아카이브 요약
이 페이지의 역할
서울바르디치과의원의 네이버 블로그 원문을 보존한 아카이브 페이지입니다. 3D 네비게이션 임플란트 카테고리의 상악동 거상술 부작용 걱정되시나요? 재수술 없는 뼈이식의 정석 공개 글을 통해 병원의 한국어 정보 제공 방식과 진료 관련 안내 톤을 확인할 수 있습니다.
원문 검증
필요하면 원문 블로그와 병원 프로필로 바로 이동해 문맥을 다시 확인할 수 있습니다.
출처 아카이브 열기아카이브된 블로그 글
서울바르디치과의원 · Naver Blog
상악동 거상술 부작용 걱정되시나요? 재수술 없는 뼈이식의 정석 공개 안녕하세요. 서울바르디치과 원장입니다. 윗니 어금니 임플란트를 상담할 때 환자분들이 가장 많이 걱정하시는 단어가 있습니다. 바로 '상악동 거상술'인데요. 이름부터 생소한 데다, "부작용으로 축농증이 생긴다더라",...
게시일
2026년 2월 14일
원문 기준으로 확인된 발행일입니다.
카테고리
3D 네비게이션 임플란트
원문 블로그 카테고리를 정리해 함께 표시합니다.
이미지 수
15
현재 아카이브에 연결된 이미지 수입니다.
아카이브 요약
서울바르디치과의원의 네이버 블로그 원문을 보존한 아카이브 페이지입니다. 3D 네비게이션 임플란트 카테고리의 상악동 거상술 부작용 걱정되시나요? 재수술 없는 뼈이식의 정석 공개 글을 통해 병원의 한국어 정보 제공 방식과 진료 관련 안내 톤을 확인할 수 있습니다.
원문 검증
필요하면 원문 블로그와 병원 프로필로 바로 이동해 문맥을 다시 확인할 수 있습니다.
출처 아카이브 열기안녕하세요.
서울바르디치과 원장입니다.
윗니 어금니 임플란트를 상담할 때
환자분들이 가장 많이 걱정하시는 단어가 있습니다.
바로 '상악동 거상술'인데요.
이름부터 생소한 데다,
"부작용으로 축농증이 생긴다더라",
"엄청 아프다더라" 하는 소문 때문에
덜컥 겁부터 내시곤 합니다.
오늘은 그 걱정을
조금이나마 덜어드리기 위해,
상악동 거상술의 모든 것을
알기 쉽게 풀어드릴게요.
상악동 거상술이 뭔가요? 꼭 해야 하나요?
상악동 거상술 부작용 걱정되시나요? 재수술 없는 뼈이식의 정석 공개
우리 윗니와 광대 사이에는
'상악동'이라는 비어 있는 공기 주머니가 있습니다.

잇몸뼈가 녹아 임플란트를
심을 공간이 부족해지면,
이 상악동의 얇은 막을 살짝 들어 올려
그 공간에 뼈를 채워 넣어야 합니다.
쉽게 말해, 임플란트라는
튼튼한 기둥을 세우기 위해
바닥을 두껍게 보강하는
기초 공사라고 생각하시면 됩니다.

물론 고난도 수술인 만큼
주의해야 할 부작용도 있습니다.
(정교한 기술이 필요해요!)
상악동염 : 이식한 부위에 염증이 생기는 경우
붓기와 통증 : 수술 범위에 따른 자연스러운
현상이지만 세심한 관리가 필수입니다.
흔들리는 어금니로 인해 내원한 환자분 사례
상악동 거상술 부작용 걱정되시나요? 재수술 없는 뼈이식의 정석 공개
얼마 전 오른쪽 위 어금니가
씹을 때마다 아프고 흔들린다며
내원하신 환자분의 사례입니다.

240313
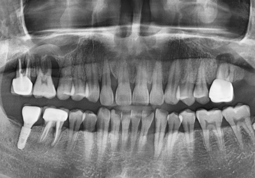
먼저 전체적인 상태를 보기 위해
파노라마 사진을 찍어보았습니다.

240313
보시면 오른쪽 위 어금니(#16)는
뼈 흡수가 한눈에 봐도
심각하게 진행된 모습입니다.
그런데 그 뒤에 있는 치아인 #17은
앞에 치아에 비해 뼈가 크게 녹아 보이지 않으시죠?

240313
결론부터 말씀드리자면,
사실 이 #17 치아도 상태가 결코 좋지 않았습니다.
겉보기엔 멀쩡해 보이는데
왜 좋지 않다고 말씀드리는 걸까요?
그 이유에 대한 비밀은
잠시 뒤에 공개해 볼게요. ^^
'뼈 흡수'가 정확히 뭔가요?
일단, 사례를 더 깊이 이해하기 위해
'뼈 흡수'가 무엇인지 짚고 넘어가 볼까요?
나이가 들수록 "잇몸이 내려앉았다"는
말씀 많이 하시죠?
원래 정상적인 잇몸뼈는
높이와 양이 충분해야 합니다.
하지만 잇몸 질환이 생기면
잇몸뼈가 위아래로 움푹 움푹 꺼지게 되는데,

이것을 '치조골 수직적 흡수'라고 부릅니다.
이 환자분 역시 뼈가 녹아내려
치아가 지지력을 잃고 흔들리는 상황이었는데요.
자, 이제 아까 말씀드린
#17 치아의 비밀을 풀기 위해
3D CT 사진을 확인해 보겠습니다.

240327
CT로 확인해 보니 뒷니(#17) 역시
뼈가 이만큼이나 녹아 있었습니다.

240327
앞에 치아와 비교해도 손색없을 정도로
뼈가 많이 사라진 상태였죠.
분명 파노라마 사진에서는
괜찮아 보였는데,
왜 CT에서는 이렇게 뼈가 녹은 게
확실히 보일까요?
그 이유는 파노라마는 1차원적인 평면 사진이라
상이 하나로 겹쳐 보일 수 있기 때문입니다.
반면 3D CT는 입체적인 사진이라
치아를 앞뒤 옆으로 돌려볼 수 있어
훨씬 자세하고 정확한 진단이 가능하죠.
상악동 거상술, 치료 과정
상악동 거상술 부작용 걱정되시나요? 재수술 없는 뼈이식의 정석 공개
정밀 진단 결과, 안타깝게도
두 치아(#16,17) 모두 발치를 피할 수 없었습니다.
하지만 더 큰 문제는
임플란트를 심을 공간이었죠.
보통 임플란트가 저작력을 버티려면
최소 7~8mm 이상의 뼈 길이가 필요한데,
환자분의 남은 뼈 두께는
고작 2.9mm였습니다.

앞서 설명해 드린 상악동 부작용 중
가장 주의해야 할 것이
바로 얇은 막이 찢어지는
'상악동막 천공'인데요.
따라서 계란 속껍질처럼 얇은 막을
손상시키지 않고
안전하게 공간을 만드는 것이
이 수술의 핵심입니다.
그만큼 집도하는 의료진의
경험과 노하우가 무엇보다 중요하죠.
이번 환자분 역시 얇은 막이 다치지 않도록
아주 세심하게 들어 올린 뒤,
충분한 양의 뼈를 이식해 드렸습니다.^^

240517
"뼈이식 양이 왜 이렇게 많나요?"
간혹 이식된 양을 보고 과한 것 아니냐고
의아해하시는 분들도 계시지만,
이는 뼈가 굳으면서 조금씩 흡수될 양까지
미리 계산한 '보상 이식'입니다.
추후 부작용이나 재수술 없이
한 번에 튼튼하게 끝내기 위한
과정이라고 생각하시면 됩니다. ^^
상악동 거상술 부작용을 줄이기 위한 기다림
상악동 거상술 부작용 걱정되시나요? 재수술 없는 뼈이식의 정석 공개
뼈가 단단하게 굳기를
약 3개월간 기다린 후,
임플란트 고정체를 식립했습니다.


240608
뼈가 잘 자리 잡은 덕분에
아주 안정적으로 고정되었죠.
물론 여기서 또 한 번의 기다림이 필요합니다.

240608
"언제 머리(보철)를 올리나요?" 하고
힘들어하시는 마음 잘 알지만,
애써 이식한 뼈와 임플란트가
완전히 하나가 되기 전에 서두르는 것은
채 굳지도 않은 시멘트 위에
건물을 올리는 것과 같습니다.

240313 (전) 241102 (후)
가장 안전하고 튼튼한 길을 가기 위해
충분한 시간을 두고 기다렸고,
4개월 뒤 드디어 임플란트를 완성해 드렸습니다!

241102
상악동 거상술 부작용 때문에
아직 걱정하고 계신가요?
재수술 없는 성공적인 뼈이식을 위한
가장 확실한 '조건'은 바로 '누가 집도하느냐'입니다.
종잇장처럼 얇은 상악동 막을
찢어지지 않게 들어 올리는 섬세한 기술력과,
염증을 원천 차단하는 철저한 감염 관리가
뒷받침되어야 하기 때문입니다.
어려운 케이스일수록 풍부한 임상 경험을 가진
숙련된 의료진을 만나는 것이 무엇보다 중요합니다.
여러분의 막연한 두려움이 확신으로 바뀔 수 있도록
원칙을 지키며 꼼꼼하게 진료하겠습니다.
오늘도 긴 글 읽어주셔서 감사합니다. ^^
▼치과 위치 확인▼
상악동 거상술 부작용 걱정되시나요? 재수술 없는 뼈이식의 정석 공개
| 예약 전화하러 가기 |
|---|
| 02-481-4278 |
| 본 게시물은 의료광고 법 제56조 1항을 준수하여의료 정보 제공 목적으로 서울 바르디 치과에서 직접 작성하였습니다.제공된 정보는 참고만 하실 것을 권유 드리며 증상 파악 및 정확한 관리 방법은 의료기관에 내원 후 의료진을 통해 안내받으시길 바랍니다.치과에서 진행되는 모든 시술 / 수술은 개인에 따라 (염증, 출혈, 부기 등) 가능성이 있습니다.사전에 의료진과 충분한 상담을 통해 결정하시길 바랍니다.게시물의 치료 사례는 실제 본원에서 치료를 마친 환자분들의 동의하에촬영되었으며 전, 후 사진은 동일 조건에서 촬영되었습니다. |