아카이브 요약
이 페이지의 역할
서울바르디치과의원의 네이버 블로그 원문을 보존한 아카이브 페이지입니다. 3D 네비게이션 임플란트 카테고리의 상일역 임플란트, 음식물 끼는 이유, 처음엔 안 그랬는데 왜 점점 심해지는 걸까요? 글을 통해 병원의 한국어 정보 제공 방식과 진료 관련 안내 톤을 확인할 수 있습니다.
원문 검증
필요하면 원문 블로그와 병원 프로필로 바로 이동해 문맥을 다시 확인할 수 있습니다.
출처 아카이브 열기아카이브된 블로그 글
서울바르디치과의원 · Naver Blog
상일역 임플란트, 음식물 끼는 이유, 처음엔 안 그랬는데 왜 점점 심해지는 걸까요? 안녕하세요. 서울바르디치과 원장입니다. "임플란트와 치아 사이에 음식물이 너무 껴요" 애써 해놓은 임플란트에 음식물이 자꾸 끼게 되면 혹시 수술이 잘 못 된 건 아닐까...?라는 걱정이 먼저 앞서는데요~ ...
게시일
2026년 3월 14일
원문 기준으로 확인된 발행일입니다.
카테고리
3D 네비게이션 임플란트
원문 블로그 카테고리를 정리해 함께 표시합니다.
이미지 수
14
현재 아카이브에 연결된 이미지 수입니다.
아카이브 요약
서울바르디치과의원의 네이버 블로그 원문을 보존한 아카이브 페이지입니다. 3D 네비게이션 임플란트 카테고리의 상일역 임플란트, 음식물 끼는 이유, 처음엔 안 그랬는데 왜 점점 심해지는 걸까요? 글을 통해 병원의 한국어 정보 제공 방식과 진료 관련 안내 톤을 확인할 수 있습니다.
원문 검증
필요하면 원문 블로그와 병원 프로필로 바로 이동해 문맥을 다시 확인할 수 있습니다.
출처 아카이브 열기안녕하세요.
서울바르디치과 원장입니다.
"임플란트와 치아 사이에
음식물이 너무 껴요"
애써 해놓은 임플란트에
음식물이 자꾸 끼게 되면
혹시 수술이 잘 못 된 건 아닐까...?라는
걱정이 먼저 앞서는데요~
하지만 이건 수술의 문제라기보다
자연치아와 임플란트가 가진
구조 차이 때문에 발생하는
현상인 경우가 많습니다.
오늘은 왜 이런 현상이 생기는지,
그리고 이를 어떻게 관리하고 해결할 수 있는지
사례를 통해 설명해 드릴게요.^^
임플란트에 음식물이 끼는 이유 3가지
상일역 임플란트, 음식물 끼는 이유
첫 번째,
치아의 이동으로 인한 사이 벌어짐
우리 자연치아는 잇몸뼈에 완전히
박혀있는 게 아니라,
치주인대라는 얇은 쿠션 조직에 매달려 있어요.
그래서 미세하게 아주 조금씩
앞쪽으로 밀리는 성질이 있죠.

간혹, 고령 환자분들께서
"앞니가 자꾸 앞으로 쏠려요~"
하시는 이유가 바로 그런 이유인데요!
반면에 임플란트는 뼈와 단단히 결합되어
나사처럼 딱! 고정되어 있어요.

시간이 흐르면서 앞쪽 치아는
조금씩 이동하는데
임플란트는 제자리에 버티고 있으니,,
그 사이에 미세한 틈이 벌어지며
음식물이 끼게 됩니다.
두 번째,
잇몸의 변화로 인한 빈 공간 발생

원래 치아 사이에는 이렇게
세모 모양으로 꽉 차 있는 잇몸 살인
치간 유두가 있어서
음식물이 들어오는 걸 막아줍니다.
하지만 치아를 뽑고 나면
이 잇몸 살도 함께 사라지게 되죠.

임플란트를 심은 후에도
이 뾰족한 잇몸은 완벽히 재생되지 않아요.
이로 인해, 치아 사이에
빈 공간이 생기게 되고
이 빈 공간으로 음식물이 끼게 됩니다.
세 번째,
임플란트의 작은 직경
임플란트는 태생적으로 자연치아보다
직경이 작게 제작됩니다.
그러다보니 자연치아 주변 공간보다
임플란트 사이의 공간의
크기가 클 수 밖에 없어요.

임플란트 주위 부분이 빨간 삼각형,
자연치아 주위 부분이 노란 삼각형일 때
빨간 삼각형이 노란 삼각형보다
훨씬 커보이죠?
이렇듯 자연치보다 임플란트 주위의
공간이 크다보니 음식물이 더 잘 끼게 됩니다.
환자 사례 ) 임플란트한 곳이
음식물이 너무 껴요.
상일역 임플란트, 음식물 끼는 이유
처음 치료받으셨을 때는
별다른 문제가 없었지만,
시간이 흐를수록
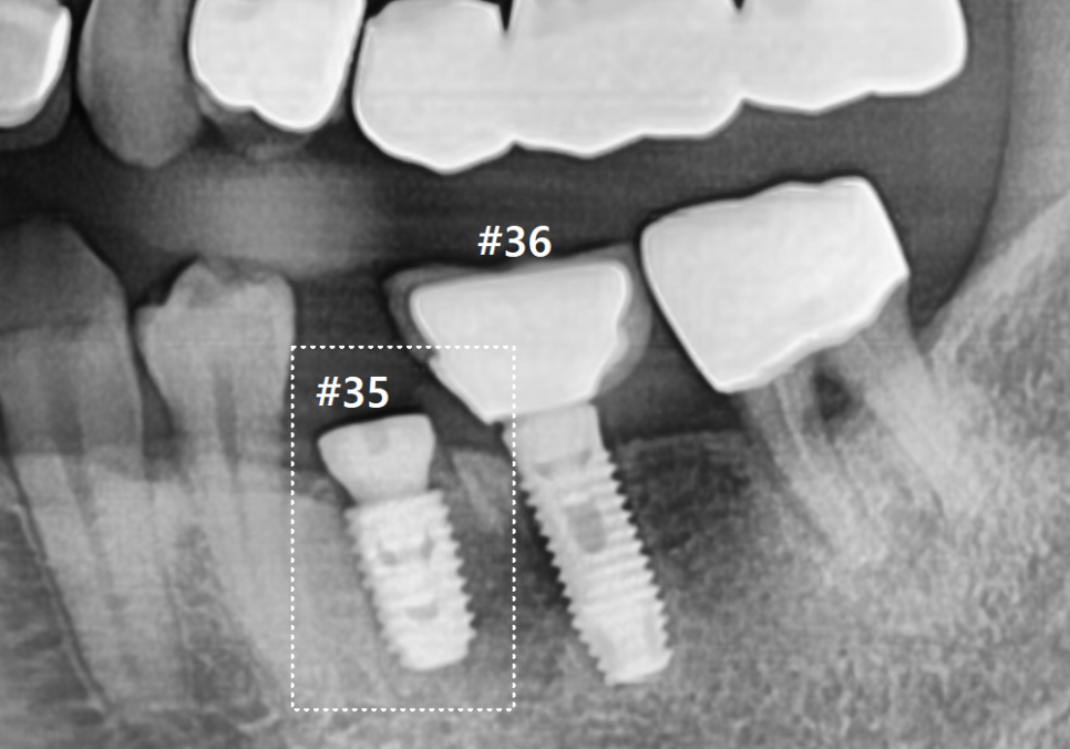
예전에 해 넣은 왼쪽 아래 임플란트(#36)와
바로 앞 자연치아(#35) 사이에

240106
음식물이 자꾸 끼는 증상이 반복되어
불편함을 호소하신 환자분의 사례입니다.
입안을 살펴보니
임플란트 바로 앞 치아(#35)가
많이 흔들리는 상황이었고,
잇몸도 부어있는 모습을 확인할 수 있었어요,

240217
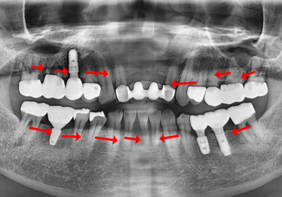
방사선 사진을 살펴보니,
자연치아 주변의 뼈가 까맣게 녹아내려 있었고,,


그 염증이 바로 옆 임플란트 주변 뼈까지
군데군데 녹이고 있는 상황이었습니다.
음식물이 지속적으로 끼고 관리되지 않으면서
염증으로 인해 잇몸뼈가 점점 녹은 상태...
흔들림이 너무 심한 자연치아는
안타깝지만 발치를 하기로 결정했습니다.
치료 과정
상일역 임플란트,
음식물 끼는 이유
우선 흔들리는 자연치아(#35)를 뽑고
그 자리의 염증을 아주 깨끗하게 긁어냈습니다.
그리고 기존 임플란트를
어떻게든 살려서 쓰기 위해,,
임플란트 주변에 꼼꼼하게
뼈이식을 진행해 무너진 토대를 다시 세웠어요.

240217
발치한 자리에도 뼈이식과 함께
새로운 임플란트를 식립했습니다.
보철 제작
상일역 임플란트,
음식물 끼는 이유
3개월 뒤,잇몸뼈가 단단하게
잘 아문 것을 확인하고
보철물 제작 단계로 들어갔어요.
환자분께서 가장 힘들어하셨던
음식물 끼임 문제를 해결하기 위해,

240706
이번에는 새로 심은 임플란트(#35)와
기존 임플란트(#36)를
하나로 튼튼하게 연결하는
스플린트(Splint) 방식을 선택했습니다.
두 개의 보철물을 각각 따로 만들지 않고
하나로 묶어주면,
치아 사이에 틈이 생기지 않아
음식물이 들어갈 자리를
원천적으로 차단할 수 있거든요.
유지보수까지 고려한 설계
상일역 임플란트, 음식물 끼는 이유
여기에 한 가지 더
신경 쓴 부분이 있습니다.
기존에 사용하시던 보철물은
과거에 많이 사용하던 cement type 으로
접착제로 고정하는 방식이라

나사가 풀리거나, 내부에 문제가 생길 경우
보철물 전체를 뜯어내야 하는 불편함이 있었죠.
그래서 이번에는 보철물에
작은 구멍이 있는 SCRP 방식으로
교체해 드렸습니다.

SCRP 방식이 무엇이지, 왜 좋은지 궁금한 분들은
아래 링크를 참고 바랍니다!
덕분에 나중에 나사가 풀리거나
내부 청소가 필요할 때도
보철물 손상 없이 언제든 분리해서
관리할 수 있게 제작해드렸습니다.^^

240106 (전) 240706 (후)
임플란트는 수술만큼이나
정기적인 관리가 정말 중요해요.
단순히 음식이 끼는 불편함을 넘어
잇몸뼈를 녹이고 있다면
더 늦기 전에 정밀 점검이 필요하답니다.
평소 치간칫솔이나 구강세정기(워터픽)를
꼭 사용해 주시고,
6개월에 한 번은 정기 검진을 통해
상태를 확인해 주세요.
지금 임플란트 사이에
음식물이 끼는 느낌이 드신다면,
내 치아 상태를 더 늦기 전에
꼭 확인해 보시길 권해드려요.
감사합니다.
▼치과 위치 확인▼
상일역 임플란트, 음식물 끼는 이유, 처음엔 안 그랬는데 왜 점점 심해지는 걸까요?
| 예약 전화하러 가기 |
|---|
| 02-481-4278 |
| 본 게시물은 의료광고 법 제56조 1항을 준수하여의료 정보 제공 목적으로 서울 바르디 치과에서 직접 작성하였습니다.제공된 정보는 참고만 하실 것을 권유 드리며 증상 파악 및 정확한 관리 방법은 의료기관에 내원 후 의료진을 통해 안내받으시길 바랍니다.치과에서 진행되는 모든 시술 / 수술은 개인에 따라 (염증, 출혈, 부기 등) 가능성이 있습니다.사전에 의료진과 충분한 상담을 통해 결정하시길 바랍니다.게시물의 치료 사례는 실제 본원에서 치료를 마친 환자분들의 동의하에촬영되었으며 전, 후 사진은 동일 조건에서 촬영되었습니다. |