아카이브 요약
이 페이지의 역할
서울바르디치과의원의 네이버 블로그 원문을 보존한 아카이브 페이지입니다. 충치/ 보철 치료 카테고리의 고덕동 앞니 보철, 브릿지와 싱글 크라운, 어떤 선택이 나에게 더 유리할까? 글을 통해 병원의 한국어 정보 제공 방식과 진료 관련 안내 톤을 확인할 수 있습니다.
원문 검증
필요하면 원문 블로그와 병원 프로필로 바로 이동해 문맥을 다시 확인할 수 있습니다.
출처 아카이브 열기아카이브된 블로그 글
서울바르디치과의원 · Naver Blog
고덕동 앞니 보철, 브릿지와 싱글 크라운, 어떤 선택이 나에게 더 유리할까? 안녕하세요. 서울바르디치과 원장입니다. 앞니 치료를 고민하다 보면 누구나 이런 생각을 하게 되죠. 하나로 묶을까,, 따로 씌울까? 당장 예쁜 것도 중요하지만 진짜 중요한 건 나중에 문제가 생겼을 때 얼마나 쉽고...
게시일
2026년 3월 2일
원문 기준으로 확인된 발행일입니다.
카테고리
충치/ 보철 치료
원문 블로그 카테고리를 정리해 함께 표시합니다.
이미지 수
20
현재 아카이브에 연결된 이미지 수입니다.
아카이브 요약
서울바르디치과의원의 네이버 블로그 원문을 보존한 아카이브 페이지입니다. 충치/ 보철 치료 카테고리의 고덕동 앞니 보철, 브릿지와 싱글 크라운, 어떤 선택이 나에게 더 유리할까? 글을 통해 병원의 한국어 정보 제공 방식과 진료 관련 안내 톤을 확인할 수 있습니다.
원문 검증
필요하면 원문 블로그와 병원 프로필로 바로 이동해 문맥을 다시 확인할 수 있습니다.
출처 아카이브 열기안녕하세요.
서울바르디치과 원장입니다.
앞니 치료를 고민하다 보면
누구나 이런 생각을 하게 되죠.
하나로 묶을까,, 따로 씌울까?
당장 예쁜 것도 중요하지만
진짜 중요한 건 나중에 문제가 생겼을 때
얼마나 쉽고 안전하게
고칠 수 있느냐입니다.
오늘은 각 치료의 특징과 함께
어떤 선택이 환자분께 더 이득이 되는지
실제 사례를 통해 설명해 드릴게요.
고덕동 앞니 보철, 브릿지와 싱글 크라운, 어떤 선택이 나에게 더 유리할까?
브릿지는 빠진 치아 양옆을 기둥 삼아
다리처럼 하나로 연결하는 방식이에요.

치아가 상실되었을 때뿐만 아니라,
치열이 삐뚤거나
사이 간격이 넓은 경우에도
전체적인 모양을 바로잡기 위해 사용하죠.
수술 없이 빠르게 빈 공간을 채우고
고른 치열을 가질 수 있다는 게 장점입니다.

하지만 지지대를 위해
옆 치아를 깎아야 하고,
하나만 고장 나도 전체를 뜯어야 하는
유지 보수의 부담이 있습니다.
고덕동 앞니 보철, 브릿지와 싱글 크라운, 어떤 선택이 나에게 더 유리할까?
싱글 크라운은 치아 하나하나를
독립적으로 씌워주는 치료예요.

자연 치아처럼 따로 움직이니
관리가 편하고,
나중에 하나만 문제가 생겨도
그 부분만 고치면 되니 아주 합리적이죠.
물론 모든 상황에 가능한 건 아닙니다.

이처럼 치아 배열이 고르지 못하거나 공간이 넓으면 브릿지로 진행하는 경우가 많습니다.
지탱할 기둥(치아)이 아예 없거나
치열이 너무 뒤틀려 있다면 한계가 있거든요.
이럴 때는 어쩔 수 없이 브릿지로 연결해
전체적인 비율과 대칭을 맞춰줘야 합니다.
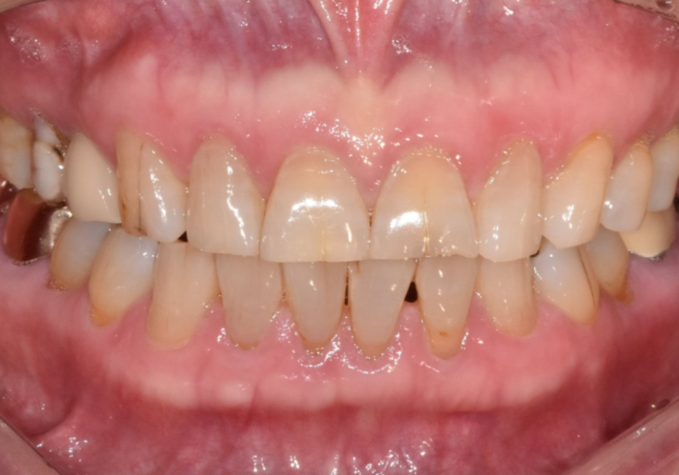
금이 간 앞니 6개,
싱글 크라운으로 진행한 환자 사례
고덕동 앞니 보철, 브릿지와 싱글 크라운, 어떤 선택이 나에게 더 유리할까?
얼마 전 저희 치과를 방문하신 환자분은
앞니 6개(#13~23)가 씹는 힘을
견디지 못해 가운데에
금이 가 있는 상태였습니다.

240201
치아는 마모되어 짧아져 있었고,


240201
씹는 면 쪽은 상아질이 드러나 보일 정도로
마모가 진행되어 있었죠.

처음에는 라미네이트를 희망하셨지만,
라미네이트는 힘들 것 같다고 솔직하게
말씀드렸어요.
치아에 금이 갈 정도로
씹는 힘이 강한 분들은
얇은 라미네이트가 버티지 못하고
금방 깨질 가능성이 높기 때문이에요.
▼라미네이트와 크라운의 차이가 궁금하시다면
아래의 포스팅을 참고해 보세요~
치료 계획
이번 사례의 환자분은
방송 쪽 일을 하고 계셔서
카메라 앞에서 보여지는
심미적인 부분이 무엇보다 중요하셨는데요.
강도와 심미성을 모두 잡은
PFZ (Porcelain Fused to Zirconia)크라운을
진행하기로 했습니다.

일반 지르코니아는 강한 조명 아래서
치아가 탁하고 인위적으로 보일 수 있어요.
반면 PFZ는 안쪽은 튼튼한 지르코니아를,
바깥쪽은 심미적으로 투명한 도자기층을
층층이 쌓아 만들기 때문에
빛이 은은하게 투과되어 훨씬 자연스럽죠.
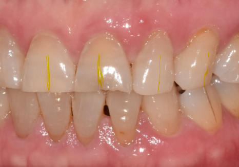
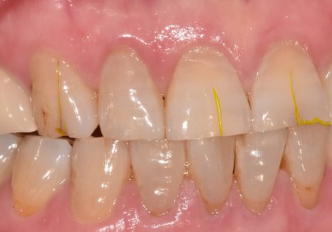
다행히 환자분은
치아 배열이 가지런한 편이셨어요.
굳이 치아들을 하나로 묶지 않아도
개별적으로 충분히 예쁘게 만들 수 있는 상태였죠.

240221
그래서 번거롭더라도 6개의 치아를 하나씩
정성껏 따로 제작해 드렸습니다.
당장은 한데 묶어버리는 게
편해 보일지 몰라도...
나중에 혹시라도 생길지 모를
돌발 사고를 생각하면
따로 씌워두는 게 조금 더 안전하거든요~

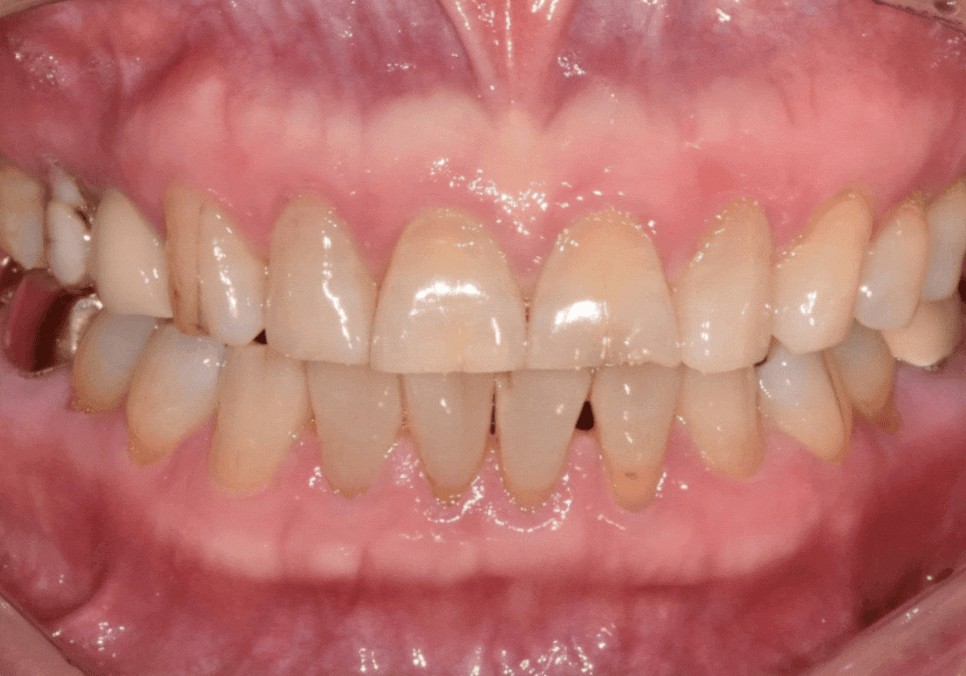
240201(전) 240221(후)
싱글 크라운을 선택한 결과
고덕동 앞니 보철, 브릿지와 싱글 크라운, 어떤 선택이 나에게 더 유리할까?
4개월 뒤,, 환자분께서 다시 내원하셨는데요.
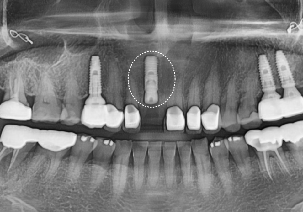
식사 도중 앞니 하나(#11)가 부러져 오셨어요.

안타깝게도 뿌리만 남아
임플란트가 필요했습니다.

240628
안타까운 상황이었지만,
다행히 하나씩 따로 씌워둔 덕분에
수습 과정은 훨씬 수월했습니다.^^
만약 6개를 하나로 묶어두었더라면
어땠을까요?
이 치아 하나 때문에 멀쩡한 나머지 5개까지
전부 뜯어내는 큰 공사가 됐을 텐데,
부러진 곳만 따로 수습하며
수월하게 치료를 마무리할 수 있었습니다.
부러진 앞니(#11), 치료 계획
고덕동 앞니 보철, 브릿지와 싱글 크라운, 어떤 선택이 나에게 더 유리할까?
뿌리만 남은 앞니는 우선 발치를 진행했는데,
다행히 CT 상 잇몸뼈가 아주 튼튼한 상태였어요.


240628
덕분에 번거로운 뼈이식 과정 없이
그날 바로 임플란트를 심어드리는
즉시 식립이 가능했습니다.

240628
그렇게 두 달 정도 시간이 흘러
임플란트와 뼈가 단단하게 잘 붙은 것을 확인하고,
이제 그 위에 올릴 치아머리를
만들 차례가 되었습니다.
여기서 가장 공을 들여야 할 부분은 무엇일까요?
바로 기존에 먼저 해두었던
다른 앞니 보철물들과
색상을 감쪽같이 맞추는 일입니다.

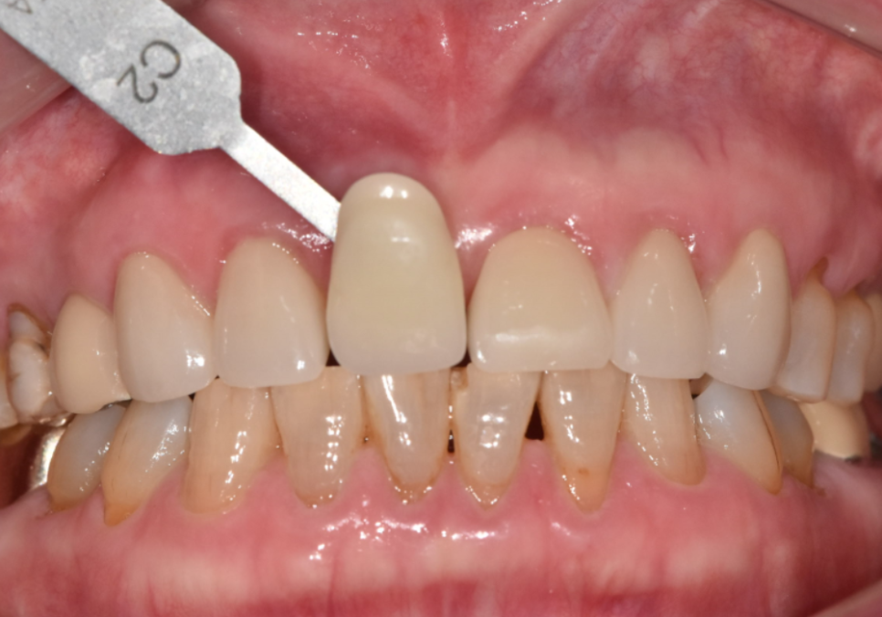
위의 사진처럼 새로 만든 치아가
유독 하얗게 둥둥 떠 보인다면
아무리 튼튼하게 잘 심었어도
성공적인 치료라고 말하기는 어렵겠죠.

주변 치아들과 마치 원래부터 하나였던 것처럼
자연스럽게 어우러지도록 만드는 데
가장 많은 정성을 쏟았습니다.
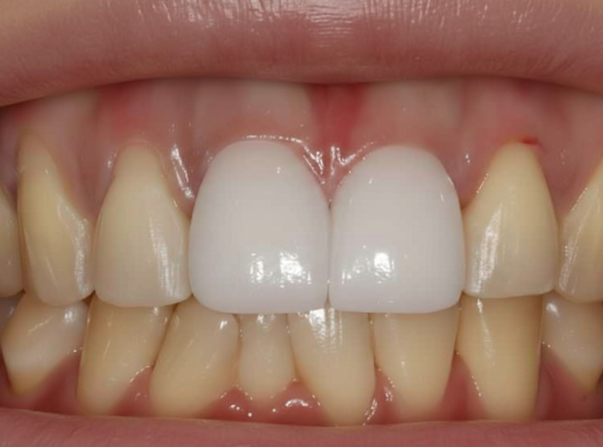
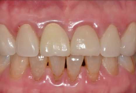
드디어 완성된 모습입니다.
어떤 게 임플란트인지 한눈에 찾기 어려우시죠?


241101
색상은 물론이고 모양까지
주변 치아와 참 잘 어우러져서
환자분도 저도 무척 만족스러웠던 사례였습니다.^^
모든 경우에 싱글 크라운이
가능한 것은 아닙니다.
환자분의 구강 상태에 따라
브릿지가 더 나을 수도,,
하나씩 씌우는 게 더 유리할 수도 있거든요.
중요한 건 나에게 딱 맞는
최적의 치료 계획을 찾는 것입니다.
더 이상 혼자 고민하지 마시고
언제든 편안하게 찾아주세요.
환자분께 가장 건강한 길을 함께 고민하겠습니다.
감사합니다.
▼치과 위치 확인▼
고덕동 앞니 보철, 브릿지와 싱글 크라운, 어떤 선택이 나에게 더 유리할까?
| 예약 전화하러 가기 |
|---|
| 02-481-4278 |
| 본 게시물은 의료광고 법 제56조 1항을 준수하여의료 정보 제공 목적으로 서울 바르디 치과에서 직접 작성하였습니다.제공된 정보는 참고만 하실 것을 권유 드리며 증상 파악 및 정확한 관리 방법은 의료기관에 내원 후 의료진을 통해 안내받으시길 바랍니다.치과에서 진행되는 모든 시술 / 수술은 개인에 따라 (염증, 출혈, 부기 등) 가능성이 있습니다.사전에 의료진과 충분한 상담을 통해 결정하시길 바랍니다.게시물의 치료 사례는 실제 본원에서 치료를 마친 환자분들의 동의하에촬영되었으며 전, 후 사진은 동일 조건에서 촬영되었습니다. |