아카이브 요약
이 페이지의 역할
서울바르디치과의원의 네이버 블로그 원문을 보존한 아카이브 페이지입니다. 3D 네비게이션 임플란트 카테고리의 고덕동 어금니 브릿지 교체, 글을 통해 병원의 한국어 정보 제공 방식과 진료 관련 안내 톤을 확인할 수 있습니다.
원문 검증
필요하면 원문 블로그와 병원 프로필로 바로 이동해 문맥을 다시 확인할 수 있습니다.
출처 아카이브 열기아카이브된 블로그 글
서울바르디치과의원 · Naver Blog
고덕동 어금니 브릿지 교체, '이 상태' 까지 왔다면 이미 늦은 겁니다. 안녕하세요. 서울바르디치과 원장입니다. 어금니 브릿지 치료를 받으신 지 벌써 5년, 혹은 10년이 훌쩍 넘으신 분들이 참 많으시죠~? 지금까지 별 탈 없이 잘 써오셨겠지만 이대로 계속 써도 정말 괜찮은 건지 문...
게시일
2026년 2월 16일
원문 기준으로 확인된 발행일입니다.
카테고리
3D 네비게이션 임플란트
원문 블로그 카테고리를 정리해 함께 표시합니다.
이미지 수
14
현재 아카이브에 연결된 이미지 수입니다.
아카이브 요약
서울바르디치과의원의 네이버 블로그 원문을 보존한 아카이브 페이지입니다. 3D 네비게이션 임플란트 카테고리의 고덕동 어금니 브릿지 교체, 글을 통해 병원의 한국어 정보 제공 방식과 진료 관련 안내 톤을 확인할 수 있습니다.
원문 검증
필요하면 원문 블로그와 병원 프로필로 바로 이동해 문맥을 다시 확인할 수 있습니다.
출처 아카이브 열기고덕동 어금니 브릿지 교체, '이 상태' 까지 왔다면 이미 늦은 겁니다.
안녕하세요.
서울바르디치과 원장입니다.
어금니 브릿지 치료를 받으신 지 벌써 5년,
혹은 10년이 훌쩍 넘으신 분들이 참 많으시죠~?
지금까지 별 탈 없이 잘 써오셨겠지만
이대로 계속 써도 정말 괜찮은 건지
문득 궁금증이 드셨을 거예요.
아마 그런 걱정스러운 마음 때문에
지금 이 글을 읽고 계실 텐데요.
걱정되는 마음에 치과에 가야 하나
망설여지시겠지만,
특별히 아픈 곳이 없으니 미루게 되는 것도
당연한 일입니다.
하지만 겉이 번듯하다고 해서
그 속까지 정말 건강하다고 장담할 수 있을까요?
오늘은 별다른 불편함이 없다가
뒤늦게 저희 치과를 찾아주신 사례를 통해,
오래된 브릿지가
숨기고 있는 위험을 알려드리려고 합니다.
브릿지, 꼭 교체해야 하나요?
고덕동 어금니 브릿지 교체, '이 상태' 까지 왔다면 이미 늦은 겁니다.
보통 보철물을 한 번 해 넣으면
평생 쓸 수 있다고 생각하시는 분들이 많으신데요.
하지만 브릿지도 세월이 흐르면
수명이 다하게 됩니다.

보철물을 치아에 딱 붙여주는 접착제는
시간이 흐르면서
침에 의해 서서히 녹아 나오게 되거든요.
마치 화장실 타일 사이의 실리콘이
오래되어 들뜨는 것과 비슷합니다.
그 미세한 틈 사이로 세균이
들어가면 어떻게 될까요?

겉은 번듯한 보철물이라
안심하고 있겠지만...
사실 그 속에서는 치아가 야금야금
삭아버리는 무서운 일이 벌어지기도 합니다.

마치 장판 아래에 곰팡이가 피어오르는데
겉으로는 보이지 않는 것과 같죠.
브릿지 교체는 언제 하는 게 좋을까요?
고덕동 어금니 브릿지 교체, '이 상태' 까지 왔다면 이미 늦은 겁니다.
교체 시기를 알려주는
몇 가지 신호가 있습니다.
먼저 보철물 주변 잇몸이
자주 붓거나 피가 날 때,
그리고 양치를 꼼꼼히 해도
보철물 근처에서 불쾌한 냄새가 느껴질 때입니다.

음식물이 갑자기 많이 끼는 것도
아주 중요한 신호죠.
이런 증상들을 방치하다가는
나중에 보철물을 뜯어냈을 때
멀쩡했던 옆 치아까지 잃게 될 수도 있습니다.
음식물 끼임과 냄새 때문에 찾아주신 환자분 사례
고덕동 어금니 브릿지 교체, '이 상태' 까지 왔다면 이미 늦은 겁니다.
얼마 전 저희 치과를 방문하신
환자분의 이야기예요.
오래전 오른쪽 아래 어금니를
브릿지로 씌우셨는데

251110
해당 부위에서 냄새가 나고
음식물이 너무 많이 껴서 내원하셨다고 해요.
입안을 꼼꼼히 살펴보니 맨 끝 어금니(#47)는
이미 오래전에 뽑으신 상태였고
세 개의 치아(#44~46)를 하나로 묶은
브릿지를 쓰고 계셨습니다.
자세히 살펴보니, 잇몸 쪽으로
치아 뿌리가 살짝 드러나 있고

251110
그 틈으로 음식물이
끼어있는 모습이 관찰되었죠.
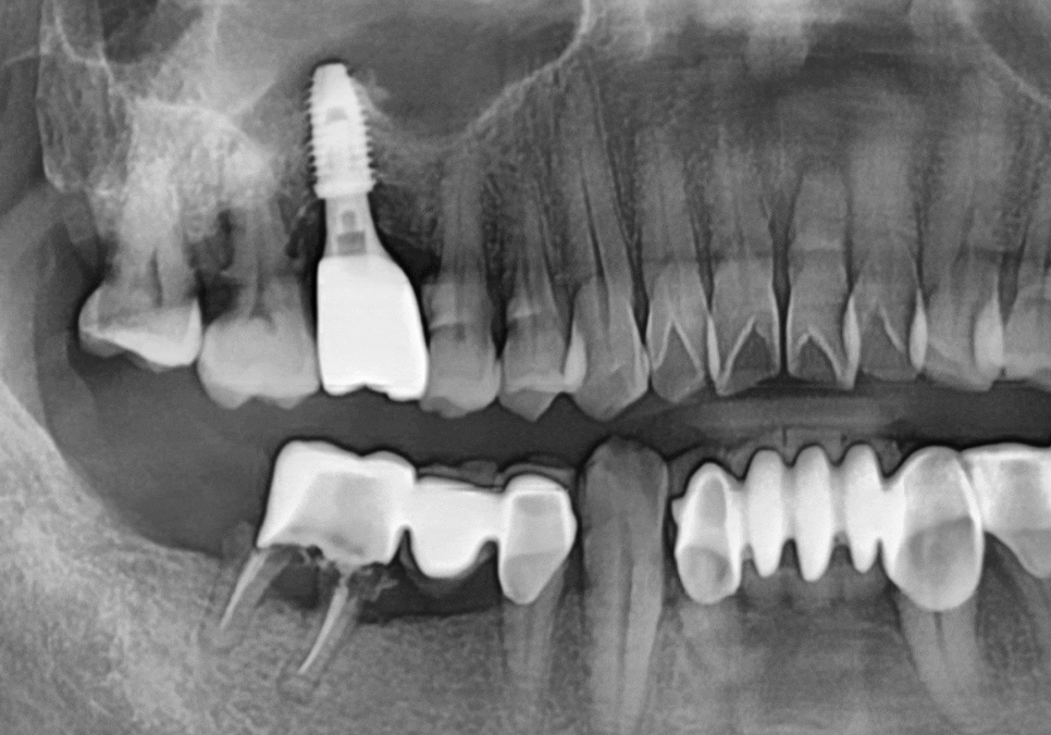
엑스레이를 찍어보니 상황은
생각보다 더 심각했습니다.

251110
보철 내부가 이미 다 삭아서
치아 머리와 뿌리가 툭 끊어져 있는 상태였거든요.
뿐만 아니라, 오른쪽 위 어금니(#18,17) 주변도
염증 때문에 잇몸 뼈가 많이 녹아있는 상태였습니다.

251110
브릿지가 빠지지 않았던 이유?
고덕동 어금니 브릿지 교체, '이 상태' 까지 왔다면 이미 늦은 겁니다.
만약 이게 하나짜리
크라운이었다면 어땠을까요?
아마 벌써 치아 머리 부분이 쏙 빠져서
진작 치과에 달려오셨을 겁니다.

251208
하지만 이 환자분은 앞쪽 치아와
단단하게 연결된 브릿지 형태였기에
뒤쪽 치아가 다 삭았음에도
보철이 빠지지 않고 버티고 있었던 것이죠.
그런데, 이렇게 되면 앞쪽 치아(#44) 혼자서
모든 힘을 다 받아내야 합니다.
결국 멀쩡했던 치아까지 과부하가 걸려
함께 망가질 수 있는 위험한 상황이었죠.
치료 계획 및 방법
고덕동 어금니 브릿지 교체, '이 상태' 까지 왔다면 이미 늦은 겁니다.
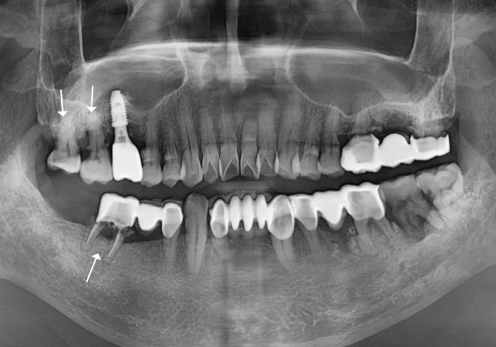
우선 오래된 브릿지를 조심스럽게 제거한 뒤
이미 제 기능을 잃고 뿌리만 남은
#46번 치아는
발치를 진행하기로 결정했습니다.

그 대신 오래전부터 치아가 상실되어
공간이 비어있던 #45번과 #47번 자리에는
튼튼한 임플란트를 심어
새로운 뿌리를 만들어드렸죠.

251208
여기서 참 다행인 소식도 있었는데요.
바로 앞쪽의 #44번 치아입니다.
뿌리 끝에 염증도 없고 충치도 심하지 않아서
발치하지 않고 다시 예쁘게 다듬어
지르코니아 크라운으로 씌워드리기로 했어요.
자연 치아를 하나라도 더 지켜낼 수 있다는 건
참 보람차고 뿌듯한 일입니다.
그런데 여기서 잠깐,,,!
아래쪽 치아만 튼튼하게 만든다고 해서
식사가 바로 편안해질 수 있을까요?
우리가 음식을 제대로 씹으려면
아래 치아를 기분 좋게 맞이해 줄
위쪽 짝꿍 치아가 반드시 필요합니다.

그래서 치주염으로 인해 상태가 좋지 않았던
위쪽 어금니(#18, 17) 부위도
함께 살피기로 했는데요.
고민 끝에 발치를 진행하고
#17번 자리에 임플란트를 식립하기로 했습니다.
다만 위쪽은 잇몸 뼈가
다소 부족한 상태여서
상악동 거상술이라는 정교한 과정을 통해
뼈를 든든하게 보강한 뒤
임플란트를 심기로 했어요.
▼상악동 거상술이 궁금하다면?
치료 결과
고덕동 어금니 브릿지 교체, '이 상태' 까지 왔다면 이미 늦은 겁니다.
아래쪽 임플란트(#45~47)는 다행히 뼈가
아주 튼튼한 상태라
별도의 뼈이식 없이 진행했습니다.
한 달 뒤, 지르코니아 보철물까지
완벽하게 완성해 드렸죠.

260213
상악동 거상술을 함께 했던 위쪽 치아는
조금 더 여유를 두었습니다.
4개월 뒤에 튼튼하게 자리 잡은 것을 확인하고
보철물을 올려 마무리해 드렸습니다.

251110 (전) 260213(후)
브릿지 주변의 불편함을 그저 세월 탓으로 돌리고
꾹 참고 계시지는 않나요.
치료 시기를 조금만 앞당겨도 지킬 수 있는
치아의 개수가 달라집니다.
더 늦기 전에 정밀 검진을 통해 현재
내 치아 상태를 정확히 확인해 보시는 것이 좋습니다.
불편한 점이 있다면
언제든 편하게 상담받아보세요.
환자분께 가장 적합한 해결 방법을
함께 고민하겠습니다.
감사합니다.^^
▼치과 위치 확인▼
고덕동 어금니 브릿지 교체, '이 상태' 까지 왔다면 이미 늦은 겁니다.
| 예약 전화하러 가기 |
|---|
| 02-481-4278 |
| 본 게시물은 의료광고 법 제56조 1항을 준수하여의료 정보 제공 목적으로 서울 바르디 치과에서 직접 작성하였습니다.제공된 정보는 참고만 하실 것을 권유 드리며 증상 파악 및 정확한 관리 방법은 의료기관에 내원 후 의료진을 통해 안내받으시길 바랍니다.치과에서 진행되는 모든 시술 / 수술은 개인에 따라 (염증, 출혈, 부기 등) 가능성이 있습니다.사전에 의료진과 충분한 상담을 통해 결정하시길 바랍니다.게시물의 치료 사례는 실제 본원에서 치료를 마친 환자분들의 동의하에촬영되었으며 전, 후 사진은 동일 조건에서 촬영되었습니다. |