아카이브 요약
이 페이지의 역할
서울바르디치과의원의 네이버 블로그 원문을 보존한 아카이브 페이지입니다. 충치/ 보철 치료 카테고리의 강동구 재신경치료, 왜 첫 치료보다 성공률이 낮다고 할까요? 글을 통해 병원의 한국어 정보 제공 방식과 진료 관련 안내 톤을 확인할 수 있습니다.
원문 검증
필요하면 원문 블로그와 병원 프로필로 바로 이동해 문맥을 다시 확인할 수 있습니다.
출처 아카이브 열기아카이브된 블로그 글
서울바르디치과의원 · Naver Blog
강동구 재신경치료, 왜 첫 치료보다 성공률이 낮다고 할까요? 안녕하세요. 서울바르디치과 원장입니다. 신경치료를 마친 치아가 다시 아프기 시작하면 참 당혹스러우시죠. 재신경치료는 성공률이 낮다는 이야기를 듣고, 차라리 뽑고 임플란트를 하는 게 속 편하지 않을까 고민하며 내원하시는 분들이...
게시일
2026년 3월 8일
원문 기준으로 확인된 발행일입니다.
카테고리
충치/ 보철 치료
원문 블로그 카테고리를 정리해 함께 표시합니다.
이미지 수
12
현재 아카이브에 연결된 이미지 수입니다.
아카이브 요약
서울바르디치과의원의 네이버 블로그 원문을 보존한 아카이브 페이지입니다. 충치/ 보철 치료 카테고리의 강동구 재신경치료, 왜 첫 치료보다 성공률이 낮다고 할까요? 글을 통해 병원의 한국어 정보 제공 방식과 진료 관련 안내 톤을 확인할 수 있습니다.
원문 검증
필요하면 원문 블로그와 병원 프로필로 바로 이동해 문맥을 다시 확인할 수 있습니다.
출처 아카이브 열기안녕하세요.
서울바르디치과 원장입니다.
신경치료를 마친 치아가
다시 아프기 시작하면 참 당혹스러우시죠.
재신경치료는 성공률이 낮다는 이야기를 듣고,
차라리 뽑고 임플란트를 하는 게
속 편하지 않을까 고민하며
내원하시는 분들이 정말 많습니다.
하지만 아무리 기술이 좋아져도
자연치아가 가진 고유의 기능을
임플란트가 100% 대신하기는 어렵습니다.
오늘은 심한 뿌리 염증으로 잇몸뼈가 녹아내린
앞니를 재신경치료로 어떻게 살려냈는지,
그 과정을 자세히 들려드릴게요.

재신경치료가 까다로운 이유?
강동구 재신경치료, 왜 첫 치료보다 성공률이 낮다고 할까요?
신경치료를 받은 치아를
다시 치료하는 과정은
처음보다 성공률이 낮고 과정도 복잡해요.
여기에는 몇 가지 의학적인 이유가 있습니다.
이전 치료 때 신경관 안에 채워 넣은
고무 재료를 완벽히 제거해야 합니다.

벽면에 밀착된 재료를
깨끗하게 긁어내는 과정부터가
큰 난관이며 시간도 많이 소요됩니다.
이미 살아남은 세균들이 형성한 세균막은
일반 소독제에 쉽게 반응하지 않습니다.
염증을 확실히 잡기 위해
훨씬 더 반복적이고 세밀한 소독 과정이
필수적이에요.
시간이 흐르며 신경관이
좁아지거나 석회화된 경우가 많습니다.
보이지 않는 미세한 길을 다시 확보해
뿌리 끝까지 정확히 도달하는 것은
매우 정교한 기술이 필요합니다.
재신경치료,
성공률이 낮아도 시도해야 하는 이유
강동구 재신경치료, 왜 첫 치료보다 성공률이 낮다고 할까요?
문헌에 따르면, 처음 신경치료를 할 때의
성공률은 90% 이상으로 매우 높습니다.
하지만 다시 염증이 생겨
재치료를 할 경우 성공률은
70% 이하로 떨어지기도 하죠.
그럼에도 불구하고 우리는
왜 자연치아를 살리려 노력해야 할까요?

임플란트가 훌륭한 대안이긴 하지만,
치주인대라는
완충 조직이 있는 자연치아만큼
음식을 씹을 때의 미세한 감각을
전달해주지는 못하기 때문이죠.
환자 사례 : 뿌리 염증으로 녹아내린 앞니
강동구 재신경치료, 왜 첫 치료보다 성공률이 낮다고 할까요?
최근 왼쪽 앞니가 아프다며
저희 치과를 찾아주신 분이 계셨는데요.

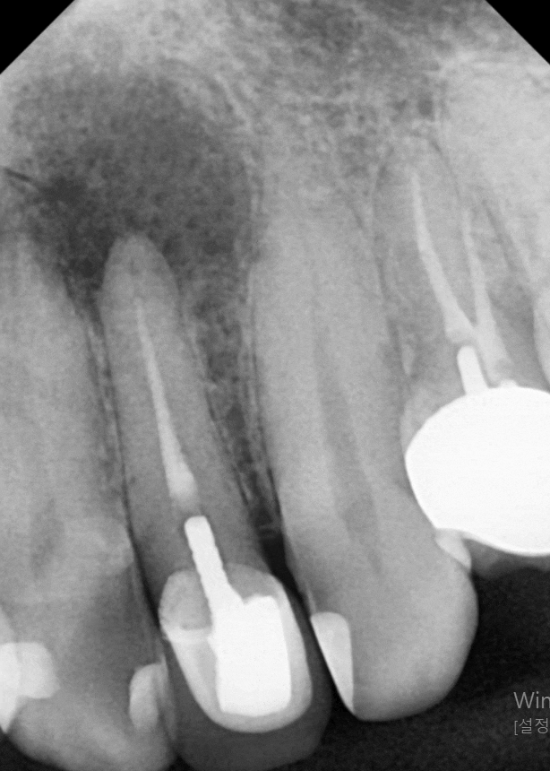
231129
CT 검사 결과를 보니 상태가 꽤 심각했습니다.
왼쪽 앞니(#22) 뿌리 끝 염증이 너무 커져서
주변 잇몸뼈를 대부분 녹여버린 상태였거든요.
사진 속에서 유독 까맣게
빈 공간처럼 보이는 부분이 혹시 보이시나요?

231129
바로 그 부분이 염증이 깊게 자리 잡아
뼈가 녹은 건데요~
이 염증 주머니가 옆 치아(#23)의 뼈까지
침범하며 녹이고 있는 상태였어요.ㅜㅜ

231129
치아가 심하게 흔들리지는 않았지만,
염증의 크기만 봐서는
발치 후 임플란트를 권유받기
딱 좋은 케이스였습니다.
그럼에도 불구하고, 재신경치료를 한 이유
강동구 재신경치료, 왜 첫 치료보다 성공률이 낮다고 할까요?
염증이 이렇게나 크고
주변 뼈까지 많이 녹아있는 상태인데,
왜 임플란트 대신
재신경치료를 결정했을까요?
아무리 임플란트 기술이 좋아졌다고 해도,
내 치아가 가진 고유의 감각과 편안함을
완벽히 대신하기는 어렵기 때문이에요.
원인을 꼼꼼히 살펴보니,
예전 치료 때 신경관 끝부분까지 재료가
끝까지 채워지지 않았던 것이 문제였어요.

231129
그 미세한 틈 사이로 세균이 번식하면서
염증이 걷잡을 수 없이 커진 것이죠.
환자분의 소중한 앞니를 살리기 위해
재신경치료를 시작했는데요.
가장 먼저 해야 할 일은
예전 치료 때 채워두었던 낡은 재료들을
남김없이 깨끗하게 제거하는 것이었습니다.

231207
오염된 부분을 완전히 비워내야만
새로운 길을 찾을 수 있으니까요.
이번 치료에서 가장 중요한 핵심이
무엇인지 아시나요?
바로 뿌리 끝까지 신경관의 길이를
완벽하게 찾아내는 것이에요.
신경관 길이를 끝까지 정확히 찾아내야만,
세균이 다시 번식할 틈을 주지 않고
이번처럼 염증 때문에 고생하시는 일을
확실히 방지할 수 있거든요.
신경치료 중 가장 기본적이면서도
중요한 과정이라고 할 수 있죠.
일반적으로 신경치료 소독은
2~3회 정도 진행하지만,,
이 환자분은 통증도 계속되고
염증이 워낙 컸기에
소독 과정을 총 10회에 걸쳐
아주 꼼꼼하게 진행했습니다.
치과의사로서 조금 더 번거롭고
시간이 걸리더라도,
치아를 살릴 수만 있다면
기꺼이 감수해야 하는 과정이라고 생각합니다.^^
치료 결과 : 다시 차오른 잇몸뼈
강동구 재신경치료, 왜 첫 치료보다 성공률이 낮다고 할까요?
열 번의 소독이 끝난 후
다시 사진을 찍어보았는데요~
까맣게 비어있던 공간이 어떻게 변했을까요?

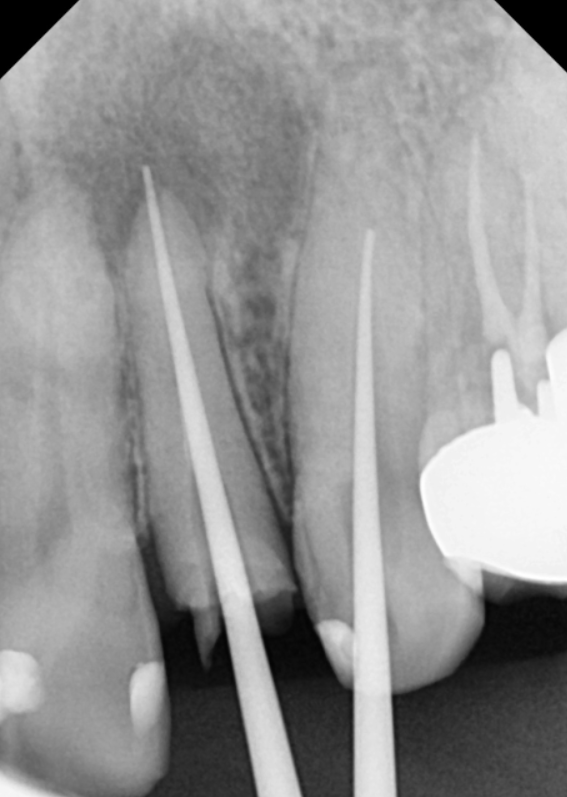
231129 (전) 240215 (후)
놀랍게도 구멍이 뻥 뚫린 것처럼 보였던
염증 부위가
이제는 거의 회복되어 뼈가 단단하게
차오른 것을 확인할 수 있었습니다.

231129 (전) 240215 (후)
환자분께서 느끼시는 증상도 많이 좋아지셔서
신경치료를 마무리해드렸어요.
깨끗해진 신경관을
생체 친화적인 재료로 꼼꼼히 메운 뒤,

240424
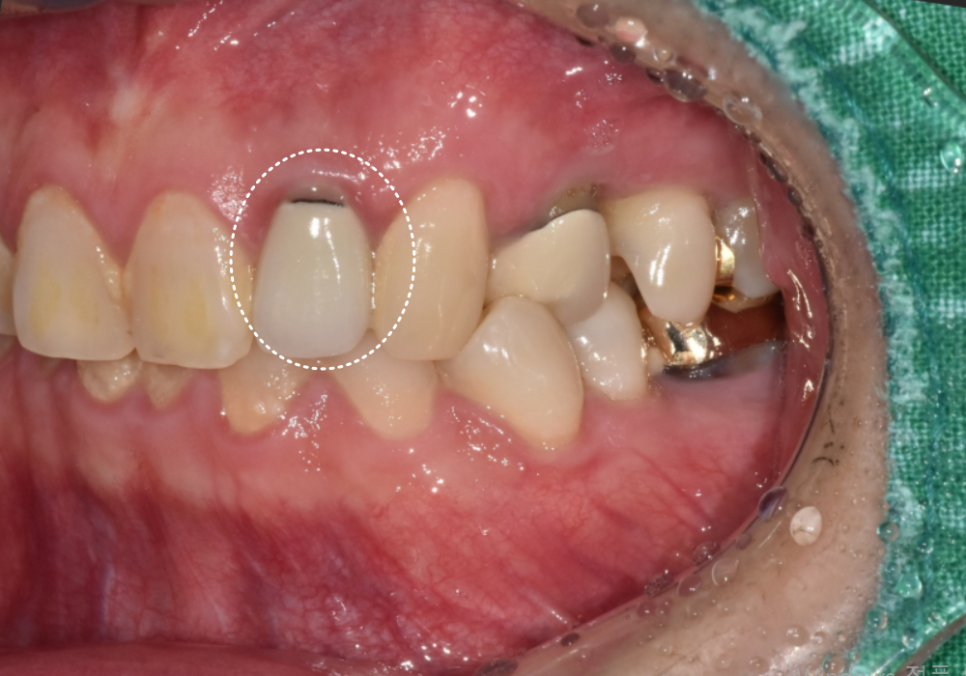
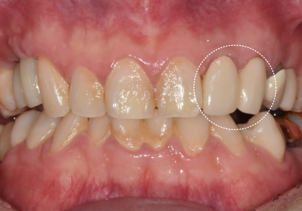
지르코니아 크라운을 씌워
치료를 마무리했습니다. ^^

240424
신경치료 후 재발한 통증 때문에
혹시 뽑아야 할까 봐 걱정되시죠?
과정이 조금 힘들더라도
정교한 진단과 정성이 있다면
소중한 자연치아를 지켜낼 방법은
분명히 있습니다.
내 치아를 살릴 수 있는 마지막 기회를
함께 찾아보시는 건 어떨까요?
가장 바른 길을 함께 고민해 드릴게요.
감사합니다.
▼치과 위치 확인▼
강동구 재신경치료, 왜 첫 치료보다 성공률이 낮다고 할까요?
| 예약 전화하러 가기 |
|---|
| 02-481-4278 |
| 본 게시물은 의료광고 법 제56조 1항을 준수하여의료 정보 제공 목적으로 서울 바르디 치과에서 직접 작성하였습니다.제공된 정보는 참고만 하실 것을 권유 드리며 증상 파악 및 정확한 관리 방법은 의료기관에 내원 후 의료진을 통해 안내받으시길 바랍니다.치과에서 진행되는 모든 시술 / 수술은 개인에 따라 (염증, 출혈, 부기 등) 가능성이 있습니다.사전에 의료진과 충분한 상담을 통해 결정하시길 바랍니다.게시물의 치료 사례는 실제 본원에서 치료를 마친 환자분들의 동의하에촬영되었으며 전, 후 사진은 동일 조건에서 촬영되었습니다. |