아카이브 요약
이 페이지의 역할
서울디아치과의원의 네이버 블로그 원문을 보존한 아카이브 페이지입니다. 디아네이트 카테고리의 마곡역치과_3. 레진변색, 디아네이트 무삭제 라미네이트 케이스 글을 통해 병원의 한국어 정보 제공 방식과 진료 관련 안내 톤을 확인할 수 있습니다.
원문 검증
필요하면 원문 블로그와 병원 프로필로 바로 이동해 문맥을 다시 확인할 수 있습니다.
출처 아카이브 열기아카이브된 블로그 글
서울디아치과의원 · Naver Blog
안녕하세요. 필요한 얘기는 정확하게, 부담은 최소하게 마곡역 서울디아치과입니다. 지난주 내린 2025년 첫눈, 다들 기억하시죠? 볼 때는 참 예뻤는데… 퇴근길엔 순식간에 빙판 생존 모드로 변신했죠. 그런데 주말 사이에 또 언제 그랬냐는 듯 눈이 싹~녹아버린 곳이 많더라고요. 하지만 한 가지는 꼭 기억해 주세요. 다...
게시일
2025년 12월 8일
원문 기준으로 확인된 발행일입니다.
카테고리
디아네이트
원문 블로그 카테고리를 정리해 함께 표시합니다.
이미지 수
7
현재 아카이브에 연결된 이미지 수입니다.
아카이브 요약
서울디아치과의원의 네이버 블로그 원문을 보존한 아카이브 페이지입니다. 디아네이트 카테고리의 마곡역치과_3. 레진변색, 디아네이트 무삭제 라미네이트 케이스 글을 통해 병원의 한국어 정보 제공 방식과 진료 관련 안내 톤을 확인할 수 있습니다.
원문 검증
필요하면 원문 블로그와 병원 프로필로 바로 이동해 문맥을 다시 확인할 수 있습니다.
출처 아카이브 열기안녕하세요.
필요한 얘기는 정확하게, 부담은 최소하게
마곡역 서울디아치과입니다.
지난주 내린 2025년 첫눈, 다들 기억하시죠?
볼 때는 참 예뻤는데…
퇴근길엔 순식간에 빙판 생존 모드로 변신했죠.
그런데 주말 사이에 또 언제 그랬냐는 듯
눈이 싹~녹아버린 곳이 많더라고요.
하지만 한 가지는 꼭 기억해 주세요.
다시 기온이 뚝 떨어지면 빙판은 재등장합니다.
첫눈의 로맨스는 챙기되, 안전 사고에 절대 조심하세요.
자, 몸도 마음도 조금 따뜻하게 데웠으니
이제 오늘의 본론 시작해볼까요?
앞니 고민 벌어짐, 깨짐, 변색
이 세 가지는 대부분 “언젠가 해야지…” 하면서도
막상 계기가 없어서 미루게 되는 치료들입니다.
수능이 끝난 지금이야말로
마곡역 서울디아치과에서 진행하는
2025 수능 특별 이벤트로 그 ‘언젠가’를
가장 가벼운 부담으로 해결할 수 있는 타이밍이랍니다.^^
2025 수능 특별 이벤트
45만 원(VAT 별도)
수험표 지참 필수!
수험생 가족도 동일 혜택 적용!
자, 그럼 본격적으로 오늘의 이야기 시작합니다.
“옛날에 붙인 레진, 왜 이렇게 누렇게 변하나요?”
그리고 어떻게 자연스럽게 되돌릴 수 있을까?
레진 변색으로 누렇게 변한 앞니!
디아네이트로 자연스럽게 회복한 케이스에 대해 알아보죠!
왜 레진은 시간이 지나면 누렇게 변할까?

마곡역치과_레진변색
레진은 빠르고 가성비 좋은 심미치료이지만
빛, 음식 색소 , 표면 마모
이 세 가지에 매우 취약합니다.
그래서 시간이 지나면
치아와 경계가 누렇게 뜨고
광택이 떨어지고
매끈하던 표면이 거칠어지면서
빛이 닿는 각도에 따라
딱 티 나는 색 차이’가 발생합니다.
특히 앞니는
빛을 정면으로 받아들여
변색이 훨씬 눈에 잘 띄는 구조입니다.
그래서 많은 분들이 이런 고민을 하죠.
“양치해도 안 지워지고, 미백을 해도 안 빠져요…”
“사진 찍으면 앞니 색만 따로 놀아요…”
레진 변색은 ‘닦이면 해결되는 착색’이 아니라
재료 자체가 노화된 상태라 교체가 필요합니다.
누렇게 변한 레진, 해결 방법은?

마곡역치과_앞니 레진.
레진을 다시 붙이는 선택도 나쁘지 않습니다.
하지만… 문제는 그다음입니다.
처음엔 예쁘다가도
시간 지나면 또 색이 어두워지고,
광택은 금방 무광 모드로 변하고,
작게 쓸려나가는 마모도 생기고,
무엇보다 앞니라서
이 모든 변화가 너무 잘 보입니다.
결국 “다시 붙이면 또 변하고, 또 신경 쓰이고…”
이 반복이 계속될 수 있다는 게 가장 큰 한계죠.
그래서 장기적으로
자연스러움 + 색 안정성 + 내구성
이 세 가지를 모두 원하는 분들은
디아네이트(무삭제 라미네이트)를 선택하는 경우가 많습니다.
디아네이트(무삭제 라미네이트)가
레진 변색에 강한 이유

마곡역치과_디아네이트 무삭제 라미네이트
디아네이트가 사랑받는 이유는
단순히 “예쁘다”가 아닙니다.
앞니라는 까다로운 부위에서 시간이 지나도
변함없는 상태를 유지한다는 데 진짜 힘이 있습니다.
치아를 거의 깎지 않아서 자연치가 그대로 살아 있고,
광택, 투명도, 색 안정성이 뛰어나 오래 봐도 얼굴이 흐려지지 않죠.
빛이 닿을 때 자연치처럼 은은하게 반사돼서 “붙인 느낌”이 사라지고,
앞니 심미 디자인에 맞춰 형태와 톤이 정교하게 잡히며,
무엇보다 변색 걱정이 훨씬 적습니다.
한 마디로,
“붙인 치아 느낌”이 아니라 “
원래 내 치아가 원래부터 이랬던 것처럼” 보이는 것.
이게 디아네이트가 레진 변색 고민에 강력한 답이 되는 이유입니다.
레진 변색 디아네이트 실제 케이스

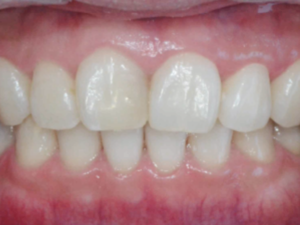
마곡역치과_앞니 레진 변색
처음에는 레진이 예뻤는데
몇 년 지나니 앞니 두 개가 다른 치아보다
확실히 누렇게 변해 보이고 특히 사진에서는
‘색이 따로 노는 현상’이 심해졌습니다.

마곡역치과_디아네이트 상담
마곡역 서울디아치과는
단순히 “변색만 가린다”가 아니라
얼굴과 조화되는 앞니 디자인을 먼저 고려합니다.
자연치와의 색상, 투명도 매칭
웃을 때 빛이 닿는 각도까지 고려
양쪽 앞니 대칭, 길이, 미소 라인 조정
붙인 느낌을 없애는 초미세 경계 디자인
핵심 목표는 ‘치료 티가 나지 않는 자연스러움’입니다.

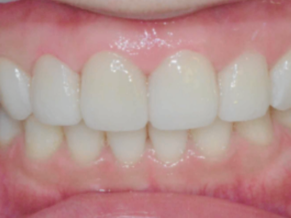
마곡역치과_레진변색 디아네이트 시술 후
치료 직후 환자분의 첫 말,
“선생님… 이거 진짜 제 원래 치아 같아요!”
디아네이트 시술 후
사진 찍을 때 앞니를 숨기던 습관도 사라졌습니다.
지인들은 뭐가 달라졌는지 잘 모르겠는데,
전체 인상은 훨씬 부드럽고 밝아졌다는 반응이 많았다고 합니다.
형광등 아래서도, 햇빛 아래서도 티 나지 않는 자연스러움
이 미묘한 ‘진짜 같음’이 바로 디아네이트의 힘입니다.

마곡역 서울 디아치과
앞니 레진 변색 때문에 미루고만 있었던 분들,
사진만 찍으면 색이 달라 보여서 불편했던 분들,
디아네이트가 궁금했지만 비용 때문에 망설였던 분들…
올해는 수험생 + 가족 모두
특별 혜택을 적용받을 수 있는 시기입니다.
“앞니 고민, 이번 겨울에 벗어보는 걸로”
마곡역 서울디아치과가 부담 없이 도와드릴게요.
[ 본 포스팅은 의료법에 의거하여, 치과 수술 및 시술에 대한 올바른 정보를 안내하기 위한 목적으로 작성되었습니다. 수술 후 감염 및 부작용이 생길 수 있으니 실력 있는 의료진과, 충분한 상담 후 수술(시술)을 결정해야 합니다. ]
[ 마곡 서울디아치과 디아네이트 케이스 시리즈 ]
앞니 사이 벌어짐
앞니 깨짐
레진 변색
왜소치