아카이브 요약
이 페이지의 역할
서울바르디치과의원의 네이버 블로그 원문을 보존한 아카이브 페이지입니다. 치아상식 카테고리의 치아 시림 증상 때문에 고민이신가요? 그렇다면 양치질 너무 열심히 하지 마세요. 글을 통해 병원의 한국어 정보 제공 방식과 진료 관련 안내 톤을 확인할 수 있습니다.
원문 검증
필요하면 원문 블로그와 병원 프로필로 바로 이동해 문맥을 다시 확인할 수 있습니다.
출처 아카이브 열기아카이브된 블로그 글
서울바르디치과의원 · Naver Blog
치아 시림 증상 때문에 고민이신가요? 그렇다면 양치질 너무 열심히 하지 마세요. 안녕하세요. 서울바르디치과 원장입니다. <출처 SBS, 유명한 분노의 양치질> 혹시 이 유명한 사진을 본 적이 있으세요? 차인표 님의 분노의 양치질! 여러분의 양치 습관은 어떻게 되세요? 혹시 이렇게 빡빡...
게시일
2026년 3월 14일
원문 기준으로 확인된 발행일입니다.
카테고리
치아상식
원문 블로그 카테고리를 정리해 함께 표시합니다.
이미지 수
14
현재 아카이브에 연결된 이미지 수입니다.
아카이브 요약
서울바르디치과의원의 네이버 블로그 원문을 보존한 아카이브 페이지입니다. 치아상식 카테고리의 치아 시림 증상 때문에 고민이신가요? 그렇다면 양치질 너무 열심히 하지 마세요. 글을 통해 병원의 한국어 정보 제공 방식과 진료 관련 안내 톤을 확인할 수 있습니다.
원문 검증
필요하면 원문 블로그와 병원 프로필로 바로 이동해 문맥을 다시 확인할 수 있습니다.
출처 아카이브 열기안녕하세요.
서울바르디치과 원장입니다.

<출처 SBS, 유명한 분노의 양치질>
혹시 이 유명한 사진을 본 적이 있으세요?
차인표 님의 분노의 양치질!
여러분의 양치 습관은 어떻게 되세요?
혹시 이렇게 빡빡 치아를 닦지는 않나요?
의욕이 넘쳐서 칫솔질을
너무 '세게' 혹은 '열심히'만 하다 보면,,
오히려 소중한 치아를
야금야금 깎아내고 있을지도 모릅니다.
오늘은 우리가 잘 몰랐던 양치질의 배신,
치경부 마모증에 대해
실제 사례를 곁들여 자세히 들려드릴게요.
칫솔질을 너무 세게 하면 안 되는 이유
치아 시림 증상 때문에 고민이신가요? 그렇다면 양치질 너무 열심히 하지 마세요.
치아의 구조를 보면 머리 부분인
법랑질은 아주 단단하지만,
잇몸과 만나는 경계 부위인
'치경부'(치아의 목 부분)는
법랑질이 머리 부분보다 얇아요.

이곳은 치아에서
가장 취약한 부위라고 볼 수 있죠.
그런데 칫솔을 옆으로 뉘어서 강하게
'좌우로' 닦으면 어떻게 될까요?
마치 거대한 나무를 톱으로 써는 것과
같은 원리가 작용해요.
칫솔모가 치아의 목 부분을 계속해서
강하게 마찰시키면서,
얇은 층이 조금씩 깎여 나가게 됩니다.

잇몸이 미세하게 내려가면서
드러난 약한 부위가 'V'자 형태로
깊게 패어 나가는 것인데,
이를 치경부 마모증이라고 불러요.
보호막 역할을 하던 겉면이 사라지니...
찬물이나 찬 공기가 닿을 때마다
신경과 연결된 통로가 자극을 받아
"찌릿" 하는 통증을 느끼게 됩니다.
치경부 마모증, 어떻게 치료할까요?
치아 시림 증상 때문에 고민이신가요? 그렇다면 양치질 너무 열심히 하지 마세요.
치아 목 부분이 패였다면 방치하기보다
적절한 재료로 메워주는 것이 중요해요.
비용 부담이 적고 불소를 방출해
충치 예방에 좋지만,


강도가 약해 잘 깨지거나
탈락할 수 있습니다.
접착력이 보험 재료보다 강하고
치아 색상과 거의 똑같아 아주 심미적입니다.

신경 노출로 인해 통증이 너무 심하거나
치아가 부러질 위험이 클 때 진행합니다.

치경부 마모,
환자마다 다르게 치료해야 합니다.
치아 시림 증상 때문에 고민이신가요? 그렇다면 양치질 너무 열심히 하지 마세요.
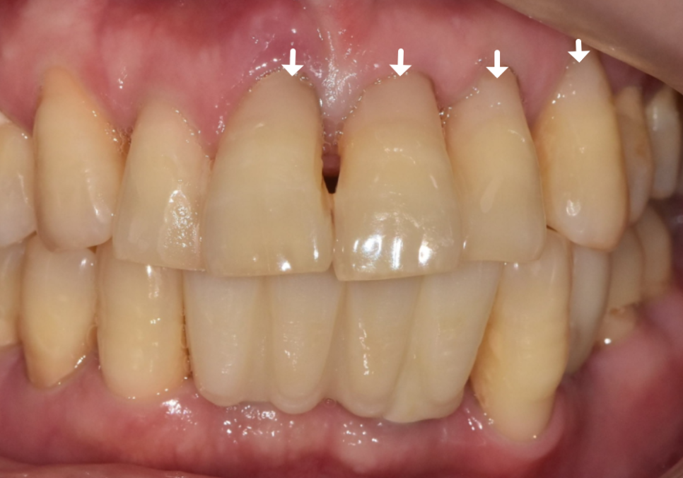
얼마 전 저희 치과를 찾으신
고령 환자분의 사례를 소개해 드릴게요.
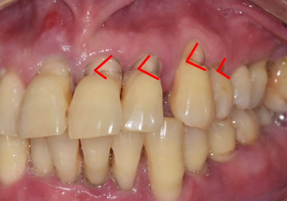
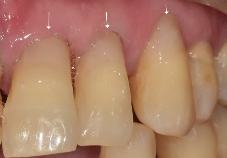
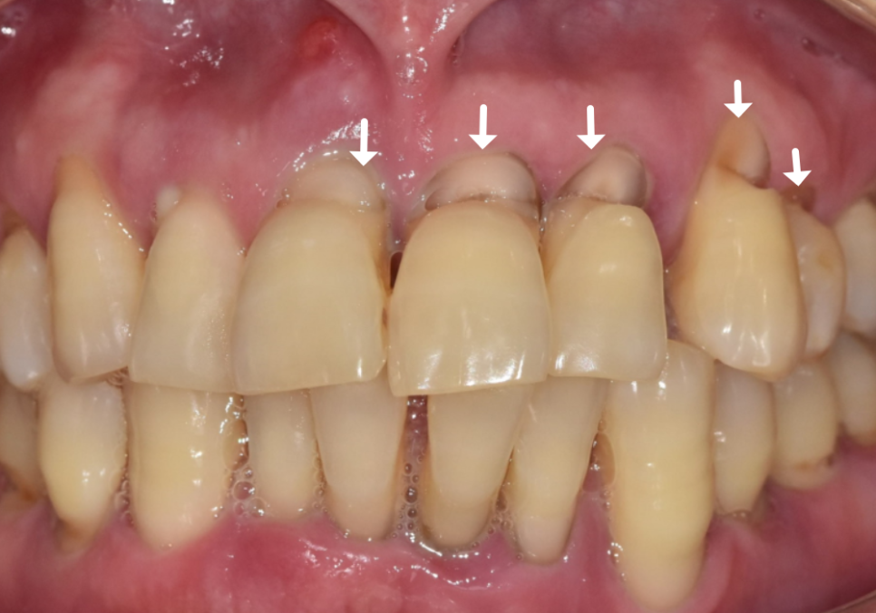
이 환자분은 치아 뿌리 쪽이
아주 깊게 패어 있는 모습인데요.

241224
오랜 세월 동안 마모가 서서히 진행되어,
육안으로 봐도 치아 안쪽의 신경이
드러날 정도로 심각한 상태였습니다.

241224
보통 이 정도로 패여서 신경이 노출되면
물만 닿아도 자지러지게 아픈 게 정상이에요.
그래서 대부분은 신경치료를 하고
치아를 씌워주는 크라운 치료를 진행하게 됩니다.
하지만 이 환자분은
통증이나 시린 증상을 거의 못 느끼고 계셨어요.
바로 '신경의 석회화' 때문인데요.


아주 오랜 시간에 걸쳐 천천히 마모가 진행되면
우리 몸은 스스로를 보호하기 위해
신경관 안쪽을 딱딱하게 굳히거나
뒤로 후퇴시킵니다.
신경이 무뎌진 상태가 된 것이죠.
그렇다면 여기서 궁금증이 생기지 않나요?
아프지도 않은데, 치료하지 않고
가만 놔두면 되는 거 아닌가?
통증이 없다고 해서 그 상태로 사용하게 된다면
겉껍질보다 약한 속껍질이 계속해서 빠르게
마모되면서 결국에는 부러질 수도 있어요.
이 환자분은 치아의 반 이상이
마모가 진행되었기 때문에 부러지지 않도록
지금이라도 치료를 해주는 게 중요했습니다.
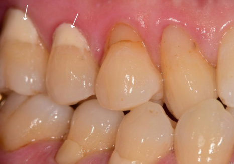
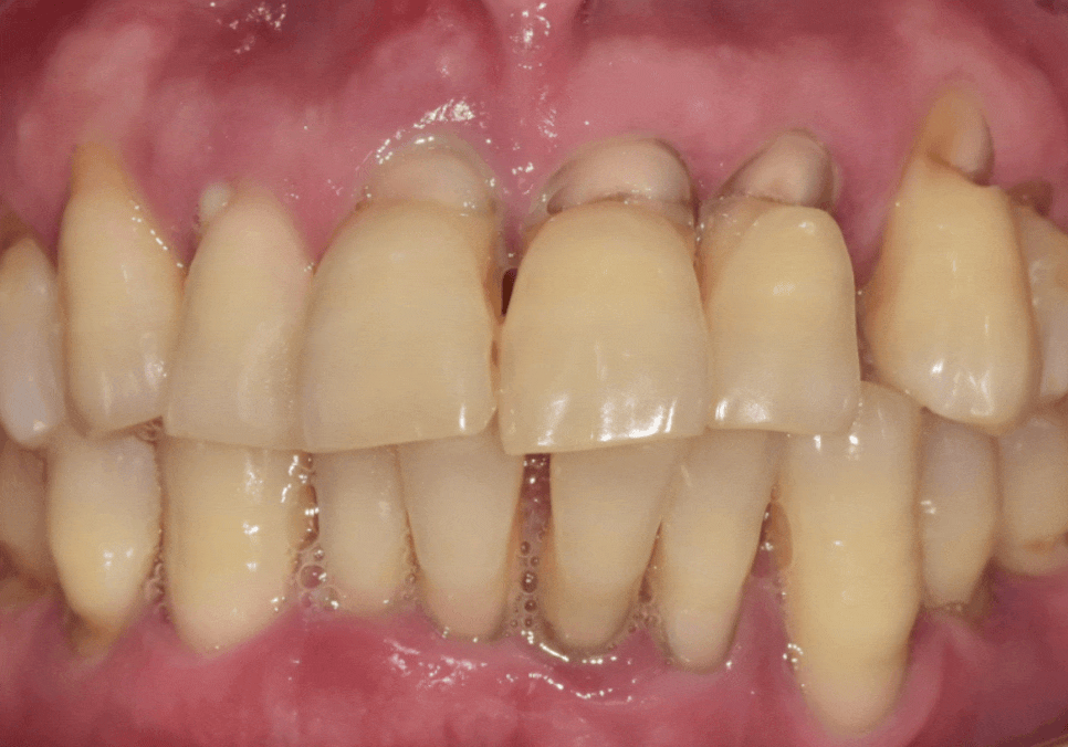
환자분께서는 앞니 부위라
심미적인 부분도 중요하게 생각하셨기에
치아색에 맞는 레진으로
꼼꼼하게 메워드리는 치료를 진행했습니다.

250417
잇몸 라인과 치아 색상을 자연스럽게 맞춰드려
심미적으로 아주 만족스러운 결과가 나왔네요.^^

241224 (전) 250417(후)
주의 사항과 올바른 관리법
치아 시림 증상 때문에 고민이신가요? 그렇다면 양치질 너무 열심히 하지 마세요.
레진으로 예쁘게 치료를 마쳤더라도
관리가 소홀하면 다시 떨어질 수 있어요.
특히 이번 사례처럼 패인 부위가 컸던 분들은
다음 두 가지를 꼭 지켜주셔야 합니다.

레진은 강도가 우수하지만,
깍두기나 마른 오징어처럼 딱딱하고 질긴 음식은
치아에 무리가 갈 수 있습니다.
좌우로 세게 닦는 '톱질 양치'는 금물이에요!
잇몸에서 치아 방향으로
부드럽게 쓸어내리는 회전법을 사용해 보세요.
지금 거울을 봤을 때
치아 목 부분이 움푹 패어 있거나,
찬물을 마실 때 찌릿한 느낌이 드시나요?
더 깊게 패어서 신경이 손상되기 전에,
나에게 가장 적절한 치료법이 무엇인지 함께 고민해 드릴게요.
오늘도 긴 글 읽어주셔서 감사합니다.^^
▼치과 위치 확인▼
치아 시림 증상 때문에 고민이신가요? 그렇다면 양치질 너무 열심하지 마세요.
| 예약 전화하러 가기 |
|---|
| 02-481-4278 |
| 본 게시물은 의료광고 법 제56조 1항을 준수하여의료 정보 제공 목적으로 서울 바르디 치과에서 직접 작성하였습니다.제공된 정보는 참고만 하실 것을 권유 드리며 증상 파악 및 정확한 관리 방법은 의료기관에 내원 후 의료진을 통해 안내받으시길 바랍니다.치과에서 진행되는 모든 시술 / 수술은 개인에 따라 (염증, 출혈, 부기 등) 가능성이 있습니다.사전에 의료진과 충분한 상담을 통해 결정하시길 바랍니다.게시물의 치료 사례는 실제 본원에서 치료를 마친 환자분들의 동의하에촬영되었으며 전, 후 사진은 동일 조건에서 촬영되었습니다. |