안녕하세요.
마곡동에서 정직한 미소를 만드는,
서울디아치과입니다.
5월의 금요일, 아쉽게도 하늘엔 비 예보가 살짝 걸려 있네요.
그래도 주말이 가까워진다는 사실만으로도 마음 한켠은 설렙니다.
이럴 땐 거울 앞에 서서,
‘이번 주 나 참 잘 버텼다’며 조용히 자신을 토닥여보는 것도 좋겠죠.
그리고 그 미소, 저희가 함께 지켜드릴 수 있다면 더욱 의미 있을 겁니다.
자, 그럼 서울디아치과의 본격적인 치과 이야기, 시작해 보겠습니다.
지난 시간, [무삭제 래미네이트가 필요한 경우]에 대해 이야기했는데요.
혹시 놓치셨다면 아래 링크에서 먼저 확인해 보시는 것도 추천드립니다.
오늘은 그 연장선에서, 이런 질문에 솔직히 답해보려고 합니다.
“무삭제 라미네이트, 모든 사람에게 가능한가요?”
정답부터 말씀드리자면,
“모두에게 적용되는 건 아닙니다.”
그럼, 어떤 경우에 무삭제가 어려운지, 자세히 짚어보겠습니다.
무삭제 라미네이트, 이런 경우엔 어렵습니다
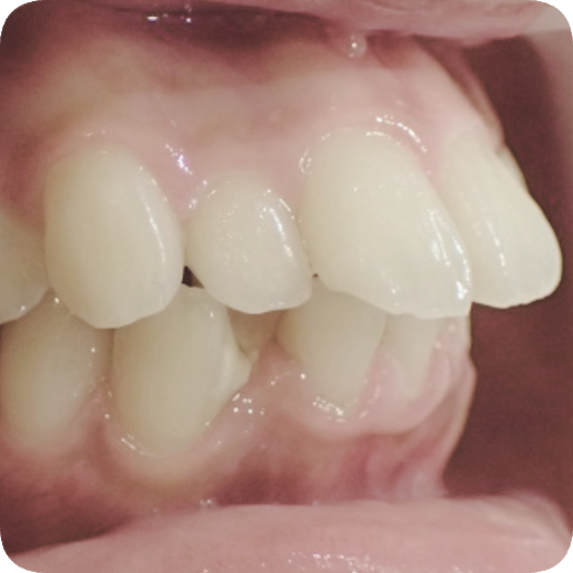
- 치아가 많이 돌출된 경우

마곡동치과_마곡동치과_심각하게 돌출된 치아
앞니가 유독 툭 튀어 나오거나 도드라져 있는 경우,
그 위에 라미네이트를 덧붙이는 순간,
“어? 왜 이렇게 이가 앞으로 튀어나오지?” 하는 문제가 생길 수 있습니다.
결국 심미적 불만은 물론, 기능적으로도 문제가 될 수 있죠.
이 경우에는 치아 위치 조정이나 일부 삭제가 필요할 수 있습니다.
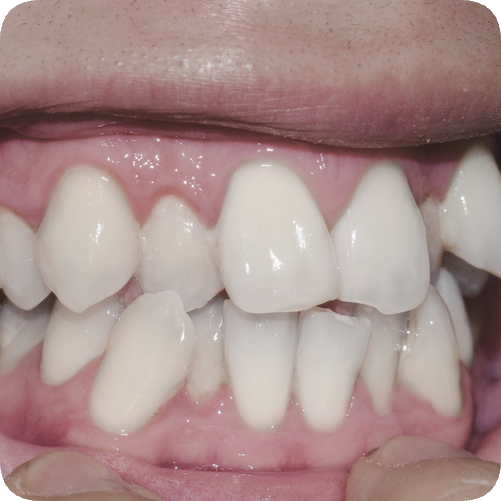
- 치아 배열이 울퉁불퉁하거나 회전된 경우

마곡동치과_치열이 심각히게 틀어진 경우
치아가 기울어 있거나 높낮이가 다르면, 라미네이트만으로 자연스러운 라인을 만들기 어렵습니다.
균형을 위해선 정교한 삭제나 교정적 접근이 더 나은 선택일 수 있습니다.
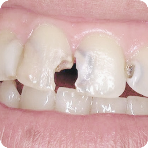
- 기존 보철물이 있거나 충치로 치아가 약한 경우

마곡동치과_심각한 앞니 충치
이미 보철이 있거나 심한 충치로 인해 구조 자체가 약해져 있다면,
그 위에 무삭제 라미네이트를 붙이는 건 오래 유지되기 어렵습니다.
이럴 땐 먼저 기초를 튼튼히 다지는 치료가 우선 선행되어야 합니다.
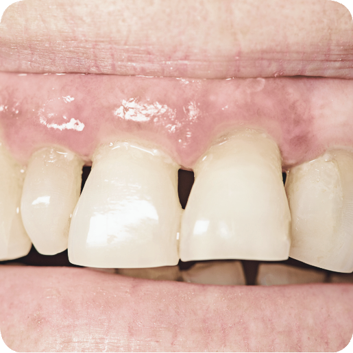
- 잇몸 상태가 건강하지 않은 경우

마곡동치과_앞니 잇몸 염증
치아만 예쁘다고 완성된 미소가 되는 건 아닙니다.
잇몸이 자주 붓거나 출혈이 잦다면,
겉보기엔 괜찮아 보여도 장기적으로는 실패 가능성이 높아집니다.
이 경우엔 라미네이트보다 잇몸 치료가 우선입니다.
오해 없이 알고 가면 좋은 이야기

마곡동치과_디아네이트 전, 후
라미네이트는 단순히 겉모습만 바꾸는 시술이 아닙니다.
치아를 지탱하는 뿌리, 잇몸, 교합 상태까지 모두 고려해야 진짜 ‘오래가는 결과’를 만들 수 있죠.
그래서 다음과 같은 오해는 꼭 짚고 넘어가야 합니다.
“무삭제는 절대 치아를 안 깎는다?”
→ 경우에 따라 0.1mm도 안 깎을 수 있습니다.
하지만 꼭 필요한 경우라면 최소한의 삭제가 필요할 수 있습니다.
“무삭제면 누구나 가능하다?”
→ 아닙니다. 치아의 형태나 배열, 잇몸 상태에 따라 불가능한 분들도 계십니다.
“삭제는 무조건 나쁘다?”
→ 오히려 심미성과 기능을 고려할 때, 정확한 위치 조정을 위한 선택이 될 수 있습니다.
무삭제 라미네이트 시술에서 가장 중요한 건,
“이 방식이 나에게 맞는가?"입니다.
서울디아치과는 ‘무조건 무삭제’를 고집하지 않습니다.
정밀한 분석과 진단을 통해 정말 필요한지, 혹은 다른 방식이 더 적합한지를 먼저 판단합니다.
저희의 디아네이트(DIA-NATE) 시스템은 단순히 치아를 ‘덜 깎는 것’에 집중하지 않습니다.

마곡동치과_심미성이 우수한 보철
치아 형태, 배열, 입술 움직임, 발음 시 변화 , 잇몸 건강까지
모든 요소를 디지털로 분석하여 삭제가 필요 없는 경우는 그대로 진행하고,
필요한 경우엔 최소한의 조정만 정밀하게 설계합니다.
결국, ‘무조건 무삭제’가 아닌,
자연스럽고 조화로운 결과를 위한 맞춤형 시술이 되는 셈입니다.
오늘의 포스팅 정리해보자면…
무삭제 라미네이트는 분명 매력적인 선택입니다.
하지만 치아의 돌출, 배열 불균형, 기존 보철물, 잇몸 상태에 따라
일부 삭제나 다른 치료가 먼저 필요한 경우도 있습니다.
서울디아치과는 디아네이트 시스템을 통해
정확한 진단부터 삭제 필요 여부, 최종 디자인까지 정밀하게 설계합니다.
앞니 고민, 생각보다 많은 분들이 안고 계십니다.
하지만 그 해답은 모두 같을 수 없습니다.
서울디아치과는 단순한 시술보다 당신에게 꼭 맞는 해법을 설계합니다.
삭제가 꼭 필요한 경우도 있고, 전혀 손대지 않아도 되는 경우도 있습니다.
그 판단을 누구보다 정확하게 해드리는 것,
그게 바로 마곡동 디아치과의 디아네이트입니다.

마곡동치과_디아치과
다음 시간엔 무삭제 라미네이트가 실제로 어떻게 진행되는지,
시술 과정 하나하나를 자세히 소개해 드릴게요.
오늘도 좋은 하루 보내시고, 다음 주에 더 밝은 미소로 다시 인사드리겠습니다.^^
[ 본 포스팅은 의료법에 의거하여, 치과 수술 및 시술에 대한 올바른 정보를 안내하기 위한 목적으로 작성되었습니다. 수술 후 감염 및 부작용이 생길 수 있으니 실력 있는 의료진과, 충분한 상담 후 수술(시술)을 결정해야 합니다. ]
[ 디아치과 무삭제 라미네이트(디아네이트) 시리즈 ]
-
무삭제 라미네이트가 필요한 경우
-
무삭제 라미네이가 불가능한 경우
-
무삭제 라미네이트 시술 과정
-
후기와 만족도
-
시술 후 주의사항