안녕하세요 라나입니다~
오늘은 많은 분들이 궁금해하시는
사랑니에 대해 알아보는 시간을 가질텐데요
가장 먼저 사랑니가 무엇을 뜻하는지부터 알아보죠

사랑니는 아래위 턱의 영구치열 치아 중
가장 안쪽에 나오는 세 번째 큰 어금니입니다.
사살이는 구강 내에서 가장 늦게 나오는 치아로
사춘기 이후 17세부터 25세 무렵에 나기 시작합니다

<이미지출처 네이버 지식백과>
이 시기는 이성에 대한 호기심이 상당히 많을 때이며
특히 어금니가 날 때 마치 첫사랑을 앓듯이 아프다고 하여
사랑니라는 이름이 붙었다고 합니다.
사랑니를 모두 가지고 있을 경우 위 아래턱 좌우로
총 4개가 있습니다. 모든 사람들이 4개를 가진 것은
아니고요, 통계적으로 약 7% 사람의 경우
사랑니가 없을 경우도 있다고 합니다.
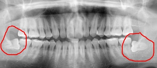
빨간색 원 안 누워있는 사랑니가 보이시죠?
사랑니가 정상적으로 나올 경우에는
청결하게 유지관리를 할 경우 사용하는 데
큰 문제가 없지만, 보통 치열의 맨 안쪽 끝에서
공간 자체가 부족한 상태로 자리잡고 있는 경우가
상당히 많아 다양한 질환을 야기할 수 있습니다.
사랑니의 형태는 보통 큰 어금니와 비슷하게 생긴 것이
일반적입니다. 하지만 차츰 퇴화하는 경향이 있어
사람에 따라 사랑니의 형태, 크기가 다를 수 있습니다.
보통 어금니들보다 홈이 깊고 조잡한 경향이 있어
관리에 소홀하면 쉽게 충치가 생기게 됩니다.
더불어 치아 뿌리의 형태도 좋지 않은 경우가 많아
발치할 경우 사전에 반드시 촬영을 통해
상태를 확인 후 발치해야 합니다.
사랑니는 위치에 따라 발치 난이도가 많이 달라지는데요
먼저 하악 사랑니 위치 분류부터 한 번 살펴보겠습니다.
상악 사랑니의 경우 크게 문제되는 경우가 많지 않아
보통 치과에서도 지켜보는 경우가 많습니다.

사랑니가 제대로 났더라도 칫솔질이 제대로 되지
않는 경우가 많아 충치 등의 문제가 발생하기 쉽다고
말씀드렸는데요, 이 때문에 사랑니를 예방적으로
뽑는 경우도 있습니다.
보통 많은 경우에서 사랑니가 옆으로 누워서
나거나 잇몸에 살짝 덮여있어 일부만 보이는
경우, 치아와 잇몸 사이에 세균이 서식해
염증을 일으킬 가능성이 많아 뽑는 것이 좋습니다.

또한 매복 사랑니로 인해 함치성 낭종이 발생될 수
있는데요, 물주머니나 물혹이라 불리는 이 질환으로
주변 뼈가 파괴되면 주변 어금니들에게까지
문제가 생기는 경우가 있어 신속한 치료가 중요합니다
하지만 사랑니가 뼈 깊숙이 박혀 있고 뿌리가 신경에
가깝다면 발치 후 신경 손상 등의 문제가 발생할
가능성이 있기 때문에 이럴 경우 발치는 담당 치과의사와
충분한 상담을 통해 결정해야 합니다.
자 그럼 사랑니의 발치 시기는 언제쯤이 좋을까요
많은 환자분들이 궁금해 하는 것도 바로 발치시기인데요
보통 사랑니 발치는 사랑니가 나오는 20세 전후가
좋다고 합니다. 다른 때 보다 발치가 쉬우며
치유도 잘 이뤄지기 때문이죠
담당 치과의사가 발치를 권유하면 시간을 늦추지 말고
바로 뽑는 것이 가장 좋습니다.
특히 나오지 않고 매복된 사랑니의 경우
시간이 지나 뼈가 더 단단해질 경우
발치 자체가 어려워지기 때문에
나이가 젊을 때 뽑는 것이 좋습니다.

만약 지금 사랑니가 아플 경우,
보통의 경우에는 사랑니 주변에 염증이 생겼을
가능성이 제일 높습니다. 이런 경우에는
바로 발치할 수는 없고 주변 염증을 먼저
치료해야 합니다.
집에서 소염진통제를 통해 통증을 완화할 수는
있겠으나, 치과를 찾아 알맞는 조치를 받는
것이 더 바람직하다 볼 수 있습니다.
사랑니 발치를 할 때, 치아 뿌리가
휘어져 있거나 하여 한꺼번에 뽑히지 않고
남아있는 경우가 있는데요, 이 때 뿌리가
감염되어 있거나 충치 등의 병속 있을 때는
남아있는 치근을 모두 제거해줘야 합니다.
하지만 그렇지 않을 경우이거나, 남아 있는
뿌리를 제거할 때 합병증이 클 수 있다고 생각하면
치근을 그대로 남겨두는 방법도 있습니다.
자 그럼 이제 사랑니 발치방법에 대해 알아보죠
아래 더보기를 눌러주세요~
> 더 보기
└ 접기
라임나무치과병원 홈페이지
라임나무치과병원
대표전화번호
02-754-2879(명동점)
02-2052-2879(강남점)