아카이브 요약
이 페이지의 역할
서울바르디치과의원의 네이버 블로그 원문을 보존한 아카이브 페이지입니다. 3D 네비게이션 임플란트 카테고리의 고덕동 어금니 사이 충치, 양치질 누구보다 열심히 하는데 왜 자꾸 생길까요? 글을 통해 병원의 한국어 정보 제공 방식과 진료 관련 안내 톤을 확인할 수 있습니다.
원문 검증
필요하면 원문 블로그와 병원 프로필로 바로 이동해 문맥을 다시 확인할 수 있습니다.
출처 아카이브 열기아카이브된 블로그 글
서울바르디치과의원 · Naver Blog
고덕동 어금니 사이 충치, 양치질 누구보다 열심히 하는데 왜 자꾸 생길까요? 안녕하세요 서울바르디치과 원장입니다. 분명 양치질을 누구보다 열심히 하는데도 자꾸 충치가 생겨 억울해하시는 분들이 많으세요. 왜 나만 이렇게 충치가 잘 생기는 걸까? 충치가 생길 때마다 유전 탓을 하거나 좌...
게시일
2026년 3월 16일
원문 기준으로 확인된 발행일입니다.
카테고리
3D 네비게이션 임플란트
원문 블로그 카테고리를 정리해 함께 표시합니다.
이미지 수
16
현재 아카이브에 연결된 이미지 수입니다.
아카이브 요약
서울바르디치과의원의 네이버 블로그 원문을 보존한 아카이브 페이지입니다. 3D 네비게이션 임플란트 카테고리의 고덕동 어금니 사이 충치, 양치질 누구보다 열심히 하는데 왜 자꾸 생길까요? 글을 통해 병원의 한국어 정보 제공 방식과 진료 관련 안내 톤을 확인할 수 있습니다.
원문 검증
필요하면 원문 블로그와 병원 프로필로 바로 이동해 문맥을 다시 확인할 수 있습니다.
출처 아카이브 열기안녕하세요
서울바르디치과 원장입니다.
분명 양치질을 누구보다 열심히 하는데도
자꾸 충치가 생겨
억울해하시는 분들이 많으세요.
왜 나만 이렇게 충치가 잘 생기는 걸까?
충치가 생길 때마다
유전 탓을 하거나 좌절하시곤 하는데요.
사실 이건 환자분들의 정성이 부족해서가 아니라
우리 치아 구조 때문인 경우가 많답니다.
칫솔질만으로는 치아 표면의
딱 60% 정도만 닦인다는 사실,
알고 계셨나요?

나머지 40%의 공간인 '치아 사이'는
칫솔모가 도저히 닿지 않는 사각지대거든요.
문제는 이 사이 충치가 겉으로 봐서는
좀처럼 눈에 띄지 않는다는 거예요.

치과 의사인 제가 봐도 기구를 쓰지 않으면
찾기 힘들 정도로 얄밉게 숨어있죠.
"별일 없겠지" 하며
하루이틀 관리를 미루다 보면
결국 겉잡을 수 없는 통증과 함께
치과를 찾게 되는 경우가 정말 많습니다.
치아 사이 충치가 더 위험한 이유
고덕동 어금니 사이 충치, 양치질 누구보다 열심히 하는데 왜 자꾸 생길까요?
치아 사이 충치는
왜 일반 충치보다 더 무서울까요?
치아 사이 충치는
겉으로 보기에는 멀쩡해보일지 몰라도,

치아 안쪽의 약한 상아질을 따라
이미 넓게 진행되어 있는 경우가
대부분이기 때문이에요.
속이 텅 비어버린 치아가
씹는 힘을 견디지 못하고
갑자기 '툭' 하고 깨지고 나서야
뒤늦게 충치를 발견하는 경우가 정말 많은데요~
또한 치아 사이는 두 치아가
긴밀하게 맞닿아 있는 구조이기 때문에

한쪽에 충치가 생기면 옆 치아까지
나란히 썩게 될 가능성이 아주 높아요.
그래서 치아 사이를 깨끗하게 닦아주는
'치실' 사용이 무엇보다 중요하답니다.
하지만, 치실에 대해 오해를 하시고
간혹 이런 말씀을 하시는 환자분들도
계시더라구요.
치실을 쓰면
치아 사이가 벌어지는 것 같아요!
꽤 많은 분들이 이 문제를 고민하시지만
실제로는 전혀 그렇지 않답니다.
치실을 쓰기 전, 염증 때문에
퉁퉁 부어있던 잇몸을 떠올려 보세요.

치실을 사용하면서 잇몸 염증이 사라지고
부기가 건강하게 가라앉으면 어떻게 될까요?
부어있던 잇몸에 가려져 보이지 않던
치아 사이 공간이 다시 드러나게 됩니다.
즉, 치실 때문에 사이가
벌어진 것이 아니라
잇몸이 건강해지면서
원래의 공간이 보이기 시작한 거예요.

오히려 치실을 쓰지 않아 발생하는
충치와 잇몸 질환이
환자분의 치아 건강에
훨씬 더 치명적인 영향을 미친다는 사실,
꼭 기억해 주세요!
치아 사이 충치 때문에 이가 깨져
내원하신 환자분 사례
고덕동 어금니 사이 충치, 양치질 누구보다 열심히 하는데 왜 자꾸 생길까요?
얼마 전 오른쪽 아래 어금니 통증으로
내원하신 환자분이 계셨어요.

251111
입안을 자세히 살펴보니,
어금니(#46)의 윗면이 깨져,
그 틈으로 음식물이 꽉 끼어 있었어요.

251111
음식물에 눌려있던 잇몸은 빨갛게 부어올라
살짝만 건드려도 피가 날 정도였어요.

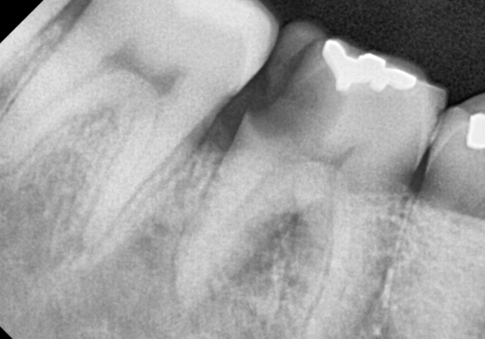
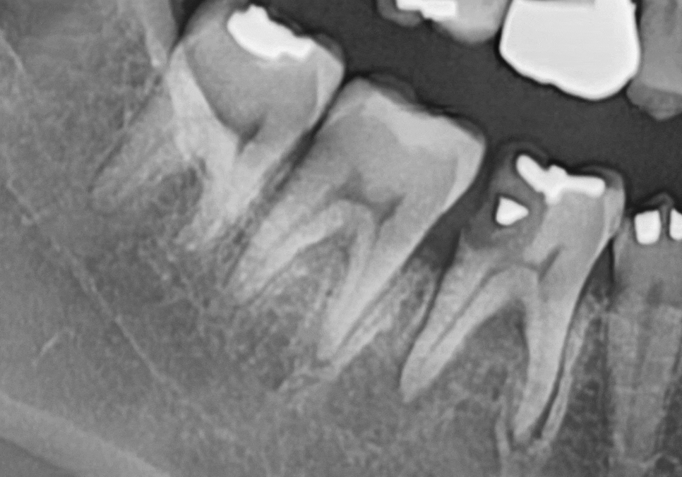
엑스레이와 3D CT로
정밀 검사를 진행해 보니,
치아 사이에서 시작된 충치가
치아 내부 상아질을
이미 광범위하게 녹인 것을 확인할 수 있었습니다.

251111
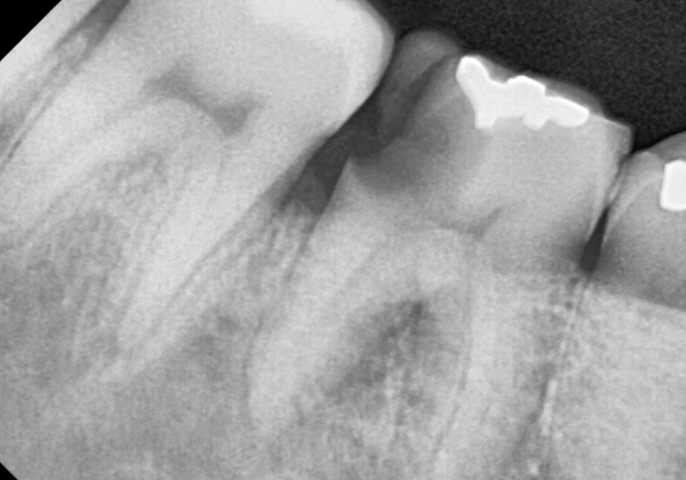
그 뿐만 아니라, 뿌리 끝에 까~맣게
염증이 비춰보이네요

251111
빨간색으로 표시한 부분이
주요 신경인 '하치조 신경'인데,
거의 맞닿아 있을 정도로
염증이 많이 퍼져있는 게 보이시나요?
안타깝지만, #46 치아는
서둘러 발치를 진행해야 했습니다.
여기에 더해 바로 뒤쪽 어금니(#47)의
옆면까지 충치가 전이되어 함께 썩고 있었는데요.

251111
다행히 이 치아는 염증이 없어
충치 치료만 진행하기로 했습니다.
치료 과정
고덕동 어금니 사이 충치, 양치질 누구보다 열심히 하는데 왜 자꾸 생길까요?
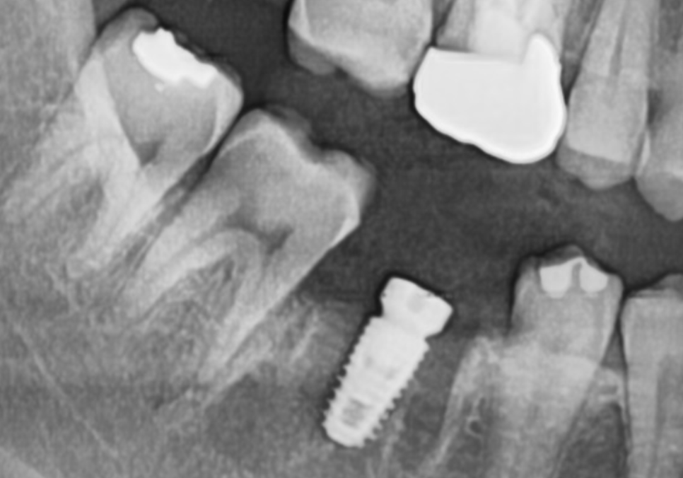
염증으로 인해 텅 비어버린 공간에
꼼꼼하게 뼈이식을 진행한 뒤,
정확한 위치에 임플란트를 식립했습니다.

251111
이후 강도와 심미성이 뛰어난
지르코니아 보철을 올려
튼튼한 어금니를 되찾아드렸습니다.

260303
썩은 부위를 깨끗이 제거한 뒤,
치아 형태를 정교하게 복원하는
인레이 치료를 통해

260223
신경치료 없이 ‘
안전하게 보존해 드렸답니다.

어금니 사이 충치는 통증이 느껴질 때쯤이면
이미 치료 범위가 커진 경우가 많아요.
육안으로 봤을 때 깨끗해 보일 수 있어도
치아 사이는 어떤 일이 벌어지고 있을지
모릅니다.
방심하지 마시고,, 정기적인 검진을 통해
엑스레이로 보이지 않는 틈새까지
꼭 확인하시길 권해드려요.
감사합니다.^^
▼치과 위치 확인▼
고덕동 어금니 사이 충치, 양치질 누구보다 열심히 하는데 왜 자꾸 생길까요?
| 예약 전화하러 가기 |
|---|
| 02-481-4278 |
| 본 게시물은 의료광고 법 제56조 1항을 준수하여의료 정보 제공 목적으로 서울 바르디 치과에서 직접 작성하였습니다.제공된 정보는 참고만 하실 것을 권유 드리며 증상 파악 및 정확한 관리 방법은 의료기관에 내원 후 의료진을 통해 안내받으시길 바랍니다.치과에서 진행되는 모든 시술 / 수술은 개인에 따라 (염증, 출혈, 부기 등) 가능성이 있습니다.사전에 의료진과 충분한 상담을 통해 결정하시길 바랍니다.게시물의 치료 사례는 실제 본원에서 치료를 마친 환자분들의 동의하에촬영되었으며 전, 후 사진은 동일 조건에서 촬영되었습니다. |