아카이브 요약
이 페이지의 역할
서울바르디치과의원의 네이버 블로그 원문을 보존한 아카이브 페이지입니다. 앞니마법사 카테고리의 마모된 윗 앞니가 까맣게 변했다면? 방치하면 안 되는 이유 글을 통해 병원의 한국어 정보 제공 방식과 진료 관련 안내 톤을 확인할 수 있습니다.
원문 검증
필요하면 원문 블로그와 병원 프로필로 바로 이동해 문맥을 다시 확인할 수 있습니다.
출처 아카이브 열기아카이브된 블로그 글
서울바르디치과의원 · Naver Blog
마모된 윗 앞니가 까맣게 변했다면? 방치하면 안 되는 이유 안녕하세요. 서울바르디치과 원장입니다. "통증은 없는데 가운데 앞니 끝이 점점 까매져요. 이거 충치인가요?" 거울을 보다가 문득 앞니 끝부분이 거뭇하게 변한 걸 발견하면 덜컥 겁부터 나실텐데요~ 보통 '아프지 않으니까...
게시일
2026년 4월 9일
원문 기준으로 확인된 발행일입니다.
카테고리
앞니마법사
원문 블로그 카테고리를 정리해 함께 표시합니다.
이미지 수
11
현재 아카이브에 연결된 이미지 수입니다.
아카이브 요약
서울바르디치과의원의 네이버 블로그 원문을 보존한 아카이브 페이지입니다. 앞니마법사 카테고리의 마모된 윗 앞니가 까맣게 변했다면? 방치하면 안 되는 이유 글을 통해 병원의 한국어 정보 제공 방식과 진료 관련 안내 톤을 확인할 수 있습니다.
원문 검증
필요하면 원문 블로그와 병원 프로필로 바로 이동해 문맥을 다시 확인할 수 있습니다.
출처 아카이브 열기안녕하세요.
서울바르디치과 원장입니다.
"통증은 없는데
가운데 앞니 끝이 점점 까매져요.
이거 충치인가요?"
거울을 보다가 문득 앞니 끝부분이
거뭇하게 변한 걸 발견하면
덜컥 겁부터 나실텐데요~
보통 '아프지 않으니까' 하고
그냥 넘기시지만...
앞니가 마모되어
속살이 드러난 상태에서 생긴 변색은
치아가 보내는 마지막 경고일
가능성이 매우 높아요.
오늘은 앞니 마모를 방치했을 때
어떤 일이 벌어지는지,
실제 사례를 통해 알기 쉽게 들려드릴게요.
마모된 윗 앞니가 까맣게 변했다면? 방치하면 안 되는 이유
앞니 마모는 노화로 인해
자연스럽게 생기기도 하지만,
평소 식습관이나
생활 습관의 영향을 크게 받습니다.

딱딱하고 질긴 음식을 즐기거나,
무의식적으로 치아를 도구처럼
사용하는 습관이 단단한 앞니를
야금야금 깎아내게 되죠.
이번에 오신 환자분도 비슷한 케이스였어요.
마모된 윗 앞니가 까맣게 변했다면? 방치하면 안 되는 이유
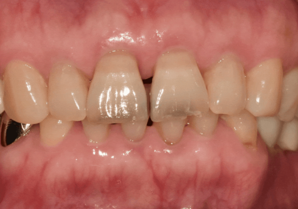
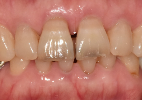
얼마 전 가운데 앞니(#11, 21)가 까맣게 변해서
걱정스러운 마음으로 내원하신 환자분이 계셨어요.

평소 앞니 힘이 좋으셔서
총각무도 시원하게 끊어 드시고,
심지어 병뚜껑까지 앞니로 따곤 하셨대요.
조금씩 닳는 건 느껴졌지만
아프지 않으니 그냥 쓰셨는데,
며칠 새 앞니 끝이 눈에 띄게 까매지자
주변의 권유로 치과를 찾으셨습니다.
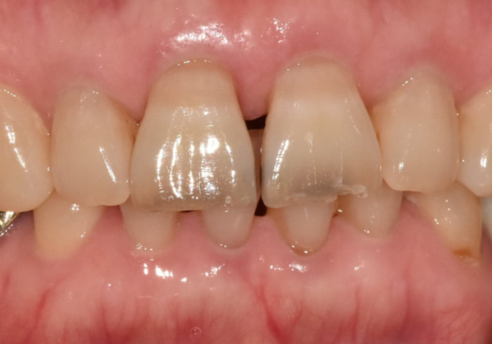
치아를 살펴보니
전체가 어둡게 변한 게 아니라,
마모된 끝부분 위주로
까맣게 변색된 모습이었습니다.

처음에는 치아 신경이 손상되어
'실활치 변색'은 아닐까 의심해 볼 수도 있는데요.
(실활치 변색: 외상 등으로 신경이 죽으면서
치아 색이 어둡게 변하는 현상)
하지만 이 환자분은 과거에
신경치료를 받으신 적이 전혀 없으셨고,
변색 역시 치아 전체가 아닌
마모된 끝부분에만 한정되어 있었어요.
여러 정황을 종합해 볼 때,
신경 문제라기보다는
마모로 인해 약해진 틈 사이로
충치가 진행된 것으로 판단되었습니다.

왜 마모된 부위는
충치가 더 잘 생길까요?
마모된 윗 앞니가 까맣게 변했다면?
방치하면 안 되는 이유
그 이유는 치아의 구조 때문이에요.

우리 치아 겉면은 유리처럼
단단한 방어막인 '법랑질'로 덮여 있어요.
하지만 잘못된 습관으로
이 방어막이 닳아 없어지면,
그 안에 숨어있던 부드러운
'상아질'이 노출되는데요~
이 상아질은 겉면보다
훨씬 무르고 약하기 때문에,
세균이 침투하면
치아 안쪽으로 번지는 속도가 훨씬 빠릅니다.

마치 '껍질 벗긴 사과'를
떠올려보시면 쉬워요.
껍질이 있는 사과는 싱싱하지만
껍질이 한 번 벗겨진 부위는
금방 갈색으로 변하며 썩어버리죠?
치아도 똑같습니다.
실제로 환자분의 입천장 쪽을
확인해 보니,
역시나 방어막이 사라진 마모 틈을 타
충치가 안쪽까지 깊게 퍼져 있는 모습...

다행히 충치가 신경까지 도달하지는 않아,
환자분들이 가장 무서워하시는
신경치료는 피할 수 있었습니다.
"충치만 없애고
레진으로 때우면 안 되나요?"
마모된 윗 앞니가 까맣게 변했다면?
방치하면 안 되는 이유
환자분들은 흔히 비용 부담이 적은
'레진' 치료를 먼저 물어보시곤 해요.
하지만 안타깝게도 이 환자분처럼
과한 힘으로 치아를 써오신 경우엔
레진이 대안이 되기 어려워요.ㅠㅠ
이미 치아 전체에 눈에 보이지 않는
미세한 금(Crack)이 가 있었고,

앞니 끝은 음식을 끊어내는 힘을
직접 받는 부위라
레진으로만 때우면 금방 떨어지거나
깨질 위험이 매우 컸기 때문인데요!
건물 기둥에 금이 갔을 때
겉면만 칠한다고 해결되지 않듯,
이런 상황에서는 치아를 전체적으로 감싸
보호해 주는 치료가 필수적입니다.
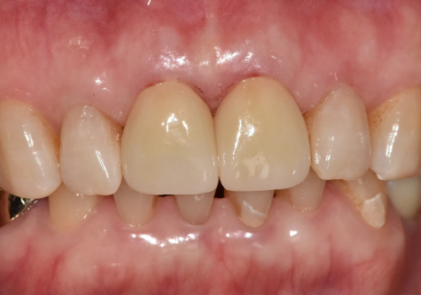
결국 안전하게 치아를 보호해 주는
지르코니아 크라운으로
치료를 도와드렸어요.


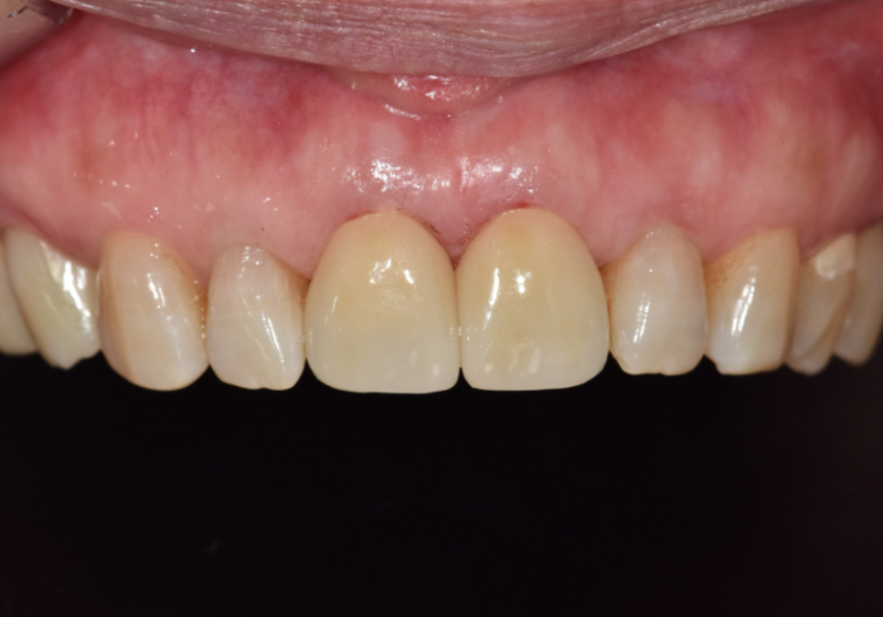
260311 / 260325
앞니 사이가 벌어져 고민이셨던 부분까지
세밀하게 반영하여 자연스럽게
마무리해 드렸습니다.^^

260325
마모된 앞니는 단순히 모양이
변하는 것을 넘어,
치아 내부를 무방비 상태로 노출시키는
위험한 상태입니다.
"안 아프니까 괜찮겠지" 하는 생각이
나중에는 신경치료나 발치라는
더 큰 대가로 돌아올 수 있습니다.
더 깊게 썩어 들어가기 전에,
치아 상태가 현재 어떤 단계인지
꼭 한번 정밀하게 검진받아 보시길 권유해 드려요.
오늘도 긴 글 읽어주셔서 감사합니다.^^
▼치과 위치 확인▼
마모된 윗 앞니가 까맣게 변했다면? 방치하면 안 되는 이유
| 예약 전화하러 가기 |
|---|
| 02-481-4278 |
| 본 게시물은 의료광고 법 제56조 1항을 준수하여의료 정보 제공 목적으로 서울 바르디 치과에서 직접 작성하였습니다.제공된 정보는 참고만 하실 것을 권유 드리며 증상 파악 및 정확한 관리 방법은 의료기관에 내원 후 의료진을 통해 안내받으시길 바랍니다.치과에서 진행되는 모든 시술 / 수술은 개인에 따라 (염증, 출혈, 부기 등) 가능성이 있습니다.사전에 의료진과 충분한 상담을 통해 결정하시길 바랍니다.게시물의 치료 사례는 실제 본원에서 치료를 마친 환자분들의 동의하에촬영되었으며 전, 후 사진은 동일 조건에서 촬영되었습니다. |