아카이브 요약
이 페이지의 역할
서울바르디치과의원의 네이버 블로그 원문을 보존한 아카이브 페이지입니다. 앞니마법사 카테고리의 앞니 라미네이트 교체, 재시술 전 꼭 알아야 할 실패를 줄이는 방법 글을 통해 병원의 한국어 정보 제공 방식과 진료 관련 안내 톤을 확인할 수 있습니다.
원문 검증
필요하면 원문 블로그와 병원 프로필로 바로 이동해 문맥을 다시 확인할 수 있습니다.
출처 아카이브 열기아카이브된 블로그 글
서울바르디치과의원 · Naver Blog
앞니 라미네이트 교체, 재시술 전 꼭 알아야 할 실패를 줄이는 방법 안녕하세요. 서울바르디치과 원장입니다. 식사를 하다가 앞니 라미네이트가 깨지거나 툭 떨어지면 정말 당황스러우실 거예요. 중요한 약속이 있거나 사람을 계속 만나야 하는 경우라면 눈앞이 캄캄해지기도 하죠. 왜 하필...
게시일
2026년 2월 16일
원문 기준으로 확인된 발행일입니다.
카테고리
앞니마법사
원문 블로그 카테고리를 정리해 함께 표시합니다.
이미지 수
12
현재 아카이브에 연결된 이미지 수입니다.
아카이브 요약
서울바르디치과의원의 네이버 블로그 원문을 보존한 아카이브 페이지입니다. 앞니마법사 카테고리의 앞니 라미네이트 교체, 재시술 전 꼭 알아야 할 실패를 줄이는 방법 글을 통해 병원의 한국어 정보 제공 방식과 진료 관련 안내 톤을 확인할 수 있습니다.
원문 검증
필요하면 원문 블로그와 병원 프로필로 바로 이동해 문맥을 다시 확인할 수 있습니다.
출처 아카이브 열기안녕하세요.
서울바르디치과 원장입니다.
식사를 하다가 앞니 라미네이트가
깨지거나 툭 떨어지면
정말 당황스러우실 거예요.
중요한 약속이 있거나 사람을
계속 만나야 하는 경우라면
눈앞이 캄캄해지기도 하죠.
왜 하필 나에게 이런 일이 생겼을까
원망스럽기도 하고...
다시 큰돈을 들여 치료해도
또 깨지면 어쩌나 걱정되는 마음...
충분히 이해합니다.
오늘은 라미네이트를 다시 해야 하는 이유와
실제 사례를 통해 실패 없는 재시술 방법을
알기 쉽게 설명해 드릴게요.
라미네이트를 교체하게 되는 이유는 무엇일까요?
앞니 라미네이트 교체, 재시술 전 꼭 알아야 할 실패를 줄이는 방법
가장 흔한 이유는 라미네이트가
깨지거나 툭 하고 떨어지는 경우입니다.
도자기 재질이라
심미적으로는 참 아름답지만,

갑작스러운 충격을 받거나 씹는 힘이
한곳으로 쏠리면 생각보다 잘 깨질 수 있거든요.
또한 시간이 지나면서 잇몸이 조금씩 내려가
치아 경계선이 보기 싫게 드러나기도 합니다.

보철물 안쪽으로 미세한 충치가 생겼을 때도
치아 건강을 위해 교체를 결정하게 됩니다.
치료의 완성도는 자연스러움에서 결정됩니다.
앞니 라미네이트 교체, 재시술 전 꼭 알아야 할 실패를 줄이는 방법
라미네이트 재시술을 앞두고
환자분들이 가장 많이
걱정하시는 점은 바로 어색함입니다.
새로 만든 치아 하나만
너무 하얗게 튀어 보이거나,
모양이 투박해서 가짜 티가 날까 봐
망설여지시죠?
우리 치아는 단순히
한 가지의 하얀색이 아닙니다.

사람마다 고유한 투명도가 다르고
빛이 투과되는 정도도 모두 제각각이거든요.
그래서 저희는 원내 기공소의 역할을
무엇보다 중요하게 생각합니다.
보통 외부 업체에 제작을 맡기면
촬영한 사진과 글로만으로 소통해야 합니다.

아무리 꼼꼼하게 전달해도
미세한 색감 차이가 생기는
어쩔 수 없는 한계가 있죠.
하지만 저희는 치과 의사인 제가
기공사분과 함께 환자분 옆에서
실시간으로 직접 소통하며 작업을 진행합니다.
그러다 보니, 환자분 고유의 치아 색상은 물론이고,,
옆 치아가 가진 미세한 굴곡이나
빛을 받았을 때 비치는 투명한 질감까지도
아주 세밀하게 담아낼 수 있습니다.
환자분들이 재시술 후
내 치아 같다고 느끼시는 가장 큰 이유입니다.
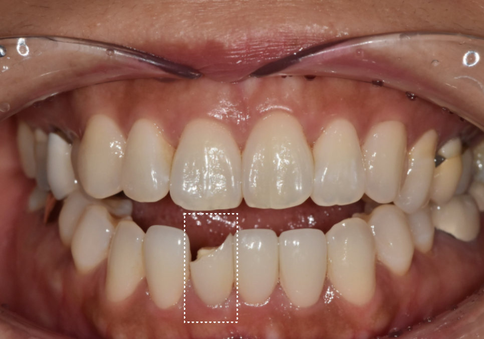
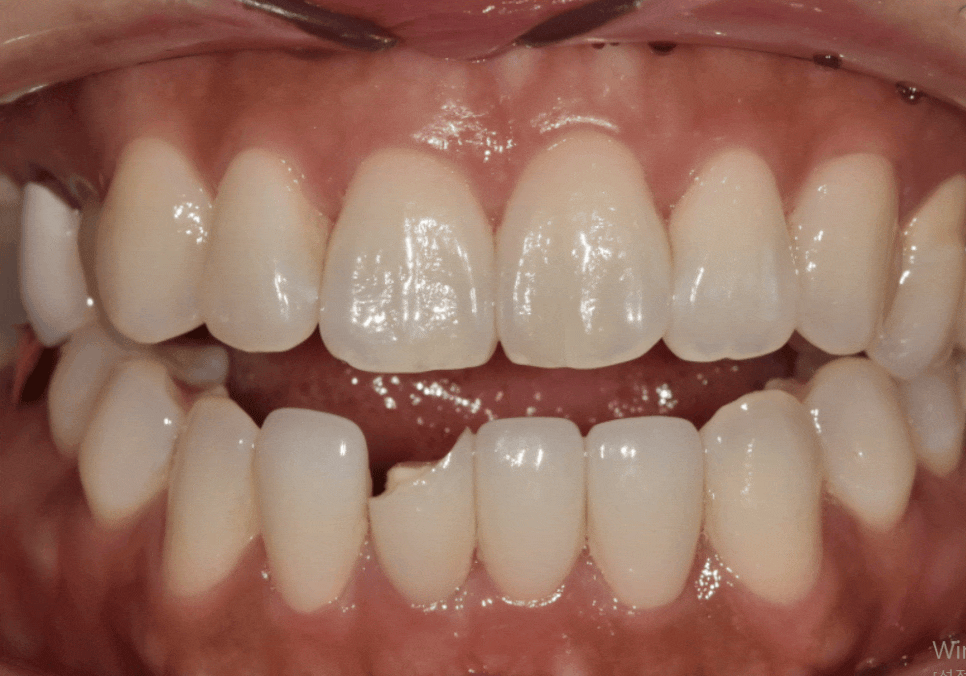
사례 1. 라미네이트 파절로 내원한 환자 사례
앞니 라미네이트 교체, 재시술 전 꼭 알아야 할 실패를 줄이는 방법
최근 다른 치과에서 하신 라미네이트가 깨져서
저희를 찾아주신 분이 계셨어요.

260102
이분은 위아래 앞니가 서로 닿지 않는
개방교합 상태이셨는데요.

260102
사실 이런 구조는 라미네이트가
깨질 확률이 거의 없는 편인데요~
깨진 이유를 여쭤보니 식사를 하시다가
젓가락을 앞니로 강하게 딱! 하고
부딪히는 사고가 있었다고 하시더라고요.

260102
사실 튼튼한 자연 치아를 가진 분들도
식사 중에 쇠젓가락을 잘못 씹어
치아가 깨져서 오시는 경우가 종종 있습니다.
하물며 0.3mm에서 0.5mm 정도로
아주 얇고 섬세하게 제작된 라미네이트라면
그 충격이 오죽했을까요.ㅜㅜ

주변 치아들도 이미 라미네이트를 한 상태라
새로 만드는 치아만 튀어 보일까 봐
무척 불안해하셨는데요.
주변 치아의 투명도와 결을
정밀하게 분석해서
사고 전 모습처럼 아주 자연스럽게
다시 만들어 드렸습니다.^^

260102(전) 260113(후)
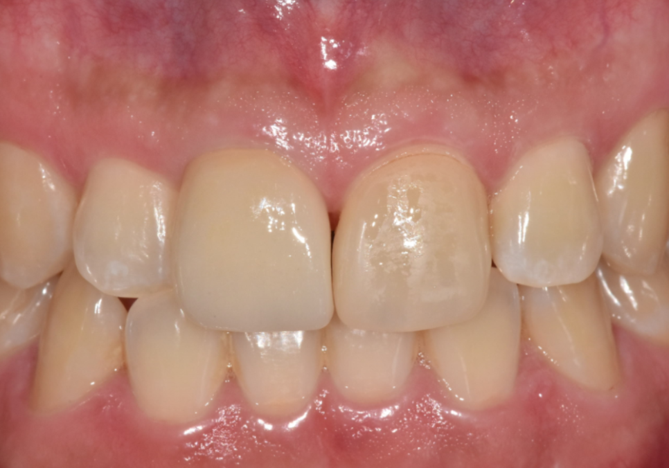
사례 2. 라미네이트가 탈락되어 온 환자 사례
앞니 라미네이트 교체, 재시술 전 꼭 알아야 할 실패를 줄이는 방법
이번에는 오른쪽 앞니 라미네이트가
통째로 떨어져서 찾아오신 분의 사례예요.

240508
치아를 적게 깎는 것도 분명 좋지만,
여기에는 꼭 알아야 할 점이 있습니다.
라미네이트를 붙잡아줄
최소한의 면적이 확보되지 않으면
결국 유지력이 떨어져
쉽게 탈락할 수밖에 없거든요~
이 환자분도 보철물 자체는 깨끗했지만
구조적으로 잘 붙어있기 힘든 상태였습니다.
이런 경우 단순히 다시 붙이는 건
임시방편일 뿐입니다.
치료의 진짜 목적은 오랫동안 문제없이
쓰는 안정성에 있습니다.

240508
삭제 최소화도 중요하지만,
보철물이 견딜 수 있는
환경이 먼저 만들어지지 않으면
결국 실패한 치료가 될 수밖에 없으니까요.

240516
치아 형태를 아주 미세하게 보강해서
접착 면적을 충분히 넓힌 뒤
새 라미네이트를 제작해 드렸고,
지금은 튼튼하게 잘 사용하고 계십니다.^^
라미네이트가 깨지거나 갑자기 떨어지면
당장 눈에 보이는 모습 때문에
마음이 급해지기 마련입니다.
하지만 같은 실수를 반복하지 않으려면
왜 이런 일이 생겼는지
정확한 원인을 찾고 그에 맞는
해결책을 제시하는 곳을 선택해야 합니다.
지금 라미네이트 상태가 불안하거나
재시술을 고민 중이시라면
혼자 고민하지 마시고
언제든 편안하게 찾아주세요.
환자분께 가장 적합한 방법을 함께 찾아드리겠습니다.
감사합니다.^^
▼치과 위치 확인▼
앞니 라미네이트 교체, 재시술 전 꼭 알아야 할 실패를 줄이는 방법
| 예약 전화하러 가기 |
|---|
| 02-481-4278 |
| 본 게시물은 의료광고 법 제56조 1항을 준수하여의료 정보 제공 목적으로 서울 바르디 치과에서 직접 작성하였습니다.제공된 정보는 참고만 하실 것을 권유 드리며 증상 파악 및 정확한 관리 방법은 의료기관에 내원 후 의료진을 통해 안내받으시길 바랍니다.치과에서 진행되는 모든 시술 / 수술은 개인에 따라 (염증, 출혈, 부기 등) 가능성이 있습니다.사전에 의료진과 충분한 상담을 통해 결정하시길 바랍니다.게시물의 치료 사례는 실제 본원에서 치료를 마친 환자분들의 동의하에촬영되었으며 전, 후 사진은 동일 조건에서 촬영되었습니다. |