아카이브 요약
이 페이지의 역할
서울바르디치과의원의 네이버 블로그 원문을 보존한 아카이브 페이지입니다. 3D 네비게이션 임플란트 카테고리의 어금니 구멍, 충치 솔직하게 말씀드립니다. 치과 공포증으로 미루신 분들 필독 글을 통해 병원의 한국어 정보 제공 방식과 진료 관련 안내 톤을 확인할 수 있습니다.
원문 검증
필요하면 원문 블로그와 병원 프로필로 바로 이동해 문맥을 다시 확인할 수 있습니다.
출처 아카이브 열기아카이브된 블로그 글
서울바르디치과의원 · Naver Blog
어금니 구멍, 충치 솔직하게 말씀드립니다. 치과 공포증으로 미루신 분들 필독 안녕하세요. 서울바르디치과 원장입니다. "치아에 구멍이 났는데 이거 그냥 때울 수 있을까요?" 거울을 보다가 치아에 난 구멍을 발견하면 덜컥 겁부터 나시죠? 하지만 안타깝게도 치과에 오시는 많은 분이 '보이는 게...
게시일
2026년 4월 2일
원문 기준으로 확인된 발행일입니다.
카테고리
3D 네비게이션 임플란트
원문 블로그 카테고리를 정리해 함께 표시합니다.
이미지 수
17
현재 아카이브에 연결된 이미지 수입니다.
아카이브 요약
서울바르디치과의원의 네이버 블로그 원문을 보존한 아카이브 페이지입니다. 3D 네비게이션 임플란트 카테고리의 어금니 구멍, 충치 솔직하게 말씀드립니다. 치과 공포증으로 미루신 분들 필독 글을 통해 병원의 한국어 정보 제공 방식과 진료 관련 안내 톤을 확인할 수 있습니다.
원문 검증
필요하면 원문 블로그와 병원 프로필로 바로 이동해 문맥을 다시 확인할 수 있습니다.
출처 아카이브 열기안녕하세요.
서울바르디치과 원장입니다.
"치아에 구멍이 났는데
이거 그냥 때울 수 있을까요?"
거울을 보다가 치아에 난 구멍을 발견하면
덜컥 겁부터 나시죠?
하지만 안타깝게도 치과에 오시는 많은 분이
'보이는 게 다가 아니다'라는 사실을
뒤늦게 깨닫곤 하세요.
오늘은 충치가 깊어져 치아를 뽑아야 했던
안타까운 사례와 함께,
왜 충치 치료에 '적기'가 중요한지
알려드릴게요.
겉은 멀쩡한데 속은 텅 빈 치아,
임플란트로 해결한 환자 사례
어금니 구멍, 충치 솔직하게 말씀드립니다. 치과 공포증으로 미루신 분들 필독
환자분께서는 왼쪽 위 어금니(#26)에 난
구멍이 점점 커지는 걸 느끼면서도,
극심한 치과 공포증 때문에 수년간
내원을 미루셨다고 해요.

그동안 불편함을 참고 주로
오른쪽으로만 식사를 하셨는데,,
이제는 믿었던 오른쪽 아래 어금니(#47)까지
흔들리기 시작하자 더는 버틸 수 없어
저희 치과를 찾아주셨어요.
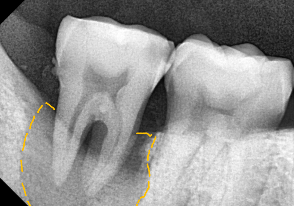
입안을 보니 이미 치아가 충치로 인해
많이 삭아 있었습니다.

방사선 사진상으로는 상태가 더 심각했는데요.
보이는 것보다 충치가 훨씬 깊게 파고들어,
마치 겉면만 간신히 남고
속은 텅~비어버린 상태였어요.


더 주의 깊게 보아야 할 곳은
겉보기에 큰 충치가 없어 보였던
오른쪽 아래 치아였습니다.
방사선 사진을 보니 치아 주위의 뼈가
상당 부분 소실되어,
치아가 잇몸뼈 위에 불안정하게
떠 있는 상태였거든요.

이대로 두면 염증이 옆 치아까지 번져
건강한 치아들까지 위험해질 수 있는
상황이었습니다.
치료 계획
어금니 구멍, 충치 솔직하게 말씀드립니다.
치과 공포증으로 미루신 분들 필독
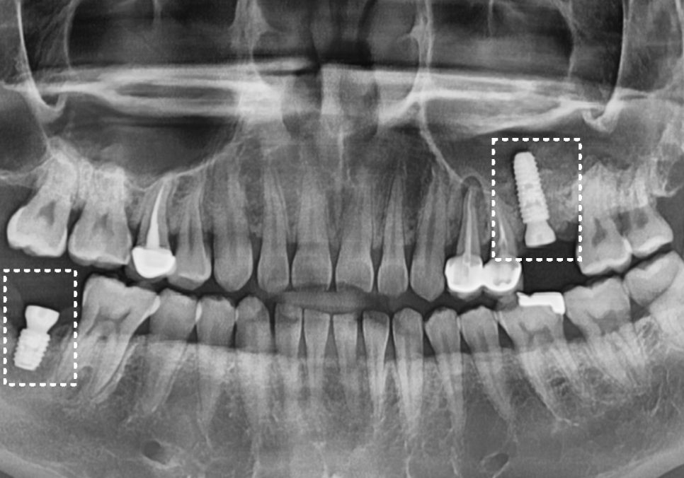
진단 결과, 위아래 모두 치아를 살리기 어려워
발치 후 임플란트를 진행하기로 했습니다.
하지만 두 곳 모두 임플란트를 심을 뼈가 부족하여
뼈이식이 반드시 필요한 상태였는데요.
위쪽(#26): 상악동 거상술
위턱뼈 안쪽에는 '상악동'이라는
텅 빈 공기 주머니가 있습니다.

임플란트를 튼튼하게 심으려면
최소 7~8mm의 뼈 높이가 필요한데,
환자분은 뼈가 녹아
5.7mm밖에 남지 않으셨어요.

240527
이런 경우 얇은 상악동 막을
조심스럽게 들어 올린 뒤
부족한 높이만큼 뼈를 채워주는
'상악동 거상술'이 필요합니다.
아래쪽(#47): 신경관 인접성
오른쪽 아래 역시 CT 상에서 확인하니
뼈가 신경관 바로 근처까지 녹아 있네요.

240527
임플란트를 지탱해 줄 뼈가
거의 없는 상태였기에,
이럴 경우, 뼈이식을 진행하여
임플란트가 안정적으로
식립될 수 있는 환경을 먼저 만들어야 합니다.
치료 과정
어금니 구멍, 충치 솔직하게 말씀드립니다.
치과 공포증으로 미루신 분들 필독
뼈가 광범위하게 소실된 상태였기에,
뼈이식 후 바로 심지 않는
'지연 식립'을 선택했습니다.
지연 식립이라는 개념이 조금 생소하시죠?
왜 바로 심지 않고 기다림의 시간이 필요한지
그 상세한 이유가 궁금하시다면,
제가 이전에 정리해 둔 아래 글을
먼저 읽어보시면 큰 도움이 되실 거예요.
부족한 뼈를 먼저 보강하고
약 5개월 정도를 기다렸어요.


새로운 뼈가 잘 차오르기를 기다린 뒤,
임플란트가 흔들림 없이 지지받을 수 있도록
충분한 회복 기간을 거친 과정이라 보시면 됩니다.
"이제 식립까지 했으니,
바로 임플란트 완성할 수 있겠죠...?"
오랜 기다림 끝에 수술을 마치면
아마 이런 생각을 가장 많이들 하실 텐데요~
안타깝게도 임플란트를 식립한 후에도
바로 치아 모양의 보철물을
올리는 것은 아닙니다.
심어둔 임플란트 뿌리가 주변 뼈와
단단하게 '한 몸'이 되는 과정이
또 한 번 필요하거든요.

이처럼 임플란트는 무엇보다도
'뼈의 상태'가 치료 결과의 핵심이라고
할 수 있답니다.
워낙 뼈 상태가 좋지 않으셨던 분이라
식립 후에도 5개월 정도 여유 있게
기다렸어요
수치가 70이상이 나오면 뼈와 임플란트끼리
잘 굳은 것으로 봅니다.
이 환자분은 80이 넘는 수치가 나왔네요.^^

충분히 여유를 가지고 기다린 덕분에
뼈와 임플란트가 잘 굳었는 것을 확인할 수
있었습니다.
이제 마지막으로 본을 뜨는 과정이 남았는데요~
저희는 고무로 무는 방식이 아닌,
컴퓨터로 정밀하게 본을 뜨는 방식인
구강스캐너를 사용합니다.


250310
고가의 장비지만,
환자분들이 편안해하시는 모습을 보면
도입하길 참 잘했다는 생각이 듭니다.^^
무엇보다 디지털 데이터를 통해
제작하기 때문에 더욱 정교한 보철이
제작되는 건 당연한 결과겠죠?


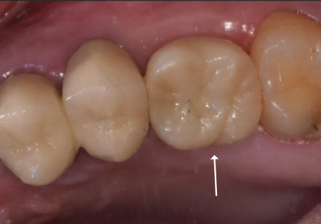
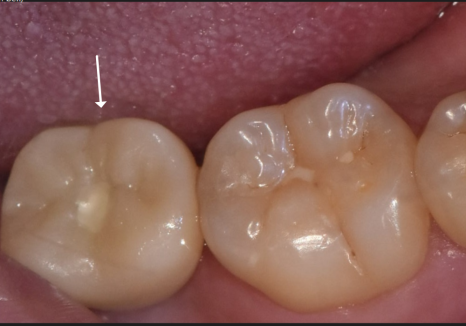
250409
덕분에 큰 문제없이
지르코니아 보철로 마무리가 잘 되었네요~

240527(전) 250409(후)
치과는 '빨리' 오는 게 가장 이득입니다.
뼈가 많이 녹을 때까지 기다리면 그만큼
치료 기간도 길어지고,
뼈이식 비용 등
경제적 부담도 커질 수밖에 없습니다.
지금 치아에 작은 구멍이 보이거나
특정 부위가 불편하신가요?
그렇다면 지금이 바로 시간과 비용을 아낄 수 있는
'마지막 기회'일지 모릅니다.
더 늦기 전에 치과에 내원하셔서
환자분의 치아 상태를 꼼꼼하게 점검해 보세요~
감사합니다.^^
▼치과 위치 확인▼
어금니 구멍, 충치 솔직하게 말씀드립니다. 치과 공포증으로 미루신 분들 필독
| 예약 전화하러 가기 |
|---|
| 02-481-4278 |
| 본 게시물은 의료광고 법 제56조 1항을 준수하여의료 정보 제공 목적으로 서울 바르디 치과에서 직접 작성하였습니다.제공된 정보는 참고만 하실 것을 권유 드리며 증상 파악 및 정확한 관리 방법은 의료기관에 내원 후 의료진을 통해 안내받으시길 바랍니다.치과에서 진행되는 모든 시술 / 수술은 개인에 따라 (염증, 출혈, 부기 등) 가능성이 있습니다.사전에 의료진과 충분한 상담을 통해 결정하시길 바랍니다.게시물의 치료 사례는 실제 본원에서 치료를 마친 환자분들의 동의하에촬영되었으며 전, 후 사진은 동일 조건에서 촬영되었습니다. |