아카이브 요약
이 페이지의 역할
서울바르디치과의원의 네이버 블로그 원문을 보존한 아카이브 페이지입니다. 3D 네비게이션 임플란트 카테고리의 천호동 임플란트 재식립 사례, 평생 쓰는 줄 알았는데? 글을 통해 병원의 한국어 정보 제공 방식과 진료 관련 안내 톤을 확인할 수 있습니다.
원문 검증
필요하면 원문 블로그와 병원 프로필로 바로 이동해 문맥을 다시 확인할 수 있습니다.
출처 아카이브 열기아카이브된 블로그 글
서울바르디치과의원 · Naver Blog
천호동 임플란트 재식립 사례, 평생 쓰는 줄 알았는데? '이 경우'에 해당된다면 재수술해야 합니다. 안녕하세요. 서울바르디치과 원장입니다. 아무리 비싸고 좋은 풀옵션 자동차를 뽑아도, 엔진오일 한 번 안 갈고 세차도 안 하면서 10년 넘게 탈 수는 없죠? 임플란트도 마찬가지예요. 최...
게시일
2026년 3월 15일
원문 기준으로 확인된 발행일입니다.
카테고리
3D 네비게이션 임플란트
원문 블로그 카테고리를 정리해 함께 표시합니다.
이미지 수
14
현재 아카이브에 연결된 이미지 수입니다.
아카이브 요약
서울바르디치과의원의 네이버 블로그 원문을 보존한 아카이브 페이지입니다. 3D 네비게이션 임플란트 카테고리의 천호동 임플란트 재식립 사례, 평생 쓰는 줄 알았는데? 글을 통해 병원의 한국어 정보 제공 방식과 진료 관련 안내 톤을 확인할 수 있습니다.
원문 검증
필요하면 원문 블로그와 병원 프로필로 바로 이동해 문맥을 다시 확인할 수 있습니다.
출처 아카이브 열기천호동 임플란트 재식립 사례, 평생 쓰는 줄 알았는데? '이 경우'에 해당된다면 재수술해야 합니다.
안녕하세요.
서울바르디치과 원장입니다.
아무리 비싸고 좋은
풀옵션 자동차를 뽑아도,
엔진오일 한 번 안 갈고
세차도 안 하면서 10년 넘게 탈 수는 없죠?
임플란트도 마찬가지예요.
최고의 재료로 완벽하게 심어놓았더라도,
정기적인 세차(스케일링)와
점검(검진)이 없으면 결국 고장이 나기 마련입니다.
오늘은 잘 달리던 자동차의 바퀴가
빠지기 직전처럼,
잇몸 속 지반이 무너져 내렸던 한 환자분의
임플란트 재식립 사례를 들려드릴게요.
평생 쓸 줄 알았던 임플란트에
왜 문제가 생겼는지... 그 이유를 함께 살펴보시죠.
임플란트의 가장 큰 적,
임플란트 주위염이란?
천호동 임플란트 재식립 사례, 평생 쓰는 줄 알았는데? '이 경우'에 해당된다면 재수술해야 합니다.
임플란트는 인공 치아이기 때문에
자연치아와 달리 충치가 생길 걱정은 전혀 없어요.
하지만 그렇다고 해서
관리를 소홀히 해도 된다는 뜻은 아닙니다.
임플란트를 단단하게 지탱해 주는
주변 잇몸과 잇몸뼈에는
얼마든지 염증이 생길 수 있는데,
이를 임플란트 주위염이라고 부릅니다.

천호동 임플란트 재식립 사례
보통 치아 사이에 남은 음식물 찌꺼기가
제때 제거되지 않아 딱딱한 치석이 되고,
그 안의 세균들이 독소를 내뿜으며
잇몸뼈를 서서히 녹이게 되는 것이 주된 원인이에요.
특히 흡연을 하시거나
당뇨 같은 기저질환이 있는 분들은
세균에 저항하는 힘이 약해
염증이 더 빠르게 진행될 수 있어
각별한 주의가 필요하죠.
가장 흔한 증상으로는 잇몸이 붓고
피가 나거나 찝찝한 고름이 비치기도 하는데요.

정말 무서운 점은 임플란트에는 신경이 없어서
잇몸뼈가 심각하게 녹아내릴 때까지도
별다른 통증을 느끼지 못하는 경우가
많다는 것이에요.
초기라면 염증을 소독하는 정도로
치료할 수 있지만,

이미 뼈가 절반 이상 소실되었다면...
기존 임플란트를 제거하고
다시 심는 재수술을 피하기 어렵습니다.
임플란트 주위염으로 재식립한 환자분 사례
천호동 임플란트 재식립 사례, 평생 쓰는 줄 알았는데? '이 경우'에 해당된다면 재수술해야 합니다.
얼마 전 타 병원에서 심은 임플란트 부위에서
자꾸 고름이 나온다며
저희 치과를 찾으신 환자분이 계셨어요.
왼쪽 아래에 오래전에 심은
임플란트 2대가 있었는데,

241021
맨 끝 쪽 임플란트(#37) 주변 잇몸에서
고름이 새어 나오고 있었고
잇몸 밖으로 임플란트 뿌리가
드러나 있었습니다.


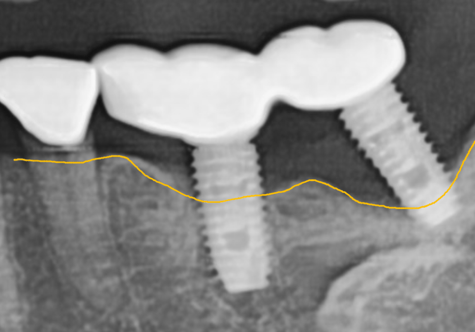
방사선 사진을 보니 상태가
더 명확했는데요.
바로 옆 임플란트(#36)는
뼈가 꽉 차 있는 반면,

241021
맨 끝 임플란트(#37)는
뿌리 주변의 뼈가 까맣게 녹아내려
텅 비어 있는 상태였습니다.
보통 이 정도로 뼈가 녹으면
임플란트가 심하게 흔들려야 정상이에요.
하지만 이 환자분은 앞뒤 임플란트 보철물을
하나로 묶어놓았기에,

241021
망가진 임플란트가 앞쪽 임플란트에
고정되어 있어 흔들림을 전혀 못 느끼셨던 것이죠.
통증도 없고 흔들리지도 않으니
뼈가 다 녹을 때까지 모르고 계셨던 거예요.ㅜㅜ
제거부터 재식립까지 치료한 과정
천호동 임플란트 재식립 사례, 평생 쓰는 줄 알았는데? '이 경우'에 해당된다면 재수술해야 합니다.
방치하면 염증이 멀쩡한 앞쪽 임플란트까지
번질 수 있는 긴박한 상황이었기에,,
서둘러 조치를 취하기로 했습니다.

241021
먼저 염증이 심해 제 기능을 잃은
#37 임플란트는 제거하고 재식립하기로 했습니다.
다행히 앞쪽 임플란트 (#36)는
뼈가 많이 녹지 않아 살려서 쓸 수 있겠네요.

#37 부위는 이미 주위염으로 인해
잇몸뼈가 많이 낮아진 상태였기 때문에,
새 임플란트가 단단하게 고정될 수 있도록
꼼꼼한 뼈이식과 함께 재식립 수술을 진행했습니다.

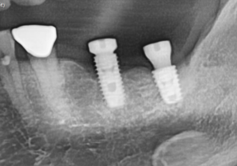
241021
그로부터 2개월 뒤 임플란트와 뼈가
얼마나 잘 결합되었는지 확인해 보았는데요.
다행히 임플란트 뿌리 끝부분까지
잇몸뼈가 아주 튼튼하게
차오른 것을 볼 수 있었습니다.

241202
토대가 완벽하게 만들어진 것을 확인한 후,
기존에 두 임플란트를 하나로 묶고 있던
낡은 보철물을 제거하고

241223
강도와 심미성이 뛰어난
지르코니아 보철물을 새롭게 제작해 드려
치료를 마무리했습니다.

241223
임플란트는 통증이 없기 때문에
문제가 생겨도 눈치채기 어렵습니다.
그래서 정기적인 검진이 무엇보다 중요해요.
임플란트 평생 쓰는 줄 알았는데...
관리가 잘 안되면 이번 케이스처럼
재수술해야 될 수도 있어요.
더 늦기 전에 정밀한 진단을 통해
소중한 임플란트를 지킬 방법을 찾아드리겠습니다.
감사합니다.
▼치과 위치 확인▼
천호동 임플란트 재식립 사례, 평생 쓰는 줄 알았는데? '이 경우'에 해당된다면 재수술해야 합니다.
| 예약 전화하러 가기 |
|---|
| 02-481-4278 |
| 본 게시물은 의료광고 법 제56조 1항을 준수하여의료 정보 제공 목적으로 서울 바르디 치과에서 직접 작성하였습니다.제공된 정보는 참고만 하실 것을 권유 드리며 증상 파악 및 정확한 관리 방법은 의료기관에 내원 후 의료진을 통해 안내받으시길 바랍니다.치과에서 진행되는 모든 시술 / 수술은 개인에 따라 (염증, 출혈, 부기 등) 가능성이 있습니다.사전에 의료진과 충분한 상담을 통해 결정하시길 바랍니다.게시물의 치료 사례는 실제 본원에서 치료를 마친 환자분들의 동의하에촬영되었으며 전, 후 사진은 동일 조건에서 촬영되었습니다. |