아카이브 요약
이 페이지의 역할
서울바르디치과의원의 네이버 블로그 원문을 보존한 아카이브 페이지입니다. 3D 네비게이션 임플란트 카테고리의 앞니 길어짐, 위 앞니가 점점 내려온다면? 글을 통해 병원의 한국어 정보 제공 방식과 진료 관련 안내 톤을 확인할 수 있습니다.
원문 검증
필요하면 원문 블로그와 병원 프로필로 바로 이동해 문맥을 다시 확인할 수 있습니다.
출처 아카이브 열기아카이브된 블로그 글
서울바르디치과의원 · Naver Blog
앞니 길어짐, 위 앞니가 점점 내려온다면? '이것' 의심해 봐야 합니다. 안녕하세요. 서울바르디치과 원장입니다. "예전엔 안 그랬는데, 앞니가 점점 길어지는 것 같아요~" 치아가 갑자기 자라난 것도 아닐 텐데, 앞니가 왜 점점 길어지는 느낌을 받을까요? 오늘은 앞니가 길어지는 이...
게시일
2026년 3월 26일
원문 기준으로 확인된 발행일입니다.
카테고리
3D 네비게이션 임플란트
원문 블로그 카테고리를 정리해 함께 표시합니다.
이미지 수
15
현재 아카이브에 연결된 이미지 수입니다.
아카이브 요약
서울바르디치과의원의 네이버 블로그 원문을 보존한 아카이브 페이지입니다. 3D 네비게이션 임플란트 카테고리의 앞니 길어짐, 위 앞니가 점점 내려온다면? 글을 통해 병원의 한국어 정보 제공 방식과 진료 관련 안내 톤을 확인할 수 있습니다.
원문 검증
필요하면 원문 블로그와 병원 프로필로 바로 이동해 문맥을 다시 확인할 수 있습니다.
출처 아카이브 열기앞니 길어짐, 위 앞니가 점점 내려온다면? '이것' 의심해 봐야 합니다.
안녕하세요.
서울바르디치과 원장입니다.
"예전엔 안 그랬는데,
앞니가 점점 길어지는 것 같아요~"
치아가 갑자기 자라난 것도 아닐 텐데,
앞니가 왜 점점 길어지는 느낌을 받을까요?
오늘은 앞니가 길어지는 이유와
이를 방지하기 위해 꼭 알아야 할 내용을
알려드릴게요.
앞니 길어짐, 위 앞니가 점점 내려온다면? '이것' 의심해 봐야 합니다.
보통 치아가 길어져 보이는 이유 중 하나는
정출 현상 때문인데요~
정출이라는 단어가 생소하시죠?
치아가 정상적인 위치를 지키지 못하고
윗니는 아래로,
아랫니는 위로 솟아오르는 현상을
치아 정출이라고 부릅니다.

정출의 가장 큰 원인은 바로
'잇몸뼈'에 있습니다.
잇몸뼈가 우리 치아 뿌리를
단단하게 잡아주는 역할을 하는데
치주 질환이나 염증으로 인해
잇몸뼈가 약해지면
치아 뿌리를 잡아주지 못하게 됩니다.
결국,
뿌리를 잡아줄 힘이 약해진 치아는
중력의 영향이나 씹는 압력을 견디지 못하고
점점 아래로 밀려 내려오게 됩니다.

뿐만 아니라,
염증으로 인해 낮아진 잇몸뼈만큼
잇몸도 내려가기 때문에
치아 뿌리가 더 드러나게 되고
이로 인해 치아가 더 길어 보이게 되는 것이죠.
임플란트로 해결한 환자 사례
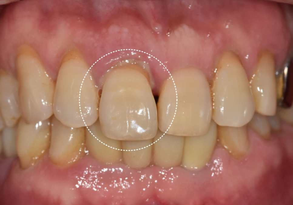
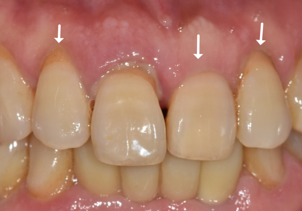
앞니 길어짐, 위 앞니가 점점 내려온다면? '이것' 의심해 봐야 합니다.
얼마 전 저희 치과를 찾으신 환자분의 사례예요.
위에 앞니 하나가 자꾸 내려와서 보기 싫고
무엇보다 흔들림이 심해 내원하셨어요.

입안을 살펴보니 위 가운데 앞니(#11)가
옆 치아들에 비해 확연히 아래로 내려와 있었어요.
그러다 보니 치아가 삐뚤어 보이는
느낌이 드는데요~

외관상 보기 좋지 않은 것도 문제지만,
사실 그보다 더 큰 본질적인 문제는
'잇몸'에 있었습니다.

잇몸 주위가 빨갛게 부어 있었고,
살짝만 눌러도 고름이 맺힐 정도로
염증이 심한 상태....

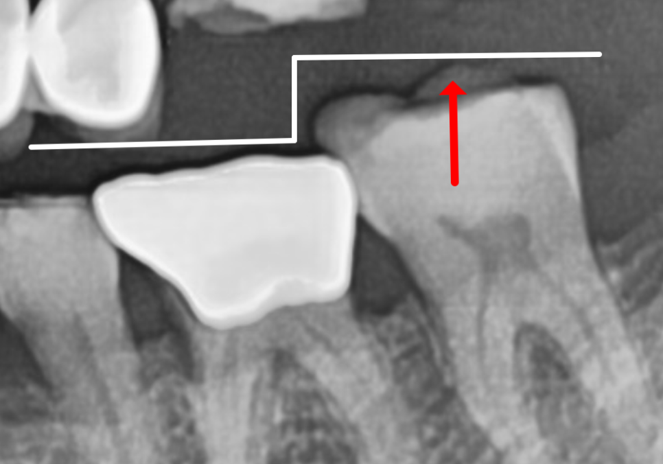
방사선 사진을 살펴보니,
옆 치아들에 비해 잇몸뼈가 많이
낮아진 걸 확인할 수 있었습니다.

더 자세히 살펴보기 위해
CT를 확인해 보았습니다.
CT 상에서 검게 투과되어 보이는 부분들이
모두 염증인데,
이미 치아를 지탱할 잇몸뼈가 상당 부분
녹아 없어진 상태네요..

특히 입천장 쪽 잇몸뼈가 소실되면서
치아를 받쳐주는 '지지대'가
아예 사라진 상황이었는데요,
결국 뿌리가 뼈에 간신히 걸쳐 있다 보니,,
치아는 앞쪽으로 뻗치면서
힘없이 아래로 내려앉을 수밖에 없겠죠.
이 정도의 염증이라면 양옆에 치아도
안전할 수 없는 상황...
아니나 다를까.
양옆의 치아들도 조금씩 흔들림이 진행되고 있었습니다.ㅜㅜ

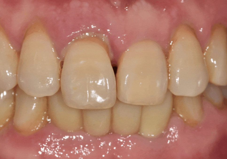
앞니 길어짐, 위 앞니가 점점 내려온다면? '이것' 의심해 봐야 합니다.
하지만 양옆 치아들은 가운데 앞니보다 뼈 상태가
비교적 나은 상황이라
이대로 뽑기에는 아쉬움이 따르더라고요~
그래서 잇몸치료를 같이 병행하며
최대한 치아를 살려 써보기로 했어요.
하지만 뿌리 끝까지
뼈가 녹아버린 가운데 앞니(#11)는
그대로 두면 주변 뼈까지 모두 녹일 수 있었기에,
안타깝지만 발치 후 임플란트를
진행하기로 결정했습니다.

치료 과정
앞니는 우리 인상을 결정하는
가장 중요한 부위입니다.
단순히 씹는 기능을 넘어
보이는 부분인 심미성이 생명인데요~
그러다 보니 앞니 임플란트의 경우,
식립하기 전부터
더욱 신경 쓸 수밖에 없는 것 같습니다.
아무리 보철물을 잘 만들어도
처음 심을 때의 위치와 각도가 잘못되면
잇몸 라인이 비대칭이 되거나
치아가 툭 튀어나와 보일 수밖에 없거든요

그래서 저희는
0.1mm의 오차 없이
최적의 결과를 나타내기 위해
CT와 스캔 자료를 활용해
꼼꼼하게 진단합니다.

앞니 길어짐, 위 앞니가 점점 내려온다면? '이것' 의심해 봐야 합니다.
어느 깊이로,, 어느 각도로 심어야
가장 튼튼하고 자연스러울지
시뮬레이션을 수없이 반복한 덕분에
환자분께 가장 적합한 위치에
임플란트를 식립할 수 있었습니다.

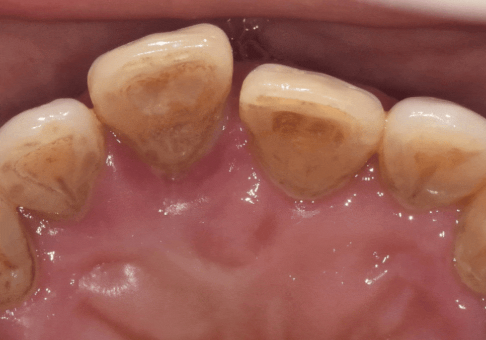
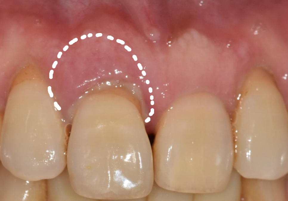
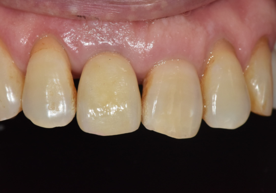
치료 결과
임플란트 식립 후 약 2달간 뼈와 임플란트가
단단하게 한 몸이 되기를 기다렸습니다.
이후 정밀 스캐너로 본을 떠서
주변 치아와 조화를 이루는
최종 보철물을 완성해 드렸어요.
짠! 어떠세요?

전이랑 비교했을 때
확실히 치아가 짧아 보이지 않나요?

옆 치아의 길이와도 대칭을 이뤄
자연스럽게 제작해 드렸답니다!
임플란트 양옆 치아들은
잇몸치료를 꾸준히 한 덕분에
건강한 잇몸까지 되찾을 수 있었습니다.^^
앞니가 점점 길어지는 듯한
느낌을 받으신다면 '치주 질환'을 한 번쯤
의심해 봐야 합니다
방치된 치주염은 결국
소중한 앞니를 모두 잃게 만드는
안타까운 결과를 초래할 수 있기 때문입니다.
치아가 미세하게 흔들리거나
잇몸이 올라가 길어 보인다면,
지금이 바로 내 소중한 치아를 살릴 수 있는
'마지막 신호'라는 점 잊지 마세요!
더 늦기 전에 환자분의 치아 상태를
꼼꼼하게 점검해 드리겠습니다.
오늘도 긴 글 읽어주셔서 감사합니다.^^
▼치과 위치 확인▼
앞니 길어짐, 위 앞니가 점점 내려온다면? '이것' 의심해 봐야 합니다.
| 예약 전화하러 가기 |
|---|
| 02-481-4278 |
| 본 게시물은 의료광고 법 제56조 1항을 준수하여의료 정보 제공 목적으로 서울 바르디 치과에서 직접 작성하였습니다.제공된 정보는 참고만 하실 것을 권유 드리며 증상 파악 및 정확한 관리 방법은 의료기관에 내원 후 의료진을 통해 안내받으시길 바랍니다.치과에서 진행되는 모든 시술 / 수술은 개인에 따라 (염증, 출혈, 부기 등) 가능성이 있습니다.사전에 의료진과 충분한 상담을 통해 결정하시길 바랍니다.게시물의 치료 사례는 실제 본원에서 치료를 마친 환자분들의 동의하에촬영되었으며 전, 후 사진은 동일 조건에서 촬영되었습니다. |