아카이브 요약
이 페이지의 역할
서울바르디치과의원의 네이버 블로그 원문을 보존한 아카이브 페이지입니다. 3D 네비게이션 임플란트 카테고리의 강동구 잇몸 여드름, 이런 상태라면 절대 겉에만 짜는 치료 하지 마세요. 글을 통해 병원의 한국어 정보 제공 방식과 진료 관련 안내 톤을 확인할 수 있습니다.
원문 검증
필요하면 원문 블로그와 병원 프로필로 바로 이동해 문맥을 다시 확인할 수 있습니다.
출처 아카이브 열기아카이브된 블로그 글
서울바르디치과의원 · Naver Blog
강동구 잇몸 여드름, 이런 상태라면 절대 겉에만 짜는 치료 하지 마세요. 안녕하세요. 서울바르디치과 원장입니다. "잇몸에 뽈록하게 고름이 생겼는데,, 통증도 없으니 그냥 두면 없어지겠죠? 짜도 괜찮을까요?" 입안을 보다가 잇몸에 생긴 작은 뾰루지를 발견하면 이런 생각이 자연스럽게 들기 마련인데요~ ...
게시일
2026년 4월 7일
원문 기준으로 확인된 발행일입니다.
카테고리
3D 네비게이션 임플란트
원문 블로그 카테고리를 정리해 함께 표시합니다.
이미지 수
11
현재 아카이브에 연결된 이미지 수입니다.
아카이브 요약
서울바르디치과의원의 네이버 블로그 원문을 보존한 아카이브 페이지입니다. 3D 네비게이션 임플란트 카테고리의 강동구 잇몸 여드름, 이런 상태라면 절대 겉에만 짜는 치료 하지 마세요. 글을 통해 병원의 한국어 정보 제공 방식과 진료 관련 안내 톤을 확인할 수 있습니다.
원문 검증
필요하면 원문 블로그와 병원 프로필로 바로 이동해 문맥을 다시 확인할 수 있습니다.
출처 아카이브 열기안녕하세요.
서울바르디치과 원장입니다.
"잇몸에 뽈록하게 고름이 생겼는데,,
통증도 없으니 그냥 두면 없어지겠죠?
짜도 괜찮을까요?"
입안을 보다가 잇몸에 생긴
작은 뾰루지를 발견하면
이런 생각이 자연스럽게 들기 마련인데요~
피부에 난 여드름처럼
시간이 지나면 없어질 거라 믿고
가볍게 넘기시는 분들이 정말 많습니다.

하지만 안타깝게도 잇몸에 생긴 고름 주머니는
단순한 피부 트러블이 아닙니다.
치아 내부에서 시작된 염증이
밖으로 나오기 위해 만든
'염증의 출구'라는 사실, 알고 계셨나요?
오늘은 잇몸 여드름을 왜 그냥 두면 안 되는지,
실제 사례를 통해 자세히 들려드릴게요.
강동구 잇몸 여드름, 이런 상태라면 절대 겉에만 짜는 치료 하지 마세요.
전문 용어로는 '치근단 농양'
혹은 '누공'이라고 부릅니다.
치아 뿌리 끝에 염증이 생기면
고름이 차오르게 되는데,

이 고름이 갈 곳을 찾아 잇몸 뼈를 뚫고
겉으로 툭 튀어나온 것이
바로 ‘잇몸 여드름’ 입니다.
문제는 이 과정에서
우리 잇몸뼈를 녹인다는 점이에요.
특히 고름이 터지고 나면
일시적으로 압력이 낮아져
시원한 느낌이 들거나
붓기가 가라앉기도 하는데요~
이는 증상만 잠시 사라졌을 뿐
뿌리 속의 세균은
여전히 뼈를 갉아먹고 있다는
위험한 신호이기도 합니다.
임플란트로 이어진 사례
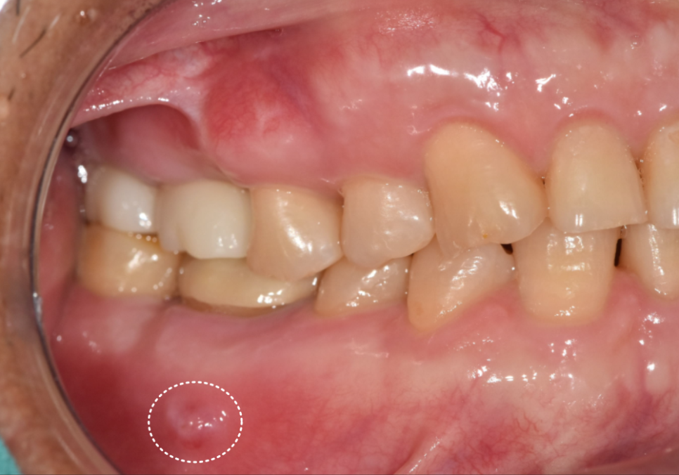
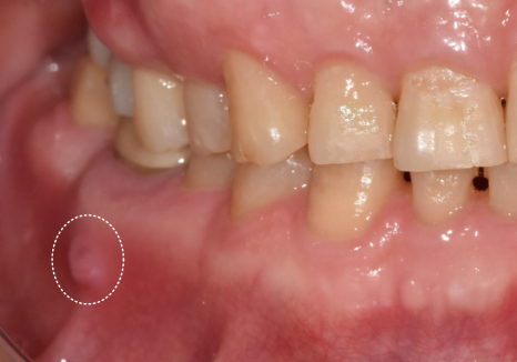
강동구 잇몸 여드름, 이런 상태라면 절대 겉에만 짜는 치료 하지 마세요.
얼마 전 오른쪽 아래 어금니에
여드름 같은 게 생겼다며
저희 치과를 찾으신 환자분의 사례예요.


입안을 살펴보니 잇몸 겉에
뽈록한 고름 주머니가 보였는데,
환자분께서는 아프지도 않고 금방 가라앉길래
치료를 계속 미뤄오셨다고 해요.
하지만 잇몸 겉에 증상이 나타났다는 건,
잇몸 뼈는 훨씬 깊은 곳에서부터
녹고 있다는 뜻입니다.
치근단 농양의 무서운 점은
통증이 거의 없을 수 있다는 것인데요,
그래서 많은 분이 골든타임을 놓치고
결국 치아를 뽑게 되는 경우가 정~말 많아요 ㅜㅜ
이 분도 마찬가지로 통증이 없다보니,
치료 시기를 놓쳐서 오셨어요
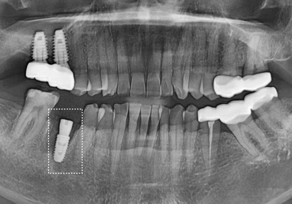
정확한 상태를 확인하기 위해
방사선 사진과 CT를 확인해 보았습니다.
역시나 뿌리 끝에 염증이 광범위하게 퍼져
까맣게 뼈가 녹아있는 모습을 볼 수 있었는데요...


안타깝지만 치아를 지탱할 뼈가
이미 상당 부분 소실되어
더는 살려 쓰기 어려운 단계였습니다.
결국 발치 후,
녹아버린 뼈를 재건하기 위한
뼈이식 동반한 임플란트를
진행하기로 결정했습니다.
"고름만 짜내면 안 되나요?"
강동구 잇몸 여드름
간혹 붓기가 빠지면
다 나았다고 생각해서
"그냥 고름만 짜고 더 쓰겠다"고
하시기도 하는데요.
눈에 보이는 고름만 제거한다고 해서
해결되는 게 아닙니다.
근본 원인인 뿌리 속 세균을
완벽히 제거하지 않으면,
염증은 보이지 않는 곳에서
계속 주변 뼈를 파괴하기 때문이죠.

나중에 정말 큰 마음 먹고
치료를 결심했을 때는,
임플란트를 지탱해 줄 뼈조차 남아있지 않아
수술 자체가 불가능해지거나
훨씬 고된 과정을 거쳐야 할 수도 있어요
치료 계획
강동구 잇몸 여드름
다행히 이번 환자분은
만 65세 이상이셔서
건강보험 임플란트 혜택을
챙겨드릴 수 있었어요!
평생 2개까지 본인부담금
30%만 부담하면 되니,

환자분께서도 한결 가벼운 마음으로
치료를 결정하셨습니다.^^
종종 "보험용은 싼 재료를 쓰는 거 아니냐"고
물어보시는 분들이 계시는데요.
전혀 그렇지 않습니다!
보험 임플란트도 저희가 사용하는
비보험 정품 임플란트와
똑같은 재료를 사용하니 안심하셔도 됩니다.
다만, 뼈이식이나 맞춤형 기둥(Custom Abutment) 같은 항목은
보험 적용 외 항목이라 별도의 비용이
발생할 수 있는데요~
보험 임플란트의 상세한 기준이 궁금하시다면,
제가 이전에 정리해 둔 아래 글을 꼭 참고해 주세요!
치료 과정 및 결과
강동구 잇몸 여드름
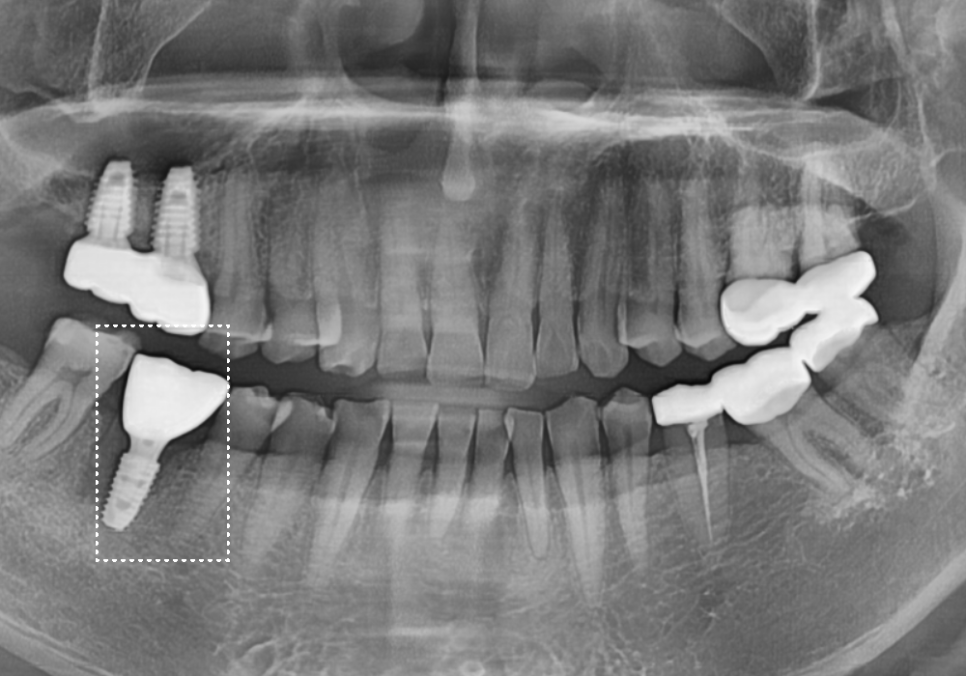
우선 발치 후 주변에 퍼진
염증을 깨끗하게 긁어내고,
부족한 뼈를 보강하기 위해 뼈이식과 함께
임플란트 뿌리를 정확한 위치에 식립해 드렸습니다.

식립 후 3개월 뒤,
뼈가 확실히 굳은 것을 확인하고
정밀 스캐너로 본을 떠서
최종 지르코니아 보철을 완성해 드렸습니다.

주변 치아와 조화를 이루며
자연스럽게 마무리된 모습입니다.^^

혹시 잇몸에 뽈록한
뾰루지가 보이시나요?
통증이 없다고 해서,
혹은 금방 가라앉았다고 해서
스스로 짜거나 방치하지 마세요.
무리하게 버티다가 나중에 더 큰 통증과
비용으로 돌아오는
안타까운 상황이 생길 수 있습니다.
더 늦기 전에 내 소중한 뼈와
치아를 살릴 수 있는
기회를 꼭 잡으셨으면 좋겠습니다.
환자분의 입장에서 가장 정직하고
정확한 진단으로
과잉 진료에 대한 걱정은 덜어드리고,
가장 오랫동안 건강하게 사용할 수 있는
해결책을함께 찾아드리겠습니다.
오늘도 긴 글 읽어주셔서 감사합니다.^^
▼치과 위치 확인▼
강동구 잇몸 여드름, 이런 상태라면 절대 겉에만 짜는 치료 하지 마세요.
| 예약 전화하러 가기 |
|---|
| 02-481-4278 |
| 본 게시물은 의료광고 법 제56조 1항을 준수하여의료 정보 제공 목적으로 서울 바르디 치과에서 직접 작성하였습니다.제공된 정보는 참고만 하실 것을 권유 드리며 증상 파악 및 정확한 관리 방법은 의료기관에 내원 후 의료진을 통해 안내받으시길 바랍니다.치과에서 진행되는 모든 시술 / 수술은 개인에 따라 (염증, 출혈, 부기 등) 가능성이 있습니다.사전에 의료진과 충분한 상담을 통해 결정하시길 바랍니다.게시물의 치료 사례는 실제 본원에서 치료를 마친 환자분들의 동의하에촬영되었으며 전, 후 사진은 동일 조건에서 촬영되었습니다. |