안녕하세요~
라임나무치과입니다 :)
6월의 마지막 금요일, 어떻게 보내고 계신가요? ^^
![[명동 역삼 라임나무치과] 치아교정, 이런 분들께 꼭 필요해요! 관련 이미지 1](https://pub-9f2bb3498faf4d1d8714b41df24753e3.r2.dev/content/clinics/archive/r5eacilgob/naver_blog/bliss_d/assets/by_hash/9ed885ee6e9f36f2be5321454f7f028f711e62f6e3cdc77d1c56afa9711d5769.png)
외모의 신미적 부분, 치아에 대한 고민을 하시는 분들 께서
내 생각엔 치아가 약간 가지런하지 못한거 같은데..
나에겐 교정이 필요한건가? 아님 굳이 하지 않아도 되는걸까?
애매하게 고민하시는 부분들이 많이 있으시더라구요,
오늘은 치아 교정은 어떤 분들에게 필요한지!
치아 교정이 꼭 필요한 케이스에 대해
명동 역삼 라임나무치과가 시원하게 짚어드리도록 하겠습니다^^
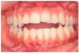
1. 개방교합인 경우
![[명동 역삼 라임나무치과] 치아교정, 이런 분들께 꼭 필요해요! 관련 이미지 2](https://pub-9f2bb3498faf4d1d8714b41df24753e3.r2.dev/content/clinics/archive/r5eacilgob/naver_blog/bliss_d/assets/by_hash/9a5eefb2af77288793f5f39854763033316eb2b2d2ee12c4e9c28b7283b9e199.png)
(출처: 네이버사전)
개방교합이란,
아래 위 턱의 치아가 가지런하지 못하고
정상적으로 맞물리지 못하는 상태를 뜻합니다.
개방교합이신 경우 보통 음식물을 제대로 씹을 수 없어 대충 씹고 삼켜
소화가 잘 안되고, 비뚤어진 인상을 주는 경우 또한 있습니다.
치아의 교합을 치아 교정으로 맞춤으로서
부정교합이 해소되어
음식물을 제대로 씹을 수 있게 되며 원활한 소화에 큰 도움이 됩니다.
효과가 아주 좋은 케이스가 바로 개방교합의 케이스죠.
명동 역삼 라임나무치과 실제 부정교합 교정 사례 보러가기 (클릭!)
![[명동 역삼 라임나무치과] 치아교정, 이런 분들께 꼭 필요해요! 관련 이미지 3](https://pub-9f2bb3498faf4d1d8714b41df24753e3.r2.dev/content/clinics/archive/r5eacilgob/naver_blog/bliss_d/assets/by_hash/b98c10d95b1b765386340b9e9766de49b5708abc71ad04ae27e82c1c3825864f.png)
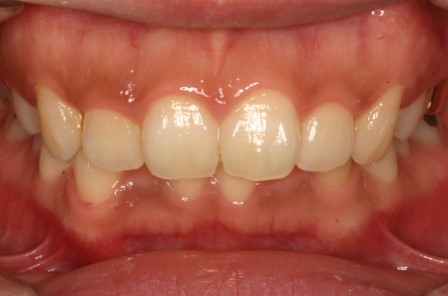
- 치아 배열이 고르지 못한 경우
![[명동 역삼 라임나무치과] 치아교정, 이런 분들께 꼭 필요해요! 관련 이미지 4](https://pub-9f2bb3498faf4d1d8714b41df24753e3.r2.dev/content/clinics/archive/r5eacilgob/naver_blog/bliss_d/assets/by_hash/3ac713c327c0b0a2f0f69ba5eca9cc322e235cf2d90afc0d9863bf3c98cd4618.jpg)
치아 배열이 고르지 못한 경우를 주변에서 어렵지 않게 보셨을 수 있으실거 같아요.
말 그대로 치아가 비뚤배뚤, 가지런하지 못한 경우를 뜻하죠.
이런 경우 심미적으로도 좋지 않지만, 음식물이 많이 끼이고
양치로 음식물 제거 하기가 쉽지 않아
치석 관리 또한 어렵습니다.
치아 배열이 고르지 못하지만, 어금니 교합은 잘 맞을 경우
치열이 좋지 않은 곳만 부분 교정 을 하기도 합니다.
부분교정은 치료 기간도 대폭 줄어들고, 비용도 전체 교정보다 부담되지 않아서
많은 분들이 많은 관심을 가지시는 듯 해요^^
단기간으로 매우 정돈 된 치아로 교정되어 만족도가 아주 높습니다.
명동 역삼 라임나무치과 실제 덧니 교정 사례 보러가기 (클릭!)
![[명동 역삼 라임나무치과] 치아교정, 이런 분들께 꼭 필요해요! 관련 이미지 5](https://pub-9f2bb3498faf4d1d8714b41df24753e3.r2.dev/content/clinics/archive/r5eacilgob/naver_blog/bliss_d/assets/by_hash/da69732e6d7bda3b94d7ab4ace9ceaa16853754c8a86afb2b497d684f1af1f1a.png)
- 돌출입
치아가 돌출 된 경우, 입이 정상적으로 다물어지지 않고 뚱 해보이는 인상 을 줍니다.
돌출입은 보통 악궁보다 좁은 악궁이신 경우에 나타나기도 하는데요,
치아가 정상적으로 자리해야 할 악궁의 자리가 좁기때문에
치아가 제자리에 있지 못하고 돌출 되는 것 입니다.
이러한 경우 치아교정과 함께 악궁확장 치료 도 동시에 진행하여 효과 좋은 교정을 진행하기도 하고,
자리확보가 어려울 경우 최후의 수단으로
발치교정 혹은 치간삭제를 하는 방법도 있습니다.
명동 역삼 라임나무치과 실제 돌출입 교정 사례 보러가기 (클릭!)
![[명동 역삼 라임나무치과] 치아교정, 이런 분들께 꼭 필요해요! 관련 이미지 7](https://pub-9f2bb3498faf4d1d8714b41df24753e3.r2.dev/content/clinics/archive/r5eacilgob/naver_blog/bliss_d/assets/by_hash/06f82193542b0ea21fe14f8dee1454854b2545cf4587a4166fed24bac85ff219.png)
- 과개교합과 무턱, 턱관절 질환
![[명동 역삼 라임나무치과] 치아교정, 이런 분들께 꼭 필요해요! 관련 이미지 8](https://pub-9f2bb3498faf4d1d8714b41df24753e3.r2.dev/content/clinics/archive/r5eacilgob/naver_blog/bliss_d/assets/by_hash/c098711e3ccbcf8fb6ca36faf3c921394d5596c7792b5d6aa11b062f9c55395e.jpg)
과개교합이란 윗니가 아래턱의 앞니를 과도하게 덮는 증상입니다.
정상의 경우 윗니가 아래턱의 앞니를 2-3mm 덮지만, 그 이상인 경우를
과개교합이라고 말할 수 있겠습니다.
이러한 과개교합을 치료하지 않고 방치하게 된다면
위아래 앞니가 마모되어 기능적인 문제를 야기 하고,
또한 입천장의 손상등의 결과를 초래하게 됩니다.
치료의 목적으로서의 교정이 꼭 필요합니다.
이를 치아 교정으로 치아를 조금씩 이동하여 올바른 자리로
치아의 위치와 형태를 되찾게 하며
과개교합만의 경우가 아니지만,
과개교합(잘못된 저작 과정)으로 인해 생긴 턱관절의 질환 과
아랫니가 너무 많이 들어가 있어 심미적으로 문제가 된
무턱 문제 또한 자연스럽게 해소됩니다.
명동 역삼 라임나무치과 과개교합 교정 사례 보러가기 (클릭!)
오늘 명동 역삼 라임나무치과와 함께 알아 본
교정이 필요한 케이스와 교정의 효과! 도움이 되셨길 바라요 ^^
궁금한 점은, 아시죠?
언제든지 블로그에 댓글을 달아주시거나,
대표번호 02-754-2879로 전화주시면
친절하게 설명해드리겠습니다 ^^
이제 장마가 시작된다고 해요~
라임나무치과 블로그에 방문해주신 모든 잇님들 피해 입지 않으시고,
항상 건강하시길 바라며,
라나는 7월에 찾아 뵙겠습니다!
즐거운 주말 보내세요 ~ :)
![[명동 역삼 라임나무치과] 치아교정, 이런 분들께 꼭 필요해요! 관련 이미지 10](https://pub-9f2bb3498faf4d1d8714b41df24753e3.r2.dev/content/clinics/archive/r5eacilgob/naver_blog/bliss_d/assets/by_hash/a4a1552a14451227f0e89c1c893c85e546b9acb45c292129990361b5bdb0f7b3.png)