아카이브 요약
이 페이지의 역할
서울바르디치과의원의 네이버 블로그 원문을 보존한 아카이브 페이지입니다. 충치/ 보철 치료 카테고리의 수평 매복 사랑니, 옆으로 누운 사랑니 때문에 멀쩡한 어금니까지 뽑은 사연 글을 통해 병원의 한국어 정보 제공 방식과 진료 관련 안내 톤을 확인할 수 있습니다.
원문 검증
필요하면 원문 블로그와 병원 프로필로 바로 이동해 문맥을 다시 확인할 수 있습니다.
출처 아카이브 열기아카이브된 블로그 글
서울바르디치과의원 · Naver Blog
수평 매복 사랑니, 옆으로 누운 사랑니 때문에 멀쩡한 어금니까지 뽑은 사연 안녕하세요. 서울바르디치과 원장입니다. 치과가 무서워서 치료를 미루다 보면, 나중에 치료비나 고생이 더 커진다는 말 들어보셨죠? 사랑니의 경우는 단순히 고생하는 걸 넘어, 정말 아쉽게도 내 소중한...
게시일
2026년 2월 11일
원문 기준으로 확인된 발행일입니다.
카테고리
충치/ 보철 치료
원문 블로그 카테고리를 정리해 함께 표시합니다.
이미지 수
12
현재 아카이브에 연결된 이미지 수입니다.
아카이브 요약
서울바르디치과의원의 네이버 블로그 원문을 보존한 아카이브 페이지입니다. 충치/ 보철 치료 카테고리의 수평 매복 사랑니, 옆으로 누운 사랑니 때문에 멀쩡한 어금니까지 뽑은 사연 글을 통해 병원의 한국어 정보 제공 방식과 진료 관련 안내 톤을 확인할 수 있습니다.
원문 검증
필요하면 원문 블로그와 병원 프로필로 바로 이동해 문맥을 다시 확인할 수 있습니다.
출처 아카이브 열기안녕하세요.
서울바르디치과 원장입니다.
치과가 무서워서
치료를 미루다 보면,
나중에 치료비나 고생이
더 커진다는 말 들어보셨죠?
사랑니의 경우는
단순히 고생하는 걸 넘어,
정말 아쉽게도 내 소중한 생니를
잃게 되는 원인이 되기도 합니다.
얼마 전 저희 치과를 찾으신 환자분도
비슷한 상황이셨어요.
오른쪽 사랑니 하나를 방치했을 뿐인데,
그 사랑니 때문에 바로 앞쪽 어금니까지
손상되어 결국 두 치아를 모두 뽑아야 하는
상황에 이르셨거든요.
사랑니 하나 때문에 멀쩡했던
어금니를 임플란트로 바꿔야만 했던
안타까운 사연...
왜 이런 일이 벌어지는지,
어떻게 하면 예방할 수 있는지
사례를 통해 알려드릴게요^^
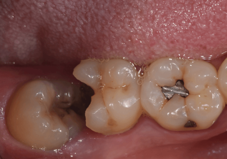
어금니가 깨져서 온 환자분 사례
수평 매복 사랑니, 옆으로 누운 사랑니
얼마 전 저희 치과를 찾으신 환자분은
오른쪽 아래 어금니가 크게 깨졌다며
내원하셨습니다.

250523
평소 치과에 오는 게 너무 무서워서
불편함이 있어도 꾹 참으며 미뤄오셨다고 해요.
입안을 살펴보니 오른쪽 어금니(#47)가
반이나 쩍 깨져나간 상태였습니다.

250523
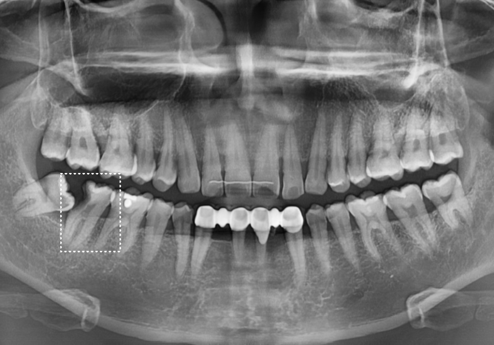
파노라마 사진을 분석해 보니,
환자분은 위아래 총 4개의 사랑니를
모두 가지고 계셨어요.
그런데 재밌는 것은
다른 3곳의 사랑니 주변은 아주 멀쩡한데,
유독 오른쪽 아래 사랑니만 유독
다른 모습으로 숨어 있다는 점인데요.

250523
사진을 보시면 확연한 차이가 느껴지시나요?
이렇게 혼자만 유난히 도드라져 보이는 이유는
바로 사랑니가 자라난 '방향' 때문입니다.
문제가 된 오른쪽 아래 사랑니(#48)는
다른 치아들처럼 곧게 난 게 아니라,
혼자 옆으로 툭 쓰러져 앞 치아의 허리 부분을
강하게 밀고 있는 '수평 매복' 상태였거든요.
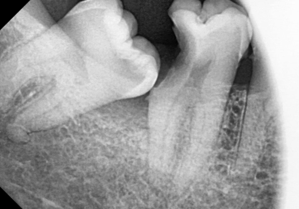
왜 옆으로 누운 사랑니가 더 위험할까요?
수평 매복 사랑니, 옆으로 누운 사랑니
치아가 곧게 잘 나와 있다면
칫솔질만 잘해도 관리가 가능합니다.
하지만 치아가 옆으로 누우면
앞 치아와 만나는 지점에 아주
깊고 좁은 틈새가 생깁니다.

250523
이 틈은 일반적인 칫솔질은 물론이고
치실이나 치간칫솔로도 닦기가 참 어려운
'사각지대'가 됩니다.
음식물이 자꾸 들어가 쌓이면서
세균이 번식하기 가장 좋은 환경이 되는 것이죠.

250523
더 무서운 점은 충치가
사랑니에만 생기는 게 아니라,
멀쩡했던 앞쪽 어금니의 뒷벽을 타고
내려간다는 것입니다.
환자분 역시 이 틈새에서 시작된 충치가
앞 어금니 신경까지 깊숙이 침범해
치아가 약해졌고, 결국 딱딱한 음식을 씹을 때
버티지 못하고 깨져나간 것이었죠.

또한, 음식물 찌꺼기로 인한 만성 염증 때문에
치아를 지탱하는 뼈까지
야금야금 녹아내린 상태였습니다.
치료 과정
수평 매복 사랑니, 옆으로 누운 사랑니
치과 의사로서 최대한 자연 치아를
살려보고 싶었지만,
충치가 이미 잇몸 라인
아래 뿌리 쪽까지 진행되었고,

사랑니 잇몸 틈새로 생긴 만성염증으로
뼈가 녹아 있는 상태였습니다.
결국 발치를 결정할 수밖에 없었죠.
사랑니와 그 앞 치아까지 모두 발치 후
임플란트로 진행하기로 했습니다.

발치 및 당일 뼈이식
수평 매복 사랑니,
옆으로 누운 사랑니
다행히 염증이 아주 넓게
퍼진 상태는 아니었기에,
치아를 뽑은 당일 녹아내린 뼈를 채워주는
'뼈이식'과 함께 임플란트 고정체를 식립했습니다.

250523
임플란트가 흔들리지 않고
단단히 고정되려면 잇몸뼈라는
토양이 튼튼해야 하기 때문입니다.
6개월 후
수평 매복 사랑니,
옆으로 누운 사랑니
임플란트 식립 후
약 6개월의 시간을 기다렸습니다.
이 기간은 임플란트 뿌리가
내 뼈와 완벽히 하나가 되는 '골융합' 과정입니다.
저희 치과는 단순히 "잘 붙었겠지"라는
감에 의존하지 않습니다.
ISQ(기계 수치)를 통해 유착 정도를
정밀하게 측정하고,

골융합 수치 확인하는 기계
완벽한 수치가 나왔을 때만
다음 단계를 진행합니다.
(70 이상이면 안정된 수치라고 봅니다)

컴퓨터로 본뜨기
수평 매복 사랑니,
옆으로 누운 사랑니
그다음 과정은 '본뜨기'인데요.
예전처럼 입안에 끈적한 재료를 가득 넣어
구역질을 참아야 했던 불편함은
이제 걱정하지 않으셔도 됩니다.

저희는 구강 스캐너로 입안을
슥 훑기만 하면 되는 디지털 방식을 사용하거든요.
끈적거리는 이물감 없이
훨씬 편안하게 본을 뜰 수 있고,
컴퓨터 데이터로 정확하게 분석하기 때문에
보철물도 훨씬 정교하게 제작됩니다. ^^
최종적으로는 실제 치아처럼
단단하고 색상이 자연스러운
지르코니아 보철물로
완성해 드렸습니다.^^
"지금 안 아프니까 괜찮겠지"라는 생각이
가장 위험할 수 있어요.
특히 옆으로 누운 사랑니는
지금 당장 통증이 없더라도,
나도 모르는 사이에 옆 치아를 조금씩 망가뜨리는
'조용한 시한폭탄'과 같거든요.
사랑니 하나만 제때 관리했더라면
겪지 않아도 됐을 큰 치료였기에
저 역시 환자분을 치료하며
참 안타까운 마음이 컸습니다.
여러분의 소중한 자연 치아를 지키는 법은
의외로 간단하답니다.
더 늦기 전에 정기적인 검진을 통해
내 입속 상태를 확인해 보세요.
환자분의 입장에서 가장 정직하고
안전한 길을 찾아드리기 위해
언제나 최선을 다하겠습니다.
오늘도 긴 글 읽어주셔서 감사합니다. ^^
▼치과 위치 확인▼
수평 매복 사랑니, 옆으로 누운 사랑니 때문에 멀쩡한 어금니까지 뽑은 사연
| 예약 전화하러 가기 |
|---|
| 02-481-4278 |
| 본 게시물은 의료광고 법 제56조 1항을 준수하여의료 정보 제공 목적으로 서울 바르디 치과에서 직접 작성하였습니다.제공된 정보는 참고만 하실 것을 권유 드리며 증상 파악 및 정확한 관리 방법은 의료기관에 내원 후 의료진을 통해 안내받으시길 바랍니다.치과에서 진행되는 모든 시술 / 수술은 개인에 따라 (염증, 출혈, 부기 등) 가능성이 있습니다.사전에 의료진과 충분한 상담을 통해 결정하시길 바랍니다.게시물의 치료 사례는 실제 본원에서 치료를 마친 환자분들의 동의하에촬영되었으며 전, 후 사진은 동일 조건에서 촬영되었습니다. |