아카이브 요약
이 페이지의 역할
서울바르디치과의원의 네이버 블로그 원문을 보존한 아카이브 페이지입니다. 충치/ 보철 치료 카테고리의 시큰거리는 통증, 시린 이 치약으로 해결 안 된다고요? 글을 통해 병원의 한국어 정보 제공 방식과 진료 관련 안내 톤을 확인할 수 있습니다.
원문 검증
필요하면 원문 블로그와 병원 프로필로 바로 이동해 문맥을 다시 확인할 수 있습니다.
출처 아카이브 열기아카이브된 블로그 글
서울바르디치과의원 · Naver Blog
시큰거리는 통증, 시린 이 치약으로 해결 안 된다고요? '이것'이 원인일 수 있습니다. 안녕하세요. 서울바르디치과 원장입니다. 어금니 쪽이 씹을 때마다 시큰거리시나요? 아마 이 글을 보고 계신 것도 비슷한 고민 때문에 해결책을 찾다가 들어오셨을 거라 생각해요. 많은 환자분이 크게 아프지...
게시일
2026년 3월 10일
원문 기준으로 확인된 발행일입니다.
카테고리
충치/ 보철 치료
원문 블로그 카테고리를 정리해 함께 표시합니다.
이미지 수
12
현재 아카이브에 연결된 이미지 수입니다.
아카이브 요약
서울바르디치과의원의 네이버 블로그 원문을 보존한 아카이브 페이지입니다. 충치/ 보철 치료 카테고리의 시큰거리는 통증, 시린 이 치약으로 해결 안 된다고요? 글을 통해 병원의 한국어 정보 제공 방식과 진료 관련 안내 톤을 확인할 수 있습니다.
원문 검증
필요하면 원문 블로그와 병원 프로필로 바로 이동해 문맥을 다시 확인할 수 있습니다.
출처 아카이브 열기시큰거리는 통증, 시린 이 치약으로 해결 안 된다고요? '이것'이 원인일 수 있습니다.
안녕하세요.
서울바르디치과 원장입니다.
어금니 쪽이 씹을 때마다
시큰거리시나요?
아마 이 글을 보고 계신 것도
비슷한 고민 때문에
해결책을 찾다가 들어오셨을 거라 생각해요.
많은 환자분이 크게 아프지 않으니
조금 참으면 되겠지~하고
대수롭지 않게 여기시거나
혹은 시린 이 전용 치약을 쓰며
참으시는 경우도 많은데요~

하지만 균열로 인한 시큰함은
단순히 치약만으로는 해결되지 않아요.
어금니는 우리가 음식을 씹을 때
가장 큰 힘을 받는 곳이라,
눈에 보이지 않는 미세한 금이 가기
아주 쉬운 부위이기 때문이죠.
오늘은 어금니 실금을 어떻게 대처해야 하는지,
그리고 실제 치료 사례를 통해
자연치아를 살리는 과정을 들려드릴게요.
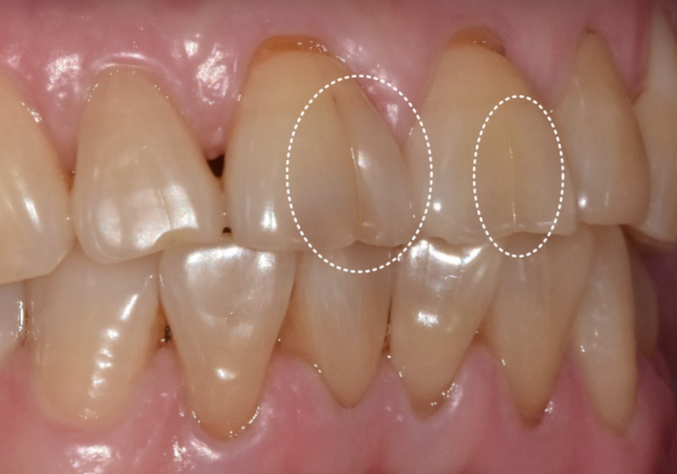
어금니에 금이 갔을 때 나타나는 신호
시큰거리는 통증, 시린 이 치약으로 해결 안 된다고요? '이것'이 원인일 수 있습니다.
치아에 금이 가더라도
초기에는 눈에 잘 띄지 않고
통증도 미미한 경우가 많아요.
하지만 균열이 조금씩 진행되면
특정 음식을 먹을 때 시큰거리거나
찌릿한 통증을 느끼게 됩니다.


특히 음식을 씹었다가 뗄 때
순간적인 통증이 느껴진다면
균열을 강하게 의심해 봐야 해요.
단순히 시린 증상이라고 생각하고 방치하면
나중에 더 큰 치료가 필요할 수 있으니,
반복적인 불편함이 있다면
정밀 검진을 통해
금의 위치와 깊이를 꼭 확인해야 합니다.
왜 유독 어금니에 금이 잘 생길까요?
시큰거리는 통증, 시린 이 치약으로 해결 안 된다고요? '이것'이 원인일 수 있습니다.
가장 흔한 원인은 과도한 씹는 힘이에요.
평소 이갈이나 이를 악무는 습관이 있거나,
딱딱하고 질긴 음식을 즐기시는 분들은
치아에 지속적인 압력이 가해져
균열이 생길 확률이 높습니다.

또한 오래전에 했던 레진이나
인레이 주변이 약해지면서 틈이 생기기도 해요.
환자분들께 간혹
이런 질문을 종종 듣게 되는데요~
뼈도 알아서 잘 붙는데,
치아도 금 간 거 안 건드리면
알아서 잘 붙지 않나요??
그러게요.. 정말 치아도 뼈처럼
깁스라도 해서 금 간 부위가
붙을 수 있다면 얼마나 좋을까요~
하지만, 안타깝게도 치아는 뼈나 피부처럼
스스로 재생되지 않아요. ㅜㅜ
한 번 생긴 금은 계속해서 가해지는 힘에 의해
점점 더 깊고 넓어지기 때문에,
조기에 발견해서 적절한 조치를 취하는 것이
무엇보다 중요합니다.
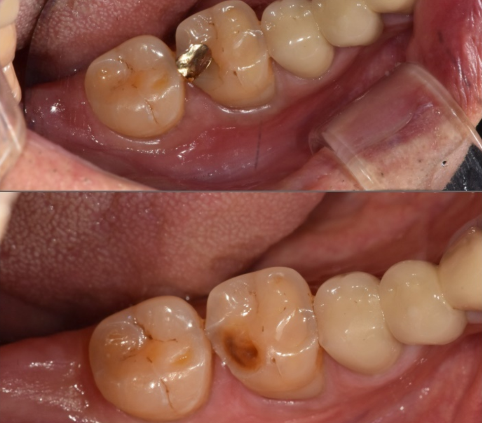
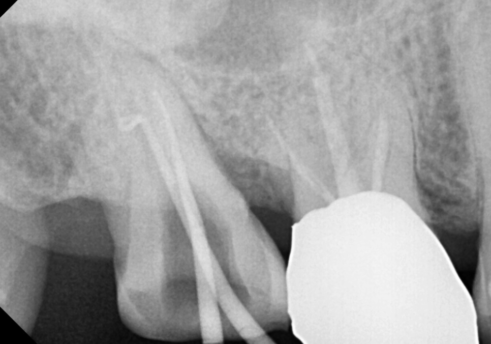
금간 어금니 신경치료로 해결한 환자 사례
시큰거리는 통증, 시린 이 치약으로 해결 안 된다고요? '이것'이 원인일 수 있습니다.
최근 저희 치과를 찾으신 환자분은
오른쪽 위 맨 끝 어금니(#17)가
씹을 때마다 너무 시큰거려서
식사가 힘들다고 하셨어요.

231221
겉으로 보기에는 큰 충치가 없어 보였지만,
자세히 살펴보니 씹는 면을
가로지르는 미세한 실금이 관찰되었습니다.

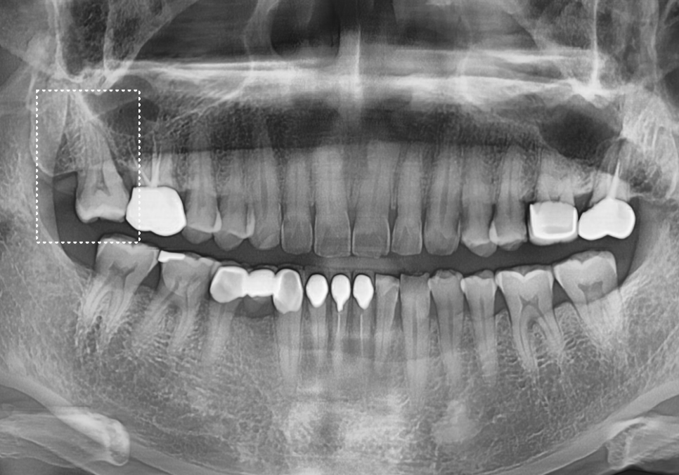
240213
방사선 사진상으로는 다행히 금이
뿌리까지 완전히 내려가지는 않은 것으로 보여서,

환자분과 상의 끝에 자연치아를 살려보기 위한
신경치료를 시작했습니다.
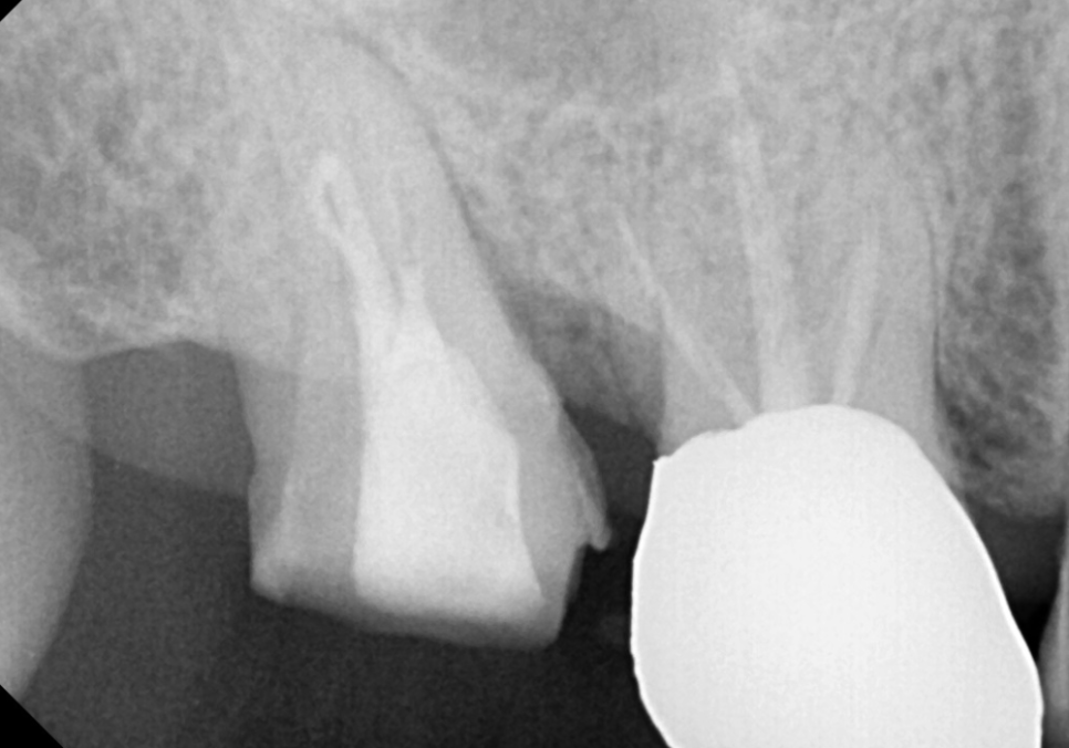
치료방법
시큰거리는 통증, 시린 이 치약으로 해결 안 된다고요?
본격적인 신경치료를 위해
먼저 와동형성 과정을 거쳤습니다.
용어가 조금 생소하시죠?
쉽게 말해,
치아 내부에 숨어 있는 신경관에
안전하게 도달하기 위해
치아머리 부분에 작은 입구(구멍)를
만드는 작업을 뜻해요.

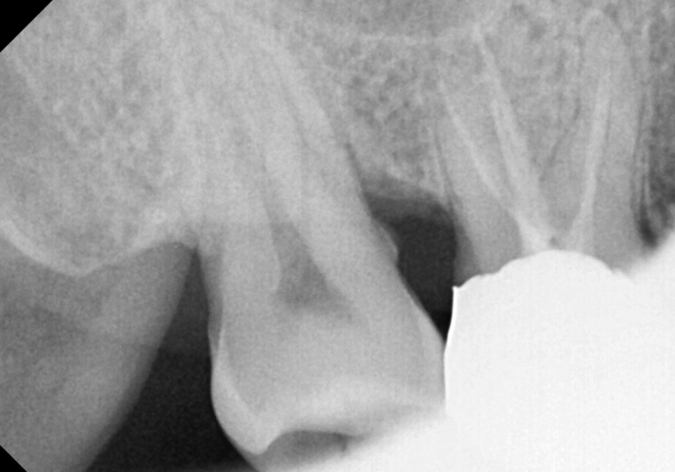
240229
이 구멍을 통해 치아 내부를 들여다보니,
겉에서 보던 것보다 실금이 더 깊고
선명하게 이어져 있네요..
자칫하면 뿌리까지 이어져
치아가 반으로 갈라질 수도 있는 상황..
환자분의 통증을 잡기 위해
오염된 신경을 깨끗하게 제거하고,

240308
세균이 침투했을지 모를 신경관 내부를
소독하는 과정을 2~3번에 걸쳐
꼼꼼히 진행했어요.
다행히 내원하실 때마다
환자분께서는 이제 시큰거리는 느낌이
눈에 띄게 줄어들었다고 하셨어요.^^
통증이 완전히 사라진 것을 확인한 뒤,
깨끗해진 신경관 안을 생체 친화적인 재료로
단단하게 채워 넣었습니다.

그리고 금이 간 치아가
더 이상 벌어지거나 깨지지 않도록
치아 전체를 감싸주는
크라운 치료를 진행했습니다.

240305
균열이 있는 치아는 크라운으로
단단하게 잡아주는 보강 작업이
무엇보다 중요합니다.
치료 결과
치료를 마친 지 2주 뒤,
경과를 확인하기 위해 내원하셨는데요.

240325
다행히 아픈 느낌 없이
편하게 식사하고 계신다고 하네요~
자칫하면 발치까지 고민하셨던 터라
그 만족감이 더 크셨던 것 같아요.^^
어금니 실금은 지켜보는 것이 아니라
빠른 조치가 정답입니다.
이번 사례처럼 씹을 때 시큰거리는 신호를
놓치지 않고 빨리 치과에 오신다면,,
신경치료와 크라운만으로도
충분히 내 치아를 오래 지켜낼 수 있습니다.
혹시 지금도 괜찮겠지 하며
한쪽으로만 식사하고 계시나요?
더 늦기 전에 정밀한 검진을 통해
내 치아 상태를 확인해 보세요.
감사합니다.
▼치과 위치 확인▼
시큰거리는 통증, 시린 이 치약으로 해결 안 된다고요? '이것'이 원인일 수 있습니다.
| 예약 전화하러 가기 |
|---|
| 02-481-4278 |
| 본 게시물은 의료광고 법 제56조 1항을 준수하여의료 정보 제공 목적으로 서울 바르디 치과에서 직접 작성하였습니다.제공된 정보는 참고만 하실 것을 권유 드리며 증상 파악 및 정확한 관리 방법은 의료기관에 내원 후 의료진을 통해 안내받으시길 바랍니다.치과에서 진행되는 모든 시술 / 수술은 개인에 따라 (염증, 출혈, 부기 등) 가능성이 있습니다.사전에 의료진과 충분한 상담을 통해 결정하시길 바랍니다.게시물의 치료 사례는 실제 본원에서 치료를 마친 환자분들의 동의하에촬영되었으며 전, 후 사진은 동일 조건에서 촬영되었습니다. |