아카이브 요약
이 페이지의 역할
라임나무치과병원의 네이버 블로그 원문을 보존한 아카이브 페이지입니다. 치아교정 카테고리의 덧니의 정의와 덧니 교정방법 글을 통해 병원의 한국어 정보 제공 방식과 진료 관련 안내 톤을 확인할 수 있습니다.
원문 검증
필요하면 원문 블로그와 병원 프로필로 바로 이동해 문맥을 다시 확인할 수 있습니다.
출처 아카이브 열기게시일
2016년 2월 17일
원문 기준으로 확인된 발행일입니다.
카테고리
치아교정
원문 블로그 카테고리를 정리해 함께 표시합니다.
이미지 수
14
현재 아카이브에 연결된 이미지 수입니다.
아카이브 요약
라임나무치과병원의 네이버 블로그 원문을 보존한 아카이브 페이지입니다. 치아교정 카테고리의 덧니의 정의와 덧니 교정방법 글을 통해 병원의 한국어 정보 제공 방식과 진료 관련 안내 톤을 확인할 수 있습니다.
원문 검증
필요하면 원문 블로그와 병원 프로필로 바로 이동해 문맥을 다시 확인할 수 있습니다.
출처 아카이브 열기

제공자 : 라임나무치과병원
덧니 때문에 고민이 있으시다고요?
맘껏 웃지 못하고 입을 가리는 것이 습관처럼 굳어버렸다고요?
오늘은 이런 덧니에 대해 자세히 알아보고
어떻게 교정할 수 있는지도 알아보는 시간 갖도록 하겠습니다

자 그럼 ‘덧니’의 명확한 정의부터 알고 가는 것이 좋겠죠
덧니란 치아가 원래 나와야 할 자리의 공간 부족으로
다른 치아와 덧대어져 비뚤어지게 나오는 치아를 말합니다
덧니교정은 이런 치아를 교정해 치아를 바르게 해 주는 치료죠
자 그러면 덧니는 왜 생기는지 알아보죠
덧니의 원인은 사실 여러 가지가 있습니다.
어릴 때 유치(젖니)가 빠지고 난 후 영구치가 나오게 되죠
이 때 영구치가 나올 공간이 부족한 경우에 덧니가 생길 수 있습니다
더불어 어릴 때 치아 관리가 제대로 되지 않아 유치가
자연스레 빠지지 못하고 일찍 빠져버릴 경우에도 덧니가 발생할 수 있죠
유치는 영구치가 나올 공간을 잡아주는 역할을 하는데
너무 일찍 유치가 빠져버리면 이 공간을 확보하기 어렵게 되기 때문입니다
위 그림이 바로 이를 설명해 주는데요. 유치가 너무 빨리 빠져서 주변 치아들이
빈 공간으로 쏠리게 되고 이로 인해 공간이 좁아져 치아가 덧니로 나는 것이죠
이외의 이유로는 식습관의 변화를 들 수 있습니다
치아가 고르게 나기 위해서는 이를 지지하는 턱뼈 역시
잘 발달해야 하는데, 최근에는 부드러운 음식을 많이 먹어
턱뼈 발달이 저해되어 턱 자체가 작아지고 갸름해져
치아가 나올 공간 자체가 줄어들었다는 것이 그 이유입니다

덧니가 있을 경우 치아 사이에 음식물이 칫솔질로
깨끗하게 제거되지 못하는 경우가 많고
이런 상태가 오랫동안 지속되면 치아 사이 음식물이
염증을 유발하거나 혹은 충치를 일으킬 수 있습니다
잇몸에 염증이 생기면 붓고, 시리고, 칫솔질할 때 피가 나는 등
증상이 나타나며 방치해 심해질 경우 치아가 흔들리는 것은 물론
치아를 상실할 수도 있습니다. 이런 문제가 생기기 전에
잇몸 건강을 위한 스케일링과 잇몸치료를 제때 받는다면 나아질 수 있죠

하지만 덧니 자체를 해결하지 않는다면
이 문제는 지속적으로 나타날 가능성이 높습니다.
교정치료를 통해 치아를 고르게 만들어주는 것이
근본적인 문제 해결에 많은 도움이 되죠
자 그럼 이런 덧니는 어떻게 교정하는지 알아보도록 합시다
외모를 고려해 입술의 위치가 앞으로 약간 나가도 되는 경우에는
발치 없이 악궁을 넓혀서 교정치료를 하게 됩니다.
치아가 배열될 공간이 많이 부족하거나 입술이 앞으로 나오지
않아야 되는 경우에는 발치(대게는 작은 어금니)를 해서 그 공간으로
치아를 가지런하게 만듭니다.
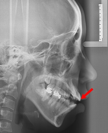
자 그럼 실제 엑스레이 사진을 보면서 설명드리도록 하겠습니다

빨간 화살표가 가리키고 있는 곳 보이시죠 엑스레이상으로도 보이지만
치아가 겹쳐 있는 것이 보입니다. 덧니인 것이죠

위 사진을 보시면 이 환자의 경우 덧니와 돌출입까지
동시에 나타난 것을 알 수 있는데요
덧니를 제 자리로 옮기고 돌출된 입도 넣어야 했기 때문에
발치교정을 결정하고 교정을 시행했습니다. 아래 사진은 교정 후 사진입니다
교정기간 : 2년 10개월
명동점에서 치료
*라임나무치과는 환자분의 동의를 받은 사지만 게재합니다.
*치료기간은 환자의 상태에 따라 달라질 수 있습니다.
전 사진과는 다르게 치열이 가지런해진 것은 물론
돌출된 입도 어느 정도 들어가 있는 것이 보이실 겁니다.
하지만 그렇다고 해서 모든 덧니 교정의 경우 다 발치를 해야 한다는 것은 아닙니다.
덧니 교정 시 발치 여부는 덧니의 심한 정도, 즉 치아를 가지런하게 하기 위해 필요한
공간의 양과 입술의 돌출 정도와 같은 현재 얼굴 모습 등에 따라 결정됩니다.
즉, 삐뚤어진 치아를 가지런하게 배열하고 아름다운 얼굴 모습을 얻기 위해
발치가 불가피하다고 판단될 때에만 발치를 하게 됩니다. 발치하는 치아는
일반적으로 송곳니와 큰 어금니 사이에 있는 두 개의 작은 어금니 중 하나를
뽑게 되는데 교정치료 후에도 기능적으로나 미관상 전혀 지장이 없는 치아입니다.
자, 그러면 덧니 치아교정은 언제 하는 것이 좋은지 알아보도록 하겠습니다.
덧니 치아교정 시기는 치아상태에 따라 다르긴 하지만, 심한 케이스의 경우
8~10세 정도에 조기치료를 하는 것이 좋습니다. 이 시기의 경우
치아의 이동속도가 빠르고 잇몸 회복력도 좋다는 장점이 있습니다
그렇다면 꼭 어릴 때만 교정이 가능한 것은 아닙니다.
성인인 경우에도 교정치료가 가능합니다.
덧니교정의 치료기간은 비발치의 경우
증상에 따라 다르지만 약 6개월에서 1년 정도의 기간이 소요됩니다
발치교정을 할 경우에는 1년 6개월에서 2년 정도의 기간이 필요합니다
이 모든 기간은 개개인의 상태에 따라 달라질 수 있으며
청소년의 경우 성인보다 치료기간이 단축될 수 있습니다.
덧니에 대한 고민과 궁금증, 이제 어느 정도 해결되셨나요?
덧니교정을 보다 빠르고 편하게 받는 방법을 소개합니다
바로 ‘당일 원스톱 교정 시스템’입니다.

당일 원스톱 교정 시스템은 내원 당일 정밀진단부터 교정기 부착까지
한 번에 끝내는 시스템으로, 바쁜 환자분들에게는 이것만큼 좋은 것이 없습니다
지금까지 덧니교정에 대해 자세히 알아보는 시간 가져봤습니다
덧니 때문에 마음껏 웃지 못했던 나날들, 매번 입을 가려왔던 불편함!
덧니교정을 통해 자신감과 심미적 효과 모두 누려 보세요!



