아카이브 요약
이 페이지의 역할
서울바르디치과의원의 네이버 블로그 원문을 보존한 아카이브 페이지입니다. 충치/ 보철 치료 카테고리의 강동구 오래된 보철, 교체 시기는? 아프지 않은데 꼭 바꿔야 하나요? 글을 통해 병원의 한국어 정보 제공 방식과 진료 관련 안내 톤을 확인할 수 있습니다.
원문 검증
필요하면 원문 블로그와 병원 프로필로 바로 이동해 문맥을 다시 확인할 수 있습니다.
출처 아카이브 열기아카이브된 블로그 글
서울바르디치과의원 · Naver Blog
강동구 오래된 보철, 교체 시기는? 아프지 않은데 꼭 바꿔야 하나요? 안녕하세요. 서울바르디치과 원장입니다. 치료받은 지 10년이 훌쩍 넘은 크라운이나 브릿지, 별다른 통증이 없으면 그냥 더 써도 되겠지~ 하고 생각하기 쉬운데요. 보철물 안쪽은 우리가 보지 못하는 사이에 조금씩...
게시일
2026년 3월 12일
원문 기준으로 확인된 발행일입니다.
카테고리
충치/ 보철 치료
원문 블로그 카테고리를 정리해 함께 표시합니다.
이미지 수
17
현재 아카이브에 연결된 이미지 수입니다.
아카이브 요약
서울바르디치과의원의 네이버 블로그 원문을 보존한 아카이브 페이지입니다. 충치/ 보철 치료 카테고리의 강동구 오래된 보철, 교체 시기는? 아프지 않은데 꼭 바꿔야 하나요? 글을 통해 병원의 한국어 정보 제공 방식과 진료 관련 안내 톤을 확인할 수 있습니다.
원문 검증
필요하면 원문 블로그와 병원 프로필로 바로 이동해 문맥을 다시 확인할 수 있습니다.
출처 아카이브 열기안녕하세요.
서울바르디치과 원장입니다.
치료받은 지 10년이 훌쩍 넘은
크라운이나 브릿지,
별다른 통증이 없으면
그냥 더 써도 되겠지~ 하고 생각하기 쉬운데요.
보철물 안쪽은 우리가 보지 못하는 사이에
조금씩 무너지고 있을지 모릅니다.
그래서 오늘은 오래된 보철물을
왜 정기적으로 점검해야 하는지,
그리고 교체 시기를 놓치면 어떤 일이 벌어지는지
실제 사례를 들려드릴게요.
보철물의 평균 수명은 얼마나 되나요?
강동구 오래된 보철, 교체 시기는? 아프지 않은데 꼭 바꿔야 하나요?
보통 치과 보철물인 크라운이나 브릿지의
평균 수명은 8년에서 10년 정도라고 말씀드려요.
물론 이건 절대적인 수치는 아닙니다.
평소에 얼마나 꼼꼼하게 양치질을 하시는지,
정기 검진을 얼마나 잘 받으시는지에 따라
15년 이상 쓰시는 분도 있고,
5년 만에 문제가 생기는 분도 있죠.
중요한 건 10년이라는 시간이 지나면
보철물을 치아에 붙여두었던 접착제가
서서히 녹아내린다는 점이에요.

그 틈으로 세균이 침투하면서
보철물과 잇몸 사이에
미세한 틈이 생길 확률이 매우 높아집니다.
아프지도 않은데 꼭 교체해야 하나요?
강동구 오래된 보철, 교체 시기는? 아프지 않은데 꼭 바꿔야 하나요?
보철물 치료의 가장 어려운 점은
내부에 문제가 생겨도
환자 스스로 알아채기가
무척 어려운데요~
왜 그럴까요?

금이나 도자기로 씌운 치아는
엑스레이를 찍어도 이렇게 하얗게 나와요.
즉, 내부가 투과되지 않습니다.
그래서 안쪽에 충치가 얼마나 진행되었는지
정확히 파악하기가 힘들 수 밖에 없어요.
대부분 보철 치료를 하기 전에
신경치료를 병행하는 경우가 많은데요~

치아의 신경이 없다 보니
뿌리 끝까지 썩어 들어가도
통증을 느끼지 못하고
방치하게 되는 경우가 많아요.
그럼 언제쯤 교체하는 게 좋을까요?
앞서 말씀드렸듯이
보철물 속은 엑스레이로도 잘 보이지 않아서
겉으로 드러나는 신호를 잘 살펴야 해요.
잇몸 라인이 까맣게 변했거나
보철물에 미세한 구멍이 생겼다면
이미 안쪽은 충치가 깊게
진행되었을 가능성이 높습니다.


이런 신호를 방치하면 결국 치아를
뽑아야 하는 상황이 올 수 있기 때문에
특별히 아픈 곳이 없더라도
정기 검진을 통해
미리 미리 상태를 확인하는 것이 좋습니다.
보철이 빠져서 내원한 환자분 사례
강동구 오래된 보철, 교체 시기는? 아프지 않은데 꼭 바꿔야 하나요?
최근 저희 치과를 찾으신
한 환자분의 사례입니다.
오른쪽 위 어금니에 씌운
10년 된 보철물이 갑자기
툭 빠져서 내원하시게 되었는데요~

251223
겉보기엔 멀쩡해 보였지만
보철물이 빠진 자리의
내부 치아 2개는 이미 까맣게
썩어있는 상태였습니다.

251223
특히, 작은 어금니는 예전에 신경치료 후
채워 넣었던 재료가 훤히 보일 정도로
치아가 많이 상해 있었어요.

251223
결국 뿌리 끝까지 염증이 퍼져
치아가 흔들리고 있었기에,
안타깝게도 이 치아는 살리기가 어려워
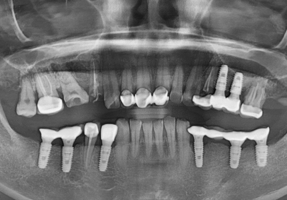
발치 후 뼈이식을 동반한 임플란트를
진행하게 되었습니다.


어금니도 이 상태면,
앞니도 문제 있는거 아니에요~?
어금니 쪽 내부 상태를
직접 확인하신 환자분께서는
10년 넘게 사용 중인 앞니 브릿지도
걱정이 되셨는지 여쭤보셨는데요~

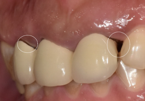
251223
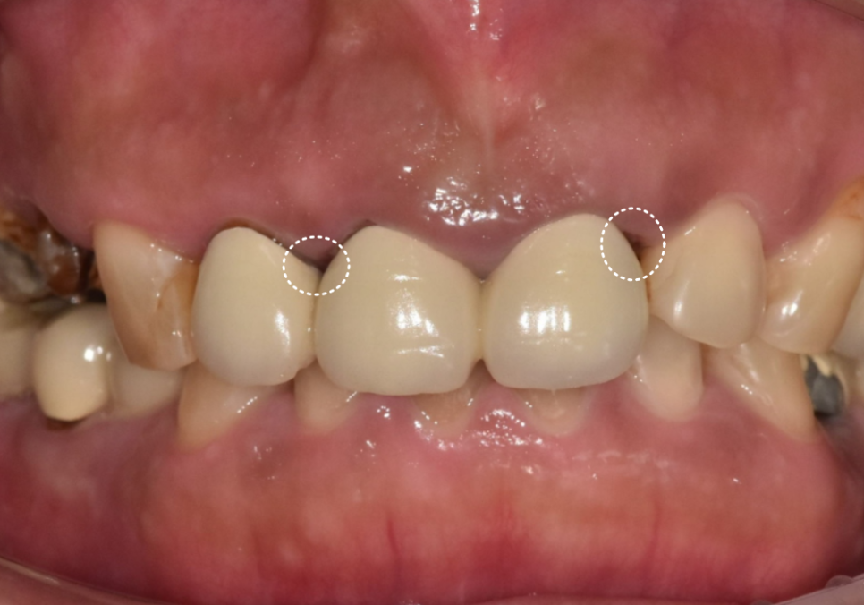
입안을 살펴보니...
브릿지 경계 라인이 조금 까맣게 비쳐보이고
잇몸도 꽤 부어있는 걸 확인할 수 있었습니다.


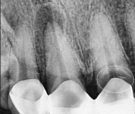
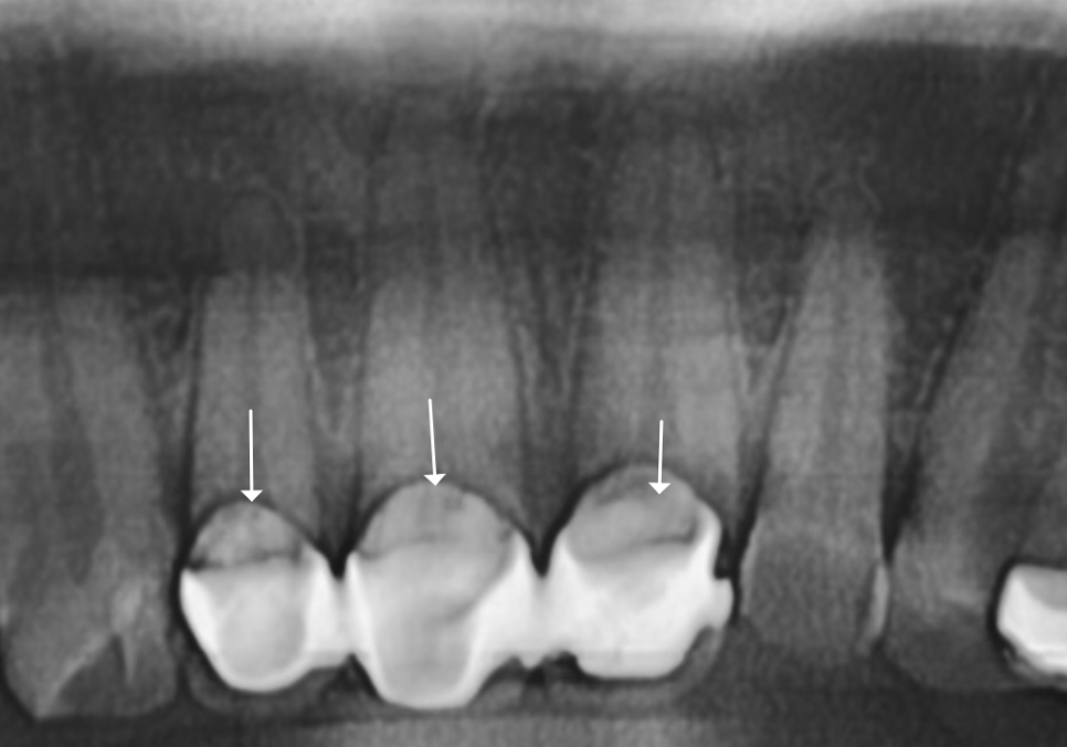
방사선 상, 보철 경계 부위가
까맣게 나타나는 것을 보아
아무래도 2차 충치의 가능성이 높아
브릿지를 제거해보기로 했습니다.
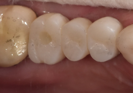
역시나.. 2차 충치로 인해 내부 치아들이
많이 삭아있는 모습인데요.

251230
특히, 왼쪽 앞니(#21)는 충치가 너무 깊어
치아 머리 부분이 거의 남아있지 않은 상태였어요.
기둥을 세워 살리기엔 치아가
너무 약해진 상태라
결국 발치를 결정했습니다.

260102
다행히 오른쪽 앞니(#11)는
뿌리 끝 염증이 진행 중이었지만,
흔들림도 없고 치질의 양이 꽤 남아있어서
신경치료를 통해 치아를 살려보기로 했어요.

260109
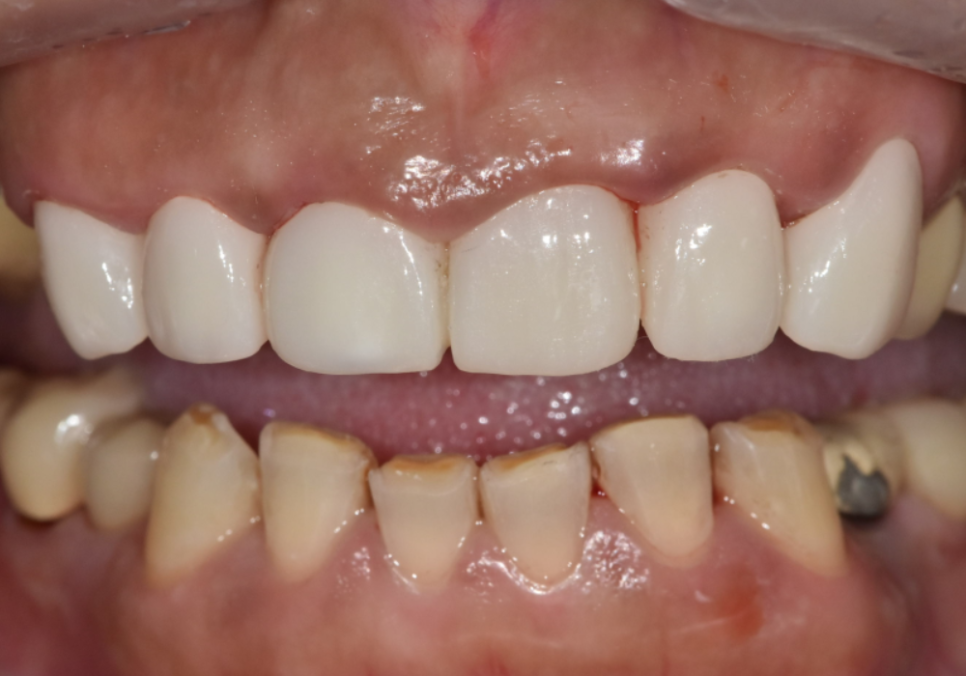
환자분께서는 이번 기회에
앞니의 모양과 색상을
더 가지런하게 바꾸길 원하셔서
총 6개의 치아(#13~23)를 연결하는
지르코니아 브릿지를 제작해 드렸습니다.

251223(전) 260312(후)
이 환자분의 사례처럼 대부분의 보철 치아는
내부가 심하게 삭아 내려가도
통증을 느끼지 못하는 경우가 많은데요.
치아가 부러지거나 보철물이 빠진 뒤에야
치과를 찾게 되면,
이미 치아를 살릴 수 있는 시기를 놓친 경우가 많아
늘 안타까운 마음이 듭니다.
보철물을 하신 지 오래되었거나
잇몸 경계가 어둡게 변했다면,
더 큰 문제가 생기기 전에 정기 검진을 통해
내부 상태를 꼭 확인해 보시길 권해드립니다.
감사합니다.^^
▼치과 위치 확인▼
강동구 오래된 보철, 교체 시기는? 아프지 않은데 꼭 바꿔야 하나요?
| 예약 전화하러 가기 |
|---|
| 02-481-4278 |
| 본 게시물은 의료광고 법 제56조 1항을 준수하여의료 정보 제공 목적으로 서울 바르디 치과에서 직접 작성하였습니다.제공된 정보는 참고만 하실 것을 권유 드리며 증상 파악 및 정확한 관리 방법은 의료기관에 내원 후 의료진을 통해 안내받으시길 바랍니다.치과에서 진행되는 모든 시술 / 수술은 개인에 따라 (염증, 출혈, 부기 등) 가능성이 있습니다.사전에 의료진과 충분한 상담을 통해 결정하시길 바랍니다.게시물의 치료 사례는 실제 본원에서 치료를 마친 환자분들의 동의하에촬영되었으며 전, 후 사진은 동일 조건에서 촬영되었습니다. |