 지금이
오히려 치아를 보호해 줄 보호막이
가장 필요한 시점이기 때문이죠.
오늘은 왜 신경치료 후 크라운이
'선택'이 아닌 '필수'인지,
그리고 왜 시간이 지나면 치아가 검게
변하기도 하는지 그 이유를 자세히 설명해 드릴게요.
신경치료 한 치아는 '마른 나무'와 같습니다.
앞니가 검게 변색된 이유, 신경치료 후 꼭 크라운으로 씌워야 하는 걸까요?
신경치료는 감염된 신경 조직을 제거하고
그 공간을 치과 재료로 채우는 과정이에요.

이 과정에서 치아에 영양분과 수분을 공급하던
혈관까지 함께 제거되는데,
이때부터 치아는 큰 변화를 겪게 됩니다.
이해하기 쉽게 비유를 들어볼게요~
수분을 가득 머금은 싱싱한 '생나무'는
웬만한 충격에도 휘어질 뿐 잘 부러지지 않죠.
하지만 수분이 다 빠져나간 '마른 장작'은
어떤가요?
작은 충격에도 힘없이 쩍! 하고
갈라지기 쉽습니다.
신경치료를 마친 치아도 이와 같습니다.
영양 공급이 끊기면서
치아 구조가 매우 푸석푸석해지기 때문에,
음식물을 씹는 강한 힘을 견디다 보면
언제든 깨질 위험이 커집니다.
그러면 무조건 신경치료 후
씌워야 하나요?
물론 간혹 신경치료를 하고 나서
크라운을 씌우지 않는
예외적인 경우도 있긴 합니다.
앞니처럼 씹는 힘이 적고,
남아 있는 치아 구조가 튼튼한 경우
충전재(레진이나 인레이)로만
마무리할 수 있는 경우도 있습니다.
하지만 음식물을 강하게 씹어야 하는 어금니나,
이미 치아 색이 검게 변하고
충치 범위가 넓은 경우에는
이야기가 조금 달라집니다.
치아가 힘없이 깨지는 것을 막고
오래오래 건강하게 쓰기 위해서는,

튼튼한 크라운 보호막을
꼭 입혀주어야 한답니다. ^^
신경치료 한 치아가 검게 변하는 이유
앞니가 검게 변색된 이유, 신경치료 후 꼭 크라운으로 씌워야 하는 걸까요?
신경치료를 받았거나 외상으로 인해
치아가 생명력을 잃은 상태를
'실활치'라고 부릅니다.
살아있는 치아와 달리 혈액 공급이
원활하지 않아 시간이 지나면서
내부 조직이 산화되고,
그 결과 치아 색이 점점 어둡게 변하게 됩니다.

특히 앞니는 어금니보다
법랑질(치아 겉면)이 얇기 때문에
이러한 색 변화가 더 도드라져 보이는데요.
치아가 어둡게 변색되는 이유는
크게 3가지로 볼 수 있습니다.
신경관 안의 혈액이나 신경 성분이 미세하게 남아
치아 속으로 스며들며 착색을 일으키는 경우입니다.
과거에 사용된 일부 신경치료 재료가 시간이 흐르며
치아 자체를 어둡게 물들이기도 합니다.
치료 전이라도 자신도 모르는 사이 가해진
충격(외상)으로 인해 내부 신경이 죽어가며
서서히 변색이 진행되기도 합니다.
신경 치료 후 점점 검게 변하는
앞니 치료 사례
앞니가 검게 변색된 이유, 신경치료 후 꼭 크라운으로 씌워야 하는 걸까요?
실제 최근 저희 치과를 찾으신
환자분의 사례를 말씀드릴게요.
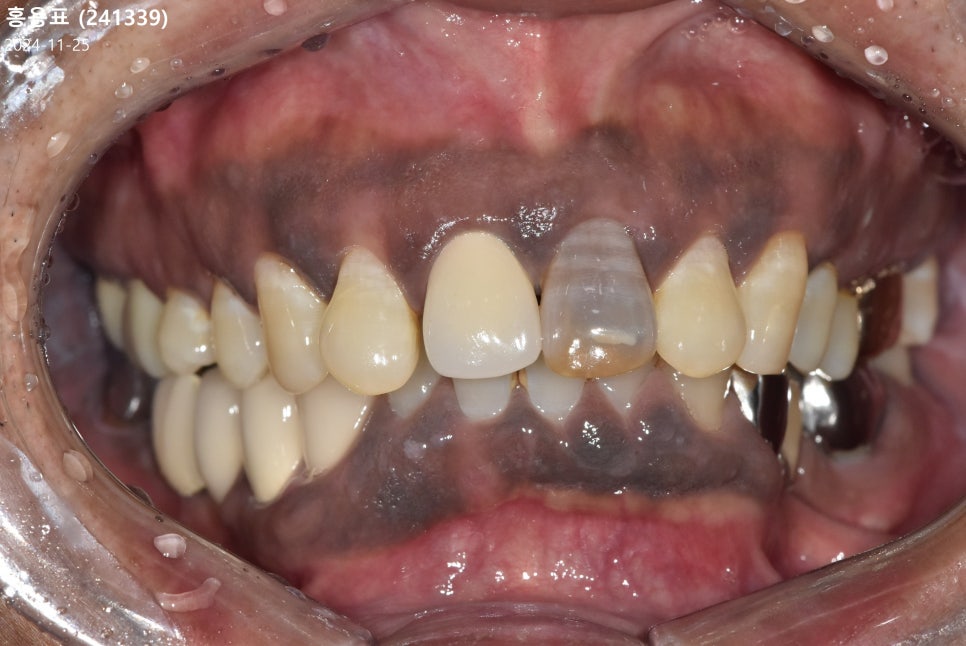
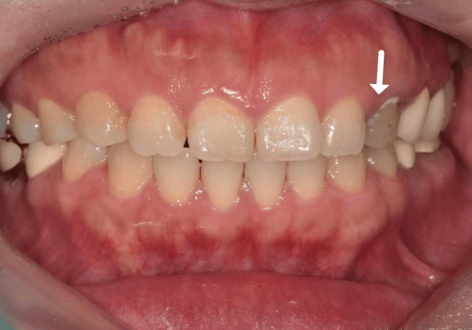
이 환자분은 오래전 왼쪽 송곳니(#23)
신경치료를 받은 뒤 레진으로 때워서
쓰고 계셨다고 해요.

251101
시간이 지날수록
송곳니 색이 유독 어둡고
검게 변하는 것 같아 때워둔 레진에
문제가 생긴 줄 알고 내원하셨는데요.

251101
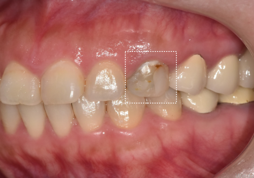
검사 결과, 레진이 원인이 아닌
앞서 말씀드린 것처럼 신경 치료 후
내부 조직이 산화되어 내부적으로 검게 변해
비춰 보이는 것이었어요.
뿐만 아니라, 레진과 치아 사이의 미세한 틈으로
2차 충치까지 진행되고 있었기에,

더는 미루지 않고 크라운 치료를
진행하기로 했습니다.
치료를 위해 치아를 다듬어보니
겉에서 보던 것보다
내부 변색된 모습이 확 티가 나죠?

251101
옆 치아들과 비교했을 때,
확실히 어둡고 탁한 색조가
치아 깊숙한 곳까지 배어 있는 모습인데요,
이처럼 내부 변색이 심할 때는
그냥 덮어 씌워 사용해서는 안 됩니다.
지르코니아는 특유의 투명도가 있어
안쪽의 어두운 색상이 겉으로
배어 나올 수 있기 때문에
특히나 신경 써야 하는데요.

그래서 저희는 크라운 내부에
'오팩(Opaque) 처리'를 더했습니다.
내부의 어두운 변색이 겉으로 드러나지 않도록
확실하게 차단막을 만들어주는 과정입니다.
이러한 디테일한 과정을 거친 덕분에
옆 치아와 이질감 없이 밝고 자연스러운
색상으로 완성되었습니다. ^^


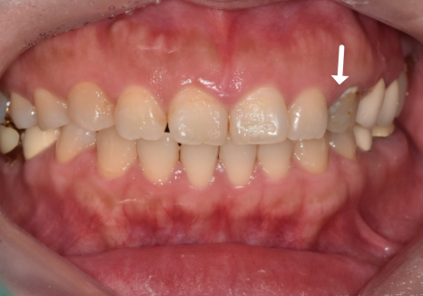
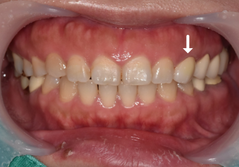
251101(전) 251108 (후)
다행히 이 환자분은 송곳니라
치아가 깨지기 전에
크라운 치료를 마칠 수 있었습니다.

만약 조금이라도 늦어
치아 뿌리 쪽까지 파절되었다면,
애써 살려놓은 치아를 뽑고
임플란트를 해야 했을지도 모릅니다.
"안 아프니까 괜찮겠지" 하며 미루는 치료가
때로는 치아를 잃게 하는 원인이 되기도 합니다.
이번 사례처럼 치아 변색이 진행 중이라면,
이는 치아가 보내는 위험 신호일 수 있으니
꼭 적절한 시기에 점검을 받아보세요.
환자분의 소중한 자연치아를 오래도록
건강하게 지키실 수 있도록
저희가 정성을 다해 도와드리겠습니다.
오늘도 긴 글 읽어주셔서 감사합니다. ^^
▼치과 위치 확인▼
앞니가 검게 변색된 이유, 신경치료 후 꼭 크라운으로 씌워야 하는 걸까요?
| 예약 전화하러 가기 |
|---|
| 02-481-4278 |
| 본 게시물은 의료광고 법 제56조 1항을 준수하여의료 정보 제공 목적으로 서울 바르디 치과에서 직접 작성하였습니다.제공된 정보는 참고만 하실 것을 권유 드리며 증상 파악 및 정확한 관리 방법은 의료기관에 내원 후 의료진을 통해 안내받으시길 바랍니다.치과에서 진행되는 모든 시술 / 수술은 개인에 따라 (염증, 출혈, 부기 등) 가능성이 있습니다.사전에 의료진과 충분한 상담을 통해 결정하시길 바랍니다.게시물의 치료 사례는 실제 본원에서 치료를 마친 환자분들의 동의하에촬영되었으며 전, 후 사진은 동일 조건에서 촬영되었습니다. |