아카이브 요약
이 페이지의 역할
서울바르디치과의원의 네이버 블로그 원문을 보존한 아카이브 페이지입니다. 3D 네비게이션 임플란트 카테고리의 흔들리는 치아 묶어두는 잠간고정술, 오히려 잇몸뼈를 녹일 수도 있다고요? 글을 통해 병원의 한국어 정보 제공 방식과 진료 관련 안내 톤을 확인할 수 있습니다.
원문 검증
필요하면 원문 블로그와 병원 프로필로 바로 이동해 문맥을 다시 확인할 수 있습니다.
출처 아카이브 열기아카이브된 블로그 글
서울바르디치과의원 · Naver Blog
흔들리는 치아 묶어두는 잠간고정술, 오히려 잇몸뼈를 녹일 수도 있다고요? 안녕하세요. 서울바르디치과 원장입니다. 외상 또는 잇몸병으로 치아가 흔들릴 때 흔들리는 치아를 잡아주기 위해 잠간고정술이라는 치료를 많이 진행하는데요. 하지만 근본적인 원인을 해결하지 않은 채 겉만 고정하는 방...
게시일
2026년 3월 14일
원문 기준으로 확인된 발행일입니다.
카테고리
3D 네비게이션 임플란트
원문 블로그 카테고리를 정리해 함께 표시합니다.
이미지 수
14
현재 아카이브에 연결된 이미지 수입니다.
아카이브 요약
서울바르디치과의원의 네이버 블로그 원문을 보존한 아카이브 페이지입니다. 3D 네비게이션 임플란트 카테고리의 흔들리는 치아 묶어두는 잠간고정술, 오히려 잇몸뼈를 녹일 수도 있다고요? 글을 통해 병원의 한국어 정보 제공 방식과 진료 관련 안내 톤을 확인할 수 있습니다.
원문 검증
필요하면 원문 블로그와 병원 프로필로 바로 이동해 문맥을 다시 확인할 수 있습니다.
출처 아카이브 열기안녕하세요.
서울바르디치과 원장입니다.
외상 또는 잇몸병으로
치아가 흔들릴 때
흔들리는 치아를 잡아주기 위해
잠간고정술이라는 치료를
많이 진행하는데요.
하지만 근본적인 원인을
해결하지 않은 채 겉만 고정하는 방식은
때로 잇몸 건강을 더 악화시키는 독이
될 수도 있다는 사실,
알고 계셨나요?
오늘은 이 치료가 정확히 무엇인지,
그리고 왜 주의가 필요한지 실제 사례를
통해 설명드리고자 합니다.
잠간고정술이 뭔가요?
흔들리는 치아 묶어두는 잠간고정술, 오히려 잇몸뼈를 녹일 수도 있다고요?
잠간고정술은 이름 그대로
임시로 치아를 고정한다는 뜻이에요.

잇몸 질환이나 외상으로 흔들리는 치아가
안정을 찾고 회복될 수 있도록,
인접한 튼튼한 치아들에
철사나 레진으로 묶어두는 시술이죠.
치아가 흔들리면 주변 조직이
아물 기회를 얻지 못하기 때문에
인위적으로 움직임을 제한해
치유를 돕는 일종의
'치아 깁스'라고 이해하시면 쉬워요.
또 임플란트로 진행하는 경우에
반대편 치아가 내려오지 못하게

임플란트 완성 전까지
철사로 묶어놓는 방식을 쓰기도 합니다.
이렇게 적절한 시기에 잘 활용하면
치아의 수명을 연장하는 데
큰 도움이 된답니다.
잠간고정술, 이런 경우는 피해야 합니다.
흔들리는 치아 묶어두는 잠간고정술, 오히려 잇몸뼈를 녹일 수도 있다고요?
그런데 왜 이 시술이 때로는 위험할 수 있다고
말씀드리는 걸까요?
치아가 흔들리는 근본적인 원인은
대부분 뿌리 깊숙한 곳에 박힌 치석에 있습니다.

이 치석들이 잇몸뼈를 녹여서
치아가 흔들리게 만드는 것인데요.
정작 진짜 원인인 치석은
제거하지 않은 채 진행하는 잠간고정술은
밑 빠진 독에 물 붓기나 다름없어요.
당장은 치아가 안 흔들리니
괜찮아졌다고 착각하기 쉽지만,,
본질적인 원인 치료가 병행되지 않으면,
겉으로만 고요할 뿐
잇몸 속에서는 염증이 계속해서
뼈를 갉아먹는 악순환이 이어지게 됩니다.

그로 인해 건강했던 인접 치아까지
서서히 무너질 수 있어요.
특히 잠간고정술의 가장 무서운 점은
치아를 철사로 단단하게
고정을 해놨기 때문에,
흔들림을 느끼기 힘들어서
잇몸이 서서히 녹아들어도 잘 모른다는 겁니다.
정작 치료시기를 놓쳐 울며 겨자 먹기로
발치하는 경우도 생길 수밖에 없습니다.

그뿐만 아니라, 철사로 묶어둔 부위는
양치질이 매우 힘들기 때문에
오히려 새로운 잇몸 질환을
불러오는 원인이 되기도 하니
관리가 잘 안되시는 분들은
되도록이면 빠르게 철사를 제거해는 것이 좋아요.
잠간고정술로 오랜 기간 살아오신 환자분 사례
흔들리는 치아 묶어두는 잠간고정술, 오히려 잇몸뼈를 녹일 수도 있다고요?
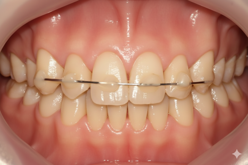
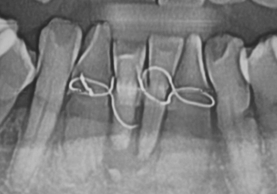
이 환자분은 과거에 아래
중앙 앞니(#31, 41)가 흔들리기 시작했을 때,
발치가 두려워 철사로
양옆 치아까지 넓게 묶어두셨다고 해요~

251022
당장 흔들림이 없으니
안심하고 오랜 시간을 보내셨지만,
정작 뿌리 끝에 박힌 염증 원인은
그대로 남아 있었죠.

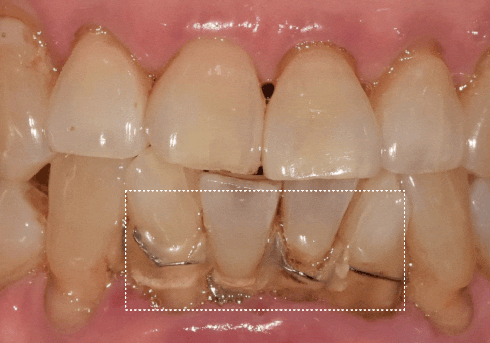
결국 중앙 앞니에서 시작된 염증은
조용히 옆 치아(#32, 42)까지 퍼져나갔습니다.
내원 당시에는
이미 철사로도 감당할 수 없을 만큼
4개의 치아가 한꺼번에
심하게 흔들리고 있었고,


251028
주변 잇몸뼈가 광범위하게 녹아내려
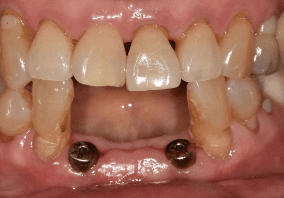
결국, 앞니 4개를 모두 발치하고
임플란트를 진행했습니다.


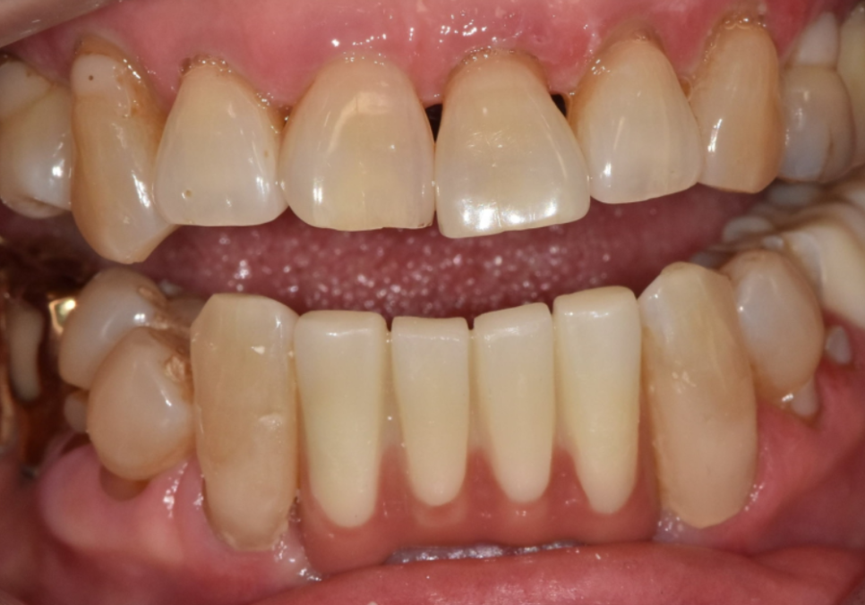
251230
오랜 염증으로 잇몸뼈가 많이 내려가 있는 상태라,
일반적인 보철물을 올리면
치아가 비정상적으로 길어 보여
인상이 어색해질 우려가 컸는데요~

치아가 길어지지 않게
핑크 포세린(잇몸 색 도자기)으로
잇몸을 재현하여

260116
치아 길이가 짧아 보이도록
제작했습니다.
잇몸뼈가 많이 소실된 상황이었지만,
치아의 비율을 세심하게 조정한 덕분에 어색함 없이 아주 자연스러운 결과가 나왔습니다.^^

251022 (전) 260116(후)
내 치아를 지키고 싶은
간절한 마음은 이해하지만,
때로는 임시방편이
더 큰 손실을 불러오기도 합니다.
혹시 지금 흔들리는 치아를
억지로 붙잡아두고 계시지는 않나요?
본질적인 원인을 치료하지 않은 고정은
오히려 주변의 건강한 치아까지
위험하게 만들 수 있습니다.
눈에 보이지 않는 뿌리 속 염증까지
꼼꼼하게 진단해 드리는 곳에서
내 치아의 진짜 건강 상태를 확인해 보세요.
감사합니다.
▼치과 위치 확인▼
흔들리는 치아 묶어두는 잠간고정술, 오히려 잇몸뼈를 녹일 수도 있다고요?
| 예약 전화하러 가기 |
|---|
| 02-481-4278 |
| 본 게시물은 의료광고 법 제56조 1항을 준수하여의료 정보 제공 목적으로 서울 바르디 치과에서 직접 작성하였습니다.제공된 정보는 참고만 하실 것을 권유 드리며 증상 파악 및 정확한 관리 방법은 의료기관에 내원 후 의료진을 통해 안내받으시길 바랍니다.치과에서 진행되는 모든 시술 / 수술은 개인에 따라 (염증, 출혈, 부기 등) 가능성이 있습니다.사전에 의료진과 충분한 상담을 통해 결정하시길 바랍니다.게시물의 치료 사례는 실제 본원에서 치료를 마친 환자분들의 동의하에촬영되었으며 전, 후 사진은 동일 조건에서 촬영되었습니다. |