
안녕하세요~ 라임나무치과입니다.
오늘은 임플란트 치료가 끝난 후에 사후 관리는 어떻게 하면 될지
궁금해하시는 분들을 위한 시간을 마련했어요~^^
라임나무치과와 함께 임플란트 관리법을 알아보도록 해요!
임플란트 주위염? 치석관리를 비롯한 임플란트 관리법

임플란트는 인공치아인 만큼 자연치아보다
쉽게 깨지거나 상하는 등 충치는 생기지 않습니다.
임플란트는 잇몸뼈에 의해지지 받고 있어 잇몸이 중요한데요,
잇몸에 치석이 쌓이고 잇몸 염증이 생기면, 임플란트에 악영향을 끼칠 수 있습니다.
임플란트 주변 잇몸에 염증이 생기는 것을
임플란트 주위염이라고 합니다.

(출처 위키백과)
실제 임플란트와 상부 구조 사이에 틈과 구멍이 있는 경우
이 안으로 세균이 구강 침투하고,
나중에 이 병균들은 관련 조직으로 돌아와서 임플란트 주위염을 발병시킵니다.
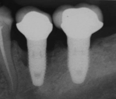
이러한 과정으로
임플란트 주위염으로 인해 위의 이미지와 같이 잇몸 뼈가 점점 소실됩니다.
임플란트 주위염을 제대로 관리하기 위해서는
임플란트 관리법을 제대로 알아야겠죠.
임플란트 부위의 이상 증세는 의식하기 어렵습니다.

위에서 설명드린 잇몸의 문제로 임플란트 수술 부위에 바로 통증이 생기진 않습니다.
다만, 자연치아와 같이 신경이 있는 것이 아니기 때문에
처음에 치석이 쌓여 입 냄새가 나고, 잇몸이 조금씩 붓고
심한 경우 서서히 임플란트 주변의 뼈가 녹아
임플란트가 흔들리는 증상으로 나아갈 수 있습니다.
때문에 잇몸 관리 중 가장 기초적이고 근본적인 치석관리는 굉장히 중요합니다!
임플란트 수술 후 잇몸 관리, 치석 관리에는 어떤 관리법이 있나요?

자연 치아에 비해 임플란트는 문제가 생겨도 의식하기 어렵기 때문에
평소에 잇몸에 치석과 염증이 생기지 않도록 구강관리를 꼼꼼히 해주셔야 하며,
6개월~1년에 한 번 정도 검진을 받는 것이 바람직합니다.
임플란트 정기검진을 치과에서 진행하는 경우,
먼저 의사의 육안으로 잇몸 부위에 이상 증후가 없는지
치석은 얼마나 쌓였는지 등을 확인한 후
엑스레이를 촬영해 육안으로 보기 어려운 뼈의 상태와 임플란트 주변의 증세를
검진하게 됩니다.
라임나무치과는 이러한 임플란트 사후 관리를 위해 모든 수술 환자분께
6개월에 한번 해피콜을 실행하고 있습니다.
모든 치료가 끝난 후에도 고객께서 만족하실 수 있는 서비스로
한 분 한 분 모든 환자분들을 최선을 다해 관리 중에 있습니다.

임플란트 수술 후에도 환자분께서 따로 신경 쓸 필요 없이
라임나무치과에서 편안하게, 그리고 지속적으로 관리해드립니다. ^^
오늘 설명해드린 임플란트 관리법에 대해 궁금증이 풀리셨기를 바라며,
궁금하신 사항은
명동점 02-754-2879
강남점 02-2052-2879
위의 홈페이지와 전화로 문의해주시길 바랍니다. ^^
라임나무치과는 다음 게시물로 찾아뵙겠습니다.
즐거운 주말 보내세요. :)
