아카이브 요약
이 페이지의 역할
서울바르디치과의원의 네이버 블로그 원문을 보존한 아카이브 페이지입니다. 앞니마법사 카테고리의 대문니 파절, 앞니에 금이 쩍 갈라졌다면? 딱딱한 음식을 조심해야 하는 이유 글을 통해 병원의 한국어 정보 제공 방식과 진료 관련 안내 톤을 확인할 수 있습니다.
원문 검증
필요하면 원문 블로그와 병원 프로필로 바로 이동해 문맥을 다시 확인할 수 있습니다.
출처 아카이브 열기아카이브된 블로그 글
서울바르디치과의원 · Naver Blog
대문니 파절, 앞니에 금이 쩍 갈라졌다면? 딱딱한 음식을 조심해야 하는 이유 안녕하세요. 서울바르디치과 원장입니다. 요즘 두쫀쿠가 정말 열풍이죠~? 바삭하면서도 쫀득한 식감 때문에 많이들 좋아하시는데요. 사실 한국인들이 좋아하는 식감 중 하나가 입안에서 오독오독 씹히는 바삭함이 아닐...
게시일
2026년 2월 15일
원문 기준으로 확인된 발행일입니다.
카테고리
앞니마법사
원문 블로그 카테고리를 정리해 함께 표시합니다.
이미지 수
15
현재 아카이브에 연결된 이미지 수입니다.
아카이브 요약
서울바르디치과의원의 네이버 블로그 원문을 보존한 아카이브 페이지입니다. 앞니마법사 카테고리의 대문니 파절, 앞니에 금이 쩍 갈라졌다면? 딱딱한 음식을 조심해야 하는 이유 글을 통해 병원의 한국어 정보 제공 방식과 진료 관련 안내 톤을 확인할 수 있습니다.
원문 검증
필요하면 원문 블로그와 병원 프로필로 바로 이동해 문맥을 다시 확인할 수 있습니다.
출처 아카이브 열기안녕하세요.
서울바르디치과 원장입니다.
요즘 두쫀쿠가 정말 열풍이죠~?
바삭하면서도 쫀득한 식감 때문에
많이들 좋아하시는데요.
사실 한국인들이 좋아하는 식감 중 하나가
입안에서 오독오독 씹히는
바삭함이 아닐까 싶습니다.
그런데 식감의 취향에 따라
내 치아 건강은 완전히 달라질 수 있다는 사실,,
알고 계셨나요?
오늘은 즐겁게 식사하다가
예기치 못하게 마주할 수 있는
앞니에 생긴 금에 대해
이야기를 나누어 보려고 해요.
왜 딱딱한 음식이 치아에 안 좋을까요?
대문니 파절, 앞니에 금이 쩍 갈라졌다면?
우리의 치아는 신체 부위 중
가장 단단한 조직이지만
지속적인 충격에는
의외로 참 취약합니다.
얼음을 깨 먹거나 딱딱한 사탕을 즐기다 보면
치아에는 미세한 피로 균열이
지속적으로 쌓이게 되는데요.

이 균열은 당장 눈에 보이지 않더라도
어느 순간 임계점을 넘으면
치아가 쩍 ! 하고 갈라지게 됩니다.
마치 유리창에 미세한 금이 가 있다가
작은 충격에 와르르 무너지는 것과 비슷하죠.
치아가 깨지거나 금이 가면 생기는 증상들
대문니 파절, 앞니에 금이 쩍 갈라졌다면?
치아에 금이 생기는 경우,
겉으로 보기에는 치아가 멀쩡해 보여도
음식을 씹을 때 유독 찌릿하거나,
찬물을 마실 때 이가 시큰거리는 증상이
나타날 수 있습니다.

보통 치아에 금이 가면
특정 방향으로 음식을 씹을 때
깜짝 놀랄 만큼 날카로운 통증이
느껴지곤 하는데요.
이는 치아 겉면의 미세한 균열 사이로
음식물이 들어가거나 씹는 압력이 가해지면서,
치아 내부의 예민한 신경 조직을
직접적으로 건드리기 때문이죠.
단순히 이가 시린 것을 넘어 씹을 때마다
통증의 위치가 명확하다면,
이는 치아 내부에서 이미 균열이
진행되고 있다는 신호일 가능성이 매우 높습니다.

이러한 균열은 시간이 흐른다고 해서
스스로 붙지 않아요...ㅜㅜ
오히려 저작 활동을 할 때마다
틈이 벌어지며 신경에 더 큰 자극을 주게 됩니다.
만약 증상을 방치해서 균열이
치아 뿌리라는 깊은 부분까지
진행된다면 어떻게 될까요?

뿌리가 쪼개지면
세균 침투를 막을 방법이 없어
안타깝게도 치아를 살리지 못하고
발치를 해야 하는 상황에 이를 수 있습니다.
딱딱한 음식을 즐기던 남성 환자분의 사례
대문니 파절, 앞니에 금이 쩍 갈라졌다면?
최근 저희 치과에 내원하신
한 남성분도 비슷한 경우였습니다.
평소 얼음을 치아로 깨 먹는 걸 즐기실 정도로
딱딱한 식감을 유독 좋아하셨다고 해요.
그러다 얼마 전
갈비를 앞니로 뜯는 순간,
대문니인 앞니 두 개에 금이 쩍!하고 가서
놀란 마음으로 방문하셨습니다.

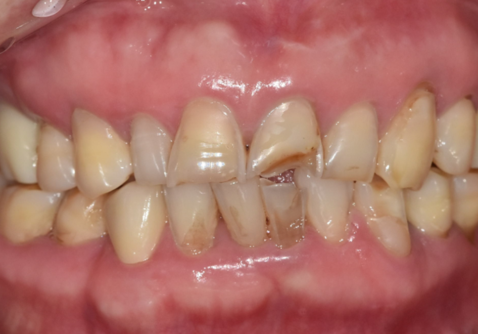
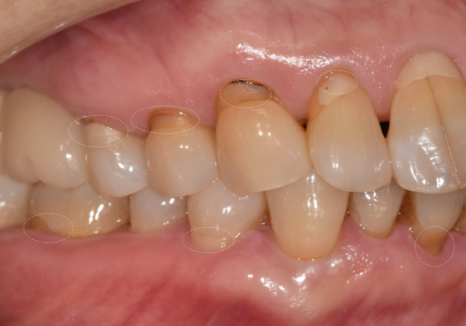
251229
입안을 직접 살펴보니
굳이 말씀을 안 하셔도...
평소 식습관을 알 수 있을 정도였는데요~
치아의 씹는 면이
맷돌처럼 평평하게 마모되어 있었고
군데군데 작게 깨진 흔적들도 많았거든요.


251229
특히 치아와 잇몸이 만나는 목 부위가
도끼로 찍은 듯 파여있는
치경부 마모 증상도 관찰되었습니다.


251229
강한 힘으로 음식을 씹을 때
치아가 미세하게 휘어지면서
가장 약한 목 부분이 떨어져 나가는 현상이죠.
이는 딱딱한 음식을 즐기는 분들에게
흔히 나타나는 징후들입니다.
어떻게 치료를 도와드렸을까요?
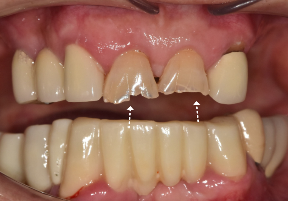
대문니 파절, 앞니에 금이 쩍 갈라졌다면?
다행히 앞니(#11, 21)를
정밀하게 살펴본 결과
금이 치아 겉면에만
머물러 있는 상태였습니다.

신경이라는 예민한 통로까지는
손상되지 않아 신경치료 없이
크라운 치료로 진행하기로 했는데요.
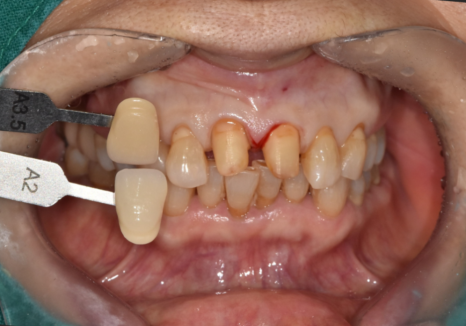
그런데 사실 앞니 치료를 할 때 환자분들이
가장 걱정하시는 것 중 하나가 바로 색상입니다.
공들여 치료했는데
막상 새로 한 치아만 혼자 너무
하얗거나 튀어 보일까 봐 불안해하시거든요.
이런 고민을 덜어드리기 위해
저희는 치과 안에 기공소를 직접 운영하고 있습니다.
보통 외부 업체에 맡기면
소통 과정에서 미세한 톤 차이가 생길 수 있지만


원내 기공소에서는
제가 기공사분과 실시간으로 소통하며
환자분 고유의 치아
색상과 투명도를 정밀하게 맞출 수 있죠.

심지어 환자분이 체어에 앉아 계신 상태에서
직접 색상을 대조하며 수정하는
세밀한 작업도 가능합니다.

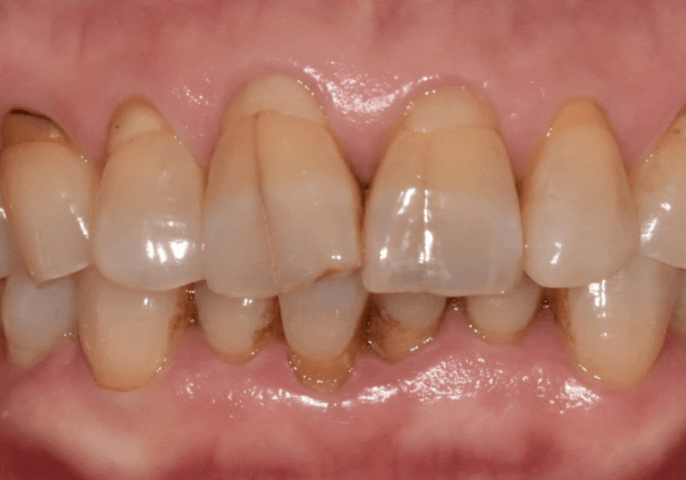
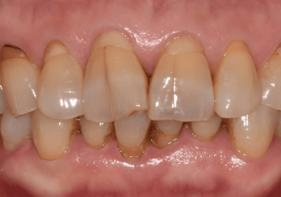
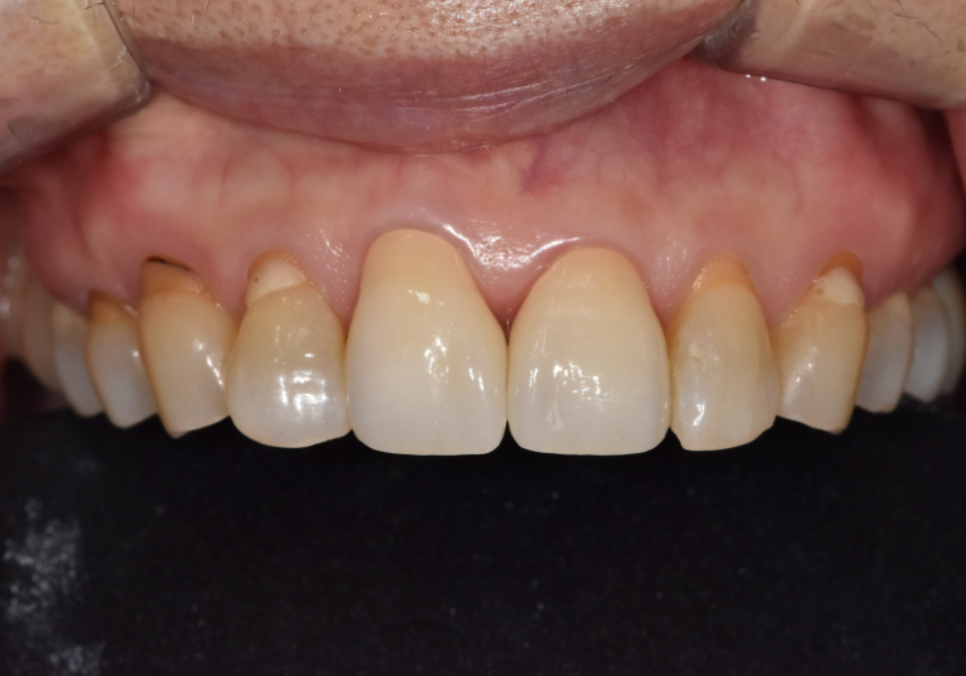
251229 (전) 260114(후)
이번 환자분 역시 옆 치아와 이질감이
전혀 느껴지지 않도록
자연스러운 지르코니아로 완성해 드렸습니다.^^

260114
맛있는 음식을 마음껏 즐기는
즐거움도 정말 크지만
그보다 더 소중한 것은
우리가 평생 써야 할 자연 치아입니다.
한 번 금이 간 치아는 스스로 붙지 않기에
내 몸이 보내는 작은 신호들을
세심하게 살펴주셔야 해요.
혹시라도 앞니가 시큰거리거나
거울 속에 미세한 금이 보인다면
더 늦기 전에 정밀 검진을
받아보시는 것이 좋습니다.
조기에 발견할수록
내 소중한 생니를 지킬 방법은 많아지니까요.
딱딱하고 질긴 음식을
사랑하는 우리들의 식습관,
새해에는 내 치아를 위해
조금만 양보해 보시는 건 어떨까요?
오늘도 긴 글 읽어주셔서 감사합니다.^^
▼치과 위치 확인▼
대문니 파절, 앞니에 금이 쩍 갈라졌다면? 딱딱한 음식을 조심해야 하는 이유
| 예약 전화하러 가기 |
|---|
| 02-481-4278 |
| 본 게시물은 의료광고 법 제56조 1항을 준수하여의료 정보 제공 목적으로 서울 바르디 치과에서 직접 작성하였습니다.제공된 정보는 참고만 하실 것을 권유 드리며 증상 파악 및 정확한 관리 방법은 의료기관에 내원 후 의료진을 통해 안내받으시길 바랍니다.치과에서 진행되는 모든 시술 / 수술은 개인에 따라 (염증, 출혈, 부기 등) 가능성이 있습니다.사전에 의료진과 충분한 상담을 통해 결정하시길 바랍니다.게시물의 치료 사례는 실제 본원에서 치료를 마친 환자분들의 동의하에촬영되었으며 전, 후 사진은 동일 조건에서 촬영되었습니다. |