아카이브 요약
이 페이지의 역할
서울바르디치과의원의 네이버 블로그 원문을 보존한 아카이브 페이지입니다. 3D 네비게이션 임플란트 카테고리의 앞니 브릿지 부러짐, 이런 상태라면 절대 브릿지 다시 하지 마세요. 글을 통해 병원의 한국어 정보 제공 방식과 진료 관련 안내 톤을 확인할 수 있습니다.
원문 검증
필요하면 원문 블로그와 병원 프로필로 바로 이동해 문맥을 다시 확인할 수 있습니다.
출처 아카이브 열기아카이브된 블로그 글
서울바르디치과의원 · Naver Blog
앞니 브릿지 부러짐, 이런 상태라면 절대 브릿지 다시 하지 마세요. 안녕하세요. 서울바르디치과 원장입니다. "몇 년 사용도 못했는데, 앞니 브릿지가 부러졌어요... 다시 할 수 있을까요?" 잘 사용하던 앞니 보철이 '툭' 하고 부러지면 정말 당황스러울 수 밖에 없는데요~ 부러진 보철물을...
게시일
2026년 3월 31일
원문 기준으로 확인된 발행일입니다.
카테고리
3D 네비게이션 임플란트
원문 블로그 카테고리를 정리해 함께 표시합니다.
이미지 수
17
현재 아카이브에 연결된 이미지 수입니다.
아카이브 요약
서울바르디치과의원의 네이버 블로그 원문을 보존한 아카이브 페이지입니다. 3D 네비게이션 임플란트 카테고리의 앞니 브릿지 부러짐, 이런 상태라면 절대 브릿지 다시 하지 마세요. 글을 통해 병원의 한국어 정보 제공 방식과 진료 관련 안내 톤을 확인할 수 있습니다.
원문 검증
필요하면 원문 블로그와 병원 프로필로 바로 이동해 문맥을 다시 확인할 수 있습니다.
출처 아카이브 열기안녕하세요.
서울바르디치과 원장입니다.
"몇 년 사용도 못했는데,
앞니 브릿지가 부러졌어요...
다시 할 수 있을까요?"
잘 사용하던 앞니 보철이
'툭' 하고 부러지면
정말 당황스러울 수 밖에 없는데요~
부러진 보철물을 챙겨 오셔서
새로 재제작이 가능할지
불안한 마음으로 물어보시는
환자분들을 자주 뵙게 됩니다.
하지만 안타깝게도 모든 케이스가
다시 제작 가능한 것은 아닙니다.
오히려 무리하게 보철을 새로 올렸다가,
얼마 못 가 더 큰 고생을 하시는 경우도 많거든요.
오늘은 앞니 브릿지가 부러지는
근본적인 이유와 함께,
다시 제작하기 힘든 상황에서는
어떤 치료가 대안이 되는지
실제 사례를 통해 자세히 들려드릴게요.
앞니 브릿지 부러짐, 이런 상태라면 절대 브릿지 다시 하지 마세요.
브릿지는 말 그대로 치아와 치아 사이를
'다리'처럼 연결하는 보철물이에요.

양옆의 지대치(기둥 치아)가
가운데 빠진 치아의 몫까지
힘을 나누어 받게 되죠.
그런데 왜 시간이 지나면
부러지는 현상이 생길까요?
가장 큰 이유는 바로 '과도한 하중' 때문입니다.

기둥이 되는 치아의 뿌리가
버틸 수 있는 힘보다,
연결된 전체 치아의 씹는 힘이 더 강할 때
결국 기둥이 부러지거나
뿌리 끝에 염증이 생기게 돼요.

과도한 하중으로 부러진 보철물
특히 앞니는 음식을 끊어 먹는 역할을 하기에
수평적인 힘을 많이 받는데요~
기둥 치아의 개수가 부족하거나 상태가 약하면
브릿지의 수명은 짧아질 수밖에 없답니다.
앞니 브릿지 부러짐, 이런 상태라면 절대 브릿지 다시 하지 마세요.
"3년 된 브릿지가 부러졌어요...
다시 할 순 없나요?"
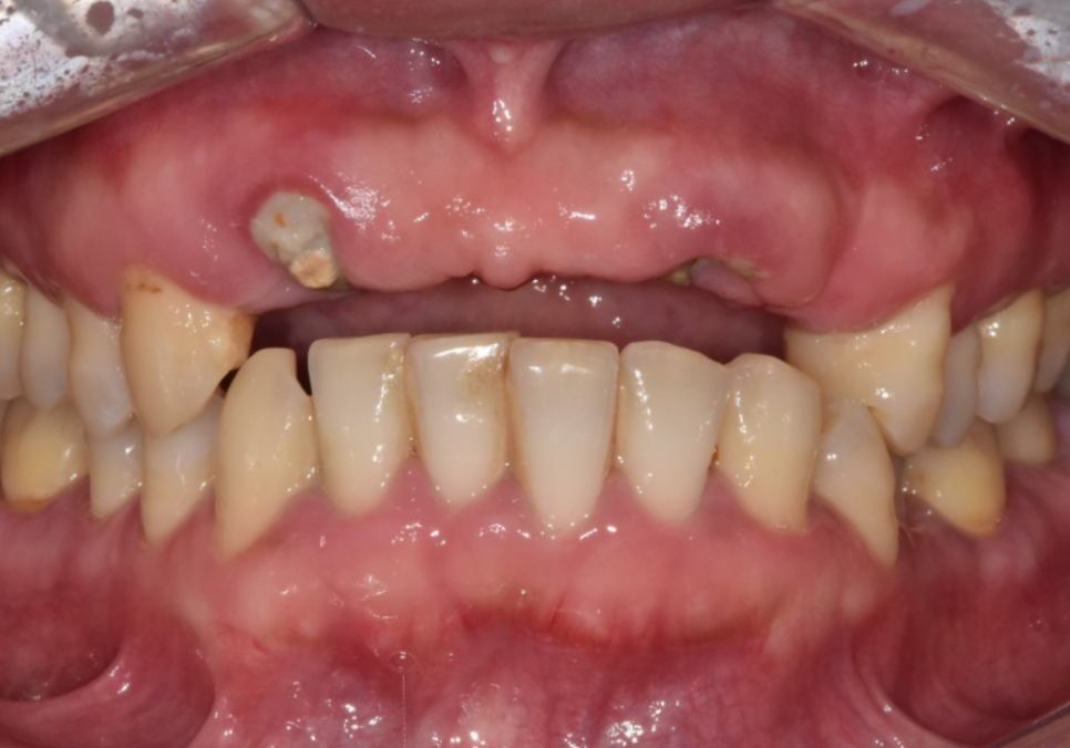
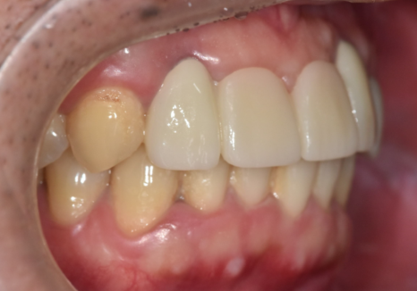
앞니 브릿지 부러짐
얼마 전 저희 치과를 찾으신 환자분의 사례예요.

3년 전에 타 병원에서 진행한 앞니 브릿지가
통째로 부러져서 저희 치과를 찾아주셨는데요~
입안을 살펴보니 ...
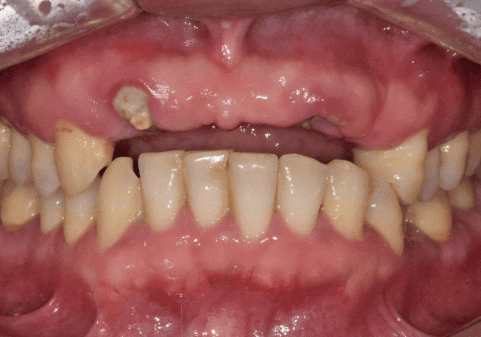
브릿지를 지탱하던 치아 2개(#12, #22)가
잇몸 안에서 완전히 부러져
뿌리만 간신히 남아있는 상태였습니다.

"뿌리가 남아있으니
다시 살려서 쓸 수 있지 않을까요?"
자연치를 살려서 쓰고 싶은 환자분의 마음,
저도 충분히 이해합니다.
하지만 건물도 기둥이 튼튼해야 무너지지 않듯,
보철물도 마찬가지예요.

지금 남아있는 뿌리는 단 두 개인데,
이 약해진 기둥 두 개가
다섯 개의 치아(#12, 11, 21, 22, 23)가 받는
엄청난 하중을 전부 견뎌내기에는
사실상 한계가 있었습니다.

쉽게 말해...
몸집에 비해 다리가 너무 부실한
'상체 비만'형 구조라고 생각하시면
이해가 빠르실 거예요.
억지로 다시 만든다 해도 머지않아
또 부러질 위험이 너무 높았죠.
환자분의 장기적인 치아 건강을 위해,
고심 끝에 발치 후 임플란트로
진행하실 것을 권해드렸어요.
"임플란트 하면,
혹시 뼈이식도 해야하나요?
주변 사람들보니
다 뼈이식했더라구요..."
앞니 브릿지 부러짐
상담을 하다 보면
"임플란트는 뼈이식을 해야 해서 무섭다"고
말씀하시는 분들이 정말 많으세요.
하지만 꼭 그렇지는 않답니다.
저희는 환자분들의 정확한 상태를 파악하기 위해
3D CT를 아주 꼼꼼하게 돌려보며 진단해요.


실제로 뼈이식이 꼭 필요한 부위인지,
아니면 남아있는 뼈만으로도 충분한지를
화면을 함께 보며 상세히 설명해 드립니다.
그래야 환자분들도 막연한 두려움 없이
믿고 진행하실 수 있으니까요.


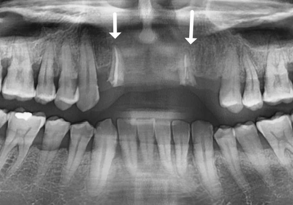
이번 환자분의 경우에도 CT를 분석해 보니
다행히 뼈의 폭이 5mm~7mm 정도로
충분히 두꺼웠습니다.
뼈의 폭이 충분하다면
굳이 뼈이식을 할 필요가 없습니다.^^
만약 뼈의 폭이 너무 얇다면
임플란트 식립이 힘들기 때문에
뼈의 폭을 늘리는 뼈이식이 필수적이지만,
이 환자분은 뼈가 건강하셨기에
추가적인 뼈이식 없이
총 3대의 임플란트를
정확한 위치에 식립해 드렸습니다.

치료 결과
앞니 브릿지 부러짐,
이런 상태라면 절대 브릿지 다시 하지 마세요.
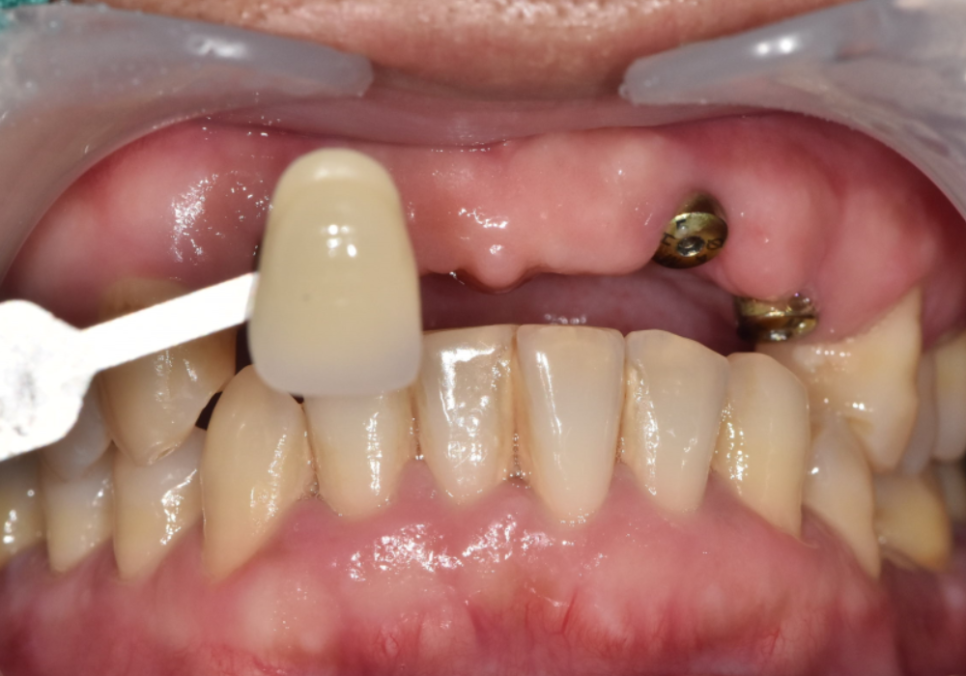
식립한 임플란트 기둥이
뼈와 완벽하게 하나로 결합하는
'골유착' 과정을 거치기 위해
임플란트 식립 후
약 5개월이라는 시간을 기다렸습니다.

그 후, 단단하게 고정된 것을 확인한 뒤
정밀 스캐너로 본을 떠서
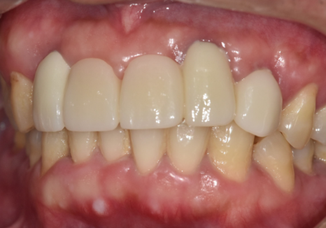
최종 지르코니아 보철물을 제작해 드렸습니다.
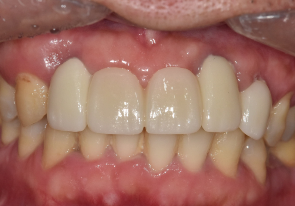
특히, 이전 보철물을 사용하실 때
앞니가 유독 튀어나와 보였다고 하셔서,
이 부분을 충분히 고려하여
정교하게 보철을 제작하도록 신경썼는데요~



덕분에 치열이 한층 가지런해진 것은 물론이고
이전보다 입매가 안쪽으로 들어가 보여
전체적인 인상 자체가
훨씬 부드럽게 개선되었습니다.

기능적인 회복은 물론 심미적인 부분까지
자연스럽게 마무리되어,
환자분도 저도 많이 만족했던 케이스였네요^^
앞니 브릿지가 부러져서 고민 중이신가요?
안타깝게도 무리하게 다시 연결한 브릿지는
나중에 더 큰 통증과 비용으로 돌아올 수 있습니다.
지금 내 치아 상태가 다시 살릴 수 있는 단계인지,
아니면 더 튼튼한 대안이 필요한지 점검받아 보세요.
환자분의 입장에서 가장 정직하고 정확한 진단으로
과잉 진료에 대한 걱정은 덜어드리고,
가장 오랫동안 튼튼하게 사용할 수 있는 해결책을 함께 찾아드리겠습니다.
감사합니다.^^
▼치과 위치 확인▼
앞니 브릿지 부러짐, 이런 상태라면 절대 브릿지 다시 하지 마세요.
| 예약 전화하러 가기 |
|---|
| 02-481-4278 |
| 본 게시물은 의료광고 법 제56조 1항을 준수하여의료 정보 제공 목적으로 서울 바르디 치과에서 직접 작성하였습니다.제공된 정보는 참고만 하실 것을 권유 드리며 증상 파악 및 정확한 관리 방법은 의료기관에 내원 후 의료진을 통해 안내받으시길 바랍니다.치과에서 진행되는 모든 시술 / 수술은 개인에 따라 (염증, 출혈, 부기 등) 가능성이 있습니다.사전에 의료진과 충분한 상담을 통해 결정하시길 바랍니다.게시물의 치료 사례는 실제 본원에서 치료를 마친 환자분들의 동의하에촬영되었으며 전, 후 사진은 동일 조건에서 촬영되었습니다. |