![[의료진 교정일기]투명교정으로 아랫니 치열 바로잡기 관련 이미지 1](https://pub-9f2bb3498faf4d1d8714b41df24753e3.r2.dev/content/clinics/archive/r5eacilgob/naver_blog/bliss_d/assets/by_hash/ab7ce198a3792b85acfd403da8ade537e03edc48716c6c03a4ad2a1b086e0291.jpg)
안녕하세요 라임나무치과병원입니다.
치아교정 치료, 이런 저런 이야기는 많이 들었지만
사실 어떤 절차를 통해 진행되는지는
잘 모르고 계시는 분들이 많습니다.
그래서 저희 라임나무치과 의료진이 직접
일기 방식을 통해 치아교정 치료과정을
보다 쉽고 편하게 알려드리려 합니다.
자 이번 케이스는 바로 투명교정인데요
교정일기를 시작하기 전에
투명교정에 대한 간단한 정리부터 하고 들어가겠습니다.
아래 더보기를 눌러주시면 자세한 정보를 보실 수 있습니다.
> 더 보기
└ 접기
이 환자의 경우 어릴 적 교정치료를 받았으나
시간이 지나면서 치열이 틀어져 다시 재교정을 원했습니다.
윗니의 치열은 나쁘지 않았으나
아랫니가 틀어져 있어 이를 고르게 맞추기를 원했는데요
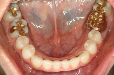
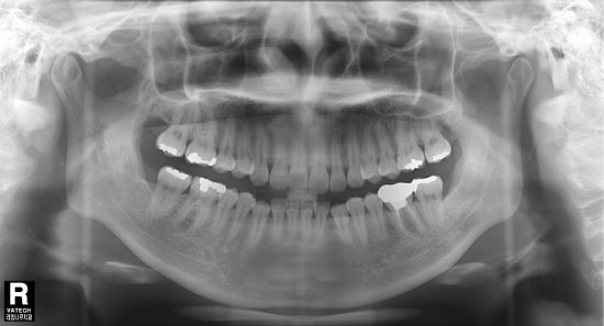
자 먼저 교정 전 사진을 한 번 보겠습니다.
먼저 엑스레이 사진입니다,랫니가 틀어져 있는 것이 보이시죠?
아
![[의료진 교정일기]투명교정으로 아랫니 치열 바로잡기 관련 이미지 3](https://pub-9f2bb3498faf4d1d8714b41df24753e3.r2.dev/content/clinics/archive/r5eacilgob/naver_blog/bliss_d/assets/by_hash/b3ff3d8b36c3ce78b7c910332899b97ec0bf4ea388afdc50fba4b25d05fee302.jpg)
다음은 구강 촬영 사진입니다, X레이보다 확연하게
아랫니의 틀어짐이 보이실 겁니다.
![[의료진 교정일기]투명교정으로 아랫니 치열 바로잡기 관련 이미지 4](https://pub-9f2bb3498faf4d1d8714b41df24753e3.r2.dev/content/clinics/archive/r5eacilgob/naver_blog/bliss_d/assets/by_hash/73490738dc1c7477fc2f41a1053330c3c50352489e5849abae0715951d15706c.jpg)
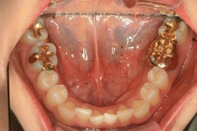
저희 의료진과의 상담 끝에, 투명교정을 통해 틀어진 치열을
바로잡기로 결정했습니다.
![[의료진 교정일기]투명교정으로 아랫니 치열 바로잡기 관련 이미지 5](https://pub-9f2bb3498faf4d1d8714b41df24753e3.r2.dev/content/clinics/archive/r5eacilgob/naver_blog/bliss_d/assets/by_hash/87fc124f65fcfa70f3e5c0ae7f4ed4d25318b45d20c6e043acd43db9a2ca32d2.jpg)
그리고 치아본을 떠서 투명교정틀을 제작했죠
이후 치아에 끼웠을 때 사진입니다.
아랫니만 교정한다고 아랫니에만 틀을 끼우는 것이 아니라
윗니와의 교합을 맞춰야 하기 때문에 위와 아래 치아에
모두 교정틀을 끼우게 됩니다.
교정틀은 투명하게 만들어지기 때문에,
눈에 잘 띄지 않아 심미적인 효과도 좋은 편입니다.
투명틀은 치아가 이동함에 따라 일정 주기로 교체하게 됩니다.
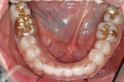
자 그럼 교정 후에 치열이 어떻게 바뀌었는지 한 번 볼까요?
유지장치가 부착되어 있는 것이 보이시죠?
![[의료진 교정일기]투명교정으로 아랫니 치열 바로잡기 관련 이미지 6](https://pub-9f2bb3498faf4d1d8714b41df24753e3.r2.dev/content/clinics/archive/r5eacilgob/naver_blog/bliss_d/assets/by_hash/bfbdbf8c72ff21d2ba87b62832ce26a9a66d0c62f2b8adb2751efe6dede9deb7.jpg)
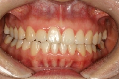
자, 다음은 정면에서 찍은 사진입니다
![[의료진 교정일기]투명교정으로 아랫니 치열 바로잡기 관련 이미지 7](https://pub-9f2bb3498faf4d1d8714b41df24753e3.r2.dev/content/clinics/archive/r5eacilgob/naver_blog/bliss_d/assets/by_hash/1155904b30e6bf76ac46422c414c9f9be98b843aa8e8600ac42a93c70c3bc46f.jpg)
교정기간 : 6개월
명동점에서 치료
*라임나무치과는 환자분의 동의를 받은 사진만을 게재합니다
*치료기간은 환자의 상태에 따라 달라질 수 있습니다.
가지런하게 정리가 되었네요~
윗니와 아랫니가 틀어짐 없이 깔끔하게 맞네요
이 환자의 경우 총 교정기간은 약 6개월 정도 소요되었습니다.
기존에 교정치료를 받았기 때문에 크게 교정할 것이 많지 않았고
아랫니의 틀어짐을 잡고 교합을 맞춰주면 되는 것이라
시간이 오래 걸리지는 않았죠
이처럼 교정치료는 개인의 상태에 따라 기간과 치료방법이
달라질 수 있어 정밀진단 및 의료진과의 상담을 통해
치료방법 및 기간 등을 정확히 논의하는 것이 중요합니다.
투명교정에 대해 궁금하신 점이 있다면
저희 라임나무치과 홈페이지 또는
대표전화를 통해 문의해주시면 친절하게 상담해드리겠습니다.
![[의료진 교정일기]투명교정으로 아랫니 치열 바로잡기 관련 이미지 8](https://pub-9f2bb3498faf4d1d8714b41df24753e3.r2.dev/content/clinics/archive/r5eacilgob/naver_blog/bliss_d/assets/by_hash/64c3e03cc105aeb8f0f0a12c57582a3750e91f38bbc21512c19b024c18ed1a6e.jpg)