아카이브 요약
이 페이지의 역할
서울바르디치과의원의 네이버 블로그 원문을 보존한 아카이브 페이지입니다. 3D 네비게이션 임플란트 카테고리의 뿌리만 남은 치아, 그대로 두면 왜 위험할까요? 고덕동 전체 임플란트 재건 사례 글을 통해 병원의 한국어 정보 제공 방식과 진료 관련 안내 톤을 확인할 수 있습니다.
원문 검증
필요하면 원문 블로그와 병원 프로필로 바로 이동해 문맥을 다시 확인할 수 있습니다.
출처 아카이브 열기아카이브된 블로그 글
서울바르디치과의원 · Naver Blog
뿌리만 남은 치아, 그대로 두면 왜 위험할까요? 고덕동 전체 임플란트 재건 사례 안녕하세요. 서울바르디치과 원장입니다. 치아가 부러지거나 심하게 썩어서 뿌리만 남은 상태로 지내시는 분들이 계십니다. 당장 크게 아프지 않으니까,, 혹은 치과 치료가 두려워서 그대로 방치하시곤 하는데요. ...
게시일
2026년 3월 4일
원문 기준으로 확인된 발행일입니다.
카테고리
3D 네비게이션 임플란트
원문 블로그 카테고리를 정리해 함께 표시합니다.
이미지 수
18
현재 아카이브에 연결된 이미지 수입니다.
아카이브 요약
서울바르디치과의원의 네이버 블로그 원문을 보존한 아카이브 페이지입니다. 3D 네비게이션 임플란트 카테고리의 뿌리만 남은 치아, 그대로 두면 왜 위험할까요? 고덕동 전체 임플란트 재건 사례 글을 통해 병원의 한국어 정보 제공 방식과 진료 관련 안내 톤을 확인할 수 있습니다.
원문 검증
필요하면 원문 블로그와 병원 프로필로 바로 이동해 문맥을 다시 확인할 수 있습니다.
출처 아카이브 열기안녕하세요.
서울바르디치과 원장입니다.
치아가 부러지거나 심하게 썩어서
뿌리만 남은 상태로 지내시는 분들이 계십니다.
당장 크게 아프지 않으니까,,
혹은 치과 치료가 두려워서
그대로 방치하시곤 하는데요.
뿌리만 남은 치아를 그대로 두면
왜 위험한지 알고 계신가요?
오늘은 그 위험성과 함께
전체적인 치아 건강을 되찾아드린
환자분의 사례를 소개해 드릴게요.
뿌리만 남은 치아를 그대로 두면 위험한 이유
뿌리만 남은 치아, 그대로 두면 왜 위험할까요? 고덕동 전체 임플란트 재건 사례
치아 머리가 없고 뿌리만 남았다면
이미 그 안쪽은 세균의 통로가 된 상태입니다.
그대로 두면 왜 안 될까요?
첫째로, 뿌리 끝에 염증이 생기면서
주변 잇몸뼈를 녹여버립니다.

나중에 임플란트를 하고 싶어도
심을 뼈가 없어서 치료가 어려워질 수 있어요.
둘째로, 주변 치아까지 망가뜨립니다.

염증은 옆으로 번지는 성질이 있고,
뿌리만 남은 쪽으로 치아들이 쓰러지면서
전체적인 치열이 무너지게 되죠.
뿌리만 남은 치아, 그대로 두면 왜 위험할까요? 고덕동 전체 임플란트 재건 사례
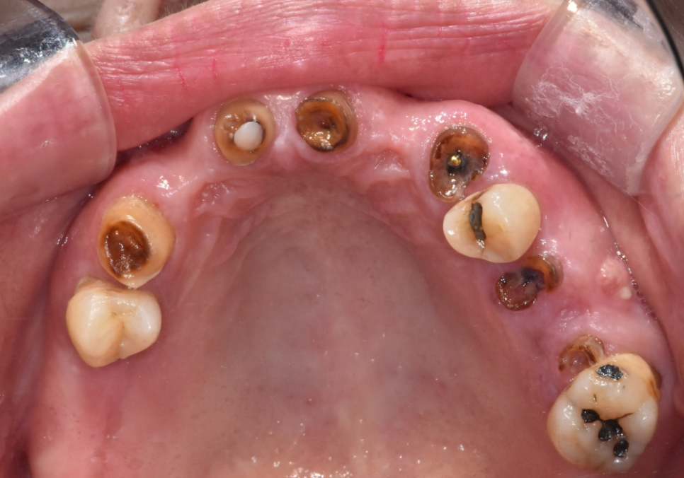
얼마 전 저희 치과를 찾으신 환자분도
상태가 꽤 심각하셨어요.

230817
아래턱은 양쪽 어금니를
상실한 지 오래되셨고,
위턱은 대부분의 치아가
뿌리만 겨우 매달려 있었습니다.

230817
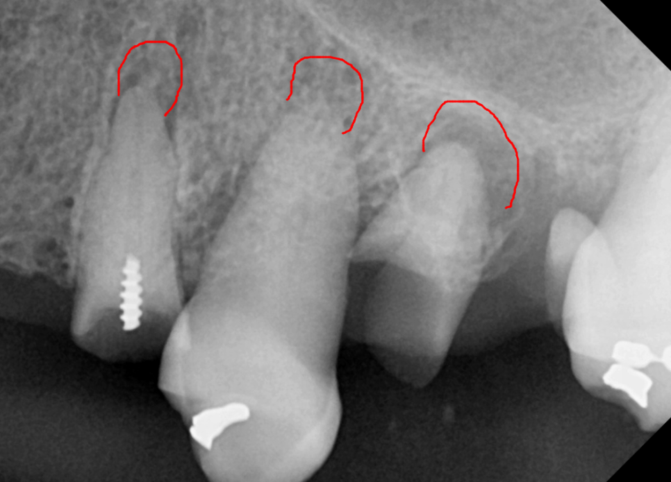
파노라마와 CT를 통해 살펴보니
뿌리 끝에 염증이 가득 잡혀 있었죠.


230902
가장 튼튼해서 살려 쓸 수 있는
위쪽 치아 2개(#14, 27)만 남기고
나머지는 안타깝게도 발치를 결정했습니다.

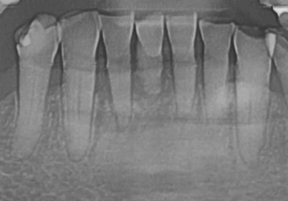
아래쪽 앞니들은 잇몸뼈가 많이 녹아 흔들리고 있어
총 4개의 치아를 발치하기로 했습니다.


230817
다행히 남길 수 있는 앞니들은
마모가 심하긴 했지만 뿌리는 괜찮았기에
신경치료 후 총 6개의 치아를 연결하는
브릿지 치료를 계획했습니다.

치아가 거의 없는 상태에서
임플란트가 자리 잡기까지
식사를 못 하시면 안 되겠죠?
그래서 발치 후 즉시 사용하실 수 있는
임시 틀니를 먼저 제작해 드렸습니다.

230927
<치료 계획>
상악: 임플란트 8개 식립
상악동 거상술 및 뼈이식
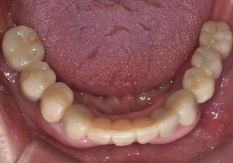
하악: 임플란트 5개 식립
아래 앞니 브릿지 및 어금니 크라운(#44)
뿌리만 남은 치아, 그대로 두면 왜 위험할까요? 고덕동 전체 임플란트 재건 사례
전체적인 식립이 필요한 전악 임플란트는
무엇보다 정확한 위치가 생명인데요.
전체 치아를 식립하는 큰 수술이라
걱정부터 앞서시죠?
걱정마세요.
저희는 내비게이션 임플란트를 통해
더 안전하고 정교하게 수술을 진행합니다.
내비게이션 임플란트, 뭐가 좋은거죠?
수술 전에 컴퓨터로 환자분의
잇몸 뼈를 3D로 미리 그려봅니다.

어디에 위험한 신경이 있는지
미리 다 들여다보고
가장 안전한 길을 찾아내어
가상으로 미리 심어보는 과정을 거치죠.
정확한 위치를 미리 알고 있으니
잇몸을 넓게 열어볼 필요가 없습니다.

딱 필요한 자리에 작은 구멍만 내어
심을 수 있어 출혈이 적고,
수술 후 겪으시는 붓기나 통증도
눈에 띄게 줄어듭니다.
치아를 많이 심어야 하는 분들은
각도가 조금만 어긋나도
나중에 보철물이 불편할 수 있습니다.

디지털 가이드가 정해진 위치를 딱 잡아주니
오차 없이 튼튼하게 자리를 잡을 수 있습니다.

231211
3개월 뒤
수술 후 3개월 동안
임플란트 기둥과 잇몸뼈가
단단하게 굳기를 기다렸습니다.

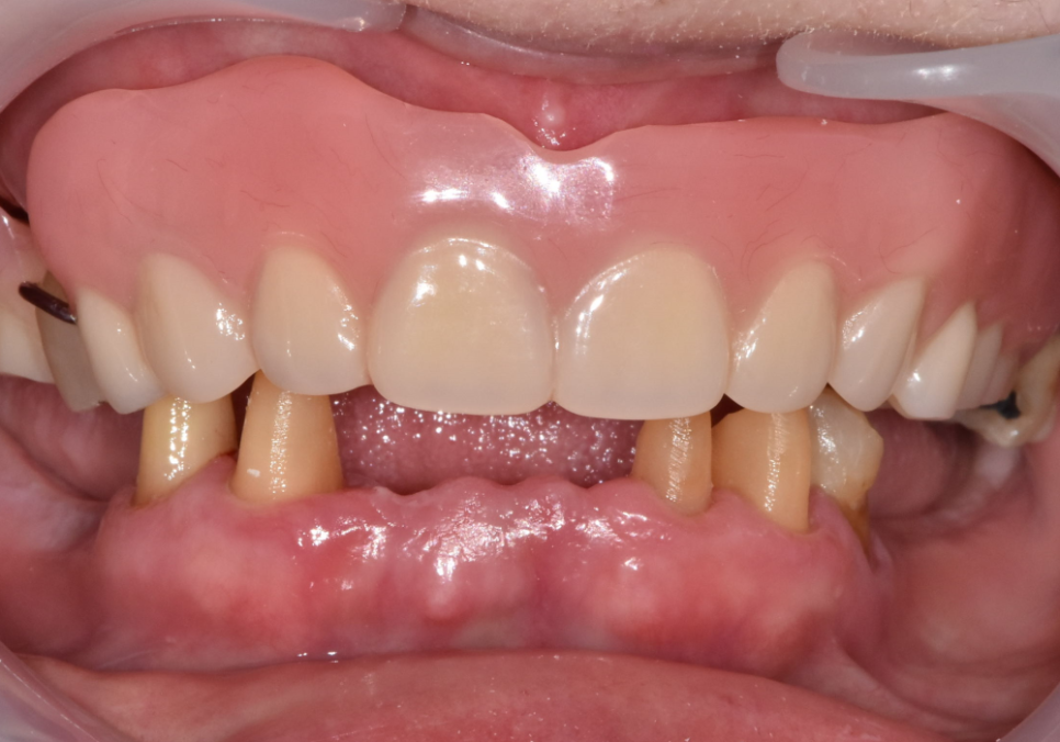
230817(전) 240403 (후)
다행히 뼈이식 부위도 잘 자리를 잡았고
임플란트도 아주 튼튼하게 고정된 것을 확인 후
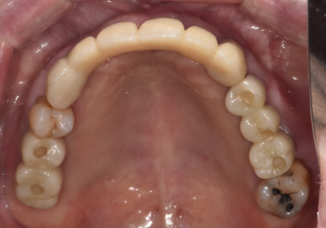
보철을 올려드렸습니다.


이제는 뿌리만 남았던 치아들 대신
튼튼한 치아로 편안하게
식사하실 수 있게 되었습니다.^^
뿌리만 남은 치아,,
혹시 지금도 방치하고 계시지는 않나요?
더 늦어지면 치료 과정이
몇 배로 힘들고 복잡해질 수 있습니다.
상태가 더 나빠지기 전에
정확한 진단을 받아보시는 게 어떨까요?
모든 경우에 임플란트만 고집하지 않습니다.
구강 상태에 따라 브릿지가 나을 수도 있고
임플란트가 유리할 수도 있습니다.
여러분의 상태에 맞는
가장 정직하고 최적화된 계획을 찾아드릴게요.
지금 고민 중이시라면 언제든 찾아주세요.
감사합니다.^^
▼치과 위치 확인▼
뿌리만 남은 치아, 그대로 두면 왜 위험할까요? 고덕동 전체 임플란트 재건 사례
| 예약 전화하러 가기 |
|---|
| 02-481-4278 |
| 본 게시물은 의료광고 법 제56조 1항을 준수하여의료 정보 제공 목적으로 서울 바르디 치과에서 직접 작성하였습니다.제공된 정보는 참고만 하실 것을 권유 드리며 증상 파악 및 정확한 관리 방법은 의료기관에 내원 후 의료진을 통해 안내받으시길 바랍니다.치과에서 진행되는 모든 시술 / 수술은 개인에 따라 (염증, 출혈, 부기 등) 가능성이 있습니다.사전에 의료진과 충분한 상담을 통해 결정하시길 바랍니다.게시물의 치료 사례는 실제 본원에서 치료를 마친 환자분들의 동의하에촬영되었으며 전, 후 사진은 동일 조건에서 촬영되었습니다. |