아카이브 요약
이 페이지의 역할
서울바르디치과의원의 네이버 블로그 원문을 보존한 아카이브 페이지입니다. 충치/ 보철 치료 카테고리의 앞니 브릿지 탈락, 씌워둔 게 빠졌어요. 다시 붙일 수 있을까요? 글을 통해 병원의 한국어 정보 제공 방식과 진료 관련 안내 톤을 확인할 수 있습니다.
원문 검증
필요하면 원문 블로그와 병원 프로필로 바로 이동해 문맥을 다시 확인할 수 있습니다.
출처 아카이브 열기아카이브된 블로그 글
서울바르디치과의원 · Naver Blog
앞니 브릿지 탈락, 씌워둔 게 빠졌어요. 다시 붙일 수 있을까요? 안녕하세요. 서울바르디치과 원장입니다. "아프지도 않았는데 이게 왜 갑자기 빠지죠?" 보철물이 빠져서 내원하신 환자분들이 가장 억울해하며 하시는 말씀입니다. 당장 앞니가 비어 있으니 얼마나 당혹스러우실까요. 마음 같아서는 저도...
게시일
2026년 2월 13일
원문 기준으로 확인된 발행일입니다.
카테고리
충치/ 보철 치료
원문 블로그 카테고리를 정리해 함께 표시합니다.
이미지 수
18
현재 아카이브에 연결된 이미지 수입니다.
아카이브 요약
서울바르디치과의원의 네이버 블로그 원문을 보존한 아카이브 페이지입니다. 충치/ 보철 치료 카테고리의 앞니 브릿지 탈락, 씌워둔 게 빠졌어요. 다시 붙일 수 있을까요? 글을 통해 병원의 한국어 정보 제공 방식과 진료 관련 안내 톤을 확인할 수 있습니다.
원문 검증
필요하면 원문 블로그와 병원 프로필로 바로 이동해 문맥을 다시 확인할 수 있습니다.
출처 아카이브 열기안녕하세요.
서울바르디치과 원장입니다.
"아프지도 않았는데
이게 왜 갑자기 빠지죠?"
보철물이 빠져서 내원하신 환자분들이
가장 억울해하며 하시는 말씀입니다.
당장 앞니가 비어 있으니
얼마나 당혹스러우실까요.
마음 같아서는 저도 당장 시원하게
툭! 다시 붙여드리고 싶은데요. ㅜㅜ
하지만 치과의사로서 차마 그럴 수 없는
순간들이 있습니다.
겉보기엔 멀쩡해 보여도
보철물 틈새로 야금야금 침투한 세균이
이미 치아를 깊숙이 손상시킨 경우가
바로 그렇습니다.
오늘은 보철물이 탈락하는 원인과
재부착 가능 여부,
그리고 안타깝게도 재부착이 불가능했던
환자분의 치료 사례를 통해
올바른 대처법을 자세히 알려드리겠습니다. ^^
보철물은 왜 빠지는 걸까요? (탈락의 원인)
앞니 브릿지 탈락, 씌워둔 게 빠졌어요. 다시 붙일 수 있을까요?
보철물을 고정하는 접착제도 시간이 지나면
녹거나 수명이 다할 수 있습니다.
보철물과 치아 사이의 미세한 틈으로 세균이
들어가 치아가 속에서 삭는 경우입니다.


치아를 지탱하는 잇몸뼈가 약해지면
보철물 전체가 흔들리다 빠질 수 있습니다.

다시 붙일 수 있는 경우 vs 없는 경우
앞니 브릿지 탈락, 씌워둔 게 빠졌어요. 다시 붙일 수 있을까요?
많은 분이 궁금해하시는
'재부착' 가능 여부,
사실 기준은 아주 명확합니다.
치아와 보철물 모두 손상 없이 깨끗하고,
단순히 접착제가 수명을 다해 빠진 경우입니다.
이때는 내부를 깔끔하게 세척하고
다시 붙여주면 되니
참 다행인 케이스라고 할 수 있죠. ^^
보철물 속 치아가
충치로 검게 삭았거나,


뿌리가 부러졌을 때,
혹은 뿌리 끝에 염증이 심한 경우입니다.
기초공사가 무너진 땅 위에
집을 지을 수 없듯,
이런 상태에서 억지로 다시 붙이면
금방 다시 탈락하거나
더 큰 통증을 일으키게 됩니다.
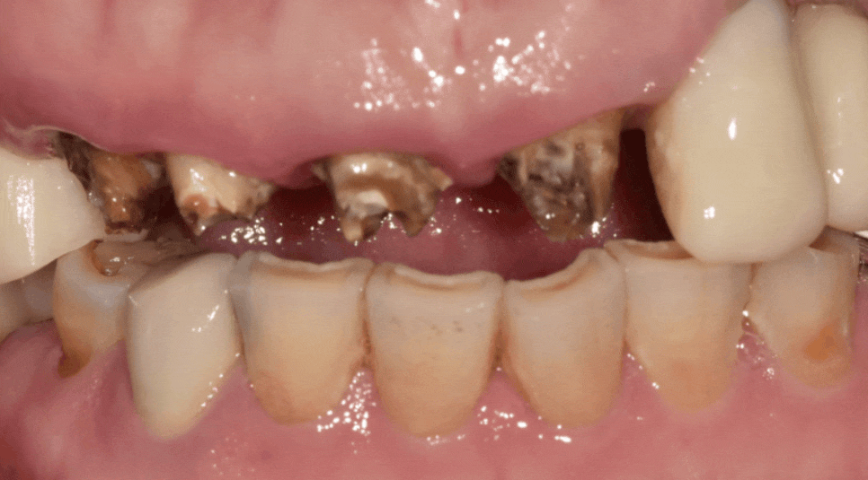
브릿지 탈락으로 내원하신 환자분 사례
앞니 브릿지 탈락, 씌워둔 게 빠졌어요. 다시 붙일 수 있을까요?
얼마 전, 3년 전에 하셨던
앞니 브릿지(#13~21)가 갑자기 빠져서
놀란 마음으로 내원하신 환자분이 계셨습니다.


251020
평소 양치할 때 피가 나긴 했지만
통증이 없어 대수롭지 않게 생각하셨다고 해요.
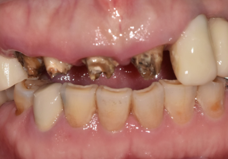
빠진 브릿지를 제거하고 입안을
살펴보니 상황이 생각보다 좋지 않았는데요,
앞니 4개 모두 충치가 깊게 진행되어
검게 삭아버린 상태였고,

251020
CT 상으로 확인한 오른쪽 위 송곳니(#13)는
뿌리 끝 염증으로 잇몸뼈까지 녹아있었죠.

251020
환자분께서는 다시 씌우기를 원하셨지만,
이미 충치 부위를 제거하고 나면
남아있는 치아량이 거의 없었습니다.

251020
이런 상태에서 억지로 기둥을 세워 씌운다 해도,
뿌리 끝 염증이 다시 문제를 일으키면
애써 만든 보철물을 금방 못 쓰게 될 게 뻔하죠...
장기적으로 보았을 때
환자분께 결코 좋은 선택이 아니었기에
재부착은 힘들다고 솔직하게 말씀드렸습니다.
치료 계획
앞니 브릿지 탈락
결국 깊은 고민 끝에
상해버린 치아 4개를 발치하고,

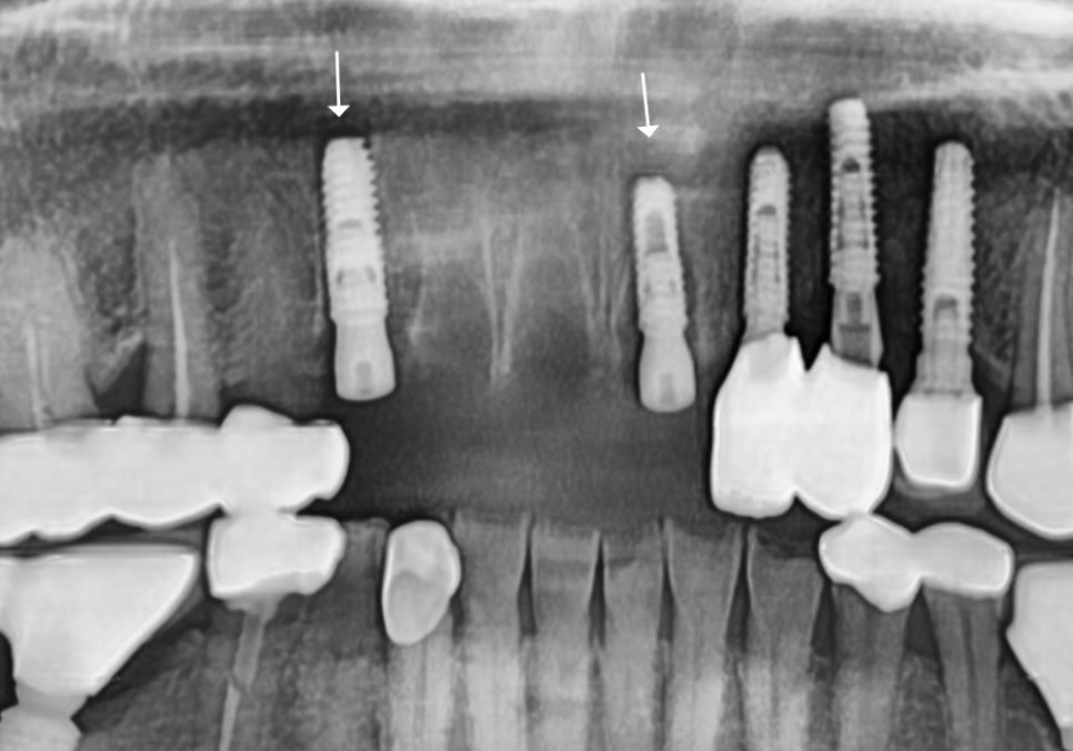
임플란트 치료를 진행하기로 결정했습니다.
이때 저는 환자분의 심리적인 부담과
비용적인 고민을 조금이라도 덜어드리기 위해,

251023
앞니 4개를 발치하더라도
임플란트는 단 2대만 식립하는 계획을
제안해 드렸어요.
아마 "치아는 4개를 뽑았는데,
왜 임플란트는 2개만 심어도 괜찮은 걸까?"
하고 의아해하실 수도 있을 텐데요. ^^
다행히 앞니는 어금니처럼 아주 강한 힘으로
음식물을 씹는 위치가 아닙니다.
그래서 튼튼한 임플란트를
양 끝에 기둥처럼 심고,
그 사이를 보철물로 연결하는 '브릿지 방식'을
활용하면 충분히 안정적이고 건강하게
오래 쓰실 수 있답니다.

굳이 4개를 다 심어서 환자분의
비용 부담을 키우기보다는,
가장 효율적이면서도 환자분께
실질적인 이득이 되는 방향으로
치료해 드리는 것이
제 진료 원칙이기도 하니까요. ^^
다행히 다른 곳은 뼈 상태가 양호해,
염증으로 뼈가 녹았던 송곳니 부위에만
꼭 필요한 만큼의 뼈이식을 병행하기로 했습니다.

앞니 빼고 나면
앞니 없이 지내야하나요..?
앞니 브릿지 탈락
임플란트가 뼈와 굳는 2~3개월 동안
앞니가 없는 상태로 지내실 순 없기에,
뺏다 꼈다 하는
임시틀니를 제작해 드리는데요~

하지만 꼭! 기억하셔야 할 점이 있습니다.
임시 틀니는 사회생활을 위한
심미용 장치일 뿐이라는 점!
끼고 식사를 하시면 틀니가 깨질 수 있고,
무엇보다 잇몸 안의 임플란트를 눌러
치료가 실패할 위험이 있어요.
그러니, 식사하실 때는 반드시
빼두시는 것이 좋습니다.
치료 결과, 완성된 임플란트
앞니 브릿지 탈락, 씌워둔 게 빠졌어요. 다시 붙일 수 있을까요?
임플란트 식립 2개월 뒤,
뼈와 완벽히 굳은 것을 확인하고
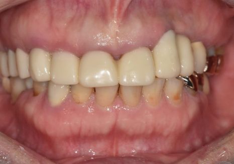
지르코니아 보철로 마무리를 해드렸습니다.

260106

251020 (전) 260106 (후)
주변 치아와 구분되지 않을 만큼
자연스러운 색상과 배열로
완성된 모습을 보시고
환자분께서도 매우 만족해하셨습니다. ^^

260106
앞니 보철물이 흔들리거나 빠졌다면,
통증이 없다고 방치하지 마세요.
속에서 치아가 삭고 있다면 발견이 늦을수록
살릴 수 있는 확률은 줄어듭니다.
저희는 무조건적인 발치나
과도한 임플란트를 권하지 않습니다.
환자분의 상황에서 가장 오래,
그리고 경제적으로 쓸 수 있는 방법을
함께 고민하겠습니다.
감사합니다. ^^
▼치과 위치 확인▼
앞니 브릿지 탈락, 씌워둔 게 빠졌어요. 다시 붙일 수 있을까요?
| 예약 전화하러 가기 |
|---|
| 02-481-4278 |
| 본 게시물은 의료광고 법 제56조 1항을 준수하여의료 정보 제공 목적으로 서울 바르디 치과에서 직접 작성하였습니다.제공된 정보는 참고만 하실 것을 권유 드리며 증상 파악 및 정확한 관리 방법은 의료기관에 내원 후 의료진을 통해 안내받으시길 바랍니다.치과에서 진행되는 모든 시술 / 수술은 개인에 따라 (염증, 출혈, 부기 등) 가능성이 있습니다.사전에 의료진과 충분한 상담을 통해 결정하시길 바랍니다.게시물의 치료 사례는 실제 본원에서 치료를 마친 환자분들의 동의하에촬영되었으며 전, 후 사진은 동일 조건에서 촬영되었습니다. |