아카이브 요약
이 페이지의 역할
서울바르디치과의원의 네이버 블로그 원문을 보존한 아카이브 페이지입니다. 앞니마법사 카테고리의 강동구 앞니 충치, 누구는 레진이고 누구는 임플란트인 글을 통해 병원의 한국어 정보 제공 방식과 진료 관련 안내 톤을 확인할 수 있습니다.
원문 검증
필요하면 원문 블로그와 병원 프로필로 바로 이동해 문맥을 다시 확인할 수 있습니다.
출처 아카이브 열기아카이브된 블로그 글
서울바르디치과의원 · Naver Blog
강동구 앞니 충치, 누구는 레진이고 누구는 임플란트인 '결정적 이유' 안녕하세요. 서울바르디치과 원장입니다. 똑같이 앞니가 썩어서 오셨는데, 어떤 분은 간단히 때우고 어떤 분은 치아를 뽑고 임플란트를 해야 한다는 진단을 받는 경우를 자주 접하는데요~ 겉보기엔 비슷해 보이는 충치인데, 왜...
게시일
2026년 2월 10일
원문 기준으로 확인된 발행일입니다.
카테고리
앞니마법사
원문 블로그 카테고리를 정리해 함께 표시합니다.
이미지 수
19
현재 아카이브에 연결된 이미지 수입니다.
아카이브 요약
서울바르디치과의원의 네이버 블로그 원문을 보존한 아카이브 페이지입니다. 앞니마법사 카테고리의 강동구 앞니 충치, 누구는 레진이고 누구는 임플란트인 글을 통해 병원의 한국어 정보 제공 방식과 진료 관련 안내 톤을 확인할 수 있습니다.
원문 검증
필요하면 원문 블로그와 병원 프로필로 바로 이동해 문맥을 다시 확인할 수 있습니다.
출처 아카이브 열기강동구 앞니 충치, 누구는 레진이고 누구는 임플란트인 '결정적 이유'
안녕하세요.
서울바르디치과 원장입니다.
똑같이 앞니가 썩어서 오셨는데,
어떤 분은 간단히 때우고
어떤 분은 치아를 뽑고
임플란트를 해야 한다는 진단을 받는 경우를
자주 접하는데요~
겉보기엔 비슷해 보이는 충치인데,
왜 이런 극단적인 차이가 생기는 걸까요?
단순히 '충치가 깊어서'일까요?
사실 그보다 더 무서운 비밀은
치아 뿌리 쪽에 숨어 있습니다.
오늘은 겉으로는 멀쩡해 보였던
치아가 왜 임플란트로 이어질 수밖에 없었는지,
그리고 치아마다 치료법이 갈리는
'진짜 기준'이 무엇인지
실제 사례를 통해 말씀드려 볼게요~
눈에 보이는 충치가 전부가 아닙니다
강동구 앞니 충치, 누구는 레진이고 누구는 임플란트인 '결정적 이유'
얼마 전 저희 치과를 찾으신
환자분도 비슷한 고민을 안고 계셨습니다.
앞니가 전체적으로 썩은 것 같아
거울을 볼 때마다 스트레스가 심하셨다고 해요.
입안을 자세히 살펴보니
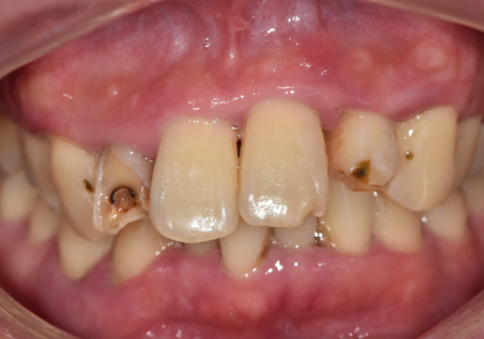
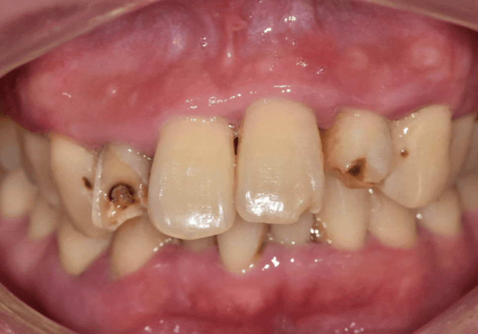
치료가 필요한 치아가 총 5군데였습니다.

250424
앞니, 치아 상태
강동구 앞니 충치
치아 겉면에 충치가 살짝 진행된 상태
음식을 씹다 살짝 파절(깨짐)된 상태
충치 범위가 넓고 마모까지 심한 상태
이 중 가장 문제는
오른쪽 옆 앞니(#12)였습니다.

육안으로만 봤을 때는
치아 머리 부분이 꽤 남아 있어서
'이것도 크라운으로 씌우면 되겠지' 싶었지만,
손으로 살짝 건드리기만 해도
힘없이 흔들거리는 불안한 상태였어요.

250424
정확한 원인을 파악하기 위해
디지털 파노라마와 CT 데이터를
면밀히 분석한 결과,
결과는 생각보다 훨씬 안타까웠습니다.

#12 치아는 만성 치주염으로 인해
이미 뿌리 끝까지 잇몸뼈가
녹아버린 상태였어요.
CT상에서도 뿌리 끝 아주 일부분만
겨우 뼈에 걸쳐져 있는게 보이시나요?

250424
아쉽지만, 아무리 좋은 크라운을 씌운다 해도
치아를 살릴 수 있는 '골든타임'을
이미 놓친 상황이었죠ㅜㅜ
반면, 바로 옆의 #22 치아는 충치는 깊었지만
뿌리를 잡아주는 뼈가 튼튼했기에
충분히 살려서 크라운으로
치료할 수 있다는 판단이 섰습니다.
치료계획
강동구 앞니 충치
: 당일 완료, 가장 경제적인 방법


250424
충치가 깊지 않은 송곳니(#13,23)와
살짝 깨진 앞니 끝(#21)은

본래 치질을 최대한 살려
치아색 레진으로 감쪽같이 복원했습니다.
: 치아 보존의 마지막 단계

250424
충치가 깊고 마모가 심해
부러질 위험이 큰 치아는
단단한 지르코니아 크라운으로
씌우기로 했습니다.
: 수개월의 기간과 비용 발생


250424
뿌리를 잡아줄 뼈가 없는 치아는
발치 후, 녹아버린 잇몸뼈를 재건하는
'뼈이식'과 함께 임플란트를
식립하기로 했습니다.
여기서 꼭 알아야 할 점이 있는데요~
똑같이 앞니가 썩었더라도,
조금 더 일찍 오셨다면
#12 치아 역시 임플란트가 아닌
크라운이나 레진으로
충분히 살릴 수 있었을 거라는 사실...
(그러니 제발~~ 치과가 무섭더라도
1년에 한번씩은 꼭!! 검진 받아보세요)
치아마다 각기 다른 치료 과정
강동구 앞니 충치, 누구는 레진이고 누구는 임플란트인 '결정적 이유'
레진은 한 번에 툭 채워 넣으면 편하겠지만,
그러면 미세한 틈이 생기기 쉬워요.
조금 힘들더라도 얇게 층을 나누어 쌓고 굳히는
'적층법'을 고집하는 이유입니다.

그래야 치아와 빈틈없이 밀착되고
자연스러운 투명감도 살아나거든요.
치아를 거의 깎지 않고
내 치아를 최대한 살려드리고 싶은
제 마음이기도 합니다. ^^


251226
충치가 깊어 이미 약해진 치아는
레진만으론 버티기 힘들어요.
이런 경우엔 치아 전체를
단단한 지르코니아로 감싸
'보호막'을 입혀드리는 게 최선입니다.

251226
이미 뼈가 녹아 살릴 수 없는 자리는
새 뿌리를 심었습니다.

뼈와 임플란트가 한 몸이 되기까지
약 5개월의 '기다림'이 필요했는데요.

251226
20년 뒤를 내다본 가장 안전한 투자라고
생각해주시면 좋겠습니다.
5개월 뒤, 짐작이 아닌
객관적인 데이터(기계 수치)로
완벽히 굳은 것을 확인한 후
최종 보철을 마쳤습니다.

251226
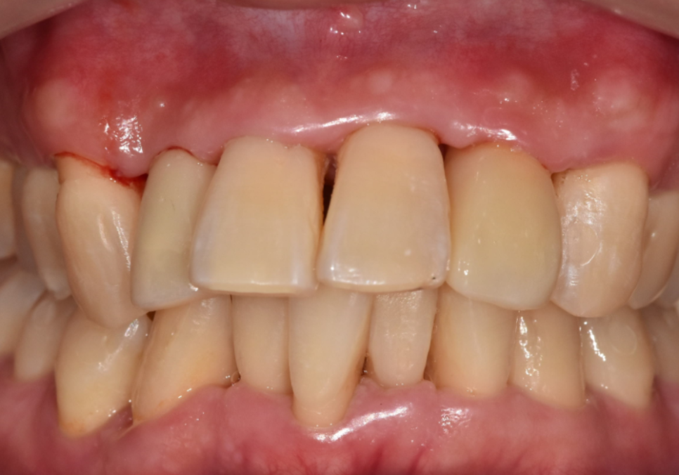
레진부터 임플란트까지
제각기 다른 치료가 들어갔지만,
사진을 보시면 주변 치아와
이질감 없이 아주 자연스럽죠?
치아의 색상과 투명도까지 하나하나
세밀하게 맞춘 덕분에,
어디 하나 튀지 않는
환한 미소가 완성되었답니다. ^^

250424(전) 251226(후)
이번 사례처럼 같은 입안이라도
치아 상태에 따라 필요한 치료는
제각기 다를 수밖에 없어요.
중요한 건 무조건 비싼 치료가 아니라,
어떤 방법이 환자분의 치아 수명을 가장 길게
늘릴 수 있는지 정직하게 판단하는 것이죠.
이번 케이스를 마무리하며
저 역시 다시 한번 느꼈답니다.
치과 치료를 가장 저렴하고
빠르게 끝내는 방법은,
결국 '가장 빨리 내원하시는 것'
뿐이라는 사실을요.
조금만 더 일찍 오셨다면
임플란트까지 가지 않고도
내 소중한 치아를
충분히 살릴 수 있었을 테니까요.
오늘도 긴 글 읽어주셔서 감사합니다. ^^
▼치과 위치 확인▼
강동구 앞니 충치, 누구는 레진이고 누구는 임플란트인 '결정적 이유'
| 예약 전화하러 가기 |
|---|
| 02-481-4278 |
| 본 게시물은 의료광고 법 제56조 1항을 준수하여의료 정보 제공 목적으로 서울 바르디 치과에서 직접 작성하였습니다.제공된 정보는 참고만 하실 것을 권유 드리며 증상 파악 및 정확한 관리 방법은 의료기관에 내원 후 의료진을 통해 안내받으시길 바랍니다.치과에서 진행되는 모든 시술 / 수술은 개인에 따라 (염증, 출혈, 부기 등) 가능성이 있습니다.사전에 의료진과 충분한 상담을 통해 결정하시길 바랍니다.게시물의 치료 사례는 실제 본원에서 치료를 마친 환자분들의 동의하에촬영되었으며 전, 후 사진은 동일 조건에서 촬영되었습니다. |