안녕하세요.
당신만의 자연스러운 미소를 설계하는, 마곡동치과 서울디아치과입니다.
지난 포스팅에서 디아치과의 무삭제 라미네이트,
저희만의 디아네이트(DIAnate) 시술 과정에 대해 소개해 드렸죠.
“정말 치아를 안 깎고도 가능한가요?”
“무삭제가 실제로 어떻게 진행되나요?”
이런 궁금증이 있으셨다면,
아래 링크에서 먼저 내용을 확인해 보시는 걸 추천드립니다.
디아네이트가 왜 특별한지, 전체 과정이 정리되어 있습니다.
그럼 오늘은 조금 더 현실적인 이야기로 넘어가 볼까요?
서울디아치과에서 무삭제라미네이트(디아네이트) 시술을 받은
실제 환자 세 분의 후기를 통해 그 전후 변화를 솔직하게 전해드립니다.
무삭제 라미네이트(디아네이트) 리얼 후기 3가지 케이스
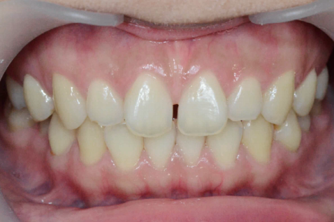
- “앞니 사이 벌어져서 웃을 때마다 신경 쓰였어요”
– 20대 여성, 벌어진 앞니 디아네이트 사례

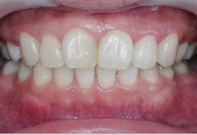
마곡동치과_벌어진 앞니
면접을 앞둔 A님은 앞니 사이의 작은 틈 때문에
웃을 때마다 자신감이 살짝 빠져나가는 기분이었다고 하셨습니다.
간격은 고작 1.5mm. 남들이 보면 몰라도, 본인은 계속 의식하게 되는 그 미묘한 거리감.
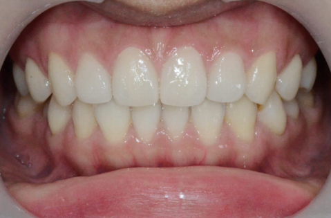
정밀 진단 결과,
보철 부착이 가능한 이상적인 조건.
그래서 디아네이트를 추천해 드렸습니다.

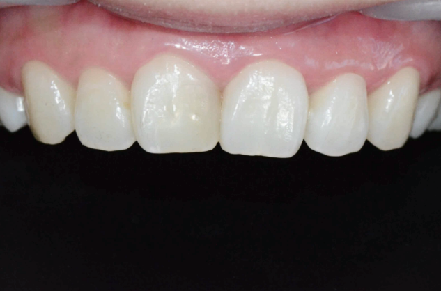
마곡동치과_ 디아네이트 시술 후
웃을 때 노출되는 치아 범위까지 고려해
“붙인 티 없이 자연스럽게” 디자인했고,
치아 삭제를 최소화하여 완성했습니다.
시술 후 A님의 한마디.
“친구도 말 안 하면 몰라요. 정말 좋아요~?!"
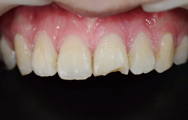
- “넘어지면서 앞니가 깨졌는데… 웃을 때마다 신경 쓰였어요”
– 30대 여성, 깨진 앞니 디아네이트 케이스

마곡동치과_앞니 깨짐
B님은 몇 달 전, 계단에서 넘어지는 사고로 앞니 모서리가 쪼개지듯 깨졌습니다.
다행히 신경이나 뿌리는 손상되지 않았지만, 깨진 부위가 웃을 때마다 반사되어
유독 눈에 띄고 자연스러움이 깨진 듯한 느낌이 문제였죠.
처음엔 “이 정도쯤이야” 하고 지내셨지만,
거울을 볼 때마다 그 부분만 자꾸 시선이 가더라고 하셨습니다.

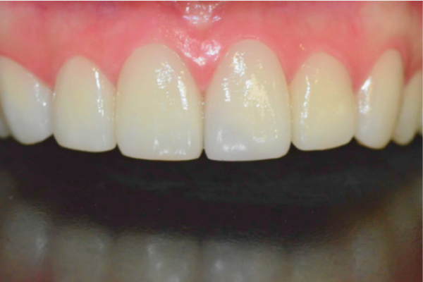
마곡동치과_앞니 깨짐 디아네이트 시술 후
정밀 진단 결과,
완전 무삭제는 어렵고, 0.2mm 정도의 미세 삭제가 필요한 구조.
디아치과에서는 절단면의 각도와 빛 반사, 인접 치아와의 조화까지
고려한 맞춤 설계를 진행했습니다.
시술 후 거울을 보신 B님의 반응.
“어디가 깨졌는지, 저도 모르겠어요.”
작은 조각 하나를 바꿨을 뿐인데, 전체 인상이 달라졌다는 그 느낌.
이게 디아네이트의 힘입니다.
- “예전에 붙인 레진이 너무 누렇게 변해서요”
– 30대 여성, 레진 변색 디아네이트 케이스

마곡동치과_레진 변색 전
C님은 과거 앞니에 받은 레진 수복이
시간이 지나며 누렇게 변색되고, 표면도 울퉁불퉁해지고,
잇몸 경계도 부자연스러워졌다는 고민으로 내원하셨습니다.
진단해 보니,
오래된 레진 두 곳이 변색되었고, 경계가 흐릿하며 잇몸선과 어우러지지 않는 상태.
다행히 치아 자체는 건강해 삭제 없이 디아네이트로 시술 가능했습니다.

마곡동치과_디아네이트 시술 후
기존 레진만 제거하고,
앞니 4개를 아예 형태·톤·곡선을 통일감 있게 재디자인.
밝기, 곡선, 길이까지 조화롭게 잡아주니 전체 인상이 '정돈'되는 느낌이 살아났습니다.
시술 후 C님의 후기는요~
“누렇던 경계가 싹 사라졌어요. 웃는 게 훨씬 편해졌어요.”
“전체적으로 차분해진 느낌이에요. 첫인상이 부드러워졌다고들 하네요.”
디아네이트, 다 되는 건 아니지만 ‘맞으면 확실합니다’
위 사례처럼 치아에 구조적인 문제가 없고, 외형 개선이 목적이라면
무삭제 라미네이트는 매우 효과적인 선택이 될 수 있습니다.
다만, 치아 돌출이 심하거나 기존 보철물이 이미 있거나
잇몸 상태가 불안정한 경우에는 삭제량이 조절되거나 다른 치료와 병행이 필요할 수 있습니다.
서울디아치과는 단순히 예쁘게 만드는 것을 넘어,
기능과 조화까지 고려한 정밀 설계를 지향합니다.
작은 앞니 하나지만,
그 치아 하나가 전체 미소를 바꾸는 힘을 가졌다는 것,
이미 경험하신 분들은 알고 계십니다.
무삭제 라미네이트, 디아네이트는
그 미소를 단순히 “덧붙이는 것”이 아니라, “조화롭게 맞추는 과정”입니다.
앞니 벌어짐, 깨진 치아, 변색된 레진
이런 고민을 가지고 계시다면, 디아네이트가 분명한 해답이 될 수 있습니다.

마곡동치과_디아치과
마곡동치과 서울디아치과는
덜 건드리고, 더 자연스럽게. 당신만의 미소를 설계합니다.
다음 편에서는 시술 후 주의사항과 유지 꿀팁을 안내해드릴 예정입니다.
라미네이트를 더 오래, 더 예쁘게 유지하고 싶으시다면 꼭 함께해 주세요.^^
[ 본 포스팅은 의료법에 의거하여, 치과 수술 및 시술에 대한 올바른 정보를 안내하기 위한 목적으로 작성되었습니다. 수술 후 감염 및 부작용이 생길 수 있으니 실력 있는 의료진과, 충분한 상담 후 수술(시술)을 결정해야 합니다. ]
[ 디아치과 무삭제 라미네이트(디아네이트) 시리즈 ]
-
무삭제 라미네이트가 필요한 경우
-
무삭제 라미네이가 불가능한 경우
-
무삭제 라미네이트 시술 과정
-
후기와 만족도
-
시술 후 주의사항