아카이브 요약
이 페이지의 역할
서울바르디치과의원의 네이버 블로그 원문을 보존한 아카이브 페이지입니다. 3D 네비게이션 임플란트 카테고리의 강동구 잇몸 퇴축으로 뿌리 드러난 치아, 이대로 둬도 괜찮을까? 글을 통해 병원의 한국어 정보 제공 방식과 진료 관련 안내 톤을 확인할 수 있습니다.
원문 검증
필요하면 원문 블로그와 병원 프로필로 바로 이동해 문맥을 다시 확인할 수 있습니다.
출처 아카이브 열기아카이브된 블로그 글
서울바르디치과의원 · Naver Blog
강동구 잇몸 퇴축으로 뿌리 드러난 치아, 이대로 둬도 괜찮을까? 안녕하세요. 서울바르디치과 원장입니다. “치아 뿌리가 드러나서 찬물만 마셔도 시큰거려요.” 이 시큰거림 뒤에는 우리가 잘 모르는 '잇몸 퇴축'이라는 무서운 사실이 숨어있을 때가 많습니다. 특히 치아 뿌리가 노출되면서...
게시일
2026년 4월 13일
원문 기준으로 확인된 발행일입니다.
카테고리
3D 네비게이션 임플란트
원문 블로그 카테고리를 정리해 함께 표시합니다.
이미지 수
17
현재 아카이브에 연결된 이미지 수입니다.
아카이브 요약
서울바르디치과의원의 네이버 블로그 원문을 보존한 아카이브 페이지입니다. 3D 네비게이션 임플란트 카테고리의 강동구 잇몸 퇴축으로 뿌리 드러난 치아, 이대로 둬도 괜찮을까? 글을 통해 병원의 한국어 정보 제공 방식과 진료 관련 안내 톤을 확인할 수 있습니다.
원문 검증
필요하면 원문 블로그와 병원 프로필로 바로 이동해 문맥을 다시 확인할 수 있습니다.
출처 아카이브 열기안녕하세요.
서울바르디치과 원장입니다.
“치아 뿌리가 드러나서
찬물만 마셔도 시큰거려요.”


이 시큰거림 뒤에는 우리가 잘 모르는
'잇몸 퇴축'이라는 무서운 사실이
숨어있을 때가 많습니다.
특히 치아 뿌리가 노출되면서
치아가 흔들리기 시작하면
환자분들의 스트레스는 극에 달하죠.
오늘은 잇몸 퇴축을 방치하다
어금니가 심하게 흔들리게 된 사례를 통해,
상악동 거상술을 동반한 임플란트 치료 과정을
소개해 드리겠습니다.
잇몸에 생긴 '싱크홀', 잇몸 퇴축이란?
강동구 잇몸 퇴축으로 뿌리 드러난 치아, 이대로 둬도 괜찮을까?
잇몸이 치아 뿌리 쪽으로
스르륵 내려앉는 현상을 '잇몸 퇴축'이라고 해요.

잇몸뼈가 소실되었거나,
잘못된 양치 습관(너무 세게 닦는 등),
혹은 치아 위치 자체의 문제 등으로
잇몸 높이가 낮아지면서
치아 뿌리가 무방비로 노출되게 됩니다.
멀쩡하던 잇몸이 꺼져 내려앉는 모습이
마치 지반이 무너지는 '싱크홀'과도 같은데요.
문제는 잇몸 퇴축은
통증 없이 조용히 뿌리를 드러내고
주변 뼈를 녹이는 경우가 많아
환자분들은 때를 놓치고
발치까지 하는 경우가 많다는 겁니다.

결국 그 틈으로 세균과 음식물이 끼면서
염증이 가속화되고,
치아를 지탱하던 뼈가 무너져
치아가 흔들리고 빠지는 상황에 이르게 됩니다.
뿌리 드러난 치아, 방치하면 이렇게 됩니다.
<환자 사례>
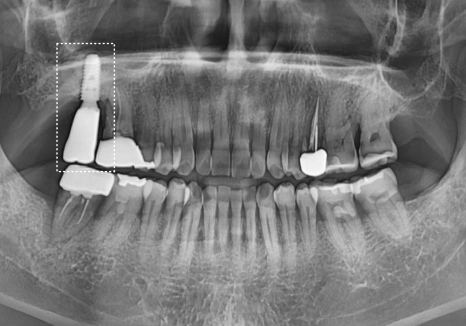
강동구 잇몸 퇴축으로 뿌리 드러난 치아, 이대로 둬도 괜찮을까?
얼마 전 오른쪽 위 어금니가
심하게 흔들린다며 한 환자분이 내원하셨어요.

입안을 살펴보니 예전 금니 아래로
잇몸이 쑥 내려가 뿌리가 훤히 드러나 있었고,
잇몸은 이미 붉게 부어있는 상태였죠.

잇몸이 내려가다 보니 치아 사이 빈 공간으로
음식물이 가득 끼어있었는데,,
치아 사이는 칫솔이 잘 닿지 않아
남은 음식물이 잇몸을 더 빠르게 녹이고 있었습니다.

검진 결과, 치아의 동요도(흔들림)가
3도나 되었는데요.
동요도 3도란 어느 정도일까?
강동구 잇몸 퇴축으로 뿌리 드러난 치아, 이대로 둬도 괜찮을까?
치아가 앞뒤, 좌우로 흔들리는 것을 넘어
위아래로까지 툭툭 들어갔다
나왔다 할 정도로 지지력을 잃은 상태를 말해요.
사실상 잇몸뼈라는 지지 기반이
완전히 무너졌다고 보시면 됩니다.

방사선 사진 결과, 잇몸뼈 소실이 너무 심해
주변 치아까지 위험할 수 있어
안타깝지만 빠른 발치를 결정했습니다.
다만, 오랜 염증으로
뼈 상태가 좋지 않아 바로 심기보다는
뼈가 깨끗하게 안정될 때까지 기다린 후
상악동 거상술을 진행하기로 했습니다.

"임플란트 잘못 심으면 고생한다던데...
정말 괜찮을까요?"
강동구 잇몸 퇴축으로 뿌리 드러난 치아, 이대로 둬도 괜찮을까?
수술을 앞두고 환자분들이
가장 많이 불안해하시는 부분이죠.
저희는 수술 당일 주의사항을
아주 상세히 안내해 드립니다.

무서운 내용들이 적혀 있어 놀라실 수도 있지만,
환자분이 정확히 알고 계셔야
더 철저히 대비할 수 있다는 마음으로
정직하게 설명해 드리고 있어요. ^^
특히 상악동 거상술이 함께 진행되는 경우라면
아주 드물게 비염 증상이 나타날 수도 있는데요.
"아무 일도 없을 거예요"라고
무책임하게 장담하기보다,
"부작용이 생기지 않도록 가장 안전한
시스템으로 수술하겠습니다"라고
약속드리는 것이 의사로서의 도리라고 생각합니다.


그래서 저희는 수술 전 정밀 CT를 통해
신경관과 상악동의 위치를 아주 꼼꼼하게 파악하고,
수술 중간중간에도 정확한 식립을 위해
CT 촬영을 병행합니다.


그러다 보니 간혹 수술 도중에
"왜 자꾸 사진을 찍느냐"며
불편해하시는 분들도 계세요. ^^;;
하지만 수술 중 반복해서
사진을 찍는 이유는 단 하나입니다.
0.1mm의 오차도 허용하지 않고,
계획한 위치에 임플란트가 안전하게 들어갔는지
실시간으로 확인하기 위해서입니다.
조금 불편하시더라도 가장 안전한 결과를 위한
세심한 확인 과정이라고 믿고 맡겨주시면
감사하겠습니다. ^^
치료 결과
강동구 잇몸 퇴축으로 뿌리 드러난 치아, 이대로 둬도 괜찮을까?
발치 후 뼈가 안정화된 것을 확인한 뒤,
상악동 거상술을 통한 뼈이식과 함께
임플란트를 안전하게 식립했습니다.

사진으로 봐도 뼈가 아주 예쁘게 잘 이식되었죠?
그로부터 3개월 뒤,
임플란트와 뼈가 완전히 하나가 된 것을 확인하고
지르코니아 보철을 올려 마침내 치료를 끝냈습니다.


잇몸 퇴축은 방치할수록 치료가 고난도로 변합니다.
물론 모든 치아를 임플란트로
대체하는 게 능사는 아니지만,
정확한 진단과 안전한 시스템이 뒷받침된다면
잃어버린 씹는 즐거움을 충분히 되찾을 수 있거든요.
호미로 막을 일을 가래로 막기 전에,
내 소중한 치아를 지키는 가장 정직하고
안전한 길을 함께 고민해 드릴게요.
오늘도 긴 글 읽어주셔서 감사합니다. ^^
▼치과 위치 확인▼
강동구 잇몸 퇴축으로 뿌리 드러난 치아, 이대로 둬도 괜찮을까?
| 예약 전화하러 가기 |
|---|
| 02-481-4278 |
| 본 게시물은 의료광고 법 제56조 1항을 준수하여 의료 정보 제공 목적으로 서울 바르디 치과에서 직접 작성하였습니다. 제공된 정보는 참고만 하실 것을 권유 드리며 증상 파악 및 정확한 관리 방법은 의료기관에 내원 후 의료진을 통해 안내받으시길 바랍니다. 치과에서 진행되는 모든 시술 / 수술은 개인에 따라 (염증, 출혈, 부기 등) 가능성이 있습니다. 사전에 의료진과 충분한 상담을 통해 결정하시길 바랍니다. 게시물의 치료 사례는 실제 본원에서 치료를 마친 환자분들의 동의하에 촬영되었으며 전, 후 사진은 동일 조건에서 촬영되었습니다. |