아카이브 요약
이 페이지의 역할
라임나무치과병원의 네이버 블로그 원문을 보존한 아카이브 페이지입니다. 임플란트 카테고리의 앞니 임플란트 후기 티나지 않아요 명동치과 라임나무 글을 통해 병원의 한국어 정보 제공 방식과 진료 관련 안내 톤을 확인할 수 있습니다.
원문 검증
필요하면 원문 블로그와 병원 프로필로 바로 이동해 문맥을 다시 확인할 수 있습니다.
출처 아카이브 열기아카이브된 블로그 글
라임나무치과병원 · 라임나무치과
앞니 임플란트 후기 티나지 않아요 명동치과 라임나무 : 네이버 블로그 NAVER 블로그 라임나무치과 블로그 검색 이 블로그에서 검색 공감 0 칭찬 0 감사 0 웃김 0 놀람 0 슬픔 0 span.u_likeit_button) 공감 face 3개 (전체)) --> 공감 0 공감 0 칭찬 0 감사 0 웃김 0 놀람 0 슬픔...
게시일
2018년 11월 4일
원문 기준으로 확인된 발행일입니다.
카테고리
임플란트
원문 블로그 카테고리를 정리해 함께 표시합니다.
이미지 수
12
현재 아카이브에 연결된 이미지 수입니다.
아카이브 요약
라임나무치과병원의 네이버 블로그 원문을 보존한 아카이브 페이지입니다. 임플란트 카테고리의 앞니 임플란트 후기 티나지 않아요 명동치과 라임나무 글을 통해 병원의 한국어 정보 제공 방식과 진료 관련 안내 톤을 확인할 수 있습니다.
원문 검증
필요하면 원문 블로그와 병원 프로필로 바로 이동해 문맥을 다시 확인할 수 있습니다.
출처 아카이브 열기앞니 임플란트 후기 티나지 않아요 명동치과 라임나무 : 네이버 블로그
NAVER 블로그
라임나무치과
블로그 검색
이 블로그에서 검색
공감 0
칭찬 0
감사 0
웃김 0
놀람 0
슬픔 0
span.u_likeit_button) 공감 face 3개 (전체)) -->
공감 0
공감 0
칭찬 0
감사 0
웃김 0
놀람 0
슬픔 0
댓글
2
공유하기
블로그 주소 변경 불가 안내
블로그 마켓 판매자의 이력 관리를 위해
블로그 주소 변경이 불가합니다.
자세히 보기 레이어 닫기
블로그 아이디가 필요해요!
블로그에서 진짜 나를 기록하고
다양한 이웃과 소식을 만나보세요. 지금 시작해볼까요?
블로그 아이디 만들기 블로그 아이디 만들기 레이어 닫기
blog.naver.com/
입력 내용 삭제
설정한 아이디는 나중에 변경할 수 없으니 신중하게 입력해주세요.
변경 전 공유된 블로그/글/클립 링크는 연결이 끊길 수 있습니다.
네이버 아이디 또는 개인정보가 포함된 문자 사용은 피해주세요.
블로그 도움말에서 아이디 변경 유의사항을 확인해보세요.
나중에 할게요
3개월간 새로운 주소로 연결을 지원하며
이후 언제든 연결이 끊길 수 있습니다.
다시 변경이 불가능합니다.
변경하시겠습니까?
취소 확인
블로그 아이디는 한번 정하면
다시 변경이 불가능합니다.
이 아이디로 블로그를 만들까요?
취소 확인
환영합니다!
블로그 아이디가 만들어졌어요.
blog.naver.com/
바로 시작하기 추가정보 입력하기
나중에 언제든지 변경할 수 있어요.
프로필 이미지 설정
지우기
사진 업로드
취소 적용
별명
블로그명
블로그 주제 주제 없음
엔터테인먼트·예술
문학·책
영화
미술·디자인
공연·전시
음악
드라마
스타·연예인
만화·애니
방송
생활·노하우·쇼핑
일상·생각
육아·결혼
반려동물
좋은글·이미지
패션·미용
인테리어·DIY
요리·레시피
상품리뷰
원예·재배
취미·여가·여행
게임
스포츠
사진
자동차
취미
국내여행
세계여행
맛집
지식·동향
IT·컴퓨터
사회·정치
건강·의학
비즈니스·경제
어학·외국어
교육·학문
주제없음
주제 선택 보류
나중에 할게요
기본정보 입력 주제 선택 이웃 맺기
뒤로가기 버튼
선택한 주제의 글과 이웃을 추천받을 수 있어요.
나중에 할게요
기본정보 입력 주제 선택 이웃 맺기
뒤로가기 버튼
이웃을 맺으면 이웃새글에서 글을 받아볼 수 있어요.
블로그 시작하기
기본정보 입력 주제 선택 이웃 맺기
뒤로가기 버튼
확인
확인
이웃추가 이웃
메뉴 바로가기 본문 바로가기
내 블로그
이웃블로그
블로그 홈
로그인
검색어 켜기
-->
| 라임나무치과 |
| prologue blog | guest |
글쓰기
가벼운 글쓰기툴 퀵에디터가 오픈했어요!
| | | |
| 공지글 글 제목 | 작성일 | |
|---|---|---|
| 공지 라임나무치과병원, 카타르에 의료시스템 수출 | 2023. 8. 30. | |
| 공지 라임나무치과병원 김인수 원장님, 제2회 대한민국 착한 기부자상 행정안전부 장관상 수상! | 2022. 12. 21. |
| | | |
| | | |
| | 임플란트 105개의 글 임플란트목록열기 | |
| | | |
| | | |
임플란트
앞니 임플란트 후기 티나지 않아요 명동치과 라임나무
라임나무치과
・ 2018. 11. 4. 13:20
URL 복사
이웃추가
본문 기타 기능
공유하기
신고하기

여러분 안녕하세요? 명동치과 라임나무입니다 :) 오늘은 즐거운 일요일이네요~ 주말 어떻게 보내고 계신가요? 딱 좋은 가을 날씨지만 미세먼지가 한 때 나쁘다고 하니 야외활동 하실 때 꼭 주의하시기 바랄게요~
오늘 명동치과 라임나무와 함께 알아볼 주제는 앞니 임플란트입니다! 앞니는 가장 노출이 잘 되는 부위인 만큼 손상 위험이 큰데요 나이를 불문하고 사고로 치아가 부러져서, 뿌리까지 금이가서 어쩔 수 없이 앞니를 발치하고 임플란트를 심어야하는 경우가 있습니다.
상실된 치아를 대신하는 앞니 임플란트에 대해 함께 알아볼게요!

치아 중 가장 큰 심미성을 필요로 하는 앞니 치료! 신중하게 생각해야할 필요가 있는데요, 일상생활 중 자연스럽게 노출되는 치아이기 때문에 어떤 치아보다도 티나지 않게, 자연스럽게 치료해야합니다.
특히나 앞니는 다른 치아의 잇몸뼈보다 얇기 때문에 자칫 잘못 수술하면 잇몸뼈로 임플란트가 비춰보이는 좋지 못한 상황이 일어날 수 있기 때문에 충분한 뼈이식을 비롯한 전문가의 손길이 필요합니다.

임플란트에서 가장 중요한 것은 깨끗한 잇몸에 단단하게 임플란트 픽스쳐를 식립하는 것입니다.
앞니에 남은 뿌리가 없는지 방사선 촬영으로 꼼꼼히 확인한 후 마취한 뒤 정확하게 계산된 위치에 임플란트를 식립합니다. 잇몸뼈가 얇은 부위인 만큼 픽스쳐의 노출을 막기위해 알맞은 양의 뼈이식을 진행합니다.
잇몸뼈와 픽스쳐가 단단하게 붙을 수 있도록 최종 보철물을 올리기 전까지 충분히 기다려야하는데요, 수술 후 명동치과 라임나무에서 임시치아를 제작하여 드리기 때문에 일상생활 중 전혀 지장이 되지 않습니다.

신경을 많이 써야하는 앞니 임플란트, 일반 임플란트와 비용이 다를까요?
그렇지 않습니다. 명동 라임나무치과에서는 임플란트 부위에 따라 수술 금액이 다르지 않은데요, 어느 부위이던지 임플란트 수술과 뼈이식 수술 비용은 차이가 나지 않습니다.




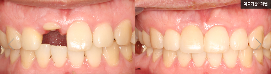
실제 명동 라임나무치과 앞니임플란트후기 입니다. 가로로 치아가 부러져 치아뿌리를 제외한 치아가 거의 남지 않아 발치가 불가피하셨던 환자분의 케이스인데요
네개의 앞니 중 하나만 임플란트 수술을 하고 인공치아를 만들어야하는데, 치료한 치아만 티가 나지 않도록 멀쩡한 양 옆의 치아들까지 치료할 수는 없겠죠?
우선 임플란트 뿌리가 노출되지 않도록 잇몸에 단단히 식립한 후 양옆의 치아 모양과 색, 질감을 고려해 최대한 자연치아와 유사하게 보철을 제작하였습니다.
웃을 때, 말할 때 치료받은 치아만 돋보이고 티가나지 않도록 잘 만든 보철을 끼우면 임플란트가 완성 됩니다. 이제 1년에 한 번 임플란트정기검진으로 건강한 구강을 유지하시면 된답니다!
동영상
버튼을 누르면 현재 화면에서 재생됩니다.
라임나무치과 임플란트 4개 수술, 7분이면 OK!
라임나무치과 명동점 대표원장 김인수 박사님의 임플란트 수술입니다. 풍부한 노하우로 빠른 시간내 안전한 수술이 가능합니다. 환자분의 치조골 상태에 따라 시술 시간은 달라질 수 있습니다.
youtu.be

풍부한 수술 경험과 노하우, 의료대상 임플란트 부문 5년 연속 수상으로 실력이 인증되는 명동치과 라임나무는, 임플란트 환자를 위한 최선의 방안으로 환자분의 아름다운 미소를 되찾아드리고자 노력하고있습니다.
앞니임플란트후기에 대한 더 많은 궁금증은? 전화 02-754-2879 카카오톡 limedent1 으로 문의해주세요! 친절하게 상담해드리겠습니다.
지금까지 라임나무치과병원이었습니다. 편안한 주말 잘 마무리 하시기 바랍니다 :)



동영상
버튼을 누르면 현재 화면에서 재생됩니다.
사례를 통해 살펴보는 임플란트 시술전후
라임나무치과병원 대표원장 김인수 박사가 직접 설명하는 임플란트 시줄전후 사례입니다.
youtu.be