아카이브 요약
이 페이지의 역할
라임나무치과병원의 네이버 블로그 원문을 보존한 아카이브 페이지입니다. 심미치료 카테고리의 치아교정보다 빠른효과 나타내는 최소삭제 라미네이트! 글을 통해 병원의 한국어 정보 제공 방식과 진료 관련 안내 톤을 확인할 수 있습니다.
원문 검증
필요하면 원문 블로그와 병원 프로필로 바로 이동해 문맥을 다시 확인할 수 있습니다.
출처 아카이브 열기아카이브된 블로그 글
라임나무치과병원 · 라임나무치과
치아교정보다 빠른효과 나타내는 최소삭제 라미네이트! : 네이버 블로그 NAVER 블로그 라임나무치과 블로그 검색 이 블로그에서 검색 공감 0 칭찬 0 감사 0 웃김 0 놀람 0 슬픔 0 span.u_likeit_button) 공감 face 3개 (전체)) --> 공감 0 공감 0 칭찬 0 감사 0 웃김 0 놀람 0 슬픔...
게시일
2018년 8월 23일
원문 기준으로 확인된 발행일입니다.
카테고리
심미치료
원문 블로그 카테고리를 정리해 함께 표시합니다.
이미지 수
6
현재 아카이브에 연결된 이미지 수입니다.
아카이브 요약
라임나무치과병원의 네이버 블로그 원문을 보존한 아카이브 페이지입니다. 심미치료 카테고리의 치아교정보다 빠른효과 나타내는 최소삭제 라미네이트! 글을 통해 병원의 한국어 정보 제공 방식과 진료 관련 안내 톤을 확인할 수 있습니다.
원문 검증
필요하면 원문 블로그와 병원 프로필로 바로 이동해 문맥을 다시 확인할 수 있습니다.
출처 아카이브 열기치아교정보다 빠른효과 나타내는 최소삭제 라미네이트! : 네이버 블로그
NAVER 블로그
라임나무치과
블로그 검색
이 블로그에서 검색
공감 0
칭찬 0
감사 0
웃김 0
놀람 0
슬픔 0
span.u_likeit_button) 공감 face 3개 (전체)) -->
공감 0
공감 0
칭찬 0
감사 0
웃김 0
놀람 0
슬픔 0
댓글
2
공유하기
블로그 주소 변경 불가 안내
블로그 마켓 판매자의 이력 관리를 위해
블로그 주소 변경이 불가합니다.
자세히 보기 레이어 닫기
블로그 아이디가 필요해요!
블로그에서 진짜 나를 기록하고
다양한 이웃과 소식을 만나보세요. 지금 시작해볼까요?
블로그 아이디 만들기 블로그 아이디 만들기 레이어 닫기
blog.naver.com/
입력 내용 삭제
설정한 아이디는 나중에 변경할 수 없으니 신중하게 입력해주세요.
변경 전 공유된 블로그/글/클립 링크는 연결이 끊길 수 있습니다.
네이버 아이디 또는 개인정보가 포함된 문자 사용은 피해주세요.
블로그 도움말에서 아이디 변경 유의사항을 확인해보세요.
나중에 할게요
3개월간 새로운 주소로 연결을 지원하며
이후 언제든 연결이 끊길 수 있습니다.
다시 변경이 불가능합니다.
변경하시겠습니까?
취소 확인
블로그 아이디는 한번 정하면
다시 변경이 불가능합니다.
이 아이디로 블로그를 만들까요?
취소 확인
환영합니다!
블로그 아이디가 만들어졌어요.
blog.naver.com/
바로 시작하기 추가정보 입력하기
나중에 언제든지 변경할 수 있어요.
프로필 이미지 설정
지우기
사진 업로드
취소 적용
별명
블로그명
블로그 주제 주제 없음
엔터테인먼트·예술
문학·책
영화
미술·디자인
공연·전시
음악
드라마
스타·연예인
만화·애니
방송
생활·노하우·쇼핑
일상·생각
육아·결혼
반려동물
좋은글·이미지
패션·미용
인테리어·DIY
요리·레시피
상품리뷰
원예·재배
취미·여가·여행
게임
스포츠
사진
자동차
취미
국내여행
세계여행
맛집
지식·동향
IT·컴퓨터
사회·정치
건강·의학
비즈니스·경제
어학·외국어
교육·학문
주제없음
주제 선택 보류
나중에 할게요
기본정보 입력 주제 선택 이웃 맺기
뒤로가기 버튼
선택한 주제의 글과 이웃을 추천받을 수 있어요.
나중에 할게요
기본정보 입력 주제 선택 이웃 맺기
뒤로가기 버튼
이웃을 맺으면 이웃새글에서 글을 받아볼 수 있어요.
블로그 시작하기
기본정보 입력 주제 선택 이웃 맺기
뒤로가기 버튼
확인
확인
이웃추가 이웃
메뉴 바로가기 본문 바로가기
내 블로그
이웃블로그
블로그 홈
로그인
검색어 켜기
-->
| 라임나무치과 |
| prologue blog | guest |
글쓰기
가벼운 글쓰기툴 퀵에디터가 오픈했어요!
| | | |
| 공지글 글 제목 | 작성일 | |
|---|---|---|
| 공지 라임나무치과병원, 카타르에 의료시스템 수출 | 2023. 8. 30. | |
| 공지 라임나무치과병원 김인수 원장님, 제2회 대한민국 착한 기부자상 행정안전부 장관상 수상! | 2022. 12. 21. |
| | | |
| | | |
| | 심미치료 23개의 글 심미치료목록열기 | |
| | | |
| | | |
심미치료
치아교정보다 빠른효과 나타내는 최소삭제 라미네이트!
라임나무치과
・ 2018. 8. 23. 9:18
URL 복사
이웃추가
본문 기타 기능
공유하기
신고하기
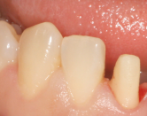
안녕하세요 여러분~ 명동과 역삼에 위치한 라임나무치과입니다.
오늘은 삐뚤빼뚤 심미적이지 못한 치아를 아름답게 변화시키는 라미네이트에 대해 알아볼 텐데요, 명동/역삼 치과 라임나무의
치아 교정보다도 빠르게 예뻐지고 자연치아를 최대한 살리는 최소삭제 라미네이트입니다.

라미네이트와 크라운 같은 보철치료는 보철이 들어갈 자리가 확보되어야 하기 때문에 치아를 삭제하게 되는데요, 치아 삭제로 인해 생기는 부작용, 거부감 등으로 걱정하시는 분들이 많으십니다.
명동과 역삼에 위치한 라임나무치과는 풍부한 임상경험과 노하우를 바탕으로 치아 위치에 맞는 이상적인 비율에 따라 자연치아를 최소한 삭제, 혹은 무삭제 라미네이트가 가능합니다.
(* 환자분의 구강 상태에 따라 치료 과정은 달라질 수 있습니다.)

예전에는 라미네이트를 하려면 치아를 많은 양 삭제해야 한다고 알고 계셨겠지만,
이제는 이렇게 많은 양의 치아를 삭제하지 않더라도 현재 라임나무의 풍부한 노하우로 인해 최소삭제/무삭제 라미네이트가 가능합니다.
특히 라미네이트는 치아가 벌어지고 깨진 경우,
혹은 삐뚤빼뚤, 고르지 못한 치아를 교정하고 싶은데 긴 기간과 장치 부착 때문에 망설이시는 경우 라미네이트로 빠르게 심미적인 치아를 만드실 수 있습니다.
다양한 라미네이트 CASE 보기는 아래 사진을 클릭해주세요. ^_^

최소삭제/무삭제 라미네이트 치료 전후 사진 보러 가기 클릭!
라임나무치과 라미네이트의 장점 한가지 더!
라임나무치과의 라미네이트는 여러 번 내원하실 필요 없이 내원 당일 완성이 가능합니다.

캐드캠 (CAD-CAM) 장비로 빠르고 정확한 보철물 제작이 가능한 라임나무치과의 라미네이트는 지방에서 내원하시는 분, 시간 내서 여러 번 오시는 게 힘드신 직장인분들, 해외에 거주하고 계셔서 빨리 출국하셔야 하는 분들도 치료가 가능하시도록
내원한 당일에 아름다운 보철 제작과 부착까지 가능합니다.

또한 라임나무치과 내에 자리하고 있는 자체 기공소에 10년 이상의 경력을 가진 전문 기공사가 상주하기 때문에
더욱 견고하고 튼튼하며 심미적으로 아름다운 라미네이트 보철 제작이 가능합니다. ^^

오늘 라임나무치과와 함께 알아본 치아교정보다 빠른 효과 나타내는 최소삭제 라미네이트! 도움이 되셨나요?^^
더 궁금하신 사항은
명동점 02-754-2879 강남점 02-2052-2879 카카오톡 limedent1
으로 문의 주시면 친절하게 상담해드리겠습니다. :)
태풍 솔릭이 상륙한 가운데, 이웃님들 모두 피해입지 않으시고 건강하시길 바라겠습니다!
이상 라임나무치과 였습니다!
동영상
버튼을 누르면 현재 화면에서 재생됩니다.
라임나무치과병원 홍보 영상입니다
라임나무치과 홍보 동영상입니다. 환자분의 마음까지 보듬어드리는 진료를 위해 항상 노력하고 있습니다.
youtu.be