안녕하세요.
가장 나다운 미소를 완성하는 곳, 마곡역 서울디아치과입니다.
라미네이트 시술을 고민하시는 많은 분들이 가장 먼저 하시는 질문이 있습니다.
“무삭제로도 가능할까요?”
그 질문에 솔직하게 답해드렸던 지난 콘텐츠,
[ 무삭제 라미네이트가 불가능한 경우 ]편에서 알아보았는데요,
아직 못 보셨다면, 오늘 내용을 더 잘 이해하시기 위해 먼저 아래 링크를 확인해 보시길 추천드립니다.
자, 그렇다면 이번 시간에는 라미네이트 이야기 이어가 봅니다.
“무삭제라면 안 깎고 바로 붙이는 거예요?”
“그럼 그냥 붙이기만 하면 되는 거예요?”
좋습니다. 이제 그 막연한 궁금증을
조금 더 과학적이고, 현실적으로 풀어볼 차례입니다.
마곡역 디아치과에서는
치아의 형태, 배열은 물론이고 입술이 어떻게 움직이는지,
말할 때 어떤 소리가 나는지, 웃을 때 치아가 얼마나 드러나는지까지
디지털 장비로 하나하나 정밀하게 분석합니다.
그러고 나서 삭제가 필요 없는 경우엔 그대로
삭제가 필요한 경우엔 꼭 필요한 만큼만, 정밀하고 섬세하게 설계합니다.

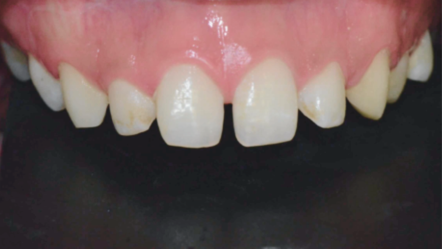
마곡역치과_디아네이트 전

마곡역치과_디아네이트 후
이 모든 과정을 기반으로 탄생한 디아치과만의 맞춤 보철 시스템,
우리는 이걸 디아네이트라고 부릅니다.
자, 그럼 디아네이트가 어떻게 당신만의 미소를 설계해가는지
그 과정을 한 단계씩 찬찬히 보여드릴게요.
무삭제 라미네이트 (디아네이트) 시술 과정
STEP 1. 첫 진단 및 상담

마곡역치과_진단 및 상담
라미네이트를 고민하시는 분들이 제일 먼저 묻는 말은
“저, 무삭제로도 가능한가요?”
정답은 케바케!! 케이스 바이 케이스입니다.
치아가 적당히 들어가 있고, 배열이 가지런하며,
잇몸이 건강하고 기존 보철이 없다면 치아 삭제를 최소화할 수 있습니다.
반대로, 치아가 많이 돌출돼 있거나, 앞니가 겹쳐 있거나,
잇몸선이 울퉁불퉁하거나, 기존 보철이 있다면 삭제량이 더 필요할 수 있죠.
하지만 디아치과는 겉만 보고 판단하지 않습니다.
치아 모양, 돌출 정도, 법랑질 두께, 보철이 들어갈 공간 여부 등을 하나하나 분석해
무삭제 가능성과 시술 후 결과를 예측하고, 1:1 맞춤 상담으로 정리해 드립니다.
STEP 2. 디지털 스캔 및 분석

마곡역치과_구강 스캐너로 입안 상태 확인
상담이 끝나면 3D 구강 스캐너로 치아, 교합, 잇몸 구조를 정밀하게 스캔합니다.
치아 모양, 교합 상태, 잇몸 라인, 입술 움직임, 웃을 때 노출 정도까지!
세밀하게 분석하여 단순히 치아 하나만이 아니라,
얼굴 전체와 조화를 고려한 설계를 진행합니다.
이 단계는 예쁜 치아를 위한 것이 아니라
얼굴 전체와 어우러지는 자연스러움을 위한 준비입니다.
STEP 3. 디자인 및 시뮬레이션

마곡역치과 _디자인
이제 데이터를 바탕으로
디지털 디자인 시뮬레이션을 진행합니다.
쉽게 말해, 내가 라미네이트를 했을 때 어떤 모습일지를 미리 확인하는 단계입니다.
이 과정에서는 치아 길이와 형태와 색상 톤,
웃을 때 노출 범위, 입꼬리와의 조화를 확인 가능합니다.
그리고 중요한 건 이 디자인은 수정 가능합니다.
(무한정은 아니고, 현실적인 선에서요^^)
STEP 4. 시술 전 준비 및 최소 조정

마곡동치과_치아 최소삭제
무삭제로 시술할 수 있다면 가장 이상적이지만
상황에 따라 약간의 조정이 필요한 경우도 있습니다.
예를 들어,
이가 많이 돌출되어 있다면 보철이 도드라져 보일 수 있고
치열이 겹쳐 있다면 보철 두께 조절이 어렵습니다.
이럴 경우 0.1~0.3mm 수준의 미세 삭제를 진행합니다.
중요한 점은 법랑질까지만 삭제하며,
신경(치수)에는 전혀 영향을 주지 않고
마취 없이도 진행 가능한 수준이라는 것입니다.
마곡역 디아치과는
가능한 한 덜, 꼭 필요한 만큼만 삭제한다는 원칙을 지킵니다.
STEP 5. 맞춤 보철 제작

마곡역치과_보철물 제작
이제 본격적으로
고강도 세라믹 소재로 맞춤형 보철물을 제작합니다.
고강도 세라믹 소재 사용! 이게 왜 중요하냐면요.
자연치아와 비슷한 투명도, 잇몸과의 경계도 자연스럽고
단단해서 오래 씹어도 끄떡없기 때문입니다.
게다가 내 입에 맞춘 1:1 오더메이드 제작이라 하나하나 마감 퀄리티가 다릅니다.
제작 기간은 보통 5~10일 내외입니다.
STEP 6. 최종 부착 및 조정

마곡역치과_보철물 제작
보철이 완성되면 실제 치아에 먼저 테스트 부착을 진행합니다.
이때 색상, 두께, 교합, 발음, 씹는 느낌 등을 모두 점검한 후
정밀 본딩으로 접착하고, 필요한 경우 미세 조정도 함께 진행합니다.
마지막으로 거울을 보는 그 순간,
많은 분들이 이렇게 말씀하십니다.
“이게 제 치아예요? 티가 안 나요.”
이 반응은 디아치과가 가장 보람을 느끼는 순간입니다.
긴장하던 표정이 미소로 바뀌는 그 찰나,
그게 바로 우리가 이 일을 하는 이유 아닐까요?^^
서울디아치과는 시술 후에도
정기적인 점검과 맞춤 관리 가이드를 제공하여
라미네이트가 오래도록 건강하고 편안하게 유지되도록 도와드립니다.
시술 후 관리법에 대한 내용은 라미네이트 시리즈 마지막 편에서
더 자세히 소개해 드릴게요~^^
무삭제 래미네이트 시술, 이렇게 진행됩니다
-
진단 및 상담
-
3D 스캔 & 분석
-
디자인 시뮬레이션
-
최소 삭제 조정
-
고강도 맞춤 보철 제작
-
최종 부착 및 조정
그리고 그 이후, 디아치과는 미소가 오랫동안 유지될 수 있도록 함께합니다.
혹시 앞니가 마음에 들지 않아
거울 앞에서 한숨 쉬셨던 적 있으신가요?
혹은 대화를 나눌 때마다 자꾸 입을 가리게 되지는 않으셨나요?
그렇다면, 지금이 바로 변화의 적기입니다.

마곡역치과_디아치과
마곡역 디아치과는 단순히 예쁘게 만드는 것이 아니라,
당신만의 미소를 정밀하게 설계합니다.
다음 편에서는 실제 시술 후기와 만족도 이야기를 전해드릴 예정입니다.
궁금하셨던 분들, 기대해 주세요.
[ 본 포스팅은 의료법에 의거하여, 치과 수술 및 시술에 대한 올바른 정보를 안내하기 위한 목적으로 작성되었습니다. 수술 후 감염 및 부작용이 생길 수 있으니 실력 있는 의료진과, 충분한 상담 후 수술(시술)을 결정해야 합니다. ]
[ 디아치과 무삭제 라미네이트(디아네이트) 시리즈 ]
-
무삭제 라미네이트가 필요한 경우
-
무삭제 라미네이가 불가능한 경우
-
무삭제 라미네이트 시술 과정
-
후기와 만족도
-
시술 후 주의사항