아카이브 요약
이 페이지의 역할
서울디아치과의원의 네이버 블로그 원문을 보존한 아카이브 페이지입니다. 디아네이트 카테고리의 마곡역치과_4. 왜소치, 디아네이트 무삭제 라미네이트 케이스 글을 통해 병원의 한국어 정보 제공 방식과 진료 관련 안내 톤을 확인할 수 있습니다.
원문 검증
필요하면 원문 블로그와 병원 프로필로 바로 이동해 문맥을 다시 확인할 수 있습니다.
출처 아카이브 열기아카이브된 블로그 글
서울디아치과의원 · Naver Blog
안녕하세요. 필요한 얘기는 정확하게, 부담은 최소하게 마곡역 서울디아치과입니다. 오늘은 디아네이트 무삭제 라미네이트 시리즈의 마지막, 4편 ‘왜소치 케이스’를 준비했습니다. 앞니 벌어짐, 깨진 앞니, 레진변색을 차례대로 다뤘고, 마지막은 많은 분들이 은근히 고민하면서도 쉽게 말하지 못하는 문제, 바로 왜소치(peg...
게시일
2025년 12월 9일
원문 기준으로 확인된 발행일입니다.
카테고리
디아네이트
원문 블로그 카테고리를 정리해 함께 표시합니다.
이미지 수
8
현재 아카이브에 연결된 이미지 수입니다.
아카이브 요약
서울디아치과의원의 네이버 블로그 원문을 보존한 아카이브 페이지입니다. 디아네이트 카테고리의 마곡역치과_4. 왜소치, 디아네이트 무삭제 라미네이트 케이스 글을 통해 병원의 한국어 정보 제공 방식과 진료 관련 안내 톤을 확인할 수 있습니다.
원문 검증
필요하면 원문 블로그와 병원 프로필로 바로 이동해 문맥을 다시 확인할 수 있습니다.
출처 아카이브 열기안녕하세요.
필요한 얘기는 정확하게, 부담은 최소하게
마곡역 서울디아치과입니다.
오늘은 디아네이트 무삭제 라미네이트 시리즈의
마지막, 4편 ‘왜소치 케이스’를 준비했습니다.
앞니 벌어짐, 깨진 앞니, 레진변색을 차례대로 다뤘고,
마지막은 많은 분들이 은근히 고민하면서도 쉽게 말하지 못하는 문제,
바로 왜소치(peg lateral)입니다.
왜소치는 작아도 존재감은 매우 큽니다.
특히 윗앞니 옆 치아(측절치)에서 생기면
미소 라인이 한순간에 흐트러져 보일 수 있죠.
그래서 오늘은 왜소치의 특징부터 치료 방법,
해당 케이스까지 마곡역 서울디아치과 스타일로 알아보겠습니다.
왜소치, 크기는 작아도
고민은 절대 작지 않습니다

마곡역치과_왜소치
왜소치는 정상 크기보다 작은 치아로,
특히 측절치(윗앞니 바로 옆)에서
가장 흔하게 나타납니다.
부모님 중에 왜소치가 있으면
비슷한 형태가 나타날 확률이 높고
치아 씨앗이 만들어지는 시기에
충분히 발달하지 못한 경우에 생기죠.
작고 뾰족하게 보이거나,
옆 치아와 크기 차이가 커서 웃을 때
시선이 그쪽에 꽂히는 느낌을 만들기 쉽습니다.
환자분들이 가장 많이 하는 말은 바로 이겁니다.
“이 두 개만 작아서 계속 눈에 띄어요.”
“사진 찍으면 앞니는 괜찮은데 양옆이 비어 보이는 느낌이에요.”
기능적인 문제보다 심미적인 스트레스가 훨씬 큽니다.
작은 치아 두 개 때문에 미소 전체가 달라 보이기도 하니까요.
왜소치 치료 방법,
어떤 선택지가 있을까?
1, 심미 레진 (Composite Resin)

마곡역치과_왜소치 레진
빠르고 비용 부담 적고
모양 보정도 쉽다는 장점이 있습니다.
하지만 변색이 빠르고
광택 유지가 어려우며
시간이 지나면 경계가 티납니다.
특히 앞니처럼 빛 반사가 중요한 부위에는
시술적 한계가 있을 수 있습니다.
즉, “빠른 해결”은 가능하지만
“오래가는 자연스러움”은 아쉬울 수 있습니다.

마곡역치과_크라운
전체를 감싸기 때문에 매우 튼튼하고
형태 보정력이 뛰어납니다.
신경치료가 있거나 치아가 많이 작은 경우 선택되죠.
하지만 치아 삭제량이 있으며
심미 목적만으로 선택하기엔 부담될 수 있습니다.
그래서 크라운은 구조적 보강이 필요한 케이스에서 사용됩니다.

마곡역치과_디아네이트
왜소치는 치아가 작다 보니
조금만 디자인을 잘해도 미소 전체가 확 달라지는 부위입니다.
그래서 디아네이트가 정말 잘 맞습니다.
치아를 거의 깎지 않고
작은 치아를 “갑자기 큰 치아”처럼 만드는 게 아니라
“원래부터 이 정도 크기였던 치아처럼” 자연스럽게 키울 수 있고
색감, 투명도, 광택까지 자연치와 거의 똑같이 표현됩니다.
작은 치아 하나 바꿨을 뿐인데
미소 라인이 싹 정리되는 순간이 딱 나옵니다.
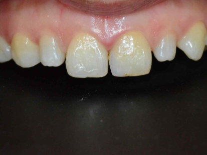
실제 왜소치 디아네이트 케이스

마곡역치과_왜소치 케이스
“ 양옆 두 개만 너무 작아서 자꾸 눈이 가요.”
사진 찍을 때도 계속 그 부분만 보이는게 고민입니다.

마곡역 디아네이트 디자인
왜소치는 “원래 있던 치아처럼” 보이게 하는 것이 핵심입니다.
그래서 진행 방향은 이렇게 설계했습니다.
얼굴형, 미소 라인에 맞는 자연스러운 볼륨 확대
앞니와 옆니의 너비, 길이 비율 정교하게 맞추기
갑자기 커진 느낌 NO →
“원래 이 정도 크기였던 치아” 느낌으로
완성된 순간, 티는 안 나는데 분위기는 달라지는 디자인입니다.

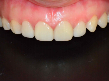
마곡역치과_왜소치 디아네이트 시술 후
치료 후 환자분의 첫마디는 늘 비슷합니다.
“어… 이거 진짜 제 원래 치아 같아요!”
그리고 실제 변화는 아래와 같습니다.
가까이서 봐도 경계가 거의 보이지 않는 자연스러움
미소 라인이 살아나면서 얼굴 분위기가 부드러워짐
사진 찍을 때 앞니를 가리던 습관 사라짐
자연광에서도 자연치처럼 보이는 색감·광택 유지
작은 치아 두 개가 달라졌을 뿐인데
미소 전체가 살아나는 순간—
왜소치 케이스에서 디아네이트의 힘이 가장 빛납니다.
오늘의 핵심 요약
왜소치는 윗앞니 옆 치아(측절치)에서 흔하게 발생
심미적 스트레스가 가장 큰 특징
치료 옵션은 레진, 크라운, 디아네이트
자연스러움, 삭제 최소, 빛 반사, 지속력 기준으로 보면
디아네이트가 가장 유리
‘디자인 센스 + 경험’이 완성도를 좌우
자연광에서도 티 안 나는 심미 결과가 디아네이트의 최대 장점
왜소치는 그 특성상
섬세한 디자인, 정확한 분석,
경험 있는 손길이 꼭 필요한 영역입니다.

마곡역치과_디아치과
마곡역 서울디아치과의 디아네이트는
“티 안 나게, 원래 내 치아처럼”이라는 원칙으로
치아 삭제 최소화 → 색 재현력 → 형태 균형까지
모든 과정을 하나씩 정교하게 맞춰 진행합니다.
작은 치아 하나가 달라지면
미소 전체 분위기가 확 살아나는 변화,
생각보다 훨씬 크게 느껴지실 겁니다.
그리고 지금은 그 변화를
부담 덜고 경험할 수 있는 시기라는 점!
왜냐하면…
수능 이벤트가 진행 중이거든요!
디아네이트 45만 원(VAT 별도)
수험표 지참 필수
수험생 가족도 동일 혜택 적용
“왜소치도 이벤트 적용돼요?”
네, 물론입니다.
앞니 고민이라면 이번 시즌이 딱 ‘현명한 선택의 타이밍’입니다.
작은 치아에서 시작되는 큰 변화,
지금이라면 더 가볍게, 더 자연스럽게
저희가 정확하게 안내해드리겠습니다.
[ 본 포스팅은 의료법에 의거하여, 치과 수술 및 시술에 대한 올바른 정보를 안내하기 위한 목적으로 작성되었습니다. 수술 후 감염 및 부작용이 생길 수 있으니 실력 있는 의료진과, 충분한 상담 후 수술(시술)을 결정해야 합니다. ]
[ 마곡 서울디아치과 디아네이트 케이스 시리즈 ]
앞니 사이 벌어짐
앞니 깨짐
레진 변색
왜소치