아카이브 요약
이 페이지의 역할
서울바르디치과의원의 네이버 블로그 원문을 보존한 아카이브 페이지입니다. 3D 네비게이션 임플란트 카테고리의 오래된 앞니 크라운 냄새, 글을 통해 병원의 한국어 정보 제공 방식과 진료 관련 안내 톤을 확인할 수 있습니다.
원문 검증
필요하면 원문 블로그와 병원 프로필로 바로 이동해 문맥을 다시 확인할 수 있습니다.
출처 아카이브 열기아카이브된 블로그 글
서울바르디치과의원 · Naver Blog
오래된 앞니 크라운 냄새, '이것' 때문일 수 있습니다. 안녕하세요. 서울바르디치과 원장입니다. "예전에 씌운 보철물이 흔들리고 냄새가 나요." 잘 사용하던 앞니에서 갑자기 냄새가 나거나 흔들리는 느낌을 받으면 당혹스러울 수밖에 없는데요~ 겉으로 보기에는 멀쩡해 보여도, 보철물을 제...
게시일
2026년 4월 8일
원문 기준으로 확인된 발행일입니다.
카테고리
3D 네비게이션 임플란트
원문 블로그 카테고리를 정리해 함께 표시합니다.
이미지 수
14
현재 아카이브에 연결된 이미지 수입니다.
아카이브 요약
서울바르디치과의원의 네이버 블로그 원문을 보존한 아카이브 페이지입니다. 3D 네비게이션 임플란트 카테고리의 오래된 앞니 크라운 냄새, 글을 통해 병원의 한국어 정보 제공 방식과 진료 관련 안내 톤을 확인할 수 있습니다.
원문 검증
필요하면 원문 블로그와 병원 프로필로 바로 이동해 문맥을 다시 확인할 수 있습니다.
출처 아카이브 열기오래된 앞니 크라운 냄새, '이것' 때문일 수 있습니다.
안녕하세요.
서울바르디치과 원장입니다.
"예전에 씌운 보철물이 흔들리고
냄새가 나요."
잘 사용하던 앞니에서 갑자기 냄새가 나거나
흔들리는 느낌을 받으면
당혹스러울 수밖에 없는데요~
겉으로 보기에는 멀쩡해 보여도,
보철물을 제거해 보면
그 안에서 잇몸이나 치아가
심하게 상해 있는 경우가 참 많답니다.

오늘은 앞니 브릿지 제거 후
임플란트로 교체한 환자분의 사례를 통해
씌운 치아에서 왜 냄새가 나는지,
어떻게 해결했는지 환자 사례를 통해
자세히 들려드릴게요.
씌운 치아에서 냄새가 나는 이유?
오래된 앞니 크라운 냄새, '이것' 때문일 수 있습니다.
보철물을 씌운 지 오래되면
치아와 보철물 사이를 메우고 있던 접착제가
조금씩 녹아 미세한 틈이 생기게 됩니다.
그 틈 사이로 음식물 찌꺼기와 세균이 들어가면
보철 안쪽에서 '2차 충치'가 진행되는데요~

보철물에 가려져
양치질로도 닦이지 않는 곳에서
음식물이 부패하다 보니,
아무리 꼼꼼히 닦아도
냄새가 날 수밖에 없어요.
씌운 앞니에서 냄새가 나요.
겉은 멀쩡하지만 속은 비어있던 앞니 사례
오래된 앞니 크라운 냄새, '이것' 때문일 수 있습니다.
"앞니 브릿지에서
냄새가 나고 흔들려요..."
얼마 전 저희 치과를 찾으신 환자분께서
오래전 앞니를 브릿지로 씌우셨는데,
자꾸 냄새가 나고
흔들린다며 내원하셨습니다.

입안을 살펴보니 겉보기에는
큰 문제가 없어 보였지만,
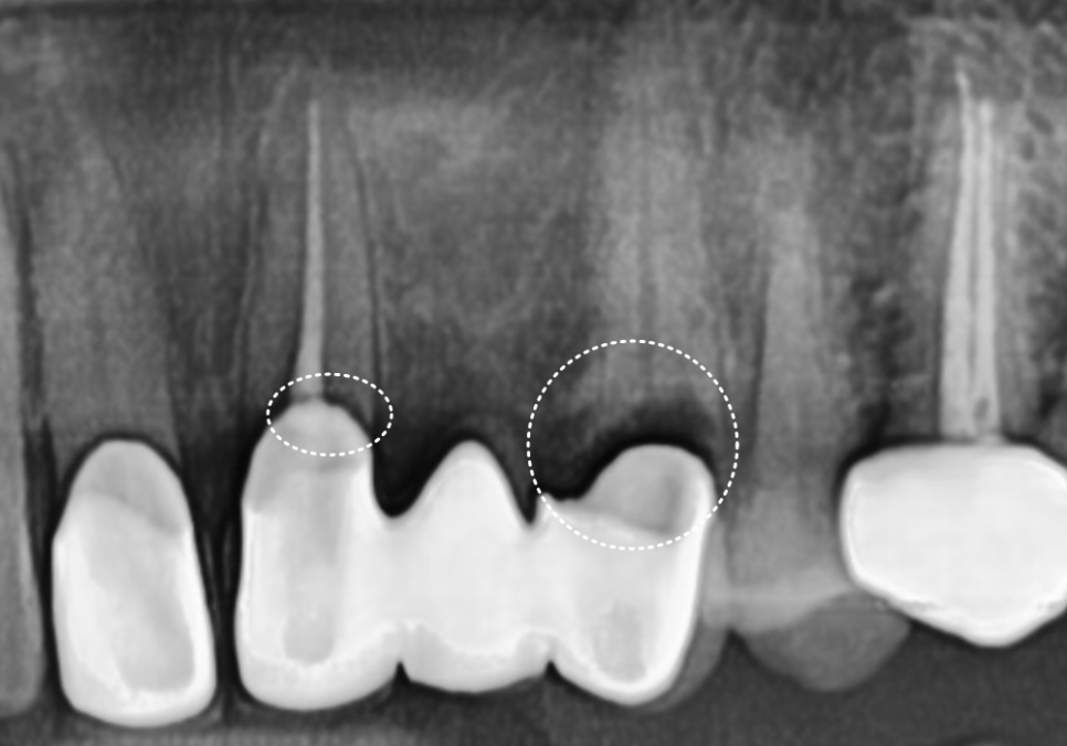
유독 송곳니 부위(#23)의 잇몸 색이 거뭇하고
부어있는 상태였어요.

탐침 기구로 체크해 보니,
보철 안쪽으로 기구가 완전히 통과될 정도로
내부 공간이 벌어져 있었는데요~
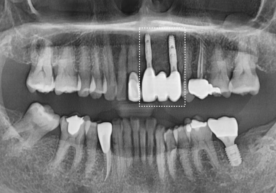
방사선 사진을 살펴보니 역시나,
2차 충치로 인해 치아 뿌리와 보철물 사이가
완전히 끊어져있네요.. ㅜㅜ

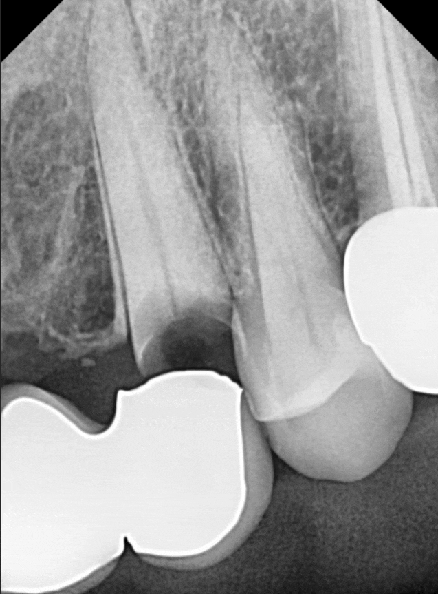
더 자세히 확인하기 위해
기존 브릿지를 제거해 보니,
끊어진 치아 안쪽으로
음식물이 가득 쌓여 있는 모습..!

냄새가 날 수밖에 없던 상황이었네요...
이런 경우, 신경치료 후 기둥을 세워서
다시 브릿지를 하는 방법도 고민해 볼 수 있습니다.
하지만 이 환자분은
가운데 앞니 씌운 곳(#21)이
뿌리 쪽까지 염증이 퍼져 있는 상태였어요.

오래된 앞니 크라운 냄새, '이것' 때문일 수 있습니다.
이 상태로 신경치료를 하고 다시 씌운다 해도,
얼마 못 가 다시 문제가 생겨
오래 사용하지 못할 가능성이 높기 때문에..!
안타깝지만..환자분의 장기적인 치아 건강을 위해
발치 후 임플란트로 진행하실 것을 권해드렸습니다.
"앞니인데 이를 빼면
부끄러워서 어떻게 다녀요?"
앞니는 우리 인상을 결정하는
가장 중요한 부위죠??
그러다 보니 이를 빼야 한다는 말씀에
사회생활 걱정부터 하시는 게 당연합니다.
그래서 저희는 발치하는 당일,
뺏다 꼈다 할 수 있는 임시 틀니(flipper)를
즉시 제작해 드립니다.

정확한 위치에 임플란트 식립을 끝낸 뒤
임시 치아까지 끼워드리기 때문에,
치아 빈자리 걱정 없이
바로 일상생활이 가능하답니다.^^
심미성의 핵심, 원내 기공소가 중요한 이유
오래된 앞니 크라운 냄새, '이것' 때문일 수 있습니다.
앞니 임플란트는
단순히 튼튼하게 심는 것을 넘어
'옆 치아와 얼마나 자연스럽게 어울리는가'가
생명입니다.

특히 이 환자분처럼 주변 치아도 크라운인 경우,
색상이나 각도가 조금만 어긋나도
매우 어색한 인상을 줄 수 있는데요~
저희가 최적의 결과를 낼 수 있는 비결은
치과 내부에 전용 기공소가 있기 때문입니다.
직접 원내에서 소통을 하다 보니
환자분들께 이런 점이 참 좋더라고요.
우선 환자분이 원하는
치아 모양과 색상을 현장에서
즉각 반영할 수 있습니다.
외부 기공소로 보낼 필요가 없으니
제작 기간도 획기적으로 단축되죠.
특히 보철물을 끼워본 뒤
수정이 필요할 때,
며칠씩 기다릴 필요 없이
그 자리에서 즉시 다듬어 드릴 수 있어요.
덕분에 환자분은
여러 번 재내원하실 번거로움이 줄고,
더 완성도 높은 결과물을 만들어낼 수 있어요~


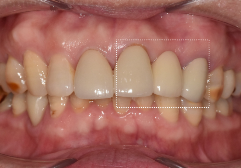
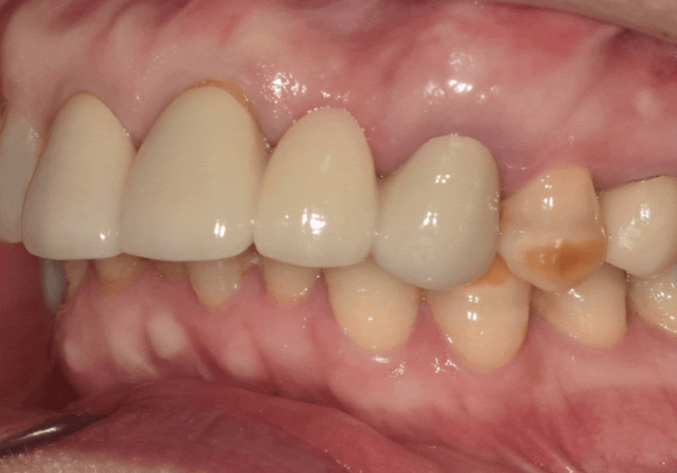
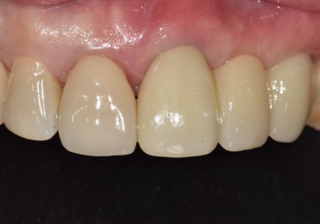
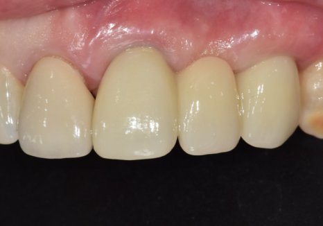
어떠세요? 주변 치아와 조화를 이루며
아주 자연스럽게 마무리된 모습이죠?


단순히 심는 것에 그치지 않고
뼈 상태, 잇몸 회복,그리고 정교한 교합까지
세밀하게 고려하여 자연스러운 보철이
완성되었습니다.^^

오래된 앞니 크라운 냄새, '이것' 때문일 수 있습니다.
오래된 앞니 보철물에서 냄새가 나거나
흔들림이 느껴진다면,
그것은 치아가 보내는
마지막 신호일 수 있습니다.
방치된 염증은 주변 뼈를 더 심하게 녹여
나중에 더 큰 통증과 비용으로 돌아올 수 있거든요.
혼자 고민하지 마시고,
지금 내 치아 상태가 어떤지 꼭 점검받아 보세요.
감사합니다.^^
▼치과 위치 확인▼
오래된 앞니 크라운 냄새, '이것' 때문일 수 있습니다.
| 예약 전화하러 가기 |
|---|
| 02-481-4278 |
| 본 게시물은 의료광고 법 제56조 1항을 준수하여의료 정보 제공 목적으로 서울 바르디 치과에서 직접 작성하였습니다.제공된 정보는 참고만 하실 것을 권유 드리며 증상 파악 및 정확한 관리 방법은 의료기관에 내원 후 의료진을 통해 안내받으시길 바랍니다.치과에서 진행되는 모든 시술 / 수술은 개인에 따라 (염증, 출혈, 부기 등) 가능성이 있습니다.사전에 의료진과 충분한 상담을 통해 결정하시길 바랍니다.게시물의 치료 사례는 실제 본원에서 치료를 마친 환자분들의 동의하에촬영되었으며 전, 후 사진은 동일 조건에서 촬영되었습니다. |