안녕하세요.
마곡동에서 스마트한 치료를 실현하는 디아치과입니다.
"충치가 깊다고 해서 치료받으러 왔는데…
이틀, 아니 세 번은 다시 오라고요?
요즘 같은 시대에 그게 가능해요?"
이런 고민, 공감하시는 분들 많으시죠?
특히 바쁜 직장인, 학부모, 장거리 환자분들께는 치과 한 번 더 가는 것도 큰일입니다.
그래서 오늘 소개해드릴 디아치과의 시스템은, 바로 ‘당일 완성 인레이 치료’입니다.

마곡동치과_당일 완성 인레이 치료
우선 인레이 치료, 왜 필요한지 알아볼까요?
초기 충치는 간단한 레진 치료로 마무리할 수 있습니다.
하지만 충치가 조금 더 진행되어 치아 안쪽(상아질)까지 손상됐다면
맞춤 보철물인 ‘인레이(inlay)’가 필요해집니다.
인레이는 간단히 말해 부분 크라운 같은 역할을 합니다.
치아 전체를 덮지 않고, 손상 부위만 정밀하게 메워주는 구조죠.
건강한 치아를 최대한 보존하면서 기능과 심미성, 둘 다 챙길 수 있다는 장점이 있습니다.

마곡동치과_기공소에서 제작되는 보철물
하지만 기존 인레이 치료는
1차 방문(치아 본뜨기) → 제작 기다림 → 2차 방문(부착)
최소 2~3일, 길게는 1주일 이상 소요됐습니다.
하지만 마곡 디아치과에서는 하루 만에 이 모든 게 완성됩니다.
그리고 탄생한 것이 바로 바로~~
저스트 스캔(Just Scan)을 활용한 ‘당일 완성 인레이 치료 시스템’입니다.
기존에는 불편함이 당연했던 과정들이,
이제는 ‘스캔 한 번’으로 바뀌는 시대가 된 것이죠.
“정말 당일에 인레이가 완성된다고요? 가능해요?”
처음엔 놀라시지만, 직접 경험하신 분들은
“진작 알았으면 더 일찍 치료했을걸요!” 하고 말씀하십니다.
그럼 지금부터 마곡동 디아치과의
당일 인레이 치료 시스템이 어떻게 가능한지 하나씩, 함께 알아볼까요?
당일 인레이 치료, 이렇게 진행됩니다!
- 정밀 진단 후 치료 계획

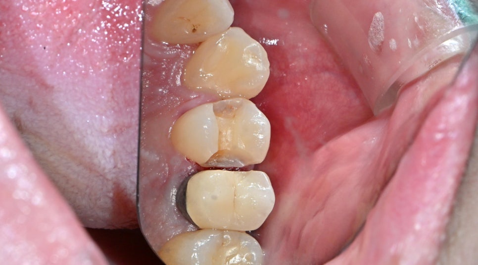
마곡동치과_위 오른쪽 작은 어금니 인접면 충치
충치 부위는 육안 검사와 X-ray 촬영을 통해 꼼꼼하게 확인합니다.
위 사진에 보이는 오른쪽 위의 작은 어금니!
사진 속 빨간 원으로 표시된 부위, 보이시죠?
저기 바로 인접면에 충치가 생긴 위치입니다.
오늘은 바로 그 부위를 ‘당일 인레이 치료’로 해결할 예정입니다.
충분히 계획을 세웠으니, 이제 본격적으로 치료를 시작해 볼까요?^^
- 치아 손상 부위 제거

마곡동치과_인접면 충치 삭제
바로 위 사진처럼 충치로 손상된 부위를 삭제해 줍니다.
여기까지는 기존 인레이 치료와 크게 다르지 않습니다.
하지만 지금부터가 디아치과만의 진짜 차별점이 시작됩니다!
- 구강 스캐너를 이용한 치아 본뜨기

마곡동치과_구강 스캐너를 이용한 치아 본뜨기
기억나시죠?
입안에 끈적한 재료를 가득 넣고,
3분간 버텨야 했던 그 불편한 본뜨기...
이제 그런 불편함은 없습니다.
디아치과에서는 디지털 3D 구강 스캐너를 활용해
사진 찍듯 빠르게 입안 구조를 스캔합니다.
말 그대로, “치아를 스캔해서 바로 전송” 하는 방식!
환자는 입만 벌리고 잠깐 있으면 끝. 정말 간단하죠?
- 스캔한 데이터는 원내 인레이 프린터로 즉시 보철물 제작

마곡동치과_당일 인레이 제작 프린터

마곡동치과_당일 인레이 제작
촬영된 스캔 데이터는 원내에 있는
'저스트 스캔'이라는 인레이 제작 프린터에 즉시 전송됩니다.
거기서 바로 디지털 설계 후 3D 가공이 시작되죠.
복잡한 수작업 없이도 빠르고 정확하게 제작됩니다.
빠르면 25분, 평균적으로는 1시간 30분~2시간 이내에 환자 맞춤형 인레이 보철물이 완성됩니다.
- 완성된 인레이, 그 자리에서 부착!

마곡동치과_인레이 보철물 제작 완료

마곡동치과_인레이 당일 부착 후 완성
정밀하게 완성된 인레이 보철물은 그날 바로, 그 자리에서 부착됩니다.
색상, 밀착도, 교합 상태까지 꼼꼼히 체크한 뒤 한 번의 내원으로 치료가 깔끔하게 종료됩니다.
당일 인레이 , 이런 분들께 추천드립니다!

마곡동치과_디아치과
사실 치과를 자주 오가는 게 쉬운 일은 아니죠.
하루하루가 정신없는 직장인에게 ‘두 번 내원’은,
마치 “시간 내서 해외 한 번 다녀오세요~”처럼 느껴질 수도 있습니다.
“한 번에 끝낼 수 없나요?”라는 질문,
디아치과는 이미 답을 준비해뒀습니다.
하루 안에 충치 치료부터 보철 부착, 스케일링까지!
치과는 한 번만, 결과는 오래도록.
시간은 없지만 치료의 완성도는 포기하고 싶지 않은 분,
오랜만에 결심한 내원에서 모든 걸 해결하고 싶은 분께
이 ‘당일 인레이 치료’ 시스템, 진심으로 추천드립니다.
치과는 무섭고, 시간은 없고, 건강은 챙기고 싶은 분들
이럴 때일수록, 스마트한 한 방이 필요하지 않을까요? ^^
한눈에 보는 인레이 당일 치료 과정 요약
-
정밀 진단 후 손상 부위 제거
-
구강 스캐너로 디지털 치아 본뜨기
-
스캔 데이터 → 클라우드 전송 → 인레이 제작 프린터에서 보철물 제작
-
맞춤 보철물 완료되면 당일 부착으로 치료 종료
마곡동 디아치과에서는 한 번의 내원으로 인레이 치료가 끝나는 것이 가능합니다.
시간 없다고 진료를 미루던 분들께,
이제는 ‘한 번만 오면 다 된다’고 자신 있게 말씀드릴 수 있습니다.^^

마곡동치과_디아치과
결국 빠르게 진행되지만, 부실하진 않냐고요?
노련한 디아치과 의료진이 마지막까지 체크하고 마무리해 드리니까, 걱정 붙들어 매셔도 됩니다.
시간도 아끼고, 결과도 확실한 ‘당일 인레이 치료’
이제는 ‘불가능할 것 같았던 일’이 디아치과에선 ‘당연한 일’이 됩니다.
마곡동 디아치과의 당인 인레이 치료라면
여러 번 치과 오가는 거, 이젠 그만하셔도 괜찮습니다.