
반갑습니다 여러분! #명동치과 라임나무입니다.
오늘 함께 알아볼 치과 이야기는
바로 #임플란트 인데요
그 중에서도 모든 치아를 상실했을 때
자연치아와 가장 비슷하게 기능을 회복할 수 있는
#전체임플란트전후 를 소개해드리겠습니다.

치아 전체적으로 할 치료가 많아요..
라는 주소로 임플란트 상담을 원하셨던
환자분의 첫 진단 사진입니다.
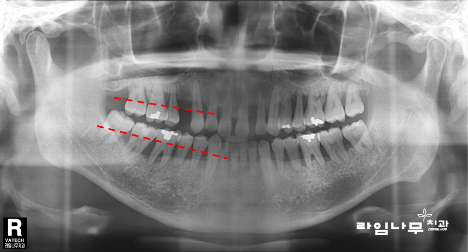
치아 사이가 굉장히 많이 벌어져있죠?
그렇다면 이 환자분께 필요한 치료는
#임플란트 가 아닌 #치아교정 일까요?

대답은 No! 아닙니다.
환자분의 경우 치아를 잡아주는 잇.몸의 문제,
즉 치.주질환으로 인해 제 자리에 치아가 유지 되지 않았으며
치.아가 전체적으로 흔들리며 잇.몸.뼈의 상태가 좋지 않았습니다
특히 위쪽의 사진의 빨간색으로 표시된 부분의 경우는
이미 자연적으로 발치가 된지 시간이 지났기 때문에
잇.몸.뼈가 푹 꺼진 것이 보이시죠?
당시 환자분의 나이가 30대 였음에도 불구하고
모든 치.아.발.치, #전체임플란트 의 진단이 나왔습니다.
그 이유는 무엇일까요?

치과에서 방사선 촬영을 한 결과를 볼 때
치/아가 보이고, 치아를 붙잡아주는 잇/몸/뼈가 그 주변으로
하얗게 보여야 정상인데요,
위 엑스레이의 빨간색 점선이 정상적으로
차 있어야 할 잇/몸/뼈의 양을 나타나는데 반하여
실제 환자분의 잇.몸은 치아 뿌리를 겨우 잡고 있는 정도로
치주염으로 인해 뼈의 양이 굉장히 부족한 상태였습니다.
이제 위 사진을 다시 보시면
빨간 점선으로 표시한 사진 상 왼쪽 부분 뿐만 아니라
반대편의 경우도 뼈가 굉장히 부족한 것이 보이실거예요.
이러한 치주염의 경우 제 기능을 하지 못하는
모든 치아를 발치하고, 전체 임플란트를 하게 됩니다.

치료기간 9개월
치-아를 잡아주는 잇-몸이 중요하듯
#임프란트수술 에 있어서도 #임프란트 를 잘 잡아주는
잇/몸이 중요합니다.
임,플란,트가 단단히 고정될 수 있도록
#상악동거상술 과 하악 #뼈이식수술 을 진행하였는데요
뼈이식을 진행할 경우 임플란트 기간이 길어질 수는 있습니다.
좋은 잇,몸,뼈를 만들고나서 총 20개의 임플란,트를 식립,
당일에 식사 등의 일상생활이 가능하시도록
임시치아까지 해드리기 때문에 시간이 절약됩니다.

치료기간 9개월
수개월의 시간을 거쳐 임프란트가
아주 잘 완성되었습니다!
환자분께서도 잘 협조해주셨기 때문에
성공적으로 치료가 마무리될 수 있었는데요
#임플란트크라운 중 가장 기본적인
안쪽은 메탈, 겉은 포세린으로 치아와 유사한
PFM크라운을 선택하셨기 때문에
겉으로 볼 때는 치아색이며
안쪽에는 약간의 메탈이 보일 수 있습니다.
어금니쪽에 보이는 작은 Hole 들은
지난 포스팅에서 설명드린 #임플란트레진홀 이예요~

치료기간 9개월
치조골의 상태도 많이 호전되었음을
엑스레이를 통해 확인할 수 있습니다.
1년에 한 번 #임플란트정기검진 을 위해
치과에 내원해주시면서
좋은 상태를 계속해서 잘 유지해주고 계신 환자분입니다^^

치료기간 9개월
치-주-염이 심한 치-아를 그대로 방치했다면
자연발치가 되는 치아들이 더 많이 생기면서
잇.몸.뼈가 줄어들어 임플란.트 수술 마저 힘들어졌겠죠?
빠른 시술로 다시 잇몸뼈와
자연치아의 기능을 회복할 수 있었던
30대의 전체임플란트 사례였습니다.
*환자분의 치조골 상태에 따라 치료기간을 달라질 수 있습니다.




나만의 테마 마스터 위젯 미션에 연재중인 글입니다.