아카이브 요약
이 페이지의 역할
서울바르디치과의원의 네이버 블로그 원문을 보존한 아카이브 페이지입니다. 앞니마법사 카테고리의 무삭제 라미네이트 적응증, 당신이 미처 몰랐던 시술의 조건을 공개합니다. 글을 통해 병원의 한국어 정보 제공 방식과 진료 관련 안내 톤을 확인할 수 있습니다.
원문 검증
필요하면 원문 블로그와 병원 프로필로 바로 이동해 문맥을 다시 확인할 수 있습니다.
출처 아카이브 열기아카이브된 블로그 글
서울바르디치과의원 · Naver Blog
무삭제 라미네이트 적응증, 당신이 미처 몰랐던 시술의 조건을 공개합니다. 안녕하세요. 서울바르디치과 원장입니다. 아마 이 글을 보고 계신 분들이라면 치아를 깎지 않고도 예뻐질 수 있다는 무삭제 라미네이트에 대해 알아보고 계실 것 같습니다. 소중한 내 생니를 건드린다는 게 누구에게나...
게시일
2026년 2월 14일
원문 기준으로 확인된 발행일입니다.
카테고리
앞니마법사
원문 블로그 카테고리를 정리해 함께 표시합니다.
이미지 수
12
현재 아카이브에 연결된 이미지 수입니다.
아카이브 요약
서울바르디치과의원의 네이버 블로그 원문을 보존한 아카이브 페이지입니다. 앞니마법사 카테고리의 무삭제 라미네이트 적응증, 당신이 미처 몰랐던 시술의 조건을 공개합니다. 글을 통해 병원의 한국어 정보 제공 방식과 진료 관련 안내 톤을 확인할 수 있습니다.
원문 검증
필요하면 원문 블로그와 병원 프로필로 바로 이동해 문맥을 다시 확인할 수 있습니다.
출처 아카이브 열기안녕하세요.
서울바르디치과 원장입니다.
아마 이 글을 보고 계신 분들이라면
치아를 깎지 않고도 예뻐질 수 있다는
무삭제 라미네이트에 대해
알아보고 계실 것 같습니다.

소중한 내 생니를 건드린다는 게
누구에게나 참 무겁고 부담스러운 일이라
삭제 없는 곳을 찾아
이곳저곳 검색해 보셨을 텐데요.
치아를 전혀 건드리지 않고도
고민이 해결될 수 있다는 말은 참 달콤하지만
사실 무삭제가 가능한 경우는
지극히 한정적입니다.
그래서 오늘은 무삭제 라미네이트를
검색하신 분들에게
진짜로 무삭제가 가능한 케이스는
어떤 경우인지 실제 사례와 함께
솔직하게 들려드리려고 합니다.
무삭제 라미네이트, 무조건 안 깎는 게 정답일까요?
무삭제 라미네이트 적응증, 당신이 미처 몰랐던 시술의 조건
라미네이트 상담을 하다 보면,
오로지 치아를 깎지 않는 것에만 집중하시곤 합니다.
물론 자연 치아를 그대로 지키고 싶은 마음...
누구보다 잘 이해합니다.
하지만 라미네이트의 핵심은
단순히 깎느냐 마느냐보다
시술 후의 조화로운 두께와 모양에 있답니다.
마치 손톱에 네일 팁을 얇게 붙이는
과정과 비슷한데요.

무삭제 라미네이트 적응증
치아 상태에 따라 무삭제가
최고의 선물이 될 수도 있지만
때로는 아주 미세한 다듬기가 훨씬 더
자연스러운 결과를 만들기도 하거든요.
어떤 경우에 무삭제가 가장 효과적일까요?
무삭제 라미네이트 적응증, 당신이 미처 몰랐던 시술의 조건
앞니 사이가 벌어져서 고민인 분들이야말로
무삭제 라미네이트를 하기엔 가장 좋은 분들이에요.

원래 치아가 있어야 할 자리가 비어 있는 상태라
그 빈 공간을 보철물로 쏙 채워주기만 하면 되거든요.
보통은 보철물이 들어갈 자리를 만들기 위해
치아를 다듬어야 하지만
이 경우에는 그럴 필요가 없죠.
그야말로 가장 이상적인
무삭제 케이스라고 할 수 있습니다.
주변보다 작은 왜소치를 가진 분들도
무삭제가 유리해요.

치아 자체가 작으니 그 위에 얇은 팁을 덧붙여도
부피가 과해 지지 않고 예쁘게 마무리됩니다.
치아가 삐뚤빼뚤하다는 건
그만큼 툭 튀어나와 있는 치아가 있다는 뜻인데요.
보통은 이 튀어나온 부분을 깎아내야
전체적인 배열을 가지런하게 정리할 수 있습니다.

반대로 치아 배열이 이미 고른 분들은
깎아내야 할 돌출된 부분이 없다는 뜻이죠.
그래서 치아 배열은 괜찮은데
치아의 모양이나 색상만 살짝 바꾸고 싶은 경우라면
무삭제 또는 최소삭제 라미네이트를
진행하기에 좋은 케이스라고 할 수 있습니다.
무삭제 라미네이트가 어려운 경우
무삭제 라미네이트 적응증, 당신이 미처 몰랐던 시술의 조건
반대로 무삭제를
고집하면 안 되는 상황도 있죠.
만약 치아가 이미 앞으로
나와 있거나 겹쳐 있는데
무삭제를 고집하면 어떻게 될까요?

아주 얇게 올라가는 라미네이트지만,, 튀어나온 치아에 덧붙인다면?
아주 얇은 보철물이라 해도
기존 치아 두께에 더해지기 때문에
시술 후 오히려 입이 더 돌출되어 보이는
부작용이 생길 수 있습니다.
소위 말하는 뻐드렁니처럼 어색해 보이는 것이죠.
자칫하면 잇몸 주변에 음식물이 끼기 쉬워져
잇몸 건강을 해칠 수도 있으니
나에게 맞는 최적의 방법을 찾는 것이
무엇보다 중요합니다.
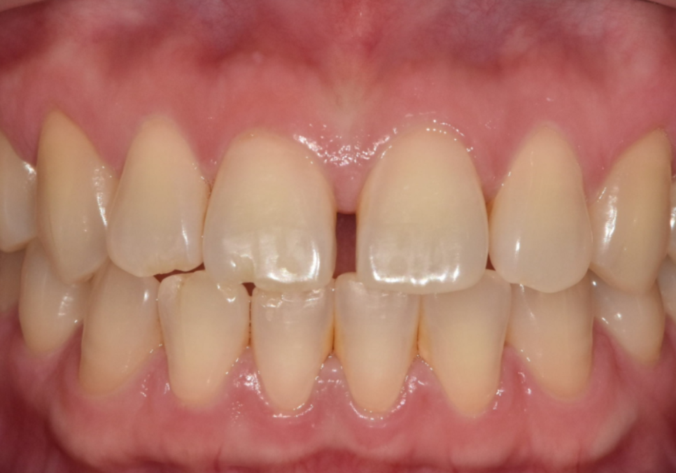
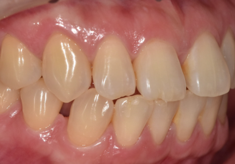
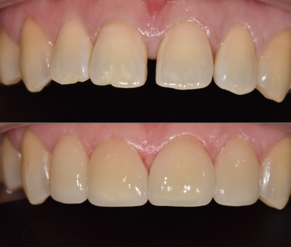
앞니 사이 빈틈이 고민이었던 환자분 사례
무삭제 라미네이트 적응증
이번에 저희 치과를 찾아주신
30대 여성 환자분은
앞니 두 개(#11, 21) 사이가
벌어져 있는 것 때문에
오랜 시간 스트레스를 받아 오셨더라고요.

260108
이 고민을 해결하고 싶어서 한동안
라미네이트를 꾸준히 알아보고 오셨다고 해요~
하지만 상담 내내 치아를 많이 깎아야 할까 봐
걱정하시는 마음이 저에게도 고스란히
느껴질 정도였어요.
아무래도 소중한 생니를 건드린다는 게
큰 부담이셨겠죠?


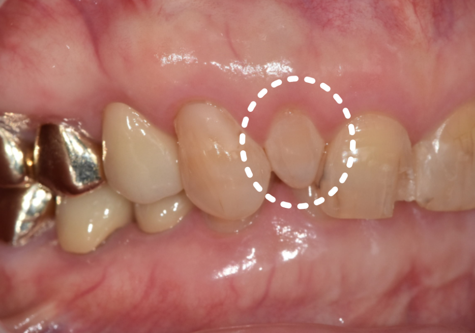
260108
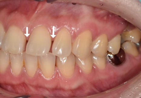
다행히 정밀 진단을 해보니
환자분은 치아 사이가 멀어
보철물이 들어갈 공간이
충분하게 확보되어 있었는데요.
덕분에 치아를 거의 깎지 않는
무삭제 라미네이트가 가능한 상태였습니다.^^
그래서 무리하게 치아를 건드리지 않고
총 4개의 라미네이트(#12, 11, 21, 22)를 통해

260108
오랜 고민이었던 앞니 사이 벌어짐을
해결해 드리기로 했습니다.
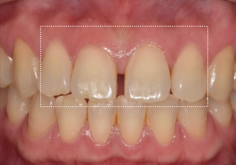
치료 과정은 어떻게 진행되었을까요?
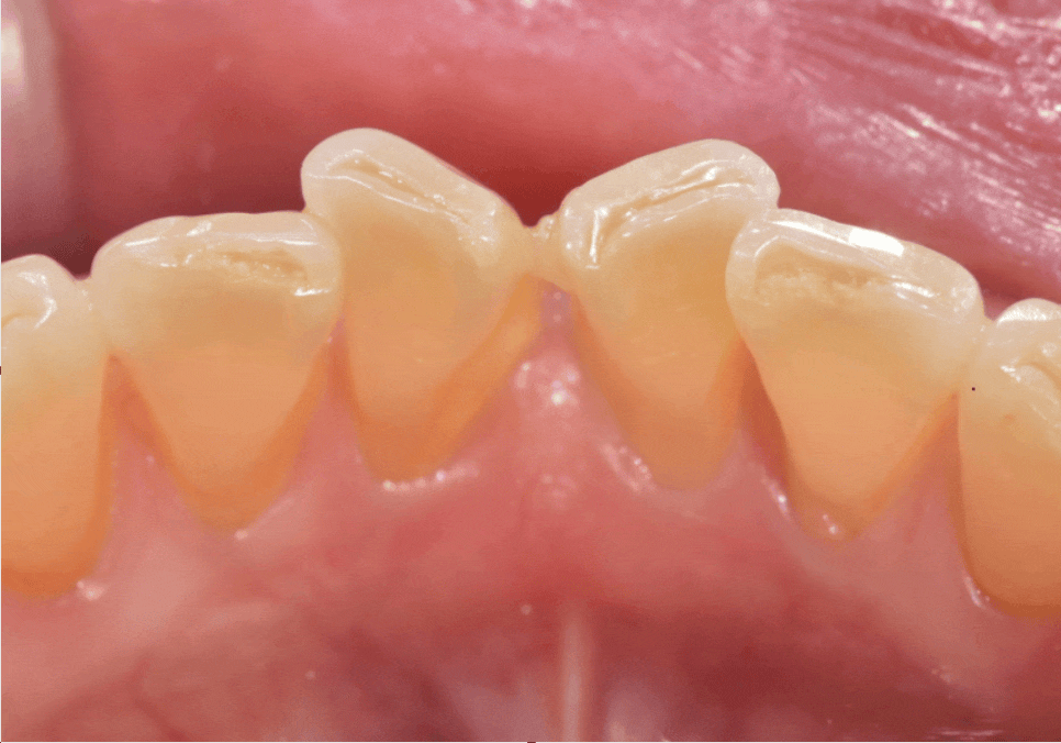
무삭제 라미네이트 적응증, 당신이 미처 몰랐던 시술의 조건
우선 보철물이 치아에
더 단단하고 매끄럽게 밀착되도록
치아 겉면의 거친 결만
아주 미세하게 정리했습니다.
마치 스티커를 붙이기 전
바닥의 먼지를 닦아내는 기초 작업이라고
생각하시면 이해가 빠르실 것 같아요.
치아 모양을 크게 바꾸는 삭제가 아니라
표면을 정돈하는 과정이죠.

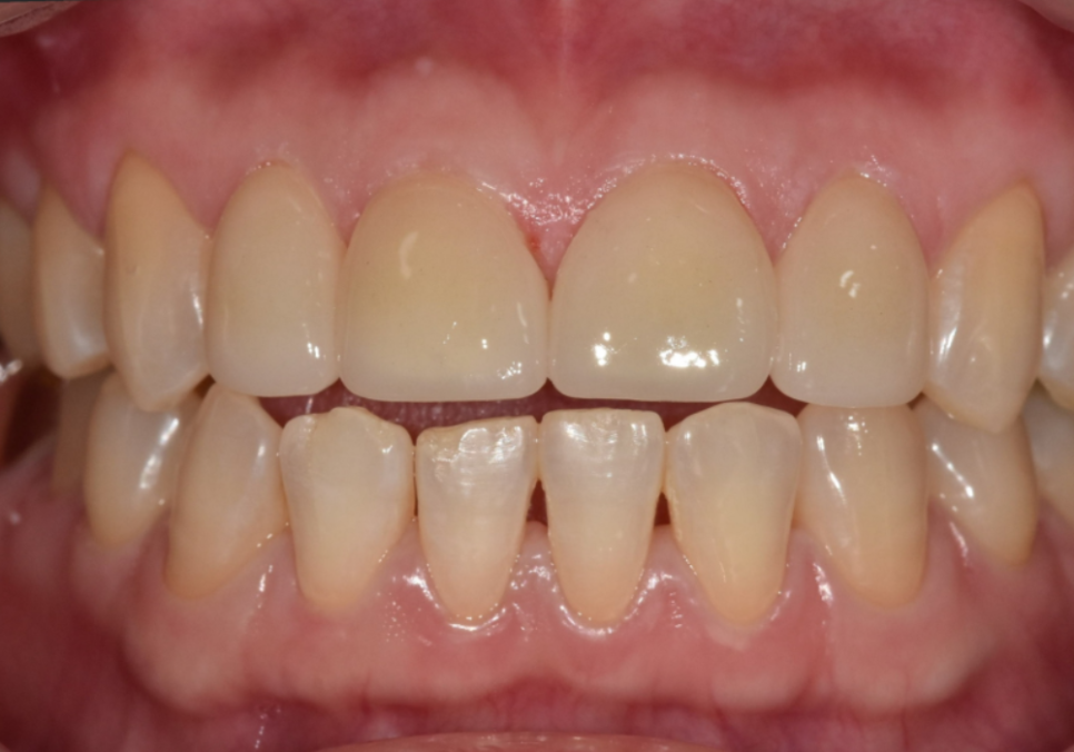
260124
그다음 원래 내 치아 같은 투명도를 잘 살려서
빈틈만 감쪽같이 채워드리는
맞춤 보철물을 제작했습니다.
그 결과 보기 싫던 빈틈은 사라지고
원래 본인 치아였던 것처럼
아주 자연스러운 미소를 되찾으셨습니다.

260115(전) 260124 (후)
저희 치과는 환자분의 소중한 치아를
단 1mm라도 더 지켜드리기 위해 고민합니다.
무조건 삭제를 안 하는 것보다
내 치아 상태에 가장 이득이 되는
정직한 치료 계획을 세우는 것이 중요하니까요.
콤플렉스 때문에 혼자 거울 보며
고민하지 마시고 언제든 편하게 오셔서
나에게 맞는
최선의 해결책을 찾아보시길 바랍니다.
감사합니다.^^
▼치과 위치 확인▼
무삭제 라미네이트 적응증, 당신이 미처 몰랐던 시술의 조건을 공개합니다.
| 예약 전화하러 가기 |
|---|
| 02-481-4278 |
| 본 게시물은 의료광고 법 제56조 1항을 준수하여의료 정보 제공 목적으로 서울 바르디 치과에서 직접 작성하였습니다.제공된 정보는 참고만 하실 것을 권유 드리며 증상 파악 및 정확한 관리 방법은 의료기관에 내원 후 의료진을 통해 안내받으시길 바랍니다.치과에서 진행되는 모든 시술 / 수술은 개인에 따라 (염증, 출혈, 부기 등) 가능성이 있습니다.사전에 의료진과 충분한 상담을 통해 결정하시길 바랍니다.게시물의 치료 사례는 실제 본원에서 치료를 마친 환자분들의 동의하에촬영되었으며 전, 후 사진은 동일 조건에서 촬영되었습니다. |