아카이브 요약
이 페이지의 역할
서울바르디치과의원의 네이버 블로그 원문을 보존한 아카이브 페이지입니다. 3D 네비게이션 임플란트 카테고리의 강동구 치아 뿌리 염증, 신경치료 한 치아인데도 아플 수 있나요? 글을 통해 병원의 한국어 정보 제공 방식과 진료 관련 안내 톤을 확인할 수 있습니다.
원문 검증
필요하면 원문 블로그와 병원 프로필로 바로 이동해 문맥을 다시 확인할 수 있습니다.
출처 아카이브 열기아카이브된 블로그 글
서울바르디치과의원 · Naver Blog
강동구 치아 뿌리 염증, 신경치료 한 치아인데도 아플 수 있나요? 안녕하세요. 서울바르디치과 원장입니다. 분명 신경치료까지 다 끝낸 치아인데 갑자기 다시 아프기 시작하면 참 당황스러우시죠,,? 신경을 다 제거해서 감각이 없어야 정상일 것 같은데 왜 다시 욱신거리는 통증이 찾아오는 걸까요. ...
게시일
2026년 2월 15일
원문 기준으로 확인된 발행일입니다.
카테고리
3D 네비게이션 임플란트
원문 블로그 카테고리를 정리해 함께 표시합니다.
이미지 수
13
현재 아카이브에 연결된 이미지 수입니다.
아카이브 요약
서울바르디치과의원의 네이버 블로그 원문을 보존한 아카이브 페이지입니다. 3D 네비게이션 임플란트 카테고리의 강동구 치아 뿌리 염증, 신경치료 한 치아인데도 아플 수 있나요? 글을 통해 병원의 한국어 정보 제공 방식과 진료 관련 안내 톤을 확인할 수 있습니다.
원문 검증
필요하면 원문 블로그와 병원 프로필로 바로 이동해 문맥을 다시 확인할 수 있습니다.
출처 아카이브 열기안녕하세요.
서울바르디치과 원장입니다.
분명 신경치료까지 다 끝낸 치아인데
갑자기 다시 아프기 시작하면
참 당황스러우시죠,,?
신경을 다 제거해서
감각이 없어야 정상일 것 같은데
왜 다시 욱신거리는 통증이 찾아오는 걸까요.
오늘은 치아 뿌리 염증으로
고민하시던 환자분의 사례와 함께
그 이유를 차근차근 설명해 드리려고 합니다.
치근단 염증, 왜 생기는 걸까요?
강동구 치아 뿌리 염증, 신경치료 한 치아인데도 아플 수 있나요?
우리 치아의 뿌리 끝부분에 염증이 생기는 것을
치근단 염증이라고 부르는데요.

쉽게 말해 치아 내부의 신경관을 타고 내려간 세균이
뿌리 끝을 지나 잇몸 뼈까지 침투한 상태를 말합니다.
마치 건물의 기초 공사 부위에 습기가 차서
곰팡이가 피어오르는 것과 비슷하다고 볼 수 있죠.
세균이 뿌리 끝에서 주위 뼈를 공격하면
단단했던 잇몸 뼈가 조금씩 녹아내리게 됩니다.

신경치료를 했는데도 왜 또 염증이 생길까요?
강동구 치아 뿌리 염증, 신경치료 한 치아인데도 아플 수 있나요?
완벽하게 청소를 끝냈다고 생각했는데
세균이 다시 활동하는 이유는 무엇일까요?
우리의 신경관은
눈에 보이지 않을 정도로 미세하고
마치 거미줄처럼
아주 복잡하게 얽혀 있습니다.
아무리 꼼꼼하게 소독해도
미세한 관 속에 숨어있던
아주 적은 양의 세균이
나중에 다시 증식할 수도 있는 것이죠.

혹은 씌운 보철물에 미세한 틈이 생겨서
그 사이로 세균이 다시 침입했을 때도
염증은 재발할 수 있습니다.
치근단 염증이 생기면 어떤 증상이 나타날까요?
강동구 치아 뿌리 염증, 신경치료 한 치아인데도 아플 수 있나요?
가장 대표적인 증상은 음식을 씹을 때마다
뿌리 쪽이 욱신거리거나 찌릿한 통증입니다.
가만히 있을 때는 괜찮다가도
치아를 톡톡 건드리면 유독 아픈 느낌이 들기도 하죠.
상태가 더 진행되면 잇몸에 뽈록하게
고름 주머니가 올라오는 경우도 있는데요.

이는 안쪽에 고인 가스와 고름이
빠져나갈 길을 찾아 잇몸을 뚫고 나오는 과정입니다.
욱신거리는 어금니 때문에 찾아주신 환자분 사례
최근 한 여성 환자분께서 왼쪽 끝 어금니가
자꾸 욱신거린다며 저희 치과를 찾아주셨어요.

250508
겉으로 보기에는 씌운 치아(크라운)가
아주 멀쩡해 보였고
환자분께서도 2년 전에
신경치료를 이미 받았던 치아라
왜 다시 아픈 건지 무척 의아해하셨는데요~

250508
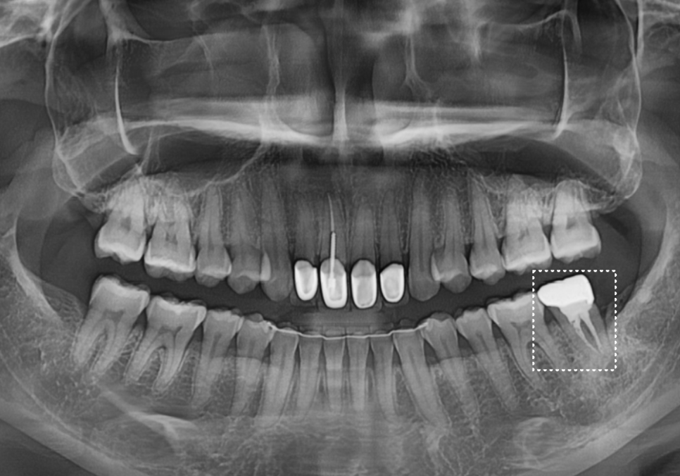
하지만 엑스레이 사진을 찍어보니
치아 뿌리 끝부분에
까맣게 나타나는 영역이 보이시나요?

250508
뿌리 끝에 염증이 생겨 주위 뼈가 녹아내리면
방사선상에서 저렇게
까만 그림자처럼 나타납니다.
환자분이 느끼셨던 욱신거림은
잇몸 뼈 안에서 염증이 보내는 신호였던 것이죠.
재신경치료보다는
임플란트를 권해드린 이유
강동구 치아 뿌리 염증, 신경치료 한 치아인데도 아플 수 있나요?
사실 저는 자연 치아를 살리는 것을
최우선으로 생각합니다.
하지만 이분의 경우 재신경치료를 하더라도
성공률이 매우 낮고
예후가 좋지 않을 것으로 판단되었어요.

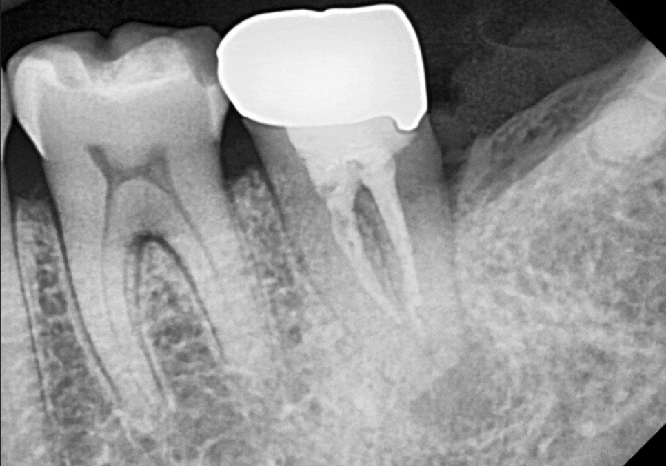
250508
재신경치료는 이미 한 번 손을 댄 곳을
다시 청소하는 작업인데요.
기존에 채워 넣었던 단단한 재료들을
일일이 걷어내야 할 뿐더러,,,
이미 그 안에서 세균이 더 깊숙이 자리를 잡았다면
치료의 성공 가능성이 뚝 떨어지게 됩니다.

재신경치료 시, 기존 재료를 걷어내고 소독과정을 여러번 거침
이분은 뿌리 끝 조직이 이미 헐거워진 상태라
무리하게 살리려다가는
오히려 더 큰 고생을 하실 수 있는 상황이었죠.
의사로서 소중한 생니를 포기하는 것은
참 어려운 결정이지만,,
때로는 더 큰 피해를 막기 위해
과감하게 결단을 내리는 것이
환자분께는 장기적으로 훨씬 이득이 됩니다.
그래서 이번에는 확실한 해결책인
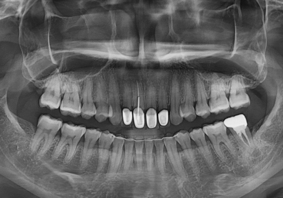
임플란트를 진행하기로 했습니다.
임플란트와 뼈이식, 3개월의 기다림
강동구 치아 뿌리 염증, 신경치료 한 치아인데도 아플 수 있나요?
염증 때문에 녹아버린
잇몸 뼈를 보충하기 위해
임플란트 식립과 동시에
뼈이식을 함께 진행했습니다.

뼈이식은 마치 영양분이 다 빠져나간
푸석푸석한 흙에 기름진 새 흙을
듬뿍 섞어주는 과정이라고
생각하시면 이해가 빠르실 것 같아요.
그래야 임플란트라는 나무가
흔들림 없이 튼튼하게 자리를 잡고,
수십 년을 써도 끄떡없는
단단한 기초가 만들어지기 때문이죠.
기초 공사가 튼튼해야 그 위에
올라가는 보철물도 오래도록 내 치아처럼
편안하게 사용하실 수 있답니다.^^
다행히 수술은 아주
안정적으로 잘 마무리되었습니다.

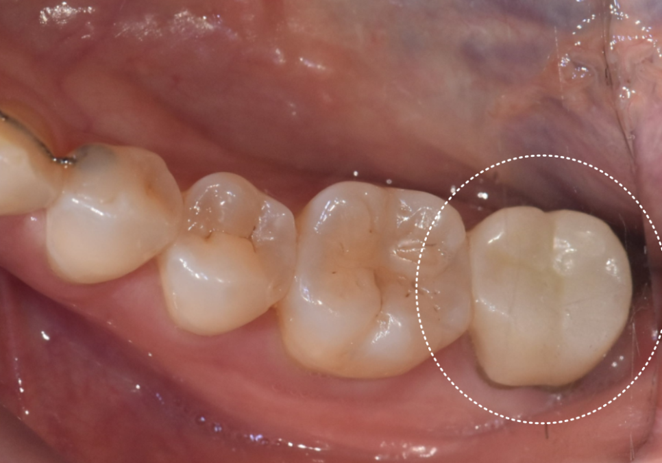
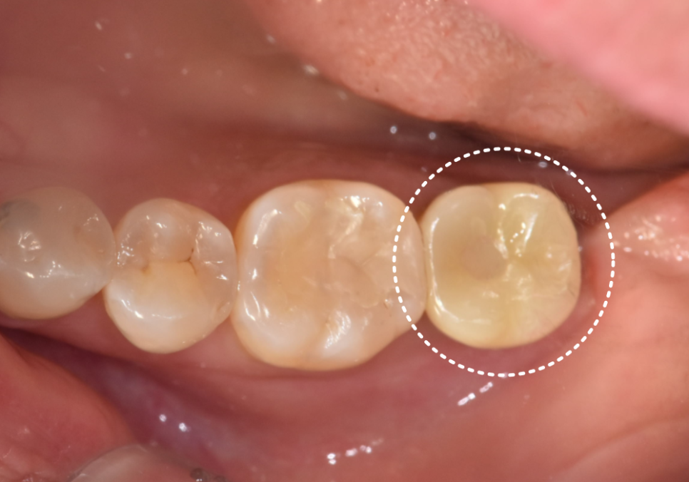
251015
3개월 후, 잇몸 뼈와 임플란트가 하나처럼
단단히 붙은 것을 확인 뒤,
지르코니아로 맞춤 보철물까지
완벽하게 완성해 드렸습니다.^^

251015

2050508(전) 251015(후)
신경치료 한 치아가 다시 아프면
누구나 걱정되고 선뜻 치과 가기가 두려워지죠.
하지만 작은 통증을 무시하고 방치하면
지킬 수 있었던 잇몸 뼈가
더 많이 녹아내릴 수 있습니다.
저희는 무조건적인 발치보다는
환자분의 상태에 가장 이득이 되는
정직한 길을 제시합니다.
지금이라도 불편한 느낌이 있다면
혼자 고민하지 마시고 편하게
상담받아보시길 바랍니다.
감사합니다.^^
▼치과 위치 확인▼
강동구 치아 뿌리 염증, 신경치료 한 치아인데도 아플 수 있나요?
| 예약 전화하러 가기 |
|---|
| 02-481-4278 |
| 본 게시물은 의료광고 법 제56조 1항을 준수하여의료 정보 제공 목적으로 서울 바르디 치과에서 직접 작성하였습니다.제공된 정보는 참고만 하실 것을 권유 드리며 증상 파악 및 정확한 관리 방법은 의료기관에 내원 후 의료진을 통해 안내받으시길 바랍니다.치과에서 진행되는 모든 시술 / 수술은 개인에 따라 (염증, 출혈, 부기 등) 가능성이 있습니다.사전에 의료진과 충분한 상담을 통해 결정하시길 바랍니다.게시물의 치료 사례는 실제 본원에서 치료를 마친 환자분들의 동의하에촬영되었으며 전, 후 사진은 동일 조건에서 촬영되었습니다. |